JavaScript is disabled in your browser. Please enable JavaScript to view this website.
AB302908

Anti-NKG2D antibody [EPR24072-342] - BSA and Azide free

  • BOND RX™ Validated
  • RabMAb
  • Advanced Validation
  • Recombinant
  • What is this?

4

(2 Reviews)

|

(0 Publication)

Rabbit Recombinant Monoclonal NKG2D antibody. Carrier free. Suitable for IHC-P, mIHC and reacts with Human samples.

View Alternative Names

CD314, D12S2489E, NKG2D, KLRK1, NKG2-D type II integral membrane protein, Killer cell lectin-like receptor subfamily K member 1, NK cell receptor D, NKG2-D-activating NK receptor

4 Images
Immunohistochemistry - Anti-NKG2D antibody [EPR24072-342] - BSA and Azide free (AB302908)
  • IHC

Supplier Data

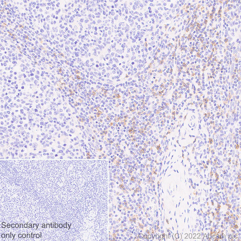
Immunohistochemistry - Anti-NKG2D antibody [EPR24072-342] - BSA and Azide free (AB302908)

This data was developed using ab302907, the same antibody clone in a different buffer formulation. Immunohistochemical analysis of paraffin-embedded Human NK/T cell lymp tissue labeling NKG2D with ab302907 at 1/2000 (0.258 ug/ml) followed by a LeicaDS9800 (Bond™ Polymer Refine Detection) was used at Ready to use dilution. Positive staining on human NK/T cell lymphoma. The section was incubated with ab302907 for 30 mins at room temperature.The immunostaining was performed on a Leica Biosystems BOND® RX instrument Counterstained with Hematoxylin. Secondary antibody only control : Secondary antibody is LeicaDS9800 (Bond™ Polymer Refine Detection) was used at Ready to use dilution. Heat mediated antigen retrieval was performed with Tris-EDTA buffer (pH 9.0, Epitope Retrieval Solution2) for 20 mins

Immunohistochemistry - Anti-NKG2D antibody [EPR24072-342] - BSA and Azide free (AB302908)
  • IHC

Supplier Data

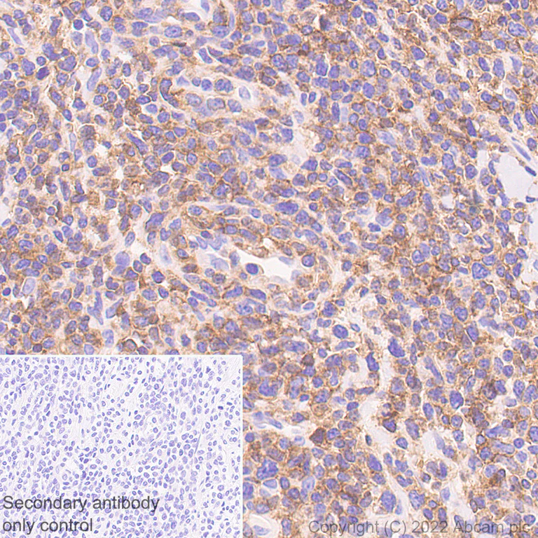
Immunohistochemistry - Anti-NKG2D antibody [EPR24072-342] - BSA and Azide free (AB302908)

This data was developed using ab302907, the same antibody clone in a different buffer formulation. Immunohistochemical analysis of paraffin-embedded Human tonsil tissue labeling NKG2D with ab302907 at 1/2000 (0.258 ug/ml) followed by a LeicaDS9800 (Bond™ Polymer Refine Detection) was used at Ready to use dilution. Positive staining on human tonsil. The section was incubated with ab302907 for 30 mins at room temperature.The immunostaining was performed on a Leica Biosystems BOND® RX instrument Counterstained with Hematoxylin. Secondary antibody only control : Secondary antibody is LeicaDS9800 (Bond™ Polymer Refine Detection) was used at Ready to use dilution. Heat mediated antigen retrieval was performed with Tris-EDTA buffer (pH 9.0, Epitope Retrieval Solution2) for 20 mins

Immunohistochemistry - Anti-NKG2D antibody [EPR24072-342] - BSA and Azide free (AB302908)
  • IHC

Supplier Data

Immunohistochemistry - Anti-NKG2D antibody [EPR24072-342] - BSA and Azide free (AB302908)

This data was developed using ab302907, the same antibody clone in a different buffer formulation. Immunohistochemical analysis of paraffin-embedded Human cardiac muscle tissue labeling NKG2D with ab302907 at 1/2000 (0.258 ug/ml) followed by a LeicaDS9800 (Bond™ Polymer Refine Detection) was used at Ready to use dilution. Negative control : no staining on human cardiac muscle. The section was incubated with ab302907 for 30 mins at room temperature.The immunostaining was performed on a Leica Biosystems BOND® RX instrument Counterstained with Hematoxylin. Secondary antibody only control : Secondary antibody is LeicaDS9800 (Bond™ Polymer Refine Detection) was used at Ready to use dilution. Heat mediated antigen retrieval was performed with Tris-EDTA buffer (pH 9.0, Epitope Retrieval Solution2) for 20 mins

Multiplex immunohistochemistry - Anti-NKG2D antibody [EPR24072-342] - BSA and Azide free (AB302908)
  • mIHC

Supplier Data

Multiplex immunohistochemistry - Anti-NKG2D antibody [EPR24072-342] - BSA and Azide free (AB302908)

This data was developed using ab302907, the same antibody clone in a different buffer formulation.  Multichannel (Multiplex) immunohistochemistry analysis of Formalin/PFA-fixed paraffin-embedded sections of human tonsil tissue labeling NKG2D, NKG2a, and CD8 alpha. Panel A : merged staining of anti-CD8 alpha (red; Opal™690), anti-NKG2A (gray; Opal™520) and anti-NKG2D (green; Opal™570) on human tonsil. Panel B : anti-NKG2D (ab302907 at 1 : 2000 dilution (0.258 μg/ml)) signal on NK cells and T cell subsets. Panel C : anti-NKG2A (ab260035 at 1 : 2000 dilution (0.283 μg/ml)) signal on NK cells. Panel D : anti-CD8 alpha (ab178089 at 1 : 100 dilution (0.83 μg/ml)) signal on T cell subsets. Opal Polymer HRP Ms + Rb was used as secondary antibody. The section was incubated in three rounds of staining : in the order of ab178089, ab260035, and ab302907 for 30 mins at room temperature. Each round was followed by a separate fluorescent tyramide signal amplification system. Heat mediated antigen retrieval with Tris-EDTA buffer (pH 9.0, epitope retrieval solution2) for 20 mins. Nuclear counterstain was DAPI. The immunostaining was performed on a Leica Biosystems BOND® RX instrument with an Opal™ 4-color kit. Image acquisition was performed with Leica SP8 confocal microscope.

Key facts

Host species

Rabbit

Clonality

Monoclonal

Clone number

EPR24072-342

Isotype

IgG

Carrier free

Yes

Reacts with

Human

Applications

IHC-P, mIHC

applications

Immunogen

The exact immunogen used to generate this antibody is proprietary information.

Reactivity data

{ "title": "Reactivity Data", "filters": { "stats": ["", "Species", "Dilution Info", "Notes"], "tabs": { "all-applications": {"fullname" : "All Applications", "shortname": "All Applications"}, "WB" : {"fullname" : "Western blot", "shortname":"WB"}, "IHCP" : {"fullname" : "Immunohistochemistry (Formalin/PFA-fixed paraffin-embedded sections)", "shortname":"IHC-P"}, "mIHC" : {"fullname" : "Multiplex immunohistochemistry", "shortname":"mIHC"}, "ICCIF" : {"fullname" : "Immunocytochemistry/ Immunofluorescence", "shortname":"ICC/IF"}, "FlowCyt" : {"fullname" : "Flow Cytometry", "shortname":"Flow Cyt"}, "IP" : {"fullname" : "Immunoprecipitation", "shortname":"IP"} }, "product-promise": { "all": "all", "testedAndGuaranteed": "tested", "guaranteed": "expected", "predicted": "predicted", "notRecommended": "not-recommended" } }, "values": { "Human": { "WB-species-checked": "notRecommended", "WB-species-dilution-info": "", "WB-species-notes": "<p></p>", "IHCP-species-checked": "testedAndGuaranteed", "IHCP-species-dilution-info": "1/2000", "IHCP-species-notes": "<p></p>", "mIHC-species-checked": "testedAndGuaranteed", "mIHC-species-dilution-info": "", "mIHC-species-notes": "<p>Perform heat mediated antigen retrieval with Tris/EDTA buffer pH 9.0 before commencing with IHC staining protocol.</p>", "ICCIF-species-checked": "notRecommended", "ICCIF-species-dilution-info": "", "ICCIF-species-notes": "<p></p>", "FlowCyt-species-checked": "notRecommended", "FlowCyt-species-dilution-info": "", "FlowCyt-species-notes": "<p></p>", "IP-species-checked": "notRecommended", "IP-species-dilution-info": "", "IP-species-notes": "<p></p>" }, "Mouse": { "WB-species-checked": "notRecommended", "WB-species-dilution-info": "", "WB-species-notes": "<p></p>", "IHCP-species-checked": "notRecommended", "IHCP-species-dilution-info": "1/2000", "IHCP-species-notes": "<p></p>", "mIHC-species-checked": "notRecommended", "mIHC-species-dilution-info": "", "mIHC-species-notes": "<p>Perform heat mediated antigen retrieval with Tris/EDTA buffer pH 9.0 before commencing with IHC staining protocol.</p>", "ICCIF-species-checked": "notRecommended", "ICCIF-species-dilution-info": "", "ICCIF-species-notes": "<p></p>", "FlowCyt-species-checked": "notRecommended", "FlowCyt-species-dilution-info": "", "FlowCyt-species-notes": "<p></p>", "IP-species-checked": "notRecommended", "IP-species-dilution-info": "", "IP-species-notes": "<p></p>" }, "Rat": { "WB-species-checked": "notRecommended", "WB-species-dilution-info": "", "WB-species-notes": "<p></p>", "IHCP-species-checked": "notRecommended", "IHCP-species-dilution-info": "1/2000", "IHCP-species-notes": "<p></p>", "mIHC-species-checked": "notRecommended", "mIHC-species-dilution-info": "", "mIHC-species-notes": "", "ICCIF-species-checked": "notRecommended", "ICCIF-species-dilution-info": "", "ICCIF-species-notes": "<p></p>", "FlowCyt-species-checked": "notRecommended", "FlowCyt-species-dilution-info": "", "FlowCyt-species-notes": "<p></p>", "IP-species-checked": "notRecommended", "IP-species-dilution-info": "", "IP-species-notes": "<p></p>" } } }

Product details

Conjugation ready
Our carrier-free antibodies are typically supplied in a PBS-only formulation, purified and free of BSA, sodium azide and glycerol. This conjugation-ready format is designed for use with fluorochromes, metal isotopes, oligonucleotides, and enzymes, which makes them ideal for antibody labelling, functional and cell-based assays, flow-based assays (e.g. mass cytometry) and Multiplex Imaging applications.

Use our conjugation kits for antibody conjugates that are ready-to-use in as little as 20 minutes with 1 minute hands-on-time and 100% antibody recovery: available for fluorescent dyes, HRP, biotin and gold.

Compatibility
This product is compatible with the Maxpar® Antibody Labeling Kit from Fluidigm, without the need for antibody preparation. Maxpar® is a trademark of Fluidigm Canada Inc.

Patented technology
Our RabMAb® technology is a patented hybridoma-based technology for making rabbit monoclonal antibodies. For details on our patents, please refer to RabMAb® patents.

What are the advantages of a recombinant monoclonal antibody?
This product is a recombinant monoclonal antibody, which offers several advantages including:

  • - High batch-to-batch consistency and reproducibility
  • - Improved sensitivity and specificity
  • - Long-term security of supply
  • - Animal-free batch production

For more information, read more on recombinant antibodies.

Properties and storage information

Form
Liquid
Purification technique
Affinity purification Protein A
Storage buffer
pH: 7.2 - 7.4 Constituents: PBS
Shipped at conditions
Blue Ice
Appropriate short-term storage conditions
+4°C
Appropriate long-term storage conditions
+4°C
Storage information
Do Not Freeze

Supplementary information

This supplementary information is collated from multiple sources and compiled automatically.

NKG2D also known as natural killer group 2 member D is a type-2 transmembrane receptor with a mass of approximately 42 kDa. Expressed primarily on natural killer (NK) cells CD8+ T cells subsets of CD4+ T cells and some macrophages it recognizes stress-induced ligands presented on target cells. This protein plays an important role in the immune system's recognition and elimination of infected or transformed cells by binding to its ligands which include MHC class I chain-related proteins MICA/B and UL16-binding proteins.
Biological function summary

NKG2D acts as an activating receptor on the cell surface that initiates immune responses leading to cytotoxicity against target cells. It functions as part of a complex involving the adaptor protein DAP10 which transduces activating signals to promote cellular immune responses. This interaction amplifies the activation of immune cells and contributes to the host's defense against tumors and virally infected cells.

Pathways

NKG2D plays a significant role in immune surveillance and signaling pathways. It actively involves in the natural killer (NK) cell-mediated cytotoxicity pathway and the adaptive immune response pathway. The interaction with proteins such as DAP10 is critical for its signaling function contributing to its interaction within these pathways. The signaling through NKG2D directly affects the activation states and responses of immune cells which are vital in immune defense.

NKG2D is implicated in cancer and autoimmune diseases. In cancer overexpression of its ligands on tumor cells makes them susceptible to NKG2D-mediated cell lysis. On the other hand aberrant expression of NKG2D ligands in autoimmune disorders can lead to inappropriate immune activation. The interaction with MICA/B proteins is significant in these conditions emphasizing its importance in both immune surveillance and potential disease pathogenesis.

Product protocols

For this product, it's our understanding that no specific protocols are required. You can visit:

Target data

Functions as an activating and costimulatory receptor involved in immunosurveillance upon binding to various cellular stress-inducible ligands displayed at the surface of autologous tumor cells and virus-infected cells. Provides both stimulatory and costimulatory innate immune responses on activated killer (NK) cells, leading to cytotoxic activity. Acts as a costimulatory receptor for T-cell receptor (TCR) in CD8(+) T-cell-mediated adaptive immune responses by amplifying T-cell activation. Stimulates perforin-mediated elimination of ligand-expressing tumor cells. Signaling involves calcium influx, culminating in the expression of TNF. Participates in NK cell-mediated bone marrow graft rejection. May play a regulatory role in differentiation and survival of NK cells. Binds to ligands belonging to various subfamilies of MHC class I-related glycoproteins including MICA, MICB, RAET1E, RAET1G, RAET1L/ULBP6, ULBP1, ULBP2, ULBP3 (ULBP2>ULBP1>ULBP3) and ULBP4.
See full target information KLRK1

Product promise

We are committed to supporting your work with high-quality reagents, and we're here for you every step of the way. In the unlikely event that one of our products does not perform as expected, you're protected by our Product Promise.
For full details, please see our Terms & Conditions

Please note: All products are 'FOR RESEARCH USE ONLY. NOT FOR USE IN DIAGNOSTIC OR THERAPEUTIC PROCEDURES'.

For licensing inquiries, please contact partnerships@abcam.com