JavaScript is disabled in your browser. Please enable JavaScript to view this website.
AB233295

Anti-NK-2R antibody

Be the first to review this product! Submit a review

|

(1 Publication)

Rabbit Polyclonal NK-2R antibody. Suitable for WB, IHC-P, ICC/IF and reacts with Pig, Human samples. Cited in 1 publication. Immunogen corresponding to Recombinant Fragment Protein within Human TACR2 aa 50-300.

View Alternative Names

NK2R, NKNAR, TAC2R, TACR2, Substance-K receptor, SKR, NK-2 receptor, Neurokinin A receptor, Tachykinin receptor 2, NK-2R

9 Images
Immunocytochemistry/ Immunofluorescence - Anti-NK-2R antibody (AB233295)
  • ICC/IF

Supplier Data

Immunocytochemistry/ Immunofluorescence - Anti-NK-2R antibody (AB233295)

HeLa (human epithelial cell line from cervix adenocarcinoma) cells stained for NK-2R using ab233295 (green) at 10 μg/mL in ICC/IF. FITC-labeled secondary antibody.

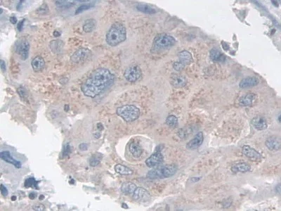
Immunohistochemistry (Formalin/PFA-fixed paraffin-embedded sections) - Anti-NK-2R antibody (AB233295)
  • IHC-P

Supplier Data

Immunohistochemistry (Formalin/PFA-fixed paraffin-embedded sections) - Anti-NK-2R antibody (AB233295)

Formalin-fixed, paraffin-embedded human stomach tissue stained for NK-2R using ab233295 at 10 μg/mL in immunohistochemical analysis.

Secondary used : HRP-Linked Goat Anti-Rabbit IgG Polyclonal at 2 μg/ml. DAB staining.

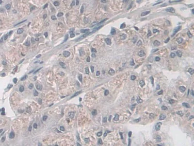
Immunohistochemistry (Formalin/PFA-fixed paraffin-embedded sections) - Anti-NK-2R antibody (AB233295)
  • IHC-P

Supplier Data

Immunohistochemistry (Formalin/PFA-fixed paraffin-embedded sections) - Anti-NK-2R antibody (AB233295)

Formalin-fixed, paraffin-embedded human breast cancer tissue stained for NK-2R using ab233295 at 10 μg/mL in immunohistochemical analysis.

Secondary used : HRP-Linked Goat Anti-Rabbit IgG Polyclonal at 2 μg/ml. DAB staining.

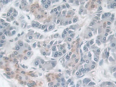
Immunohistochemistry (Formalin/PFA-fixed paraffin-embedded sections) - Anti-NK-2R antibody (AB233295)
  • IHC-P

Supplier Data

Immunohistochemistry (Formalin/PFA-fixed paraffin-embedded sections) - Anti-NK-2R antibody (AB233295)

Formalin-fixed, paraffin-embedded human pancreatic cancer tissue stained for NK-2R using ab233295 at 10 μg/mL in immunohistochemical analysis.

Secondary used : HRP-Linked Goat Anti-Rabbit IgG Polyclonal at 2 μg/ml. DAB staining.

Western blot - Anti-NK-2R antibody (AB233295)
  • WB

Supplier Data

Western blot - Anti-NK-2R antibody (AB233295)

All lanes:

Western blot - Anti-NK-2R antibody (ab233295) at 1 µg/mL

All lanes:

Human lung lysate

Secondary

All lanes:

HRP-Linked Goat anti-Rabbit IgG polyclonal at 0.2 µg/mL

Predicted band size: 44 kDa

false

Western blot - Anti-NK-2R antibody (AB233295)
  • WB

Supplier Data

Western blot - Anti-NK-2R antibody (AB233295)

All lanes:

Western blot - Anti-NK-2R antibody (ab233295) at 1 µg/mL

All lanes:

Pig small intestine lysate

Secondary

All lanes:

HRP-Linked Goat anti-Rabbit IgG polyclonal at 0.2 µg/mL

Predicted band size: 44 kDa

false

Western blot - Anti-NK-2R antibody (AB233295)
  • WB

Supplier Data

Western blot - Anti-NK-2R antibody (AB233295)

All lanes:

Western blot - Anti-NK-2R antibody (ab233295) at 2 µg/mL

All lanes:

Recombinant human NK-2R protein

Predicted band size: 44 kDa

false

Western blot - Anti-NK-2R antibody (AB233295)
  • WB

Supplier Data

Western blot - Anti-NK-2R antibody (AB233295)

All lanes:

Western blot - Anti-NK-2R antibody (ab233295) at 1 µg/mL

All lanes:

Pig heart lysate

Secondary

All lanes:

HRP-Linked Goat anti-Rabbit IgG polyclonal at 0.2 µg/mL

Predicted band size: 44 kDa

false

Western blot - Anti-NK-2R antibody (AB233295)
  • WB

Supplier Data

Western blot - Anti-NK-2R antibody (AB233295)

All lanes:

Western blot - Anti-NK-2R antibody (ab233295) at 1 µg/mL

All lanes:

HeLa (human epithelial cell line from cervix adenocarcinoma) cell lysate

Secondary

All lanes:

HRP-Linked Goat anti-Rabbit IgG polyclonal at 0.2 µg/mL

Predicted band size: 44 kDa

false

Key facts

Host species

Rabbit

Clonality

Polyclonal

Isotype

IgG

Carrier free

No

Reacts with

Human, Pig

Applications

ICC/IF, IHC-P, WB

applications

Immunogen

Recombinant Fragment Protein within Human TACR2 aa 50-300. The exact immunogen used to generate this antibody is proprietary information.

P21452

Reactivity data

{ "title": "Reactivity Data", "filters": { "stats": ["", "Species", "Dilution Info", "Notes"], "tabs": { "all-applications": {"fullname" : "All Applications", "shortname": "All Applications"}, "WB" : {"fullname" : "Western blot", "shortname":"WB"}, "IHCP" : {"fullname" : "Immunohistochemistry (Formalin/PFA-fixed paraffin-embedded sections)", "shortname":"IHC-P"}, "ICCIF" : {"fullname" : "Immunocytochemistry/ Immunofluorescence", "shortname":"ICC/IF"} }, "product-promise": { "all": "all", "testedAndGuaranteed": "tested", "guaranteed": "expected", "predicted": "predicted", "notRecommended": "not-recommended" } }, "values": { "Human": { "WB-species-checked": "testedAndGuaranteed", "WB-species-dilution-info": "0.2-2 µg/mL", "WB-species-notes": "<p></p>", "IHCP-species-checked": "testedAndGuaranteed", "IHCP-species-dilution-info": "5-20 µg/mL", "IHCP-species-notes": "<p></p>", "ICCIF-species-checked": "testedAndGuaranteed", "ICCIF-species-dilution-info": "5-20 µg/mL", "ICCIF-species-notes": "<p></p>" }, "Pig": { "WB-species-checked": "testedAndGuaranteed", "WB-species-dilution-info": "0.2-2 µg/mL", "WB-species-notes": "<p></p>", "IHCP-species-checked": "guaranteed", "IHCP-species-dilution-info": "", "IHCP-species-notes": "", "ICCIF-species-checked": "guaranteed", "ICCIF-species-dilution-info": "", "ICCIF-species-notes": "" } } }

Properties and storage information

Form
Liquid
Purification technique
Affinity purification Protein A
Purification notes
Antigen-specific affinity chromatography followed by Protein A affinity chromatography.
Storage buffer
pH: 7.4 Preservative: 0.02% Sodium azide Constituents: PBS, 55.77% Glycerol (glycerin, glycerine)
Shipped at conditions
Blue Ice
Appropriate short-term storage duration
1-2 weeks
Appropriate short-term storage conditions
+4°C
Appropriate long-term storage conditions
-20°C
Aliquoting information
Upon delivery aliquot
Storage information
Avoid freeze / thaw cycle

Product protocols

For this product, it's our understanding that no specific protocols are required. You can visit:

Target data

This is a receptor for the tachykinin neuropeptide substance K (neurokinin A). It is associated with G proteins that activate a phosphatidylinositol-calcium second messenger system. The rank order of affinity of this receptor to tachykinins is : substance K > neuromedin-K > substance P.
See full target information TACR2

Publications (1)

Recent publications for all applications. Explore the full list and refine your search

PloS one 19:e0310389 PubMed39292698

2024

Visfatin (NAMPT) expression in human placenta cells in normal and pathological conditions and its hormonal regulation in trophoblast JEG-3 cells.

Applications

Unspecified application

Species

Unspecified reactive species

Monika Dawid,Patrycja Kurowska,Piotr Pawlicki,Małgorzata Kotula-Balak,Tomasz Milewicz,Joelle Dupont,Agnieszka Rak
View all publications

Product promise

We are committed to supporting your work with high-quality reagents, and we're here for you every step of the way. In the unlikely event that one of our products does not perform as expected, you're protected by our Product Promise.
For full details, please see our Terms & Conditions

Please note: All products are 'FOR RESEARCH USE ONLY. NOT FOR USE IN DIAGNOSTIC OR THERAPEUTIC PROCEDURES'.

For licensing inquiries, please contact partnerships@abcam.com