JavaScript is disabled in your browser. Please enable JavaScript to view this website.
AB124025

Anti-NK-3R antibody

0

(2 Reviews)

|

(2 Publications)

Rabbit Polyclonal NK3R antibody. Suitable for IHC-P, WB and reacts with Human, Mouse samples. Cited in 2 publications. Immunogen corresponding to Synthetic Peptide within Human TACR3.

View Alternative Names

NK3R, TAC3R, TACR3, Neuromedin-K receptor, NKR, NK-3 receptor, Neurokinin B receptor, Tachykinin receptor 3, NK-3R

2 Images
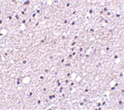
Immunohistochemistry (Formalin/PFA-fixed paraffin-embedded sections) - Anti-NK-3R antibody (AB124025)
  • IHC-P

Unknown

Immunohistochemistry (Formalin/PFA-fixed paraffin-embedded sections) - Anti-NK-3R antibody (AB124025)

ab124025, at 5μg/ml, staining NK-3R in paraffin-embedded Human brain tissue by Immunohistochemistry.

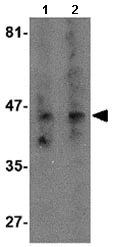
Western blot - Anti-NK-3R antibody (AB124025)
  • WB

Unknown

Western blot - Anti-NK-3R antibody (AB124025)

Lane 1:

Western blot - Anti-NK-3R antibody (ab124025) at 0.5 µg/mL

Lane 2:

Western blot - Anti-NK-3R antibody (ab124025) at 2 µg/mL

All lanes:

RAW 264.7 whole cell lysate

Predicted band size: 52 kDa

Observed band size: 46 kDa

false

Key facts

Host species

Rabbit

Clonality

Polyclonal

Isotype

IgG

Carrier free

No

Reacts with

Mouse, Human

Applications

WB, IHC-P

applications

Immunogen

Synthetic Peptide within Human TACR3. The exact immunogen used to generate this antibody is proprietary information.

P29371

Specificity

ab124025 does not recognise NK1R or NK2R.

Reactivity data

{ "title": "Reactivity Data", "filters": { "stats": ["", "Species", "Dilution Info", "Notes"], "tabs": { "all-applications": {"fullname" : "All Applications", "shortname": "All Applications"}, "IHCP" : {"fullname" : "Immunohistochemistry (Formalin/PFA-fixed paraffin-embedded sections)", "shortname":"IHC-P"}, "WB" : {"fullname" : "Western blot", "shortname":"WB"} }, "product-promise": { "all": "all", "testedAndGuaranteed": "tested", "guaranteed": "expected", "predicted": "predicted", "notRecommended": "not-recommended" } }, "values": { "Human": { "IHCP-species-checked": "testedAndGuaranteed", "IHCP-species-dilution-info": "5 µg/mL", "IHCP-species-notes": "<p></p> Perform heat-mediated antigen retrieval with citrate buffer pH 6 before commencing with IHC staining protocol.", "WB-species-checked": "guaranteed", "WB-species-dilution-info": "", "WB-species-notes": "" }, "Mouse": { "IHCP-species-checked": "guaranteed", "IHCP-species-dilution-info": "", "IHCP-species-notes": "", "WB-species-checked": "testedAndGuaranteed", "WB-species-dilution-info": "0.5-1 µg/mL", "WB-species-notes": "<p></p>" } } }

Product details

This product should be stored undiluted.

Properties and storage information

Form
Liquid
Purification technique
Affinity purification Protein A
Storage buffer
Preservative: 0.02% Sodium azide Constituents: 99% PBS
Shipped at conditions
Blue Ice
Appropriate short-term storage duration
1-2 weeks
Appropriate short-term storage conditions
+4°C
Appropriate long-term storage conditions
-20°C

Product protocols

For this product, it's our understanding that no specific protocols are required. You can visit:

Target data

This is a receptor for the tachykinin neuropeptide neuromedin-K (neurokinin B). It is associated with G proteins that activate a phosphatidylinositol-calcium second messenger system. The rank order of affinity of this receptor to tachykinins is : neuromedin-K > substance K > substance P.
See full target information TACR3

Publications (2)

Recent publications for all applications. Explore the full list and refine your search

Journal of inflammation research 14:3809-3821 PubMed34408464

2021

Identification and Validation of a Novel Inflammatory Response-Related Gene Signature for the Prognosis of Colon Cancer.

Applications

Unspecified application

Species

Unspecified reactive species

Yichao Liang,Xin Wu,Qi Su,Yujie Liu,Hong Xiao

Scientific reports 6:30259 PubMed27457753

2016

Electrophysiological fingerprints of OFF bipolar cells in rat retina.

Applications

IHC-P

Species

Rat

Alex H Vielma,Oliver Schmachtenberg
View all publications

Product promise

We are committed to supporting your work with high-quality reagents, and we're here for you every step of the way. In the unlikely event that one of our products does not perform as expected, you're protected by our Product Promise.
For full details, please see our Terms & Conditions

Please note: All products are 'FOR RESEARCH USE ONLY. NOT FOR USE IN DIAGNOSTIC OR THERAPEUTIC PROCEDURES'.

For licensing inquiries, please contact partnerships@abcam.com