JavaScript is disabled in your browser. Please enable JavaScript to view this website.
AB314139

Anti-Nkx2.5 antibody [EPR28279-75] - BSA and Azide free

Be the first to review this product! Submit a review

|

(0 Publication)

Rabbit Recombinant Monoclonal Nkx2.5 antibody. Carrier free. Suitable for IHC-P and reacts with Mouse, Rat samples.

View Alternative Names

Csx, Nkx-2.5, Nkx2e, Nkx2-5, Homeobox protein Nkx-2.5, Cardiac-specific homeobox, Homeobox protein CSX, Homeobox protein NK-2 homolog E

6 Images
Immunohistochemistry (Formalin/PFA-fixed paraffin-embedded sections) - Anti-Nkx2.5 antibody [EPR28279-75] - BSA and Azide free (AB314139)
  • IHC-P

Supplier Data

Immunohistochemistry (Formalin/PFA-fixed paraffin-embedded sections) - Anti-Nkx2.5 antibody [EPR28279-75] - BSA and Azide free (AB314139)

This data was developed using ab314138, the same antibody clone in a different buffer formulation. Immunohistochemical analysis of paraffin-embedded Rat cerebrum tissue labeling Nkx2.5 with ab314138 at 1/500 followed by a ready to use LeicaDS9800 (Bond™ Polymer Refine Detection). Negative control : no staining on rat cerebrum.The section was incubated with ab314138 for 30 mins at room temperature.The immunostaining was performed on a Leica Biosystems BOND® RX instrument Counterstained with Hematoxylin. Secondary antibody only control : Secondary antibody is a ready to use LeicaDS9800 (Bond™ Polymer Refine Detection). Heat mediated antigen retrieval was performed with Tris-EDTA buffer (pH 9.0, Epitope Retrieval Solution2) for 20 mins

Immunohistochemistry (Formalin/PFA-fixed paraffin-embedded sections) - Anti-Nkx2.5 antibody [EPR28279-75] - BSA and Azide free (AB314139)
  • IHC-P

Supplier Data

Immunohistochemistry (Formalin/PFA-fixed paraffin-embedded sections) - Anti-Nkx2.5 antibody [EPR28279-75] - BSA and Azide free (AB314139)

This data was developed using ab314138, the same antibody clone in a different buffer formulation. Immunohistochemical analysis of paraffin-embedded Rat liver tissue labeling Nkx2.5 with ab314138 at 1/500 followed by a ready to use LeicaDS9800 (Bond™ Polymer Refine Detection). Negative control : no staining on rat liver.The section was incubated with ab314138 for 30 mins at room temperature.The immunostaining was performed on a Leica Biosystems BOND® RX instrument Counterstained with Hematoxylin. Secondary antibody only control : Secondary antibody is a ready to use LeicaDS9800 (Bond™ Polymer Refine Detection). Heat mediated antigen retrieval was performed with Tris-EDTA buffer (pH 9.0, Epitope Retrieval Solution2) for 20 mins

Immunohistochemistry (Formalin/PFA-fixed paraffin-embedded sections) - Anti-Nkx2.5 antibody [EPR28279-75] - BSA and Azide free (AB314139)
  • IHC-P

Supplier Data

Immunohistochemistry (Formalin/PFA-fixed paraffin-embedded sections) - Anti-Nkx2.5 antibody [EPR28279-75] - BSA and Azide free (AB314139)

This data was developed using ab314138, the same antibody clone in a different buffer formulation. Immunohistochemical analysis of paraffin-embedded Mouse cerebrum tissue labeling Nkx2.5 with ab314138 at 1/500 followed by a ready to use LeicaDS9800 (Bond™ Polymer Refine Detection). Negative control : no staining on mouse cerebrum (PMID : 7904557).The section was incubated with ab314138 for 30 mins at room temperature.The immunostaining was performed on a Leica Biosystems BOND® RX instrument Counterstained with Hematoxylin. Secondary antibody only control : Secondary antibody is a ready to use LeicaDS9800 (Bond™ Polymer Refine Detection). Heat mediated antigen retrieval was performed with Tris-EDTA buffer (pH 9.0, Epitope Retrieval Solution2) for 20 mins

Immunohistochemistry (Formalin/PFA-fixed paraffin-embedded sections) - Anti-Nkx2.5 antibody [EPR28279-75] - BSA and Azide free (AB314139)
  • IHC-P

Supplier Data

Immunohistochemistry (Formalin/PFA-fixed paraffin-embedded sections) - Anti-Nkx2.5 antibody [EPR28279-75] - BSA and Azide free (AB314139)

This data was developed using ab314138, the same antibody clone in a different buffer formulation. Immunohistochemical analysis of paraffin-embedded Mouse liver tissue labeling Nkx2.5 with ab314138 at 1/500 followed by a ready to use LeicaDS9800 (Bond™ Polymer Refine Detection). Negative control : no staining on mouse liver (PMID : 7904557).The section was incubated with ab314138 for 30 mins at room temperature.The immunostaining was performed on a Leica Biosystems BOND® RX instrument Counterstained with Hematoxylin. Secondary antibody only control : Secondary antibody is a ready to use LeicaDS9800 (Bond™ Polymer Refine Detection). Heat mediated antigen retrieval was performed with Tris-EDTA buffer (pH 9.0, Epitope Retrieval Solution2) for 20 mins

Immunohistochemistry (Formalin/PFA-fixed paraffin-embedded sections) - Anti-Nkx2.5 antibody [EPR28279-75] - BSA and Azide free (AB314139)
  • IHC-P

Supplier Data

Immunohistochemistry (Formalin/PFA-fixed paraffin-embedded sections) - Anti-Nkx2.5 antibody [EPR28279-75] - BSA and Azide free (AB314139)

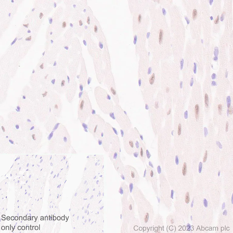
This data was developed using ab314138, the same antibody clone in a different buffer formulation. Immunohistochemical analysis of paraffin-embedded Rat cardiac muscle tissue labeling Nkx2.5 with ab314138 at 1/500 followed by a ready to use LeicaDS9800 (Bond™ Polymer Refine Detection). Positive staining on rat cardiac muscle. The section was incubated with ab314138 for 30 mins at room temperature.The immunostaining was performed on a Leica Biosystems BOND® RX instrument Counterstained with Hematoxylin. Secondary antibody only control : Secondary antibody is a ready to use LeicaDS9800 (Bond™ Polymer Refine Detection). Heat mediated antigen retrieval was performed with Tris-EDTA buffer (pH 9.0, Epitope Retrieval Solution2) for 20 mins

Immunohistochemistry (Formalin/PFA-fixed paraffin-embedded sections) - Anti-Nkx2.5 antibody [EPR28279-75] - BSA and Azide free (AB314139)
  • IHC-P

Supplier Data

Immunohistochemistry (Formalin/PFA-fixed paraffin-embedded sections) - Anti-Nkx2.5 antibody [EPR28279-75] - BSA and Azide free (AB314139)

This data was developed using ab314138, the same antibody clone in a different buffer formulation. Immunohistochemical analysis of paraffin-embedded Mouse cardiac muscle tissue labeling Nkx2.5 with ab314138 at 1/500 followed by a ready to use LeicaDS9800 (Bond™ Polymer Refine Detection). Positive staining on mouse cardiac muscle (PMID : 9598591). The section was incubated with ab314138 for 30 mins at room temperature.The immunostaining was performed on a Leica Biosystems BOND® RX instrument Counterstained with Hematoxylin. Secondary antibody only control : Secondary antibody is a ready to use LeicaDS9800 (Bond™ Polymer Refine Detection). Heat mediated antigen retrieval was performed with Tris-EDTA buffer (pH 9.0, Epitope Retrieval Solution2) for 20 mins

Key facts

Host species

Rabbit

Clonality

Monoclonal

Clone number

EPR28279-75

Isotype

IgG

Carrier free

Yes

Reacts with

Mouse, Rat

Applications

IHC-P

applications

Immunogen

The exact immunogen used to generate this antibody is proprietary information.

Specificity

This antibody does not cross-react with human Nkx2.3.

Reactivity data

{ "title": "Reactivity Data", "filters": { "stats": ["", "Species", "Dilution Info", "Notes"], "tabs": { "all-applications": {"fullname" : "All Applications", "shortname": "All Applications"}, "IHCP" : {"fullname" : "Immunohistochemistry (Formalin/PFA-fixed paraffin-embedded sections)", "shortname":"IHC-P"}, "ICCIF" : {"fullname" : "Immunocytochemistry/ Immunofluorescence", "shortname":"ICC/IF"}, "WB" : {"fullname" : "Western blot", "shortname":"WB"}, "IP" : {"fullname" : "Immunoprecipitation", "shortname":"IP"}, "FlowCytIntra" : {"fullname" : "Flow Cytometry (Intracellular)", "shortname":"Flow Cyt (Intra)"} }, "product-promise": { "all": "all", "testedAndGuaranteed": "tested", "guaranteed": "expected", "predicted": "predicted", "notRecommended": "not-recommended" } }, "values": { "Human": { "IHCP-species-checked": "notRecommended", "IHCP-species-dilution-info": "", "IHCP-species-notes": "<p></p>", "ICCIF-species-checked": "notRecommended", "ICCIF-species-dilution-info": "", "ICCIF-species-notes": "<p></p>", "WB-species-checked": "notRecommended", "WB-species-dilution-info": "", "WB-species-notes": "<p></p>", "IP-species-checked": "notRecommended", "IP-species-dilution-info": "", "IP-species-notes": "", "FlowCytIntra-species-checked": "notRecommended", "FlowCytIntra-species-dilution-info": "", "FlowCytIntra-species-notes": "<p></p>" }, "Mouse": { "IHCP-species-checked": "testedAndGuaranteed", "IHCP-species-dilution-info": "", "IHCP-species-notes": "<p></p>", "ICCIF-species-checked": "notRecommended", "ICCIF-species-dilution-info": "", "ICCIF-species-notes": "<p></p>", "WB-species-checked": "notRecommended", "WB-species-dilution-info": "", "WB-species-notes": "<p></p>", "IP-species-checked": "notRecommended", "IP-species-dilution-info": "", "IP-species-notes": "<p></p>", "FlowCytIntra-species-checked": "notRecommended", "FlowCytIntra-species-dilution-info": "", "FlowCytIntra-species-notes": "<p></p>" }, "Rat": { "IHCP-species-checked": "testedAndGuaranteed", "IHCP-species-dilution-info": "", "IHCP-species-notes": "<p></p>", "ICCIF-species-checked": "notRecommended", "ICCIF-species-dilution-info": "", "ICCIF-species-notes": "", "WB-species-checked": "notRecommended", "WB-species-dilution-info": "", "WB-species-notes": "<p></p>", "IP-species-checked": "notRecommended", "IP-species-dilution-info": "", "IP-species-notes": "", "FlowCytIntra-species-checked": "notRecommended", "FlowCytIntra-species-dilution-info": "", "FlowCytIntra-species-notes": "" } } }

Product details

ab314139 is the carrier-free version of ab314138.

Patented technology
Our RabMAb® technology is a patented hybridoma-based technology for making rabbit monoclonal antibodies. For details on our patents, please refer to RabMAb® patents.

What are the advantages of a recombinant monoclonal antibody?
This product is a recombinant monoclonal antibody, which offers several advantages including:

  • - High batch-to-batch consistency and reproducibility
  • - Improved sensitivity and specificity
  • - Long-term security of supply
  • - Animal-free batch production

For more information, read more on recombinant antibodies.

Conjugation ready
Our carrier-free antibodies are typically supplied in a PBS-only formulation, purified and free of BSA, sodium azide and glycerol. This conjugation-ready format is designed for use with fluorochromes, metal isotopes, oligonucleotides, and enzymes, which makes them ideal for antibody labelling, functional and cell-based assays, flow-based assays (e.g. mass cytometry) and Multiplex Imaging applications.

Use our conjugation kits for antibody conjugates that are ready-to-use in as little as 20 minutes with 1 minute hands-on-time and 100% antibody recovery: available for fluorescent dyes, HRP, biotin and gold.

Compatibility
This product is compatible with the Maxpar® Antibody Labeling Kit from Fluidigm, without the need for antibody preparation. Maxpar® is a trademark of Fluidigm Canada Inc.

Properties and storage information

Form
Liquid
Purification technique
Affinity purification Protein A
Storage buffer
pH: 7.2 - 7.4 Constituents: PBS
Shipped at conditions
Blue Ice
Appropriate short-term storage conditions
+4°C
Appropriate long-term storage conditions
+4°C

Supplementary information

This supplementary information is collated from multiple sources and compiled automatically.

Nkx2.5 also known as NKX2-5 or CSX is a homeobox-containing transcription factor with a molecular mass of approximately 35 kDa. It is primarily expressed in the heart specifically in cardiac progenitor cells and also found in low levels in the spleen stomach and pancreas. As a transcription factor Nkx2.5 plays a significant role in regulating the expression of genes critical for cardiac development and differentiation. The protein's expression is tightly regulated during early embryogenesis and maintained in the heart throughout life.
Biological function summary

Nkx2.5 functions to direct the development of cardiac myocytes by regulating genes involved in cell specification and tissue formation. Nkx2.5 does not solely operate but interacts with other cardiac-specific transcription factors such as GATA4 and TBX5 collectively forming a transcriptional complex. This cooperative interaction is essential in orchestrating the genetic program necessary for heart morphogenesis and cellular proliferation within the developing myocardium.

Pathways

The protein Nkx2.5 significantly influences cardiogenesis and heart formation pathways. Its activity is necessary in the Wnt signaling pathway important for the initial stages of cardiac cell lineage differentiation. Additionally Nkx2.5 works in tandem with the protein MEF2C to regulate cardiac-specific genes ensuring the proper development and functioning of cardiac tissues. Both pathways highlight important regulatory networks where Nkx2.5 is an important player in heart development.

Mutations or dysregulations of Nkx2.5 can lead to congenital heart defects such as atrial septal defects and tetralogy of Fallot. These conditions often arise due to disrupted genetic signaling during heart formation. Nkx2.5 mutations have been associated with conduction system defects in conjunction with the GATA4 protein both known to be involved in maintaining normal cardiac structure and function. Understanding Nkx2.5's role in these diseases aides in developing potential therapeutic approaches targeting congenital heart abnormalities.

Product protocols

For this product, it's our understanding that no specific protocols are required. You can visit:

Target data

Transcription factor required for the development of the heart and the spleen (PubMed : 16556915, PubMed : 19483677, PubMed : 22560297, PubMed : 9584153). During heart development, acts as a transcriptional activator of NPPA/ANF in cooperation with GATA4 (PubMed : 9584153). May cooperate with TBX2 to negatively modulate expression of NPPA/ANF in the atrioventricular canal (PubMed : 12023302). Binds to the core DNA motif of NPPA promoter (PubMed : 19483677). Together with PBX1, required for spleen development through a mechanism that involves CDKN2B repression (PubMed : 22560297). Positively regulates transcription of genes such as COL3A1 and MMP2, resulting in increased pulmonary endothelial fibrosis in response to hypoxia (By similarity).
See full target information Nkx2-5

Product promise

We are committed to supporting your work with high-quality reagents, and we're here for you every step of the way. In the unlikely event that one of our products does not perform as expected, you're protected by our Product Promise.
For full details, please see our Terms & Conditions

Please note: All products are 'FOR RESEARCH USE ONLY. NOT FOR USE IN DIAGNOSTIC OR THERAPEUTIC PROCEDURES'.

For licensing inquiries, please contact partnerships@abcam.com