JavaScript is disabled in your browser. Please enable JavaScript to view this website.
AB218470

Anti-Nkx2.2 antibody [rNX2/294]

Be the first to review this product! Submit a review

|

(1 Publication)

Mouse Recombinant Monoclonal Nkx2.2 antibody. Suitable for IHC-P and reacts with Human samples. Cited in 1 publication. Immunogen corresponding to Recombinant Full Length Protein corresponding to Human NKX2-2.

View Alternative Names

NKX2.2, NKX2B, NKX2-2, Homeobox protein Nkx-2.2, Homeobox protein NK-2 homolog B

1 Images
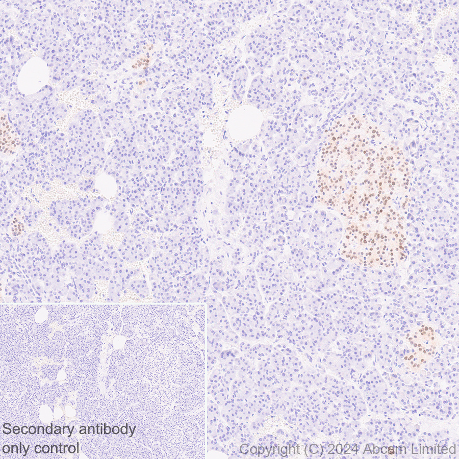
Immunohistochemistry (Formalin/PFA-fixed paraffin-embedded sections) - Anti-Nkx2.2 antibody [rNX2/294] (AB218470)
  • IHC-P

Supplier Data

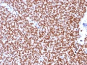
Immunohistochemistry (Formalin/PFA-fixed paraffin-embedded sections) - Anti-Nkx2.2 antibody [rNX2/294] (AB218470)

Immunohistochemical analysis of formalin-fixed, paraffin-embedded human Ewing's sarcoma tissue section labeling Nkx2.2 with ab218470 at 1 μg/mL.

Key facts

Host species

Mouse

Clonality

Monoclonal

Clone number

rNX2/294

Isotype

IgG2b

Light chain type

kappa

Carrier free

No

Reacts with

Human

Applications

IHC-P

applications

Immunogen

Recombinant Full Length Protein corresponding to Human NKX2-2.

O95096

Reactivity data

{ "title": "Reactivity Data", "filters": { "stats": ["", "Species", "Dilution Info", "Notes"], "tabs": { "all-applications": {"fullname" : "All Applications", "shortname": "All Applications"}, "IHCP" : {"fullname" : "Immunohistochemistry (Formalin/PFA-fixed paraffin-embedded sections)", "shortname":"IHC-P"} }, "product-promise": { "all": "all", "testedAndGuaranteed": "tested", "guaranteed": "expected", "predicted": "predicted", "notRecommended": "not-recommended" } }, "values": { "Human": { "IHCP-species-checked": "testedAndGuaranteed", "IHCP-species-dilution-info": "1-2 µg/mL", "IHCP-species-notes": "<p>Primary incubation is for 30 min at RT.</p> Perform heat-mediated antigen retrieval with Tris/EDTA buffer pH 9.0 before commencing with IHC staining protocol." }, "Mouse": { "IHCP-species-checked": "predicted", "IHCP-species-dilution-info": "", "IHCP-species-notes": "" } } }

Properties and storage information

Form
Liquid
Purification technique
Affinity purification Protein A
Storage buffer
pH: 7.2 - 7.4 Preservative: 0.05% Sodium azide Constituents: 99% PBS, 0.05% BSA
Shipped at conditions
Blue Ice
Appropriate short-term storage duration
1-2 weeks
Appropriate short-term storage conditions
+4°C
Appropriate long-term storage conditions
-20°C
Aliquoting information
Upon delivery aliquot
Storage information
Avoid freeze / thaw cycle

Supplementary information

This supplementary information is collated from multiple sources and compiled automatically.

Nkx2.2 also known as NK2 homeobox 2 is a transcription factor weighing approximately 29 kDa. It plays a pivotal role in early neural development and is important for the differentiation of oligodendrocytes in the central nervous system. Nkx2.2 is expressed in the developing brain and spinal cord. Researchers often use Nkx2.2 immunohistochemistry (IHC) to study its spatial and temporal expression patterns during embryonic development. This protein is part of a group that includes other members such as Nkx2-1 and Nkx2-5 and it shares conserved domains with them.
Biological function summary

Nkx2.2 influences the regulation of specific genes essential for cell fate determination. It interacts with other factors in a regulatory network forming complexes that modulate gene expression necessary for the maturation of neural precursor cells. Notably Nkx2.2 is required for the development of insulin-producing pancreatic beta cells where it works in conjunction with other transcription factors like Pdx1 and Foxa2. Its ability to bind DNA and promote specific gene transcription positions it as an important regulator in the networks driving neural and pancreatic tissue specification.

Pathways

Nkx2.2 is important in the Sonic Hedgehog (Shh) signaling pathway which is instrumental for embryonic neural tube patterning. The Shh pathway directs Nkx2.2 expression in response to morphogen gradients to determine distinct neural progenitor domains. Nkx2.2 expression is closely linked with the transcription factor Olig2 which aligns with specific domains in the ventral neural tube. Moreover Nkx2.2 is involved in the Wnt signaling pathway playing a role in the coordination of cell differentiation and proliferation.

Nkx2.2 has associations with glioma and type 1 diabetes. Abnormal expression may contribute to glioma development by disrupting normal oligodendrocyte precursor cell development. Nkx2.2 dysregulation can also interfere with insulin regulation implicating it in type 1 diabetes progression especially through its interaction with Pdx1 an important player in pancreas development. Understanding Nkx2.2's role in these conditions aids in deciphering underlying mechanisms and provides potential therapeutic targets.

Product protocols

For this product, it's our understanding that no specific protocols are required. You can visit:

Target data

Transcriptional activator involved in the development of insulin-producting beta cells in the endocrine pancreas (By similarity). May also be involved in specifying diencephalic neuromeric boundaries, and in controlling the expression of genes that play a role in axonal guidance. Binds to elements within the NEUROD1 promoter (By similarity).
See full target information NKX2-2

Publications (1)

Recent publications for all applications. Explore the full list and refine your search

Ophthalmic research 66:301-306 PubMed36302348

2022

Differences in Inferior Oblique Muscle Satellite Cell Populations between Primary and Secondary Inferior Oblique Muscle Overaction.

Applications

Unspecified application

Species

Unspecified reactive species

Rui Hao,Yuchuan Wang,Liping Chen,Yang Liu,Wei Zhang
View all publications

Product promise

We are committed to supporting your work with high-quality reagents, and we're here for you every step of the way. In the unlikely event that one of our products does not perform as expected, you're protected by our Product Promise.
For full details, please see our Terms & Conditions

Please note: All products are 'FOR RESEARCH USE ONLY. NOT FOR USE IN DIAGNOSTIC OR THERAPEUTIC PROCEDURES'.

For licensing inquiries, please contact partnerships@abcam.com