JavaScript is disabled in your browser. Please enable JavaScript to view this website.
AB191077

Anti-Nkx2.2 antibody [EPR14638] - N-terminal

  • BOND RX™ Validated
  • RabMAb
  • Recombinant
  • 20ul selling size
  • What is this?

5

(4 Reviews)

|

(13 Publications)

Anti-Nkx2.2 antibody [EPR14638] - N-terminal (ab191077) is a rabbit monoclonal antibody detecting Nkx2.2 in IHC-P, ICC/IF. Suitable for Human, Mouse, Rat.

- Biophysical QC for unrivalled batch-batch consistency

View Alternative Names

NKX2.2, NKX2B, NKX2-2, Homeobox protein Nkx-2.2, Homeobox protein NK-2 homolog B

8 Images
Immunohistochemistry (Formalin/PFA-fixed paraffin-embedded sections) - Anti-Nkx2.2 antibody [EPR14638] - N-terminal (AB191077)
  • IHC-P

Lab

Immunohistochemistry (Formalin/PFA-fixed paraffin-embedded sections) - Anti-Nkx2.2 antibody [EPR14638] - N-terminal (AB191077)

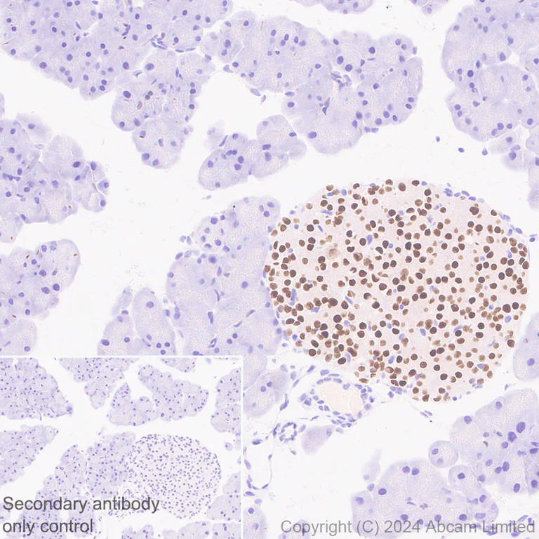
Immunohistochemistry (Formalin/PFA-fixed paraffin-embedded sections) analysis of human pancreas tissue staining with ab191077 at 1/6000 dilution. The secondary was ready-to-use LeicaDS9800 (Bond™ Polymer Refine Detection), and the counterstain was Hematoxylin. Heat mediated antigen retrieval was performed with Tris-EDTA buffer (pH 9.0, Epitope Retrieval Solution2) for 20 mins. Positive staining on human pancreatic islets. The section was incubated with ab191077 for 30 mins at room temperature. The immunostaining was performed on a Leica Biosystems BOND® RX instrument.

Immunohistochemistry (Formalin/PFA-fixed paraffin-embedded sections) - Anti-Nkx2.2 antibody [EPR14638] - N-terminal (AB191077)
  • IHC-P

Lab

Immunohistochemistry (Formalin/PFA-fixed paraffin-embedded sections) - Anti-Nkx2.2 antibody [EPR14638] - N-terminal (AB191077)

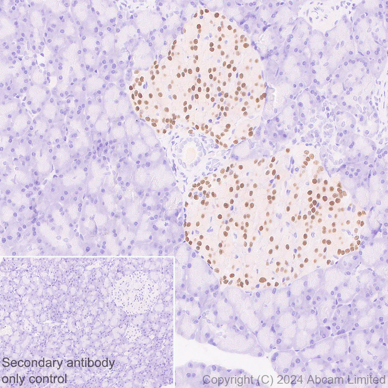
Immunohistochemistry (Formalin/PFA-fixed paraffin-embedded sections) analysis of rat pancreas tissue staining with ab191077 at 1/6000 dilution. The secondary was ready-to-use LeicaDS9800 (Bond™ Polymer Refine Detection), and the counterstain was Hematoxylin. Heat mediated antigen retrieval was performed with Tris-EDTA buffer (pH 9.0, Epitope Retrieval Solution2) for 20 mins. Positive staining on rat pancreatic islets. The section was incubated with ab191077 for 30 mins at room temperature. The immunostaining was performed on a Leica Biosystems BOND® RX instrument.

Immunohistochemistry (Formalin/PFA-fixed paraffin-embedded sections) - Anti-Nkx2.2 antibody [EPR14638] - N-terminal (AB191077)
  • IHC-P

Supplier Data

Immunohistochemistry (Formalin/PFA-fixed paraffin-embedded sections) - Anti-Nkx2.2 antibody [EPR14638] - N-terminal (AB191077)

Immunohistochemical analysis of paraffin-embedded Rat colon tissue labeling Nkx2.2 with ab191077 at 1/1000. Secondary antibody Goat anti rabbit IgG (HRP) prediluted. Counter stain Hematoxylin. Negative control also shown.

Perform heat mediated antigen retrieval with EDTA buffer pH 9 before commencing with IHC staining protocol.

Immunohistochemistry (Formalin/PFA-fixed paraffin-embedded sections) - Anti-Nkx2.2 antibody [EPR14638] - N-terminal (AB191077)
  • IHC-P

Lab

Immunohistochemistry (Formalin/PFA-fixed paraffin-embedded sections) - Anti-Nkx2.2 antibody [EPR14638] - N-terminal (AB191077)

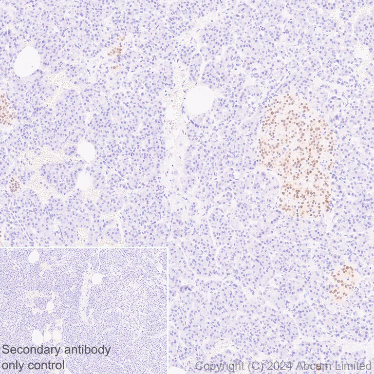
Immunohistochemistry (Formalin/PFA-fixed paraffin-embedded sections) analysis of mouse pancreas tissue staining with ab191077 at 1/6000 dilution. The secondary was ready-to-use LeicaDS9800 (Bond™ Polymer Refine Detection), and the counterstain was Hematoxylin. Heat mediated antigen retrieval was performed with Tris-EDTA buffer (pH 9.0, Epitope Retrieval Solution2) for 20 mins. Positive staining on mouse pancreatic islet. The section was incubated with ab191077 for 30 mins at room temperature. The immunostaining was performed on a Leica Biosystems BOND® RX instrument.

Immunohistochemistry (Formalin/PFA-fixed paraffin-embedded sections) - Anti-Nkx2.2 antibody [EPR14638] - N-terminal (AB191077)
  • IHC-P

Supplier Data

Immunohistochemistry (Formalin/PFA-fixed paraffin-embedded sections) - Anti-Nkx2.2 antibody [EPR14638] - N-terminal (AB191077)

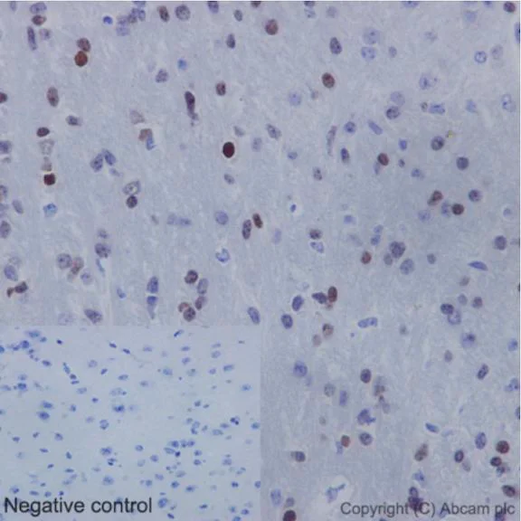
Immunohistochemical analysis of paraffin-embedded Mouse brain tissue labeling Nkx2.2 with ab191077 at 1/1000. Secondary antibody Goat anti rabbit IgG (HRP) prediluted. Counter stain Hematoxylin. Negative control also shown.

Perform heat mediated antigen retrieval with EDTA buffer pH 9 before commencing with IHC staining protocol.

Immunohistochemistry (Formalin/PFA-fixed paraffin-embedded sections) - Anti-Nkx2.2 antibody [EPR14638] - N-terminal (AB191077)
  • IHC-P

Supplier Data

Immunohistochemistry (Formalin/PFA-fixed paraffin-embedded sections) - Anti-Nkx2.2 antibody [EPR14638] - N-terminal (AB191077)

Immunohistochemical analysis of paraffin-embedded Human Ewing sarcoma tissue labeling Nkx2.2 with ab191077 at 1/1000. Secondary antibody Goat anti rabbit IgG (HRP) prediluted. Counter stain Hematoxylin. Negative control also shown.

Perform heat mediated antigen retrieval with EDTA buffer pH 9 before commencing with IHC staining protocol.

Immunohistochemistry (Formalin/PFA-fixed paraffin-embedded sections) - Anti-Nkx2.2 antibody [EPR14638] - N-terminal (AB191077)
  • IHC-P

Supplier Data

Immunohistochemistry (Formalin/PFA-fixed paraffin-embedded sections) - Anti-Nkx2.2 antibody [EPR14638] - N-terminal (AB191077)

Immunohistochemical analysis of paraffin-embedded Human colon tissue labeling Nkx2.2 with ab191077 at 1/1000. Secondary antibody Goat anti rabbit IgG (HRP) prediluted. Counter stain Hematoxylin. Negative control also shown.

Perform heat mediated antigen retrieval with EDTA buffer pH 9 before commencing with IHC staining protocol.

Immunocytochemistry/ Immunofluorescence - Anti-Nkx2.2 antibody [EPR14638] - N-terminal (AB191077)
  • ICC/IF

Supplier Data

Immunocytochemistry/ Immunofluorescence - Anti-Nkx2.2 antibody [EPR14638] - N-terminal (AB191077)

Immunofluorescent analysis of 4% paraformaldehyde-fixed C6 cells labeling Nkx2.2 with ab191077 at 1/50, Goat anti rabbit IgG (Alexa Fluor® 555) at 1/200 and DAPI staining (blue). Negative controls also shown.

  • 519 Alexa Fluor® 488

    Alexa Fluor® 488 Anti-Nkx2.2 antibody [EPR14638] - N-terminal

  • Carrier free

    Anti-Nkx2.2 antibody [EPR14638] - BSA and Azide free

Key facts

Host species

Rabbit

Clonality

Monoclonal

Clone number

EPR14638

Isotype

IgG

Carrier free

No

Reacts with

Mouse, Rat, Human

Applications

ICC/IF, IHC-P

applications

Immunogen

The exact immunogen used to generate this antibody is proprietary information.

Reactivity data

{ "title": "Reactivity Data", "filters": { "stats": ["", "Species", "Dilution Info", "Notes"], "tabs": { "all-applications": {"fullname" : "All Applications", "shortname": "All Applications"}, "ICCIF" : {"fullname" : "Immunocytochemistry/ Immunofluorescence", "shortname":"ICC/IF"}, "IHCP" : {"fullname" : "Immunohistochemistry (Formalin/PFA-fixed paraffin-embedded sections)", "shortname":"IHC-P"} }, "product-promise": { "all": "all", "testedAndGuaranteed": "tested", "guaranteed": "expected", "predicted": "predicted", "notRecommended": "not-recommended" } }, "values": { "Human": { "ICCIF-species-checked": "guaranteed", "ICCIF-species-dilution-info": "", "ICCIF-species-notes": "", "IHCP-species-checked": "testedAndGuaranteed", "IHCP-species-dilution-info": "1/1000", "IHCP-species-notes": "<p></p> Perform heat-mediated antigen retrieval with Tris/EDTA buffer pH 9.0 before commencing with IHC staining protocol." }, "Mouse": { "ICCIF-species-checked": "guaranteed", "ICCIF-species-dilution-info": "", "ICCIF-species-notes": "", "IHCP-species-checked": "testedAndGuaranteed", "IHCP-species-dilution-info": "1/1000", "IHCP-species-notes": "<p></p> Perform heat-mediated antigen retrieval with Tris/EDTA buffer pH 9.0 before commencing with IHC staining protocol." }, "Rat": { "ICCIF-species-checked": "testedAndGuaranteed", "ICCIF-species-dilution-info": "1/50", "ICCIF-species-notes": "<p></p>", "IHCP-species-checked": "testedAndGuaranteed", "IHCP-species-dilution-info": "1/1000", "IHCP-species-notes": "<p></p> Perform heat-mediated antigen retrieval with Tris/EDTA buffer pH 9.0 before commencing with IHC staining protocol." } } }

Product details

What is this antibody validated in?
Anti-Nkx2.2 antibody [EPR14638] - N-terminal (ab191077) is a rabbit recombinant monoclonal antibody and is validated for use in Immunohistochemistry (IHC-P), Immunocytochemistry/immunofluorescence (ICC/IF) in Human, Mouse, Rat samples.

Trusted by the scientific community
Anti-Nkx2.2 [EPR14638] - N-terminal (ab191077) was first used in a scientific publication in 2014 and has been cited over 10 times in peer-reviewed journals.

Trial sizes available!
Test your antibody or perform pre-screening before committing to a larger quantity. Sold in 10µl. Discover our selection of trial-size antibodies.

Other related products
We have a range of other formats of antibody clone [EPR14638] also available for your convenience: ab191077, Alexa Fluor® 488 - ab210463, Carrier free - ab240318

Patented technology
Our RabMAb® technology is a patented hybridoma-based technology for making rabbit monoclonal antibodies. For details on our patents, please refer to RabMAb® patents.

What are the advantages of a recombinant monoclonal antibody?
This product is a recombinant monoclonal antibody, which offers several advantages including:

  • - High batch-to-batch consistency and reproducibility
  • - Improved sensitivity and specificity
  • - Long-term security of supply
  • - Animal-free batch production

For more information, read more on recombinant antibodies.

Properties and storage information

Form
Liquid
Purification technique
Affinity purification Protein A
Storage buffer
pH: 7.2 - 7.4 Preservative: 0.01% Sodium azide Constituents: 59% PBS, 40% Glycerol (glycerin, glycerine), 0.05% BSA
Shipped at conditions
Blue Ice
Appropriate short-term storage duration
1-2 weeks
Appropriate short-term storage conditions
+4°C
Appropriate long-term storage conditions
-20°C
Aliquoting information
Upon delivery aliquot
Storage information
Avoid freeze / thaw cycle

Supplementary information

This supplementary information is collated from multiple sources and compiled automatically.

Nkx2.2 also known as NK2 homeobox 2 is a transcription factor weighing approximately 29 kDa. It plays a pivotal role in early neural development and is important for the differentiation of oligodendrocytes in the central nervous system. Nkx2.2 is expressed in the developing brain and spinal cord. Researchers often use Nkx2.2 immunohistochemistry (IHC) to study its spatial and temporal expression patterns during embryonic development. This protein is part of a group that includes other members such as Nkx2-1 and Nkx2-5 and it shares conserved domains with them.
Biological function summary

Nkx2.2 influences the regulation of specific genes essential for cell fate determination. It interacts with other factors in a regulatory network forming complexes that modulate gene expression necessary for the maturation of neural precursor cells. Notably Nkx2.2 is required for the development of insulin-producing pancreatic beta cells where it works in conjunction with other transcription factors like Pdx1 and Foxa2. Its ability to bind DNA and promote specific gene transcription positions it as an important regulator in the networks driving neural and pancreatic tissue specification.

Pathways

Nkx2.2 is important in the Sonic Hedgehog (Shh) signaling pathway which is instrumental for embryonic neural tube patterning. The Shh pathway directs Nkx2.2 expression in response to morphogen gradients to determine distinct neural progenitor domains. Nkx2.2 expression is closely linked with the transcription factor Olig2 which aligns with specific domains in the ventral neural tube. Moreover Nkx2.2 is involved in the Wnt signaling pathway playing a role in the coordination of cell differentiation and proliferation.

Nkx2.2 has associations with glioma and type 1 diabetes. Abnormal expression may contribute to glioma development by disrupting normal oligodendrocyte precursor cell development. Nkx2.2 dysregulation can also interfere with insulin regulation implicating it in type 1 diabetes progression especially through its interaction with Pdx1 an important player in pancreas development. Understanding Nkx2.2's role in these conditions aids in deciphering underlying mechanisms and provides potential therapeutic targets.

Product protocols

For this product, it's our understanding that no specific protocols are required. You can visit:

Target data

Transcriptional activator involved in the development of insulin-producting beta cells in the endocrine pancreas (By similarity). May also be involved in specifying diencephalic neuromeric boundaries, and in controlling the expression of genes that play a role in axonal guidance. Binds to elements within the NEUROD1 promoter (By similarity).
See full target information NKX2-2

Publications (13)

Recent publications for all applications. Explore the full list and refine your search

Molecular cell 84:1753-1763.e7 PubMed38508183

2024

FAM86A methylation of eEF2 links mRNA translation elongation to tumorigenesis.

Applications

Unspecified application

Species

Unspecified reactive species

Joel William Francis,Simone Hausmann,Sabeen Ikram,Kunlun Yin,Robert Mealey-Farr,Natasha Mahealani Flores,Annie Truc Trinh,Tourkian Chasan,Julia Thompson,Pawel Karol Mazur,Or Gozani

Heliyon 10:e22808 PubMed38169755

2024

Microarray analysis of lncRNAs and mRNAs in spinal cord contusion rats with iPSC-derived A2B5 oligodendrocyte precursor cells transplantation.

Applications

Unspecified application

Species

Unspecified reactive species

Hao Yuan,Li Chen,Lan-Chun Zhang,Lan-Lan Shi,Xue-Fei Han,Su Liu,Liu-Lin Xiong,Ting-Hua Wang

Neural development 18:5 PubMed37684687

2023

Distinct requirements for Tcf3 and Tcf12 during oligodendrocyte development in the mouse telencephalon.

Applications

Unspecified application

Species

Unspecified reactive species

Mary Jo Talley,Diana Nardini,Lisa A Ehrman,Q Richard Lu,Ronald R Waclaw

Journal of neurochemistry 165:55-75 PubMed36549843

2023

Apolipoprotein E ε4 disrupts oligodendrocyte differentiation by interfering with astrocyte-derived lipid transport.

Applications

Unspecified application

Species

Unspecified reactive species

Kingston King-Shi Mok,Sunny Hoi-Sang Yeung,Gerald Wai-Yeung Cheng,Iris Wai-Ting Ma,Ralph Hon-Sun Lee,Karl Herrup,Kai-Hei Tse

Nature communications 13:958 PubMed35177643

2022

The histone demethylase Kdm6b regulates subtype diversification of mouse spinal motor neurons during development.

Applications

Unspecified application

Species

Unspecified reactive species

Wenxian Wang,Hyeyoung Cho,Jae W Lee,Soo-Kyung Lee

Development (Cambridge, England) 148: PubMed34822716

2021

A 37 kb region upstream of brachyury comprising a notochord enhancer is essential for notochord and tail development.

Applications

Unspecified application

Species

Unspecified reactive species

Dennis Schifferl,Manuela Scholze-Wittler,Lars Wittler,Jesse V Veenvliet,Frederic Koch,Bernhard G Herrmann

Frontiers in cell and developmental biology 9:673995 PubMed34222248

2021

Generation of a Mouse Model to Study the Noonan Syndrome Gene in the Telencephalon.

Applications

Unspecified application

Species

Unspecified reactive species

Mary Jo Talley,Diana Nardini,Nisha Shabbir,Lisa A Ehrman,Carlos E Prada,Ronald R Waclaw

Frontiers in cell and developmental biology 9:595744 PubMed33869166

2021

A Highly Conserved Enhancer Coordinates Hypothalamic and Craniofacial Development.

Applications

Unspecified application

Species

Unspecified reactive species

Zoe Crane-Smith,Jeffrey Schoenebeck,Katy A Graham,Paul S Devenney,Lorraine Rose,Mark Ditzell,Eve Anderson,Joseph I Thomson,Natasha Klenin,Deborah M Kurrasch,Laura A Lettice,Robert E Hill

Nature communications 11:5275 PubMed33077725

2020

Single-cell transcriptomics identifies divergent developmental lineage trajectories during human pituitary development.

Applications

Unspecified application

Species

Unspecified reactive species

Shu Zhang,Yueli Cui,Xinyi Ma,Jun Yong,Liying Yan,Ming Yang,Jie Ren,Fuchou Tang,Lu Wen,Jie Qiao

Journal of materials science. Materials in medicin 30:101 PubMed31473826

2019

Differentiation of endometrial stem cells into insulin-producing cells using signaling molecules and zinc oxide nanoparticles, and three-dimensional culture on nanofibrous scaffolds.

Applications

Unspecified application

Species

Unspecified reactive species

Elham Hoveizi,Tayebeh Mohammadi
View all publications

Product promise

We are committed to supporting your work with high-quality reagents, and we're here for you every step of the way. In the unlikely event that one of our products does not perform as expected, you're protected by our Product Promise.
For full details, please see our Terms & Conditions

Please note: All products are 'FOR RESEARCH USE ONLY. NOT FOR USE IN DIAGNOSTIC OR THERAPEUTIC PROCEDURES'.

For licensing inquiries, please contact partnerships@abcam.com