JavaScript is disabled in your browser. Please enable JavaScript to view this website.
AB289553

Anti-NKR-P1C antibody [EPR22990-31] - BSA and Azide free

Be the first to review this product! Submit a review

|

(0 Publication)

Rabbit Recombinant Monoclonal NKR-P1C antibody. Carrier free. Suitable for ICC/IF, Flow Cyt, IHC-Fr, IHC-P and reacts with Mouse samples.

View Alternative Names

CD161c, Ly55c, Nkrp1c, Klrb1c, Killer cell lectin-like receptor subfamily B member 1C, CD161 antigen-like family member C, Lymphocyte antigen 55c, NK1.1, NKR-P1.9, NKR-P1C, Natural killer cell surface protein P1-40, Ly-55c, NKR-P1 40

7 Images
Immunohistochemistry (Formalin/PFA-fixed paraffin-embedded sections) - Anti-NKR-P1C antibody [EPR22990-31] - BSA and Azide free (AB289553)
  • IHC-P

Supplier Data

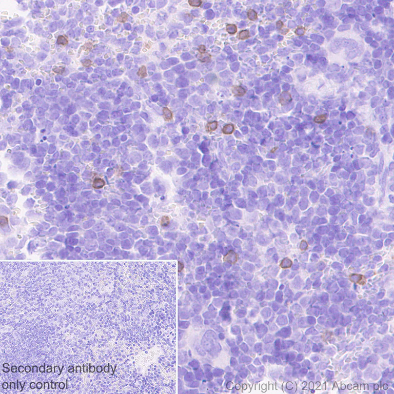
Immunohistochemistry (Formalin/PFA-fixed paraffin-embedded sections) - Anti-NKR-P1C antibody [EPR22990-31] - BSA and Azide free (AB289553)

This data was developed using ab289542, the same antibody clone in a different buffer formulation.

Immunohistochemical analysis of paraffin-embedded Mouse spleen tissue labelling NKR-P1C with ab289542 at 1/100 (5.26 ug/ml) followed by a ready to use Goat Anti-Rabbit IgG H&L (HRP polymer). Positive staining on mouse spleen. The section was incubated with ab289542 at 4°C overnight. Counterstained with Hematoxylin.

Secondary antibody only control : Secondary antibody is a ready to use Goat Anti-Rabbit IgG H&L (HRP polymer).

Heat mediated antigen retrieval using ab93684 (Tris/EDTA buffer, pH 9.0)

Immunocytochemistry/ Immunofluorescence - Anti-NKR-P1C antibody [EPR22990-31] - BSA and Azide free (AB289553)
  • ICC/IF

Supplier Data

Immunocytochemistry/ Immunofluorescence - Anti-NKR-P1C antibody [EPR22990-31] - BSA and Azide free (AB289553)

This data was developed using ab289542, the same antibody clone in a different buffer formulation.

Immunofluorescent analysis of 4% Paraformaldehyde-fixed, 0.1% TritonX-100 permeabilized Mouse spleen cells labelling NKR-P1C with ab289542 at 1/50 (10.52 μg/ml) dilution, followed by ab150081 Goat Anti-Rabbit IgG H&L (Alexa Fluor® 488) preadsorbed antibody at 1/1000 (2 μg/ml) dilution (Green). Confocal image showing membranal staining in subsets of mouse splenocytes is observed. ab195889 Anti-alpha Tubulin mouse monoclonal antibody - Microtubule Marker (Alexa Fluor® 594) was used to counterstain tubulin at 1/200 (2.5 μg/ml) dilution (Red). The Nuclear counterstain was DAPI (Blue).

Secondary antibody only control : Secondary antibody is ab150081 Goat Anti-Rabbit IgG H&L (Alexa Fluor® 488) preadsorbed at 1/1000 (2 μg/ml) dilution.

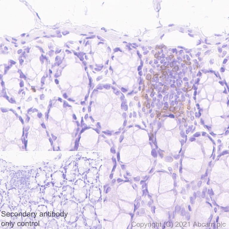
Immunohistochemistry (Formalin/PFA-fixed paraffin-embedded sections) - Anti-NKR-P1C antibody [EPR22990-31] - BSA and Azide free (AB289553)
  • IHC-P

Supplier Data

Immunohistochemistry (Formalin/PFA-fixed paraffin-embedded sections) - Anti-NKR-P1C antibody [EPR22990-31] - BSA and Azide free (AB289553)

This data was developed using ab289542, the same antibody clone in a different buffer formulation.

Immunohistochemical analysis of paraffin-embedded Mouse colon tissue labelling NKR-P1C with ab289542 at 1/100 (5.26 ug/ml) followed by a ready to use Goat Anti-Rabbit IgG H&L (HRP polymer). Positive staining on lympho node of mouse colon. The section was incubated with ab289542 at 4°C overnight. Counterstained with Hematoxylin.

Secondary antibody only control : Secondary antibody is a ready to use Goat Anti-Rabbit IgG H&L (HRP polymer).

Heat mediated antigen retrieval using ab93684 (Tris/EDTA buffer, pH 9.0)

Flow Cytometry - Anti-NKR-P1C antibody [EPR22990-31] - BSA and Azide free (AB289553)
  • Flow Cyt

Supplier Data

Flow Cytometry - Anti-NKR-P1C antibody [EPR22990-31] - BSA and Azide free (AB289553)

This data was developed using ab289542, the same antibody clone in a different buffer formulation.

Flow cytometric analysis of Mouse splenocytes cells labelling NKR-P1C with ab289542 at 1/500 dilution (0.1ug). Goat Anti-Rabbit IgG (Alexa Fluor® 488, ab150081) at 1/2000 dilution was used as the secondary antibody. Cells were stained with ab289542, and then stained with anti-CD19 conjugated to PE-Cy7 or anti-CD11b conjugated to BV510. Gated on viable cells. Negative expression on B cells (Left) and Myeloid cells (Right) were observed.

Flow Cytometry - Anti-NKR-P1C antibody [EPR22990-31] - BSA and Azide free (AB289553)
  • Flow Cyt

Supplier Data

Flow Cytometry - Anti-NKR-P1C antibody [EPR22990-31] - BSA and Azide free (AB289553)

This data was developed using ab289542, the same antibody clone in a different buffer formulation.

Flow cytometric analysis of Mouse splenocytes cells labelling NKR-P1C with ab289542 at 1/500 dilution (0.1ug) (Right) compared with a Rabbit monoclonal IgG (ab172730) isotype control (Left). Goat Anti-Rabbit IgG (Alexa Fluor® 488, ab150081) at 1/2000 dilution was used as the secondary antibody. Cells were stained with rabbit IgG or ab289542. Then stained with anti-CD49b conjugated to PE. Gated on viable cells.

Flow Cytometry - Anti-NKR-P1C antibody [EPR22990-31] - BSA and Azide free (AB289553)
  • Flow Cyt

Supplier Data

Flow Cytometry - Anti-NKR-P1C antibody [EPR22990-31] - BSA and Azide free (AB289553)

This data was developed using ab289542, the same antibody clone in a different buffer formulation.

Flow cytometric analysis of Mouse splenocytes cells labelling NKR-P1C with ab289542 at 1/500 dilution (0.1ug). Goat Anti-Rabbit IgG (Alexa Fluor® 488, ab150081) at 1/2000 dilution was used as the secondary antibody. Cells were stained with ab289542, and then stained with anti-CD3 conjugated to Alexa Fluor® 647. Gated on viable cells. NK(NKR-P1C+) and NKT(CD3+NKR-P1C+) population were observed by CD3 co-staining.

Immunohistochemistry (Frozen sections) - Anti-NKR-P1C antibody [EPR22990-31] - BSA and Azide free (AB289553)
  • IHC-Fr

Supplier Data

Immunohistochemistry (Frozen sections) - Anti-NKR-P1C antibody [EPR22990-31] - BSA and Azide free (AB289553)

This data was developed using ab289542, the same antibody clone in a different buffer formulation.

Immunohistochemical analysis of 4% PFA-fixed, 0.2% Triton X-100 permeabilized frozen Mouse spleen (fresh) tissue labeling NKR-P1C with ab289542 at 1/100 (5.26 μg/ml) dilution followed by ab150081 Goat Anti-Rabbit IgG H&L (Alexa Fluor® 488) preadsorbed at 1/1000 (2 μg/mL) dilution (Green). Positive staining in mouse spleen is observed. The nuclear counterstain was DAPI (Blue).

Secondary antibody control : Secondary antibody is ab150081 Goat Anti-Rabbit IgG H&L (Alexa Fluor® 488) preadsorbed at 1/1000 (2 μg/mL) dilution.

  • Unconjugated

    Anti-NKR-P1C antibody [EPR22990-31]

  • 519 Alexa Fluor® 488

    Alexa Fluor® 488 Anti-NKR-P1C antibody [EPR22990-31]

  • 665 Alexa Fluor® 647

    Alexa Fluor® 647 Anti-NKR-P1C antibody [EPR22990-31]

  • 519 FITC

    FITC Anti-NKR-P1C antibody [EPR22990-31]

Key facts

Host species

Rabbit

Clonality

Monoclonal

Clone number

EPR22990-31

Isotype

IgG

Carrier free

Yes

Reacts with

Mouse

Applications

IHC-Fr, IHC-P, Flow Cyt, ICC/IF

applications

Immunogen

The exact immunogen used to generate this antibody is proprietary information.

Reactivity data

{ "title": "Reactivity Data", "filters": { "stats": ["", "Species", "Dilution Info", "Notes"], "tabs": { "all-applications": {"fullname" : "All Applications", "shortname": "All Applications"}, "ICCIF" : {"fullname" : "Immunocytochemistry/ Immunofluorescence", "shortname":"ICC/IF"}, "IP" : {"fullname" : "Immunoprecipitation", "shortname":"IP"}, "FlowCyt" : {"fullname" : "Flow Cytometry", "shortname":"Flow Cyt"}, "WB" : {"fullname" : "Western blot", "shortname":"WB"}, "IHCFr" : {"fullname" : "Immunohistochemistry (Frozen sections)", "shortname":"IHC-Fr"}, "IHCP" : {"fullname" : "Immunohistochemistry (Formalin/PFA-fixed paraffin-embedded sections)", "shortname":"IHC-P"} }, "product-promise": { "all": "all", "testedAndGuaranteed": "tested", "guaranteed": "expected", "predicted": "predicted", "notRecommended": "not-recommended" } }, "values": { "Human": { "ICCIF-species-checked": "notRecommended", "ICCIF-species-dilution-info": "", "ICCIF-species-notes": "", "IP-species-checked": "notRecommended", "IP-species-dilution-info": "", "IP-species-notes": "", "FlowCyt-species-checked": "notRecommended", "FlowCyt-species-dilution-info": "", "FlowCyt-species-notes": "", "WB-species-checked": "notRecommended", "WB-species-dilution-info": "", "WB-species-notes": "<p></p>", "IHCFr-species-checked": "notRecommended", "IHCFr-species-dilution-info": "", "IHCFr-species-notes": "", "IHCP-species-checked": "notRecommended", "IHCP-species-dilution-info": "", "IHCP-species-notes": "<p></p>" }, "Mouse": { "ICCIF-species-checked": "testedAndGuaranteed", "ICCIF-species-dilution-info": "", "ICCIF-species-notes": "<p></p>", "IP-species-checked": "notRecommended", "IP-species-dilution-info": "", "IP-species-notes": "<p></p>", "FlowCyt-species-checked": "testedAndGuaranteed", "FlowCyt-species-dilution-info": "", "FlowCyt-species-notes": "<p></p>", "WB-species-checked": "notRecommended", "WB-species-dilution-info": "", "WB-species-notes": "<p></p>", "IHCFr-species-checked": "testedAndGuaranteed", "IHCFr-species-dilution-info": "", "IHCFr-species-notes": "<p></p>", "IHCP-species-checked": "testedAndGuaranteed", "IHCP-species-dilution-info": "", "IHCP-species-notes": "<p></p>" }, "Rat": { "ICCIF-species-checked": "notRecommended", "ICCIF-species-dilution-info": "", "ICCIF-species-notes": "", "IP-species-checked": "notRecommended", "IP-species-dilution-info": "", "IP-species-notes": "", "FlowCyt-species-checked": "notRecommended", "FlowCyt-species-dilution-info": "", "FlowCyt-species-notes": "", "WB-species-checked": "notRecommended", "WB-species-dilution-info": "", "WB-species-notes": "<p></p>", "IHCFr-species-checked": "notRecommended", "IHCFr-species-dilution-info": "", "IHCFr-species-notes": "<p></p>", "IHCP-species-checked": "notRecommended", "IHCP-species-dilution-info": "", "IHCP-species-notes": "<p></p>" } } }

Product details

ab289553 is the carrier free version of ab289542.

Patented technology
Our RabMAb® technology is a patented hybridoma-based technology for making rabbit monoclonal antibodies. For details on our patents, please refer to RabMAb® patents.

What are the advantages of a recombinant monoclonal antibody?
This product is a recombinant monoclonal antibody, which offers several advantages including:

  • - High batch-to-batch consistency and reproducibility
  • - Improved sensitivity and specificity
  • - Long-term security of supply
  • - Animal-free batch production

For more information, read more on recombinant antibodies.

Conjugation ready
Our carrier-free antibodies are typically supplied in a PBS-only formulation, purified and free of BSA, sodium azide and glycerol. This conjugation-ready format is designed for use with fluorochromes, metal isotopes, oligonucleotides, and enzymes, which makes them ideal for antibody labelling, functional and cell-based assays, flow-based assays (e.g. mass cytometry) and Multiplex Imaging applications.

Use our conjugation kits for antibody conjugates that are ready-to-use in as little as 20 minutes with 1 minute hands-on-time and 100% antibody recovery: available for fluorescent dyes, HRP, biotin and gold.

Compatibility
This product is compatible with the Maxpar® Antibody Labeling Kit from Fluidigm, without the need for antibody preparation. Maxpar® is a trademark of Fluidigm Canada Inc.

Properties and storage information

Form
Liquid
Purification technique
Affinity purification Protein A
Storage buffer
pH: 7.2 - 7.4 Constituents: PBS
Shipped at conditions
Blue Ice
Appropriate short-term storage conditions
+4°C
Appropriate long-term storage conditions
+4°C

Supplementary information

This supplementary information is collated from multiple sources and compiled automatically.

NKR-P1C also known as NK1.1 is a C-type lectin-like receptor expressed on the surface of natural killer (NK) cells and some T cells. In mice this protein has a molecular mass of approximately 30 to 46 kDa. Researchers often focus on its distribution in cellular compartments which includes lymphoid tissues such as the spleen and thymus. This receptor is known for playing a role in the regulation of immune responses by enabling NK cells to recognize and eliminate target cells.
Biological function summary

NKR-P1C is critical in the activation and inhibition of natural killer cell functions. This protein does not operate alone but often functions as part of an immune receptor complex. It contributes to the balance between activating and inhibitory signals that determine NK cell responses. NKR-P1C can bind to ligands that influence the cytotoxic activity of these cells toward infected or malignant cells.

Pathways

NKR-P1C integrates into important immune signaling pathways such as the NK cell-mediated cytotoxicity pathway. This pathway involves interactions with other receptors like Ly49 and NKG2D which modulate NK cell activities. NKR-P1C plays an essential role in transmitting signals that lead to the release of cytokines and the destruction of afflicted cells coordinating with these receptors to execute immune functions.

NKR-P1C has associations with cancer and viral infections where it influences NK cell interventions against pathologies. During tumor development or viral infection NKR-P1C may change expression patterns potentially affecting immune surveillance and responses. It works in tandem with proteins like perforin and granzymes which are involved in inducing cell death in target cells making it a significant player in immune responses to malignancies and persistent viruses.

Product protocols

For this product, it's our understanding that no specific protocols are required. You can visit:

Target data

Plays a stimulatory role on natural killer (NK) cells cytotoxicity. Activation by cross-linking of the receptor induces Ca(2+) mobilization and interferon-gamma production.
See full target information Klrb1c

Product promise

We are committed to supporting your work with high-quality reagents, and we're here for you every step of the way. In the unlikely event that one of our products does not perform as expected, you're protected by our Product Promise.
For full details, please see our Terms & Conditions

Please note: All products are 'FOR RESEARCH USE ONLY. NOT FOR USE IN DIAGNOSTIC OR THERAPEUTIC PROCEDURES'.

For licensing inquiries, please contact partnerships@abcam.com