JavaScript is disabled in your browser. Please enable JavaScript to view this website.
AB303518

Anti-NKCC1 antibody [EPR26256-60]

  • BOND RX™ Validated
  • 20ul selling size
  • RabMAb
  • Recombinant
  • What is this?

Be the first to review this product! Submit a review

|

(4 Publications)

Anti-NKCC1 antibody [EPR26256-60] (ab303518) is a rabbit monoclonal antibody detecting NKCC1 in Western Blot, Flow Cytometry (Intra), Flow Cytometry, IP, IHC-P, ICC/IF. Suitable for Human, Mouse, Rat.

- Biophysical QC for unrivalled batch-batch consistency

View Alternative Names

NKCC1, SLC12A2, Solute carrier family 12 member 2, Basolateral Na-K-Cl symporter, Bumetanide-sensitive sodium-(potassium)-chloride cotransporter 2, Na-K-2Cl cotransporter 1, BSC2, hNKCC1

14 Images
Immunohistochemistry (Formalin/PFA-fixed paraffin-embedded sections) - Anti-NKCC1 antibody [EPR26256-60] (AB303518)
  • IHC-P

Supplier Data

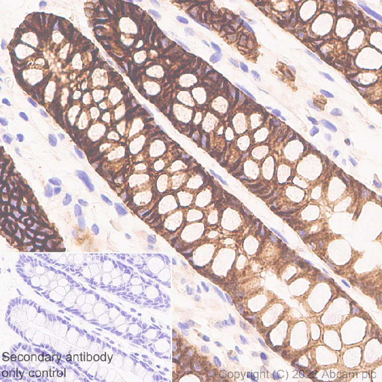
Immunohistochemistry (Formalin/PFA-fixed paraffin-embedded sections) - Anti-NKCC1 antibody [EPR26256-60] (AB303518)

Immunohistochemical analysis of paraffin-embedded Human colon tissue labeling NKCC1 with ab303518 at 1/100 (4.89 ug/ml) followed by a ready to use LeicaDS9800 (Bond™ Polymer Refine Detection) was used. Positive staining on human colon(PMID : 17478539).The section was incubated with ab303518 for 30 mins at room temperature.The immunostaining was performed on a Leica Biosystems BOND® RX instrument Counterstained with Hematoxylin. Secondary antibody only control : Secondary antibody is a ready to use LeicaDS9800 (Bond™ Polymer Refine Detection).Heat mediated antigen retrieval was performed with Tris-EDTA buffer (pH 9.0, Epitope Retrieval Solution2) for 20 mins

Immunocytochemistry/ Immunofluorescence - Anti-NKCC1 antibody [EPR26256-60] (AB303518)
  • ICC/IF

Supplier Data

Immunocytochemistry/ Immunofluorescence - Anti-NKCC1 antibody [EPR26256-60] (AB303518)

Immunofluorescent analysis of 4% Paraformaldehyde-fixed, 0.1% TritonX-100 permeabilized T84 (human colon epithelial cell) cells labelling NKCC1 with ab303518 at 1/100 (4.89 ug/ml) dilution, followed by ab150081 Goat Anti-Rabbit IgG H&L (Alexa Fluor® 488) preadsorbed antibody at 1/1000 2 ug/ml dilution (Green). Confocal image showing mainly membranous staining in T84 cell line. The image was taken with a confocal microscope (Leica-Microsystems, TCS SP8). is observed. ab195889 Anti-alpha Tubulin mouse monoclonal antibody - Microtubule Marker (Alexa Fluor® 594) was used to counterstain tubulin at 1/200 2.5 ug/ml dilution (Red). The Nuclear counterstain was DAPI (Blue). Secondary antibody only control : Secondary antibody is ab150081 Goat Anti-Rabbit IgG H&L (Alexa Fluor® 488) preadsorbed at 1/1000 2 ug/ml dilution.

Flow Cytometry - Anti-NKCC1 antibody [EPR26256-60] (AB303518)
  • Flow Cyt

Supplier Data

Flow Cytometry - Anti-NKCC1 antibody [EPR26256-60] (AB303518)

Flow cytometric analysis of 4% paraformaldehyde fixed 90% methanol permeabilized T84 (human colon epithelial cell) cells labelling NKCC1 with ab303518 at 1/50 dilution (1ug) (Red) (Red) compared with a Rabbit monoclonal IgG (ab172730) (Black) isotype control and an unlabelled control (cells without incubation with primary antibody and secondary antibody) (Blue). A Goat Anti-Rabbit IgG (Alexa Fluor® 488, ab150081) at 1/2000 dilution was used as the secondary antibody.

Immunohistochemistry (Formalin/PFA-fixed paraffin-embedded sections) - Anti-NKCC1 antibody [EPR26256-60] (AB303518)
  • IHC-P

Supplier Data

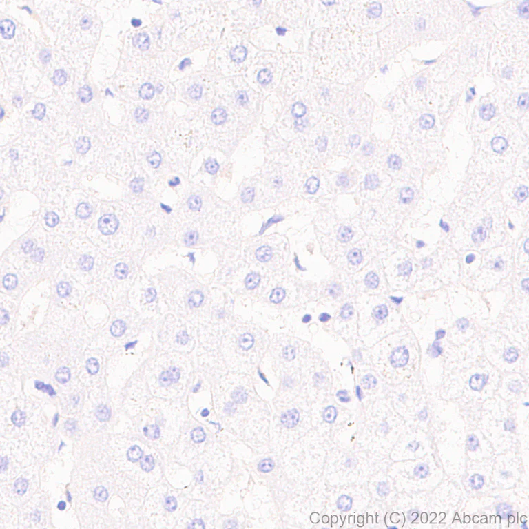
Immunohistochemistry (Formalin/PFA-fixed paraffin-embedded sections) - Anti-NKCC1 antibody [EPR26256-60] (AB303518)

Immunohistochemical analysis of paraffin-embedded Human liver tissue labeling NKCC1 with ab303518 at 1/100 (4.89 ug/ml) followed by a ready to use LeicaDS9800 (Bond™ Polymer Refine Detection) was used. Negative control : No staining on human liver.The section was incubated with ab303518 for 30 mins at room temperature.The immunostaining was performed on a Leica Biosystems BOND® RX instrument Counterstained with Hematoxylin. Secondary antibody only control : Secondary antibody is a ready to use LeicaDS9800 (Bond™ Polymer Refine Detection).Heat mediated antigen retrieval was performed with Tris-EDTA buffer (pH 9.0, Epitope Retrieval Solution2) for 20 mins

Immunoprecipitation - Anti-NKCC1 antibody [EPR26256-60] (AB303518)
  • IP

Supplier Data

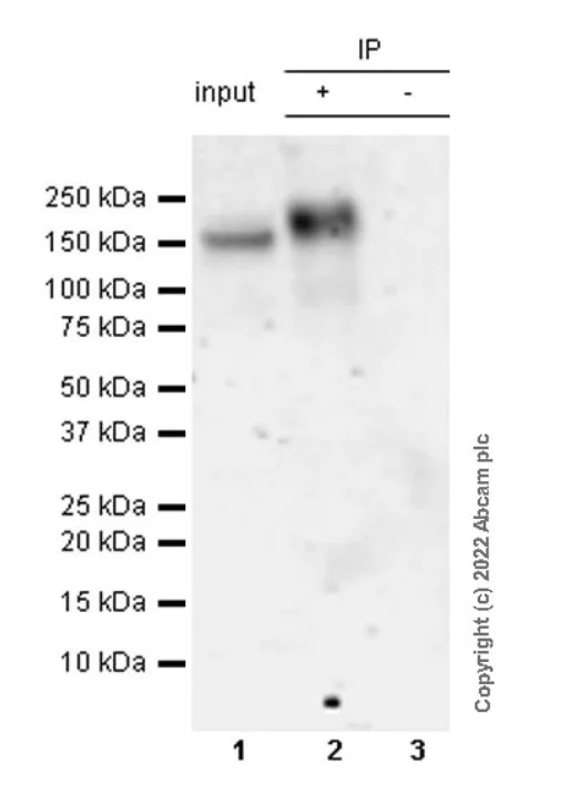
Immunoprecipitation - Anti-NKCC1 antibody [EPR26256-60] (AB303518)

NKCC1 was immunoprecipitated from 0.35 mg human cerebellum tissue lysate 10 ug with ab303518 at 1/30 dilution (2 µg in 0.35 mg lysates). Western blot was performed on the immunoprecipitate using ab303518. VeriBlot for IP secondary antibody (HRP) (ab131366) was used at 1/5000 dilution. Lane 1 : human cerebellum tissue lysate 10 µg (Inset) Lane 2 : ab303518 IP in human cerebellum tissue lysate Lane 3 : Rabbit monoclonal IgG (ab172730) instead of ab303518 in human cerebellum tissue lysate Blocking and dilution buffer and concentration : 5% NFDM/TBST. Exposure time : 3 minutes

All lanes:

Immunoprecipitation - Anti-NKCC1 antibody [EPR26256-60] (ab303518) at 1/30 dilution

Lane 1:

human cerebellum tissue lysate at 10 µg

Lane 2:

ab303518 IP in human cerebellum tissue lysate

Secondary

All lanes:

Immunoprecipitation - VeriBlot for IP Detection Reagent (HRP) (<a href='/en-us/products/reagents/veriblot-for-ip-detection-reagent-hrp-ab131366'>ab131366</a>) at 1/5000 dilution

Predicted band size: 131 kDa

Observed band size: 150 kDa

false

Exposure time: 3min

Immunohistochemistry (Formalin/PFA-fixed paraffin-embedded sections) - Anti-NKCC1 antibody [EPR26256-60] (AB303518)
  • IHC-P

Supplier Data

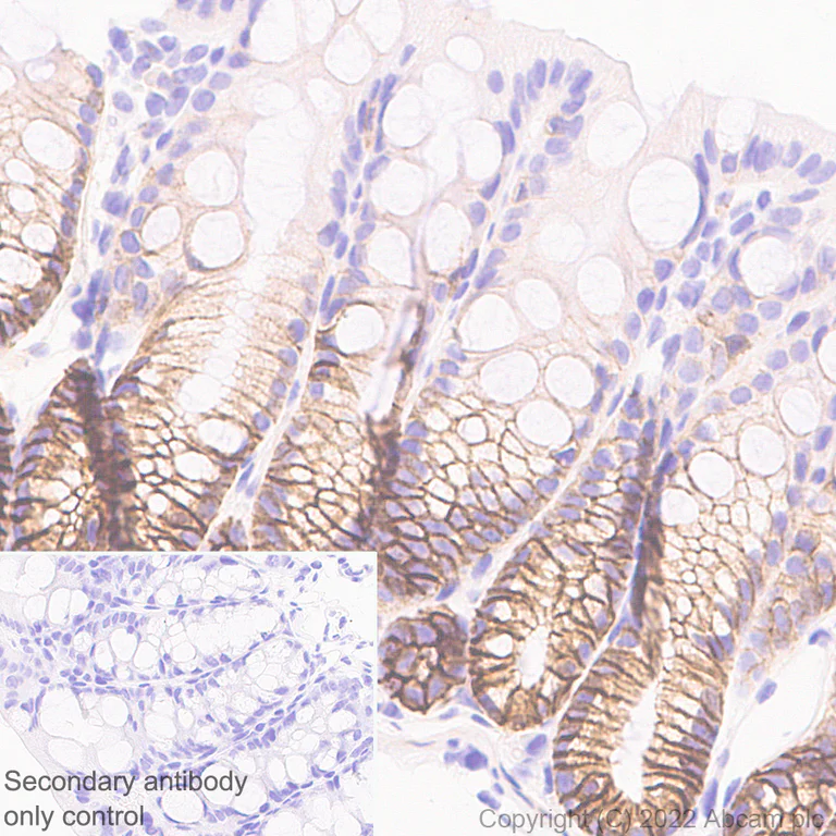
Immunohistochemistry (Formalin/PFA-fixed paraffin-embedded sections) - Anti-NKCC1 antibody [EPR26256-60] (AB303518)

Immunohistochemical analysis of paraffin-embedded Rat colon tissue labeling NKCC1 with ab303518 at 1/2000 (4.89 ug/ml) followed by a ready to use LeicaDS9800 (Bond™ Polymer Refine Detection) was used. Positive staining on rat colon.The section was incubated with ab303518 for 30 mins at room temperature.The immunostaining was performed on a Leica Biosystems BOND® RX instrument Counterstained with Hematoxylin. Secondary antibody only control : Secondary antibody is a ready to use LeicaDS9800 (Bond™ Polymer Refine Detection).Heat mediated antigen retrieval was performed with Tris-EDTA buffer (pH 9.0, Epitope Retrieval Solution2) for 20 mins

Immunohistochemistry (Formalin/PFA-fixed paraffin-embedded sections) - Anti-NKCC1 antibody [EPR26256-60] (AB303518)
  • IHC-P

Supplier Data

Immunohistochemistry (Formalin/PFA-fixed paraffin-embedded sections) - Anti-NKCC1 antibody [EPR26256-60] (AB303518)

Immunohistochemical analysis of paraffin-embedded Mouse colon tissue labeling NKCC1 with ab303518 at 1/2000 (4.89 ug/ml) followed by a ready to use LeicaDS9800 (Bond™ Polymer Refine Detection) was used. Positive staining on mouse colon.The section was incubated with ab303518 for 30 mins at room temperature.The immunostaining was performed on a Leica Biosystems BOND® RX instrument Counterstained with Hematoxylin. Secondary antibody only control : Secondary antibody is a ready to use LeicaDS9800 (Bond™ Polymer Refine Detection).Heat mediated antigen retrieval was performed with Tris-EDTA buffer (pH 9.0, Epitope Retrieval Solution2) for 20 mins

Flow Cytometry - Anti-NKCC1 antibody [EPR26256-60] (AB303518)
  • Flow Cyt

Supplier Data

Flow Cytometry - Anti-NKCC1 antibody [EPR26256-60] (AB303518)

Flow cytometric analysis of 4% paraformaldehyde fixed 90% methanol permeabilized NIH/3T3 (mouse embryonic fibroblast) cells labelling NKCC1 with ab303518 at 1/50 dilution (1ug) (Red) (Red) compared with a Rabbit monoclonal IgG (ab172730) (Black) isotype control and an unlabelled control (cells without incubation with primary antibody and secondary antibody) (Blue). A Goat Anti-Rabbit IgG (Alexa Fluor® 488, ab150081) at 1/2000 dilution was used as the secondary antibody.

Immunocytochemistry/ Immunofluorescence - Anti-NKCC1 antibody [EPR26256-60] (AB303518)
  • ICC/IF

Supplier Data

Immunocytochemistry/ Immunofluorescence - Anti-NKCC1 antibody [EPR26256-60] (AB303518)

Immunofluorescent analysis of 4% Paraformaldehyde-fixed, 0.1% TritonX-100 permeabilized NIH/3T3 (mouse embryonic fibroblast) cells labelling NKCC1 with ab303518 at 1/100 (4.89 ug/ml) dilution, followed by ab150081 Goat Anti-Rabbit IgG H&L (Alexa Fluor® 488) preadsorbed antibody at 1/1000 2 ug/ml dilution (Green). Confocal image showing membranous and cytoplasmic staining in NIH/3T3 cell line. The image was taken with a confocal microscope (Leica-Microsystems, TCS SP8). is observed. ab195889 Anti-alpha Tubulin mouse monoclonal antibody - Microtubule Marker (Alexa Fluor® 594) was used to counterstain tubulin at 1/200 2.5 ug/ml dilution (Red). The Nuclear counterstain was DAPI (Blue). Secondary antibody only control : Secondary antibody is ab150081 Goat Anti-Rabbit IgG H&L (Alexa Fluor® 488) preadsorbed at 1/1000 2 ug/ml dilution.

Immunoprecipitation - Anti-NKCC1 antibody [EPR26256-60] (AB303518)
  • IP

Supplier Data

Immunoprecipitation - Anti-NKCC1 antibody [EPR26256-60] (AB303518)

NKCC1 was immunoprecipitated from 0.35 mg rat brain tissue lysate 10 ug with ab303518 at 1/30 dilution (2 µg in 0.35 mg lysates). Western blot was performed on the immunoprecipitate using ab303518. VeriBlot for IP secondary antibody (HRP) (ab131366) was used at 1/5000 dilution. Lane 1 : rat brain tissue lysate 10 µg (Inset) Lane 2 : ab303518 IP in rat brain tissue lysate Lane 3 : Rabbit monoclonal IgG (ab172730) instead of ab303518 in rat brain tissue lysate Blocking and dilution buffer and concentration : 5% NFDM/TBST. Exposure time : 23 seconds.

All lanes:

Immunoprecipitation - Anti-NKCC1 antibody [EPR26256-60] (ab303518) at 1/30 dilution

Lane 1:

Rat brain tissue lysate at 10 µg

Lane 2:

ab303518 IP in rat brain tissue lysate

Secondary

All lanes:

Immunoprecipitation - VeriBlot for IP Detection Reagent (HRP) (<a href='/en-us/products/reagents/veriblot-for-ip-detection-reagent-hrp-ab131366'>ab131366</a>) at 1/5000 dilution

Predicted band size: 131 kDa

Observed band size: 150 kDa

false

Exposure time: 23s

Immunoprecipitation - Anti-NKCC1 antibody [EPR26256-60] (AB303518)
  • IP

Supplier Data

Immunoprecipitation - Anti-NKCC1 antibody [EPR26256-60] (AB303518)

NKCC1 was immunoprecipitated from 0.35 mg mouse brain tissue lysate 10 ug with ab303518 at 1/30 dilution (2 µg in 0.35 mg lysates). Western blot was performed on the immunoprecipitate using ab303518 at dilution. VeriBlot for IP secondary antibody (HRP)(ab131366) was used at 1/5000 dilution. Lane 1 : mouse brain tissue lysate 10 µg (Inset) Lane 2 : ab303518 IP in mouse brain tissue lysate Lane 3 : Rabbit monoclonal IgG (ab172730) instead of ab303518 in mouse brain tissue lysate Blocking and dilution buffer and concentration : 5% NFDM/TBST. Exposure time : 15 seconds.

All lanes:

Immunoprecipitation - Anti-NKCC1 antibody [EPR26256-60] (ab303518) at 1/30 dilution

Lane 1:

Mouse brain tissue lysate at 10 µg

Lane 2:

ab303518 IP in mouse brain tissue lysate

Secondary

All lanes:

Immunoprecipitation - VeriBlot for IP Detection Reagent (HRP) (<a href='/en-us/products/reagents/veriblot-for-ip-detection-reagent-hrp-ab131366'>ab131366</a>) at 1/5000 dilution

Predicted band size: 131 kDa

Observed band size: 150 kDa

false

Exposure time: 15s

Western blot - Anti-NKCC1 antibody [EPR26256-60] (AB303518)
  • WB

Supplier Data

Western blot - Anti-NKCC1 antibody [EPR26256-60] (AB303518)

Blocking / diluting buffer and concentration : 5% NFDM/TBST Low expression : liver (human protein atlas database)

All lanes:

Western blot - Anti-NKCC1 antibody [EPR26256-60] (ab303518) at 1/1000 dilution

Lane 1:

Human cerebellum tissue lysate at 20 µg

Lane 2:

Human liver tissue lysate at 20 µg

Lane 3:

Mouse brain tissue lysate at 20 µg

Lane 4:

Mouse colon cancer tissue lysate at 20 µg

Lane 5:

Mouse liver tissue lysate at 20 µg

Secondary

All lanes:

Goat Anti-Rabbit IgG (HRP) with minimal cross-reactivity with human Ig at 1/2000 dilution

Predicted band size: 131 kDa

Observed band size: 150 kDa

false

Exposure time: 3s

Western blot - Anti-NKCC1 antibody [EPR26256-60] (AB303518)
  • WB

Supplier Data

Western blot - Anti-NKCC1 antibody [EPR26256-60] (AB303518)

Blocking / diluting buffer and concentration : 5% NFDM/TBST

All lanes:

Western blot - Anti-NKCC1 antibody [EPR26256-60] (ab303518) at 1/1000 dilution

All lanes:

Rat brain tissue lysate at 20 µg

Secondary

All lanes:

Western blot - Goat Anti-Rabbit IgG H&L (HRP) (<a href='/en-us/products/secondary-antibodies/goat-rabbit-igg-h-l-hrp-ab97051'>ab97051</a>) at 1/50000 dilution

Predicted band size: 131 kDa

Observed band size: 150 kDa

false

Exposure time: 8s

Western blot - Anti-NKCC1 antibody [EPR26256-60] (AB303518)
  • WB

Supplier Data

Western blot - Anti-NKCC1 antibody [EPR26256-60] (AB303518)

Blocking / diluting buffer and concentration : 5% NFDM/TBST This antibody does not cross-react with mouse NKCC2.

All lanes:

Western blot - Anti-NKCC1 antibody [EPR26256-60] (ab303518) at 1/1000 dilution

Lane 1:

His-tagged mouse NKCC2 recombinant protein at 10 ng

Lane 2:

His-tagged mouse NKCC1 recombinant protein at 10 ng

Secondary

All lanes:

Western blot - Goat Anti-Rabbit IgG H&L (HRP) (<a href='/en-us/products/secondary-antibodies/goat-rabbit-igg-h-l-hrp-ab97051'>ab97051</a>) at 1/50000 dilution

Predicted band size: 131 kDa

Observed band size: 30 kDa

false

Exposure time: 26s

  • Carrier free

    Anti-NKCC1 antibody [EPR26256-60] - BSA and Azide free

Key facts

Host species

Rabbit

Clonality

Monoclonal

Clone number

EPR26256-60

Isotype

IgG

Carrier free

No

Reacts with

Human, Mouse, Rat

Applications

ICC/IF, Flow Cyt (Intra), IP, WB, IHC-P

applications

Immunogen

The exact immunogen used to generate this antibody is proprietary information.

Reactivity data

{ "title": "Reactivity Data", "filters": { "stats": ["", "Species", "Dilution Info", "Notes"], "tabs": { "all-applications": {"fullname" : "All Applications", "shortname": "All Applications"}, "WB" : {"fullname" : "Western blot", "shortname":"WB"}, "IHCP" : {"fullname" : "Immunohistochemistry (Formalin/PFA-fixed paraffin-embedded sections)", "shortname":"IHC-P"}, "IHCFr" : {"fullname" : "Immunohistochemistry (Frozen sections)", "shortname":"IHC-Fr"}, "ICCIF" : {"fullname" : "Immunocytochemistry/ Immunofluorescence", "shortname":"ICC/IF"}, "FlowCytIntra" : {"fullname" : "Flow Cytometry (Intracellular)", "shortname":"Flow Cyt (Intra)"}, "IP" : {"fullname" : "Immunoprecipitation", "shortname":"IP"} }, "product-promise": { "all": "all", "testedAndGuaranteed": "tested", "guaranteed": "expected", "predicted": "predicted", "notRecommended": "not-recommended" } }, "values": { "Human": { "WB-species-checked": "testedAndGuaranteed", "WB-species-dilution-info": "1/1000", "WB-species-notes": "<p></p>", "IHCP-species-checked": "testedAndGuaranteed", "IHCP-species-dilution-info": "1/100", "IHCP-species-notes": "<p></p> Perform heat-mediated antigen retrieval with Tris/EDTA buffer pH 9.0 before commencing with IHC staining protocol.", "IHCFr-species-checked": "notRecommended", "IHCFr-species-dilution-info": "", "IHCFr-species-notes": "", "ICCIF-species-checked": "testedAndGuaranteed", "ICCIF-species-dilution-info": "1/100", "ICCIF-species-notes": "<p></p>", "FlowCytIntra-species-checked": "guaranteed", "FlowCytIntra-species-dilution-info": "", "FlowCytIntra-species-notes": "", "IP-species-checked": "testedAndGuaranteed", "IP-species-dilution-info": "1/30", "IP-species-notes": "<p></p>" }, "Mouse": { "WB-species-checked": "testedAndGuaranteed", "WB-species-dilution-info": "1/1000", "WB-species-notes": "<p></p>", "IHCP-species-checked": "testedAndGuaranteed", "IHCP-species-dilution-info": "1/100", "IHCP-species-notes": "<p></p> Perform heat-mediated antigen retrieval with Tris/EDTA buffer pH 9.0 before commencing with IHC staining protocol.", "IHCFr-species-checked": "notRecommended", "IHCFr-species-dilution-info": "", "IHCFr-species-notes": "<p></p>", "ICCIF-species-checked": "testedAndGuaranteed", "ICCIF-species-dilution-info": "1/100", "ICCIF-species-notes": "<p></p>", "FlowCytIntra-species-checked": "testedAndGuaranteed", "FlowCytIntra-species-dilution-info": "1/50", "FlowCytIntra-species-notes": "<p></p>", "IP-species-checked": "testedAndGuaranteed", "IP-species-dilution-info": "1/30", "IP-species-notes": "<p></p>" }, "Rat": { "WB-species-checked": "testedAndGuaranteed", "WB-species-dilution-info": "1/1000", "WB-species-notes": "<p></p>", "IHCP-species-checked": "testedAndGuaranteed", "IHCP-species-dilution-info": "1/100", "IHCP-species-notes": "<p></p> Perform heat-mediated antigen retrieval with Tris/EDTA buffer pH 9.0 before commencing with IHC staining protocol.", "IHCFr-species-checked": "notRecommended", "IHCFr-species-dilution-info": "", "IHCFr-species-notes": "<p></p>", "ICCIF-species-checked": "guaranteed", "ICCIF-species-dilution-info": "", "ICCIF-species-notes": "", "FlowCytIntra-species-checked": "guaranteed", "FlowCytIntra-species-dilution-info": "", "FlowCytIntra-species-notes": "", "IP-species-checked": "testedAndGuaranteed", "IP-species-dilution-info": "1/30", "IP-species-notes": "<p></p>" } } }

Product details

What is this antibody validated in?
Anti-NKCC1 antibody [EPR26256-60] (ab303518) is a rabbit recombinant monoclonal antibody and is validated for use in Western Blot (WB), Flow Cytometry (Intra), Flow Cytometry (Flow Cyt), Immunoprecipitation (IP), Immunohistochemistry (IHC-P), Immunocytochemistry/immunofluorescence (ICC/IF) in Human, Mouse, Rat samples.

What is the molecular weight of NKCC1?
Anti-NKCC1 [EPR26256-60] (ab303518) specifically detects a band for NKCC1 (UniProt: P55012) at a molecular weight of 131kDa.

Trial sizes available!
Test your antibody or perform pre-screening before committing to a larger quantity. Sold in 10µl. Discover our selection of trial-size antibodies.

Other related products
We have a range of other formats of antibody clone [EPR26256-60] also available for your convenience: ab303518, Carrier free - ab303519

What are the advantages of a recombinant monoclonal antibody?
This product is a recombinant monoclonal antibody, which offers several advantages including:

  • - High batch-to-batch consistency and reproducibility
  • - Improved sensitivity and specificity
  • - Long-term security of supply
  • - Animal-free batch production

For more information, read more on recombinant antibodies.

Patented technology
Our RabMAb® technology is a patented hybridoma-based technology for making rabbit monoclonal antibodies. For details on our patents, please refer to RabMAb® patents.

Properties and storage information

Form
Liquid
Purification technique
Affinity purification Protein A
Storage buffer
pH: 7.2 - 7.4 Preservative: 0.01% Sodium azide Constituents: PBS, 40% Glycerol (glycerin, glycerine), 0.05% BSA
Shipped at conditions
Blue Ice
Appropriate short-term storage duration
1-2 weeks
Appropriate short-term storage conditions
+4°C
Appropriate long-term storage conditions
-20°C
Aliquoting information
Upon delivery aliquot
Storage information
Avoid freeze / thaw cycle

Product protocols

For this product, it's our understanding that no specific protocols are required. You can visit:

Target data

Cation-chloride cotransporter which mediates the electroneutral transport of chloride, potassium and/or sodium ions across the membrane (PubMed : 16669787, PubMed : 32081947, PubMed : 32294086, PubMed : 33597714, PubMed : 35585053, PubMed : 36239040, PubMed : 36306358, PubMed : 7629105). Plays a vital role in the regulation of ionic balance and cell volume (PubMed : 16669787, PubMed : 32081947, PubMed : 32294086, PubMed : 7629105).
See full target information SLC12A2

Publications (4)

Recent publications for all applications. Explore the full list and refine your search

Frontiers in pharmacology 16:1589143 PubMed40880648

2025

Polydatin ameliorates hyperhidrosis by targeting Aqp5 in a mouse model.

Applications

Unspecified application

Species

Unspecified reactive species

Jian-Feng Chen,Zhi Feng,Feng-Qiang Yu,Rui-Qin Qiu,Xu Li,Jian-Bo Lin

Acta pharmaceutica Sinica. B 14:4544-4559 PubMed39525574

2024

Choroid plexus CCL2‒CCR2 signaling orchestrates macrophage recruitment and cerebrospinal fluid hypersecretion in hydrocephalus.

Applications

Unspecified application

Species

Unspecified reactive species

Qiguang Wang,Fei Liu,Yue Li,Huan Zhang,Xin Qi,Ke Wu,Yi Zhang,Shenglan You,Wenke Liu,Xuhui Hui,Hanmei Li,Lei Zhu,Huile Gao,Jian Cheng

Brain, behavior, & immunity - health 42:100890 PubMed39507306

2024

Interleukin-18 interacts with NKCC1 to mediate brain injury after intracerebral hemorrhage.

Applications

Unspecified application

Species

Unspecified reactive species

Beibei Xu,Hao Li,He Zheng,Zhongyu Gao,Zhigang Miao,Xingshun Xu,Hao Yang,Yi Yang

Advanced science (Weinheim, Baden-Wurttemberg, Germany) 11:e2306622 PubMed38353402

2024

Modulation of Cerebrospinal Fluid Dysregulation via a SPAK and OSR1 Targeted Framework Nucleic Acid in Hydrocephalus.

Applications

Unspecified application

Species

Unspecified reactive species

Qiguang Wang,Jian Cheng,Fei Liu,Jianwei Zhu,Yue Li,Yuxuan Zhao,Xiang Li,Huan Zhang,Yan Ju,Lu Ma,Xuhui Hui,Yunfeng Lin
View all publications

Product promise

We are committed to supporting your work with high-quality reagents, and we're here for you every step of the way. In the unlikely event that one of our products does not perform as expected, you're protected by our Product Promise.
For full details, please see our Terms & Conditions

Please note: All products are 'FOR RESEARCH USE ONLY. NOT FOR USE IN DIAGNOSTIC OR THERAPEUTIC PROCEDURES'.

For licensing inquiries, please contact partnerships@abcam.com