JavaScript is disabled in your browser. Please enable JavaScript to view this website.
AB214296

Anti-Nkx2.5 antibody

Be the first to review this product! Submit a review

|

(2 Publications)

Rabbit Polyclonal Nkx2.5 antibody. Suitable for IHC-P and reacts with Rat samples. Cited in 2 publications. Immunogen corresponding to Synthetic Peptide within Mouse Nkx2-5 aa 50-150 conjugated to Keyhole Limpet Haemocyanin.

View Alternative Names

Csx, Nkx-2.5, Nkx2e, Nkx2-5, Homeobox protein Nkx-2.5, rNKx-2.5, Homeobox protein NK-2 homolog E

1 Images
Immunohistochemistry (Formalin/PFA-fixed paraffin-embedded sections) - Anti-Nkx2.5 antibody (AB214296)
  • IHC-P

Supplier Data

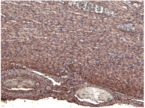
Immunohistochemistry (Formalin/PFA-fixed paraffin-embedded sections) - Anti-Nkx2.5 antibody (AB214296)

Immunohistochemical analysis of formalin-fixed paraffin-embedded rat heart tissue, labeling Nkx2.5 using ab214296 at a 1/200 dilution, followed by conjugation to the secondary antibody and DAB staining.

Key facts

Host species

Rabbit

Clonality

Polyclonal

Isotype

IgG

Carrier free

No

Reacts with

Rat

Applications

IHC-P

applications

Immunogen

Synthetic Peptide within Mouse Nkx2-5 aa 50-150 conjugated to Keyhole Limpet Haemocyanin. The exact immunogen used to generate this antibody is proprietary information.

P42582

Reactivity data

{ "title": "Reactivity Data", "filters": { "stats": ["", "Species", "Dilution Info", "Notes"], "tabs": { "all-applications": {"fullname" : "All Applications", "shortname": "All Applications"}, "IHCP" : {"fullname" : "Immunohistochemistry (Formalin/PFA-fixed paraffin-embedded sections)", "shortname":"IHC-P"} }, "product-promise": { "all": "all", "testedAndGuaranteed": "tested", "guaranteed": "expected", "predicted": "predicted", "notRecommended": "not-recommended" } }, "values": { "Mouse": { "IHCP-species-checked": "predicted", "IHCP-species-dilution-info": "", "IHCP-species-notes": "" }, "Rat": { "IHCP-species-checked": "testedAndGuaranteed", "IHCP-species-dilution-info": "1/100 - 1/500", "IHCP-species-notes": "<p></p> Perform heat-mediated antigen retrieval with citrate buffer pH 6 before commencing with IHC staining protocol." } } }

Properties and storage information

Form
Liquid
Purification technique
Affinity purification Protein A
Storage buffer
pH: 7.4 Preservative: 0.02% Proclin 300 Constituents: 50% Glycerol (glycerin, glycerine), 48.98% TBS, 1X, 1% BSA
Shipped at conditions
Blue Ice
Appropriate short-term storage duration
1-2 weeks
Appropriate short-term storage conditions
+4°C
Appropriate long-term storage conditions
-20°C
Aliquoting information
Upon delivery aliquot
Storage information
Avoid freeze / thaw cycle

Supplementary information

This supplementary information is collated from multiple sources and compiled automatically.

Nkx2.5 also known as NKX2-5 or CSX is a homeobox-containing transcription factor with a molecular mass of approximately 35 kDa. It is primarily expressed in the heart specifically in cardiac progenitor cells and also found in low levels in the spleen stomach and pancreas. As a transcription factor Nkx2.5 plays a significant role in regulating the expression of genes critical for cardiac development and differentiation. The protein's expression is tightly regulated during early embryogenesis and maintained in the heart throughout life.
Biological function summary

Nkx2.5 functions to direct the development of cardiac myocytes by regulating genes involved in cell specification and tissue formation. Nkx2.5 does not solely operate but interacts with other cardiac-specific transcription factors such as GATA4 and TBX5 collectively forming a transcriptional complex. This cooperative interaction is essential in orchestrating the genetic program necessary for heart morphogenesis and cellular proliferation within the developing myocardium.

Pathways

The protein Nkx2.5 significantly influences cardiogenesis and heart formation pathways. Its activity is necessary in the Wnt signaling pathway important for the initial stages of cardiac cell lineage differentiation. Additionally Nkx2.5 works in tandem with the protein MEF2C to regulate cardiac-specific genes ensuring the proper development and functioning of cardiac tissues. Both pathways highlight important regulatory networks where Nkx2.5 is an important player in heart development.

Mutations or dysregulations of Nkx2.5 can lead to congenital heart defects such as atrial septal defects and tetralogy of Fallot. These conditions often arise due to disrupted genetic signaling during heart formation. Nkx2.5 mutations have been associated with conduction system defects in conjunction with the GATA4 protein both known to be involved in maintaining normal cardiac structure and function. Understanding Nkx2.5's role in these diseases aides in developing potential therapeutic approaches targeting congenital heart abnormalities.

Product protocols

For this product, it's our understanding that no specific protocols are required. You can visit:

Target data

Transcription factor required for the development of the heart and the spleen (By similarity). During heart development, acts as a transcriptional activator of NPPA/ANF in cooperation with GATA4 (By similarity). May cooperate with TBX2 to negatively modulate expression of NPPA/ANF in the atrioventricular canal (By similarity). Binds to the core DNA motif of NPPA promoter. Together with PBX1, required for spleen development through a mechanism that involves CDKN2B repression (By similarity). Positively regulates transcription of genes such as COL3A1 and MMP2, resulting in increased pulmonary endothelial fibrosis in response to hypoxia (By similarity).
See full target information Nkx2-5

Publications (2)

Recent publications for all applications. Explore the full list and refine your search

Diagnostics (Basel, Switzerland) 14: PubMed38396441

2024

Mesenchymal Stem Cell Transplantation Has a Regenerative Effect in Ischemic Myocardium: An Experimental Rat Model Evaluated by SPECT-CT Assessment.

Applications

Unspecified application

Species

Unspecified reactive species

Antonella Koutela,George Loudos,Maritina Rouchota,Dimitrios Kletsas,Andreas Karameris,George Vilaras,George C Zografos,Despoina Myoteri,Dimitrios Dougenis,Apostolos E Papalois

BioMed research international 2018:3536854 PubMed30046593

2018

C-Kit Cardiac Progenitor Cell Based Cell Sheet Improves Vascularization and Attenuates Cardiac Remodeling following Myocardial Infarction in Rats.

Applications

Unspecified application

Species

Unspecified reactive species

K Dergilev,Z Tsokolaeva,P Makarevich,I Beloglazova,E Zubkova,M Boldyreva,E Ratner,D Dyikanov,M Menshikov,A Ovchinnikov,F Ageev,Ye Parfyonova
View all publications

Product promise

We are committed to supporting your work with high-quality reagents, and we're here for you every step of the way. In the unlikely event that one of our products does not perform as expected, you're protected by our Product Promise.
For full details, please see our Terms & Conditions

Please note: All products are 'FOR RESEARCH USE ONLY. NOT FOR USE IN DIAGNOSTIC OR THERAPEUTIC PROCEDURES'.

For licensing inquiries, please contact partnerships@abcam.com