JavaScript is disabled in your browser. Please enable JavaScript to view this website.
AB191273

Anti-NKB antibody

Be the first to review this product! Submit a review

|

(1 Publication)

Rabbit Polyclonal NKB antibody. Suitable for WB, IHC-P and reacts with Human samples. Cited in 1 publication. Immunogen corresponding to Synthetic Peptide within Human TAC3 aa 50-100.

View Alternative Names

NKNB, UNQ585/PRO1155, TAC3, Tachykinin-3, ZNEUROK1

3 Images
Immunohistochemistry (Formalin/PFA-fixed paraffin-embedded sections) - Anti-NKB antibody (AB191273)
  • IHC-P

Supplier Data

Immunohistochemistry (Formalin/PFA-fixed paraffin-embedded sections) - Anti-NKB antibody (AB191273)

Immunohistochemical analysis of paraffin-embedded, formalin-fixed Human brain, cortex tissue labeling NKB using ab191273 at 1/10 dilution.

Western blot - Anti-NKB antibody (AB191273)
  • WB

Supplier Data

Western blot - Anti-NKB antibody (AB191273)

All lanes:

Western blot - Anti-NKB antibody (ab191273) at 1/1000 dilution

All lanes:

Jurkat cell lysate at 35 µg

Predicted band size: 13 kDa

false

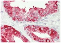
Immunohistochemistry (Formalin/PFA-fixed paraffin-embedded sections) - Anti-NKB antibody (AB191273)
  • IHC-P

Supplier Data

Immunohistochemistry (Formalin/PFA-fixed paraffin-embedded sections) - Anti-NKB antibody (AB191273)

Immunohistochemical analysis of paraffin-embedded, formalin-fixed Human prostate tissue labeling NKB using ab191273 at 1/10 dilution.

Key facts

Host species

Rabbit

Clonality

Polyclonal

Isotype

IgG

Carrier free

No

Reacts with

Human

Applications

IHC-P, WB

applications

Immunogen

Synthetic Peptide within Human TAC3 aa 50-100. The exact immunogen used to generate this antibody is proprietary information.

Q9UHF0

Reactivity data

{ "title": "Reactivity Data", "filters": { "stats": ["", "Species", "Dilution Info", "Notes"], "tabs": { "all-applications": {"fullname" : "All Applications", "shortname": "All Applications"}, "WB" : {"fullname" : "Western blot", "shortname":"WB"}, "IHCP" : {"fullname" : "Immunohistochemistry (Formalin/PFA-fixed paraffin-embedded sections)", "shortname":"IHC-P"} }, "product-promise": { "all": "all", "testedAndGuaranteed": "tested", "guaranteed": "expected", "predicted": "predicted", "notRecommended": "not-recommended" } }, "values": { "Human": { "WB-species-checked": "testedAndGuaranteed", "WB-species-dilution-info": "1/1000", "WB-species-notes": "<p></p>", "IHCP-species-checked": "testedAndGuaranteed", "IHCP-species-dilution-info": "1/10 - 1/75", "IHCP-species-notes": "<p></p>" } } }

Properties and storage information

Form
Liquid
Purification technique
Affinity purification Immunogen
Storage buffer
pH: 7.4 Preservative: 0.09% Sodium azide Constituents: 99% PBS
Shipped at conditions
Blue Ice
Appropriate short-term storage duration
1-2 weeks
Appropriate short-term storage conditions
+4°C
Appropriate long-term storage conditions
-20°C
Aliquoting information
Upon delivery aliquot
Storage information
Avoid freeze / thaw cycle

Product protocols

For this product, it's our understanding that no specific protocols are required. You can visit:

Target data

Tachykinins are active peptides which excite neurons, evoke behavioral responses, are potent vasodilators and secretagogues, and contract (directly or indirectly) many smooth muscles (By similarity). Is a critical central regulator of gonadal function.
See full target information TAC3

Publications (1)

Recent publications for all applications. Explore the full list and refine your search

Frontiers in pharmacology 13:797873 PubMed35450041

2022

Cinobufacini Injection Inhibits the Proliferation of Triple-Negative Breast Cancer Through the Pin1-TAZ Signaling Pathway.

Applications

Unspecified application

Species

Unspecified reactive species

Lu Kong,Xu Liu,Bing Yu,Ye Yuan,Qianru Zhao,Yuru Chen,Bin Qu,Xue Du,Xiaoxuan Tian,Rui Shao,Yu Wang
View all publications

Product promise

We are committed to supporting your work with high-quality reagents, and we're here for you every step of the way. In the unlikely event that one of our products does not perform as expected, you're protected by our Product Promise.
For full details, please see our Terms & Conditions

Please note: All products are 'FOR RESEARCH USE ONLY. NOT FOR USE IN DIAGNOSTIC OR THERAPEUTIC PROCEDURES'.

For licensing inquiries, please contact partnerships@abcam.com