JavaScript is disabled in your browser. Please enable JavaScript to view this website.
AB203390

Anti-NKp30 antibody

5

(3 Reviews)

|

(1 Publication)

Rabbit Polyclonal NKp30 antibody. Suitable for IHC-P and reacts with Human samples. Cited in 1 publication. Immunogen corresponding to Synthetic Peptide within Human NCR3 aa 50-150 conjugated to Keyhole Limpet Haemocyanin.

View Alternative Names

CD337, 1C7, LY117, NCR3, Natural cytotoxicity triggering receptor 3, Activating natural killer receptor p30, Natural killer cell p30-related protein, NK-p30, NKp30

1 Images
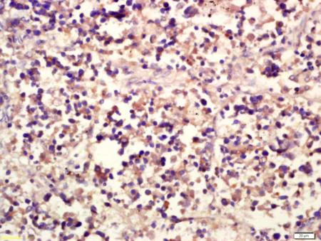
Immunohistochemistry (Formalin/PFA-fixed paraffin-embedded sections) - Anti-NKp30 antibody (AB203390)
  • IHC-P

Supplier Data

Immunohistochemistry (Formalin/PFA-fixed paraffin-embedded sections) - Anti-NKp30 antibody (AB203390)

Immunohistochemical analysis of formalin-fixed paraffin-embedded Human lung carcinoma tissue, labeling NK-p30 using ab203390 at a 1/200 dilution, followed by conjugation to the secondary antibody and DAB staining.

Key facts

Host species

Rabbit

Clonality

Polyclonal

Isotype

IgG

Carrier free

No

Reacts with

Human

Applications

IHC-P

applications

Immunogen

Synthetic Peptide within Human NCR3 aa 50-150 conjugated to Keyhole Limpet Haemocyanin. The exact immunogen used to generate this antibody is proprietary information.

O14931

Reactivity data

{ "title": "Reactivity Data", "filters": { "stats": ["", "Species", "Dilution Info", "Notes"], "tabs": { "all-applications": {"fullname" : "All Applications", "shortname": "All Applications"}, "IHCP" : {"fullname" : "Immunohistochemistry (Formalin/PFA-fixed paraffin-embedded sections)", "shortname":"IHC-P"} }, "product-promise": { "all": "all", "testedAndGuaranteed": "tested", "guaranteed": "expected", "predicted": "predicted", "notRecommended": "not-recommended" } }, "values": { "Human": { "IHCP-species-checked": "testedAndGuaranteed", "IHCP-species-dilution-info": "1/100 - 1/500", "IHCP-species-notes": "<p>Use at 1/50 - 1/200 with fluorescent detection methods.</p> Perform heat-mediated antigen retrieval with citrate buffer pH 6 before commencing with IHC staining protocol." } } }

Properties and storage information

Form
Liquid
Purification technique
Affinity purification Protein A
Storage buffer
pH: 7.4 Preservative: 0.02% Proclin 300 Constituents: 50% Glycerol (glycerin, glycerine), 48.98% TBS, 1X, 1% BSA
Shipped at conditions
Blue Ice
Appropriate short-term storage duration
1-2 weeks
Appropriate short-term storage conditions
+4°C
Appropriate long-term storage conditions
-20°C
Aliquoting information
Upon delivery aliquot
Storage information
Avoid freeze / thaw cycle

Supplementary information

This supplementary information is collated from multiple sources and compiled automatically.

NKp30 also known as NCR3 (Natural Cytotoxicity Receptor 3) is a type I transmembrane protein that functions as an activating receptor on natural killer (NK) cells. It is part of the natural cytotoxicity receptor family and is encoded by the NCR3 gene. NKp30 is characterized by its structure which includes a single immunoglobulin-like domain. This protein weighs approximately 30 kDa. NKp30 is expressed mainly on resting and activated NK cells as well as IL-15-stimulated NK cells found in humans.
Biological function summary

NKp30 plays a significant role in immune response by recognizing and binding to ligands on tumor cells and virus-infected cells facilitating their elimination. It forms part of a larger immunological complex that includes DNAM-1 and 2B4 other activating receptors that work in concert to enhance the natural killing ability of NK cells. NKp30 triggers the release of cytotoxic granules and cytokines like IFN-γ leading to an enhanced cytotoxic response against target cells.

Pathways

NKp30 participates heavily in immune regulation especially in NK cell-mediated cytotoxicity. This protein is involved in pathways such as the NK cell-mediated antibody-dependent cellular cytotoxicity (ADCC) and has strong interaction with signaling proteins like CD3ζ and DAP12 which transduce activating signals. Through these pathways NKp30 influences the immune surveillance capability of NK cells modulating immune responses and maintaining cellular homeostasis.

NKp30 has been implicated in cancer progression and immune evasion notably in melanoma and gastrointestinal stromal tumors (GIST). Altered expression of NKp30 can result in reduced immune recognition and elimination of these tumor cells. The protein's interaction with B7-H6 a ligand often overexpressed on cancer cells illustrates its importance in tumor immunity. NKp30's function or dysfunction makes it a relevant target for therapeutic interventions aimed at restoring immune competence against cancerous cells.

Product protocols

For this product, it's our understanding that no specific protocols are required. You can visit:

Target data

Cell membrane receptor of natural killer/NK cells that is activated by binding of extracellular ligands including BAG6 and NCR3LG1. Stimulates NK cells cytotoxicity toward neighboring cells producing these ligands. It controls, for instance, NK cells cytotoxicity against tumor cells. Engagement of NCR3 by BAG6 also promotes myeloid dendritic cells (DC) maturation, both through killing DCs that did not acquire a mature phenotype, and inducing the release by NK cells of TNFA and IFNG which promote DC maturation.
See full target information NCR3

Publications (1)

Recent publications for all applications. Explore the full list and refine your search

Neuropathology : official journal of the Japanese Society of Neuropathology 39:279-285 PubMed31183926

2019

Immunoreactivity of myelin-associated oligodendrocytic basic protein in Lewy bodies.

Applications

Unspecified application

Species

Unspecified reactive species

Tomoya Kon,Kunikazu Tanji,Fumiaki Mori,Akari Kimura,Akiyoshi Kakita,Koichi Wakabayashi
View all publications

Product promise

We are committed to supporting your work with high-quality reagents, and we're here for you every step of the way. In the unlikely event that one of our products does not perform as expected, you're protected by our Product Promise.
For full details, please see our Terms & Conditions

Please note: All products are 'FOR RESEARCH USE ONLY. NOT FOR USE IN DIAGNOSTIC OR THERAPEUTIC PROCEDURES'.

For licensing inquiries, please contact partnerships@abcam.com