JavaScript is disabled in your browser. Please enable JavaScript to view this website.
AB289542

Anti-NKR-P1C antibody [EPR22990-31]

4

(1 Review)

|

(9 Publications)

Anti-NKR-P1C antibody [EPR22990-31] (ab289542) is a rabbit monoclonal antibody detecting NKR-P1C in Flow Cytometry, IHC-P, IHC-Fr, ICC/IF. Suitable for Mouse.

- Biophysical QC for unrivalled batch-batch consistency

View Alternative Names

CD161c, Ly55c, Nkrp1c, Klrb1c, Killer cell lectin-like receptor subfamily B member 1C, CD161 antigen-like family member C, Lymphocyte antigen 55c, NK1.1, NKR-P1.9, NKR-P1C, Natural killer cell surface protein P1-40, Ly-55c, NKR-P1 40

9 Images
Immunohistochemistry (Formalin/PFA-fixed paraffin-embedded sections) - Anti-NKR-P1C antibody [EPR22990-31] (AB289542)
  • IHC-P

Supplier Data

Immunohistochemistry (Formalin/PFA-fixed paraffin-embedded sections) - Anti-NKR-P1C antibody [EPR22990-31] (AB289542)

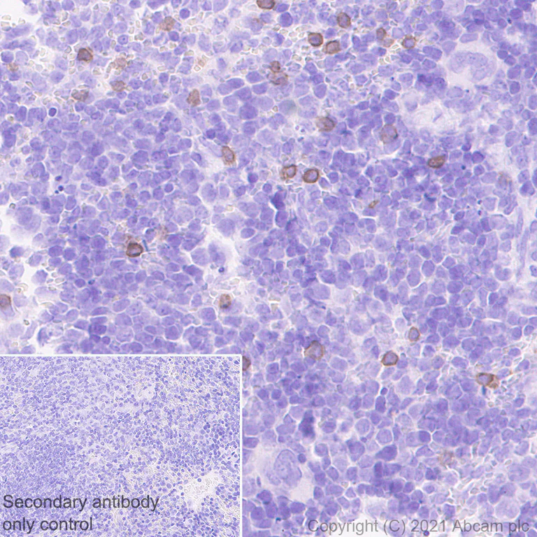
Immunohistochemical analysis of paraffin-embedded Mouse spleen tissue labelling NKR-P1C with ab289542 at 1/100 (5.26 μg/ml) followed by a ready to use Goat Anti-Rabbit IgG H&L (HRP polymer). Positive staining on mouse spleen. The section was incubated with ab289542 at 4°C overnight. Counterstained with Hematoxylin.

Secondary antibody only control : Secondary antibody is a ready to use Goat Anti-Rabbit IgG H&L (HRP polymer).

Heat mediated antigen retrieval using ab93684 (Tris/EDTA buffer, pH 9.0)

Immunocytochemistry/ Immunofluorescence - Anti-NKR-P1C antibody [EPR22990-31] (AB289542)
  • ICC/IF

Supplier Data

Immunocytochemistry/ Immunofluorescence - Anti-NKR-P1C antibody [EPR22990-31] (AB289542)

Immunofluorescent analysis of 4% Paraformaldehyde-fixed, 0.1% TritonX-100 permeabilized Mouse spleen cells labelling NKR-P1C with ab289542 at 1/50 (10.52 μg/ml) dilution, followed by ab150081 Goat Anti-Rabbit IgG H&L (Alexa Fluor® 488) preadsorbed antibody at 1/1000 (2 μg/ml) dilution (Green). Confocal image showing membranal staining in subsets of mouse splenocytes is observed. ab195889 Anti-alpha Tubulin mouse monoclonal antibody - Microtubule Marker (Alexa Fluor® 594) was used to counterstain tubulin at 1/200 (2.5 μg/ml) dilution (Red). The Nuclear counterstain was DAPI (Blue).

Secondary antibody only control : Secondary antibody is ab150081 Goat Anti-Rabbit IgG H&L (Alexa Fluor® 488) preadsorbed at 1/1000 (2 μg/ml) dilution.

Immunohistochemistry (Formalin/PFA-fixed paraffin-embedded sections) - Anti-NKR-P1C antibody [EPR22990-31] (AB289542)
  • IHC-P

Supplier Data

Immunohistochemistry (Formalin/PFA-fixed paraffin-embedded sections) - Anti-NKR-P1C antibody [EPR22990-31] (AB289542)

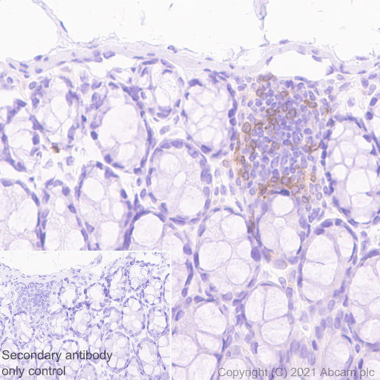
Immunohistochemical analysis of paraffin-embedded Mouse colon tissue labelling NKR-P1C with ab289542 at 1/100 (5.26 μg/ml) followed by a ready to use Goat Anti-Rabbit IgG H&L (HRP polymer). Positive staining on lympho node of mouse colon. The section was incubated with ab289542 at 4°C overnight. Counterstained with Hematoxylin.

Secondary antibody only control : Secondary antibody is a ready to use Goat Anti-Rabbit IgG H&L (HRP polymer).

Heat mediated antigen retrieval using ab93684 (Tris/EDTA buffer, pH 9.0)

Flow Cytometry - Anti-NKR-P1C antibody [EPR22990-31] (AB289542)
  • Flow Cyt

Supplier Data

Flow Cytometry - Anti-NKR-P1C antibody [EPR22990-31] (AB289542)

Flow cytometric analysis of Mouse splenocytes cells labelling NKR-P1C with ab289542 at 1/500 dilution (0.1ug). Goat Anti-Rabbit IgG (Alexa Fluor® 488, ab150081) at 1/2000 dilution was used as the secondary antibody. Cells were stained with ab289542, and then stained with anti-CD19 conjugated to PE-Cy7 or anti-CD11b conjugated to BV510. Gated on viable cells. Negative expression on B cells (Left) and Myeloid cells (Right) were observed.

Flow Cytometry - Anti-NKR-P1C antibody [EPR22990-31] (AB289542)
  • Flow Cyt

Supplier Data

Flow Cytometry - Anti-NKR-P1C antibody [EPR22990-31] (AB289542)

Flow cytometric analysis of Mouse splenocytes cells labelling NKR-P1C with ab289542 at 1/500 dilution (0.1ug) (Right) compared with a Rabbit monoclonal IgG (ab172730) isotype control (Left). Goat Anti-Rabbit IgG (Alexa Fluor® 488, ab150081) at 1/2000 dilution was used as the secondary antibody. Cells were stained with rabbit IgG or ab289542. Then stained with anti-CD49b conjugated to PE. Gated on viable cells.

Flow Cytometry - Anti-NKR-P1C antibody [EPR22990-31] (AB289542)
  • Flow Cyt

Supplier Data

Flow Cytometry - Anti-NKR-P1C antibody [EPR22990-31] (AB289542)

Flow cytometric analysis of Mouse splenocytes cells labelling NKR-P1C with ab289542 at 1/500 dilution (0.1ug). Goat Anti-Rabbit IgG (Alexa Fluor® 488, ab150081) at 1/2000 dilution was used as the secondary antibody. Cells were stained with ab289542, and then stained with anti-CD3 conjugated to Alexa Fluor® 647. Gated on viable cells. NK(NKR-P1C+) and NKT(CD3+NKR-P1C+) population were observed by CD3 co-staining.

Immunohistochemistry (Frozen sections) - Anti-NKR-P1C antibody [EPR22990-31] (AB289542)
  • IHC-Fr

Supplier Data

Immunohistochemistry (Frozen sections) - Anti-NKR-P1C antibody [EPR22990-31] (AB289542)

Immunohistochemical analysis of 4% PFA-fixed, 0.2% Triton X-100 permeabilized frozen Mouse spleen (fresh) tissue labeling NKR-P1C with ab289542 at 1/100 (5.26 μg/ml) dilution followed by ab150081 Goat Anti-Rabbit IgG H&L (Alexa Fluor® 488) preadsorbed at 1/1000 (2 μg/mL) dilution (Green). Positive staining in mouse spleen is observed. The nuclear counterstain was DAPI (Blue).

Secondary antibody control : Secondary antibody is ab150081 Goat Anti-Rabbit IgG H&L (Alexa Fluor® 488) preadsorbed at 1/1000 (2 μg/mL) dilution.

Immunohistochemistry (Formalin/PFA-fixed paraffin-embedded sections) - Anti-NKR-P1C antibody [EPR22990-31] (AB289542)
  • IHC-P

AbReview82632****

Immunohistochemistry (Formalin/PFA-fixed paraffin-embedded sections) - Anti-NKR-P1C antibody [EPR22990-31] (AB289542)

Immunohistochemistry (Formalin/PFA-fixed paraffin-embedded sections) analysis of paraformaldehyde-fixed mouse lung tissue staining with ab289542 at 1/100 dilution. Secondary antibody was a ready to use HRP anti-polyvalent. Samples were incubated with the primary antibody with 1% BSA in 1x PBS for 24 hours at 4°C. Blocking was done using a ready to use 12.5% Mouse on Mouse Blocking reagent for 1 hour at 22 degrees. Heat mediated antigen retrieval with Tris/EDTA pH9 performed in a steamer at approx. 99°C for 20 min. Hematoxylin was used for counterstaining.

This image is courtesy of an anonymous Abreview

Multiplex immunohistochemistry - Anti-NKR-P1C antibody [EPR22990-31] (AB289542)
  • mIHC

Supplier Data

Multiplex immunohistochemistry - Anti-NKR-P1C antibody [EPR22990-31] (AB289542)

Multiplex immunohistochemistry (Formalin/PFA-fixed paraffin-embedded sections) analysis of Mouse spleen tissue staining Klra8 with ab313388 at a 1/2000 dilution ( 0.253 μg/ml), ab289542 anti-NKR-P1C used at 1/100 dilution (5.18 μg/ml). Panel A : merged staining of anti-NKR-P1C (green; Opal™520) and anti-Klra8 (red; Opal™570) on mouse spleen. Panel B : anti-Klra8 stained on NK cell subsets. Panel C : anti-NKR-P1C stained on NK cell subsets. The section was incubated in two rounds of staining : in the order of ab289542 and ab313388 for 30 mins at room temperature. Heat mediated antigen retrieval was performed with Tris-EDTA buffer (pH 9.0, Epitope Retrieval Solution2) for 20 mins Each round was followed by a separate fluorescent tyramide signal amplification system. The immunostaining was performed on a Leica Biosystems BOND® RX instrument with an Opal™ 4-color kit. Image acquisition was performed with Leica SP8 confocal microscope.

  • Carrier free

    Anti-NKR-P1C antibody [EPR22990-31] - BSA and Azide free

  • 665 Alexa Fluor® 647

    Alexa Fluor® 647 Anti-NKR-P1C antibody [EPR22990-31]

  • 519 Alexa Fluor® 488

    Alexa Fluor® 488 Anti-NKR-P1C antibody [EPR22990-31]

  • 519 FITC

    FITC Anti-NKR-P1C antibody [EPR22990-31]

Key facts

Host species

Rabbit

Clonality

Monoclonal

Clone number

EPR22990-31

Isotype

IgG

Carrier free

No

Reacts with

Mouse

Applications

IHC-P, Flow Cyt, ICC/IF, IHC-Fr

applications

Immunogen

The exact immunogen used to generate this antibody is proprietary information.

Reactivity data

{ "title": "Reactivity Data", "filters": { "stats": ["", "Species", "Dilution Info", "Notes"], "tabs": { "all-applications": {"fullname" : "All Applications", "shortname": "All Applications"}, "ICCIF" : {"fullname" : "Immunocytochemistry/ Immunofluorescence", "shortname":"ICC/IF"}, "IP" : {"fullname" : "Immunoprecipitation", "shortname":"IP"}, "FlowCyt" : {"fullname" : "Flow Cytometry", "shortname":"Flow Cyt"}, "WB" : {"fullname" : "Western blot", "shortname":"WB"}, "IHCP" : {"fullname" : "Immunohistochemistry (Formalin/PFA-fixed paraffin-embedded sections)", "shortname":"IHC-P"}, "IHCFr" : {"fullname" : "Immunohistochemistry (Frozen sections)", "shortname":"IHC-Fr"} }, "product-promise": { "all": "all", "testedAndGuaranteed": "tested", "guaranteed": "expected", "predicted": "predicted", "notRecommended": "not-recommended" } }, "values": { "Human": { "ICCIF-species-checked": "notRecommended", "ICCIF-species-dilution-info": "", "ICCIF-species-notes": "", "IP-species-checked": "notRecommended", "IP-species-dilution-info": "", "IP-species-notes": "", "FlowCyt-species-checked": "notRecommended", "FlowCyt-species-dilution-info": "", "FlowCyt-species-notes": "", "WB-species-checked": "notRecommended", "WB-species-dilution-info": "", "WB-species-notes": "<p></p>", "IHCP-species-checked": "notRecommended", "IHCP-species-dilution-info": "1/100", "IHCP-species-notes": "<p></p>", "IHCFr-species-checked": "notRecommended", "IHCFr-species-dilution-info": "", "IHCFr-species-notes": "" }, "Mouse": { "ICCIF-species-checked": "testedAndGuaranteed", "ICCIF-species-dilution-info": "1/50", "ICCIF-species-notes": "<p></p>", "IP-species-checked": "notRecommended", "IP-species-dilution-info": "", "IP-species-notes": "<p></p>", "FlowCyt-species-checked": "testedAndGuaranteed", "FlowCyt-species-dilution-info": "1/500", "FlowCyt-species-notes": "<p></p>", "WB-species-checked": "notRecommended", "WB-species-dilution-info": "", "WB-species-notes": "<p></p>", "IHCP-species-checked": "testedAndGuaranteed", "IHCP-species-dilution-info": "1/100", "IHCP-species-notes": "<p></p>", "IHCFr-species-checked": "testedAndGuaranteed", "IHCFr-species-dilution-info": "1/100", "IHCFr-species-notes": "<p></p>" }, "Rat": { "ICCIF-species-checked": "notRecommended", "ICCIF-species-dilution-info": "", "ICCIF-species-notes": "", "IP-species-checked": "notRecommended", "IP-species-dilution-info": "", "IP-species-notes": "", "FlowCyt-species-checked": "notRecommended", "FlowCyt-species-dilution-info": "", "FlowCyt-species-notes": "", "WB-species-checked": "notRecommended", "WB-species-dilution-info": "", "WB-species-notes": "<p></p>", "IHCP-species-checked": "notRecommended", "IHCP-species-dilution-info": "1/100", "IHCP-species-notes": "<p></p>", "IHCFr-species-checked": "notRecommended", "IHCFr-species-dilution-info": "1/100", "IHCFr-species-notes": "<p></p>" } } }

Product details

What is this antibody validated in?
Anti-NKR-P1C antibody [EPR22990-31] (ab289542) is a rabbit recombinant monoclonal antibody and is validated for use in Flow Cytometry (Flow Cyt), Immunohistochemistry (IHC-P), Immunohistochemistry (IHC-Fr), Immunocytochemistry/immunofluorescence (ICC/IF) in Mouse samples.

Trial sizes available!
Test your antibody or perform pre-screening before committing to a larger quantity. Sold in 10µl. Discover our selection of trial-size antibodies.

Other related products
We have a range of other formats of antibody clone [EPR22990-31] also available for your convenience: ab289542, Carrier free - ab289553, Alexa Fluor® 488 - ab313750, Alexa Fluor® 647 - ab313751, FITC - ab315141

Patented technology
Our RabMAb® technology is a patented hybridoma-based technology for making rabbit monoclonal antibodies. For details on our patents, please refer to RabMAb® patents.

What are the advantages of a recombinant monoclonal antibody?
This product is a recombinant monoclonal antibody, which offers several advantages including:

  • - High batch-to-batch consistency and reproducibility
  • - Improved sensitivity and specificity
  • - Long-term security of supply
  • - Animal-free batch production

For more information, read more on recombinant antibodies.

Properties and storage information

Form
Liquid
Purification technique
Affinity purification Protein A
Storage buffer
pH: 7.2 - 7.4 Preservative: 0.01% Sodium azide Constituents: PBS, 40% Glycerol (glycerin, glycerine), 0.05% BSA
Shipped at conditions
Blue Ice
Appropriate short-term storage duration
1-2 weeks
Appropriate short-term storage conditions
+4°C
Appropriate long-term storage conditions
-20°C
Aliquoting information
Upon delivery aliquot
Storage information
Avoid freeze / thaw cycle

Supplementary information

This supplementary information is collated from multiple sources and compiled automatically.

NKR-P1C also known as NK1.1 is a C-type lectin-like receptor expressed on the surface of natural killer (NK) cells and some T cells. In mice this protein has a molecular mass of approximately 30 to 46 kDa. Researchers often focus on its distribution in cellular compartments which includes lymphoid tissues such as the spleen and thymus. This receptor is known for playing a role in the regulation of immune responses by enabling NK cells to recognize and eliminate target cells.
Biological function summary

NKR-P1C is critical in the activation and inhibition of natural killer cell functions. This protein does not operate alone but often functions as part of an immune receptor complex. It contributes to the balance between activating and inhibitory signals that determine NK cell responses. NKR-P1C can bind to ligands that influence the cytotoxic activity of these cells toward infected or malignant cells.

Pathways

NKR-P1C integrates into important immune signaling pathways such as the NK cell-mediated cytotoxicity pathway. This pathway involves interactions with other receptors like Ly49 and NKG2D which modulate NK cell activities. NKR-P1C plays an essential role in transmitting signals that lead to the release of cytokines and the destruction of afflicted cells coordinating with these receptors to execute immune functions.

NKR-P1C has associations with cancer and viral infections where it influences NK cell interventions against pathologies. During tumor development or viral infection NKR-P1C may change expression patterns potentially affecting immune surveillance and responses. It works in tandem with proteins like perforin and granzymes which are involved in inducing cell death in target cells making it a significant player in immune responses to malignancies and persistent viruses.

Product protocols

For this product, it's our understanding that no specific protocols are required. You can visit:

Target data

Plays a stimulatory role on natural killer (NK) cells cytotoxicity. Activation by cross-linking of the receptor induces Ca(2+) mobilization and interferon-gamma production.
See full target information Klrb1c

Publications (9)

Recent publications for all applications. Explore the full list and refine your search

Journal of inflammation research 18:8243-8262 PubMed40589609

2025

Exploration and Validation of Key Genes and Immune Infiltration in Alcoholic Hepatitis.

Applications

Unspecified application

Species

Unspecified reactive species

Yingna Mei,Yitao Zheng,Xingfen Zhang,Ting Hu,Xiaoqing Zheng,Cui Zhang,Qinzhi Deng

Molecular medicine (Cambridge, Mass.) 31:186 PubMed40361040

2025

Comprehensive single-cell transcriptomic reveals different destinies of melanocytes and dynamic changes of immune microenvironment in a psychological stress-induced leukoderma and leukotrichia mouse model.

Applications

Unspecified application

Species

Unspecified reactive species

Xuechen Cao,Yongkai Yu,Hang Yao,Yujie Zheng,Jiawei Lu,Yifei Feng,Tongxin Pei,Ziyu Li,Ming Lu,Yan Lu

Journal of nanobiotechnology 23:186 PubMed40050894

2025

Oxygen-delivery nanoparticles enhanced immunotherapy efficacy monitored by granzyme B PET imaging in malignant tumors.

Applications

Unspecified application

Species

Unspecified reactive species

Xingyi Wang,Hanyi Fang,Wenzhu Hu,Yuan Feng,Zhangyongxue Zhou,Mengyan Hu,Dawei Jiang,Yongxue Zhang,Xiaoli Lan

Frontiers in immunology 15:1466802 PubMed39840066

2025

Restoring natural killer cell activity in lung injury with 1,25-hydroxy vitamin D: a promising therapeutic approach.

Applications

Unspecified application

Species

Unspecified reactive species

Johnny Amer,Ahmad Salhab,Mohammad Abuawad

Nature communications 15:5670 PubMed38971872

2024

An in-situ peptide-antibody self-assembly to block CD47 and CD24 signaling enhances macrophage-mediated phagocytosis and anti-tumor immune responses.

Applications

Unspecified application

Species

Unspecified reactive species

Weiqi Zhang,Yinghua Zeng,Qiuqun Xiao,Yuanyuan Wu,Jiale Liu,Haocheng Wang,Yuting Luo,Jie Zhan,Ning Liao,Yanbin Cai

Frontiers in immunology 15:1375138 PubMed38812501

2024

Dynamic changes of immunocyte subpopulations in thermogenic activation of adipose tissues.

Applications

Unspecified application

Species

Unspecified reactive species

Yuqing Ye,Huiying Wang,Wei Chen,Zhinan Chen,Dan Wu,Feng Zhang,Fang Hu

Cell death discovery 10:227 PubMed38740747

2024

Tumors cells with mismatch repair deficiency induce hyperactivation of pyroptosis resistant to cell membrane damage but are more sensitive to co-treatment of IFN-γ and TNF-α to PANoptosis.

Applications

Unspecified application

Species

Unspecified reactive species

Huiyan Li,Hengli Ni,Ying Li,Aijun Zhou,Xiaokang Qin,Yuqing Li,Liheng Che,Hui Mo,Chao Qin,Jianming Li

Frontiers in immunology 15:1376907 PubMed38571957

2024

Suppression of the growth and metastasis of mouse melanoma by and tapeworms.

Applications

Unspecified application

Species

Unspecified reactive species

Manfred Schreiber,Tomáš Macháček,Vojtěch Vajs,Barbora Šmídová,Martin Majer,Jiří Hrdý,Ondřej Tolde,Jan Brábek,Daniel Rösel,Petr Horák

Frontiers in immunology 13:947756 PubMed36003387

2022

Inhibition of PCSK9 enhances the antitumor effect of PD-1 inhibitor in colorectal cancer by promoting the infiltration of CD8 T cells and the exclusion of Treg cells.

Applications

Unspecified application

Species

Unspecified reactive species

Rui Wang,Hongchuan Liu,Peng He,Duopeng An,Xiaohan Guo,Xuyao Zhang,Meiqing Feng
View all publications

Product promise

We are committed to supporting your work with high-quality reagents, and we're here for you every step of the way. In the unlikely event that one of our products does not perform as expected, you're protected by our Product Promise.
For full details, please see our Terms & Conditions

Please note: All products are 'FOR RESEARCH USE ONLY. NOT FOR USE IN DIAGNOSTIC OR THERAPEUTIC PROCEDURES'.

For licensing inquiries, please contact partnerships@abcam.com