JavaScript is disabled in your browser. Please enable JavaScript to view this website.
AB221544

Anti-nkx6.1 antibody [EPR20328]

Be the first to review this product! Submit a review

|

(3 Publications)

Rabbit Recombinant Monoclonal nkx6.1 antibody. Suitable for WB, IHC-P and reacts with Rat, Mouse, Human samples. Cited in 3 publications.

View Alternative Names

NKX6A, NKX6-1, Homeobox protein Nkx-6.1, Homeobox protein NK-6 homolog A

7 Images
Immunohistochemistry (Formalin/PFA-fixed paraffin-embedded sections) - Anti-nkx6.1 antibody [EPR20328] (AB221544)
  • IHC-P

Supplier Data

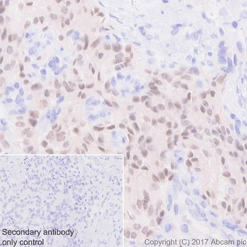
Immunohistochemistry (Formalin/PFA-fixed paraffin-embedded sections) - Anti-nkx6.1 antibody [EPR20328] (AB221544)

Immunohistochemical analysis of paraffin-embedded human pancreatic neuroendocrine neoplasm tissue labeling nkx6.1 with ab221544 at 1/200 dilution followed by Goat Anti-Rabbit IgG H&L (HRP) Ready to use. Mainly nuclear staining on tumor cells of human pancreatic neuroendocrine neoplasm (PMID : 25871618). Counter stained with hematoxylin.

Secondary antibody only control : Used PBS instead of primary antibody secondary antibody is Goat Anti-Rabbit IgG H&L (HRP) Ready to use.

Perform heat mediated antigen retrieval with Tris/EDTA buffer pH 9.0 before commencing with IHC staining protocol.

Immunohistochemistry (Formalin/PFA-fixed paraffin-embedded sections) - Anti-nkx6.1 antibody [EPR20328] (AB221544)
  • IHC-P

Supplier Data

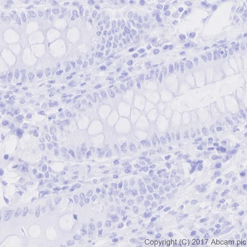
Immunohistochemistry (Formalin/PFA-fixed paraffin-embedded sections) - Anti-nkx6.1 antibody [EPR20328] (AB221544)

Immunohistochemical analysis of paraffin-embedded human colon tissue labeling nkx6.1 with ab221544 at 1/200 dilution followed by Goat Anti-Rabbit IgG H&L (HRP) Ready to use.

Negative control : no staining on human colon (PMID : 25871618).

Counter stained with hematoxylin.

Perform heat mediated antigen retrieval with Tris/EDTA buffer pH 9.0 before commencing with IHC staining protocol.

Immunohistochemistry (Formalin/PFA-fixed paraffin-embedded sections) - Anti-nkx6.1 antibody [EPR20328] (AB221544)
  • IHC-P

Supplier Data

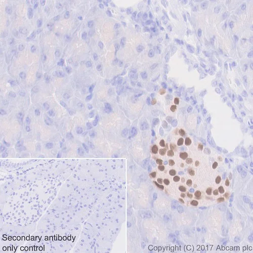
Immunohistochemistry (Formalin/PFA-fixed paraffin-embedded sections) - Anti-nkx6.1 antibody [EPR20328] (AB221544)

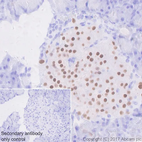
Immunohistochemical analysis of paraffin-embedded human pancreas tissue labeling nkx6.1 with ab221544 at 1/200 dilution followed by Goat Anti-Rabbit IgG H&L (HRP) Ready to use. Nuclear staining on islet of human pancreas (PMID : 8702531). Counter stained with hematoxylin.

Secondary antibody only control : Used PBS instead of primary antibody secondary antibody is Goat Anti-Rabbit IgG H&L (HRP) Ready to use.

Perform heat mediated antigen retrieval with Tris/EDTA buffer pH 9.0 before commencing with IHC staining protocol.

Immunohistochemistry (Formalin/PFA-fixed paraffin-embedded sections) - Anti-nkx6.1 antibody [EPR20328] (AB221544)
  • IHC-P

Supplier Data

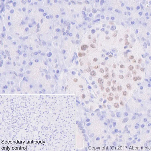
Immunohistochemistry (Formalin/PFA-fixed paraffin-embedded sections) - Anti-nkx6.1 antibody [EPR20328] (AB221544)

Immunohistochemical analysis of paraffin-embedded rat pancreas tissue labeling nkx6.1 with ab221544 at 1/200 dilution followed by Goat Anti-Rabbit IgG H&L (HRP) Ready to use. Nuclear staining on rat pancreas (PMID : 8702531). Counter stained with hematoxylin.

Secondary antibody only control : Used PBS instead of primary antibody secondary antibody is Goat Anti-Rabbit IgG H&L (HRP) Ready to use.

Perform heat mediated antigen retrieval with Tris/EDTA buffer pH 9.0 before commencing with IHC staining protocol.

Immunohistochemistry (Formalin/PFA-fixed paraffin-embedded sections) - Anti-nkx6.1 antibody [EPR20328] (AB221544)
  • IHC-P

Supplier Data

Immunohistochemistry (Formalin/PFA-fixed paraffin-embedded sections) - Anti-nkx6.1 antibody [EPR20328] (AB221544)

Immunohistochemical analysis of paraffin-embedded mouse pancreas tissue labeling nkx6.1 with ab221544 at 1/200 dilution followed by Goat Anti-Rabbit IgG H&L (HRP) Ready to use. Nuclear staining on islet of mouse pancreas (PMID : 8702531). Counter stained with hematoxylin.

Secondary antibody only control : Used PBS instead of primary antibody secondary antibody is Goat Anti-Rabbit IgG H&L (HRP) Ready to use.

Perform heat mediated antigen retrieval with Tris/EDTA buffer pH 9.0 before commencing with IHC staining protocol.

Western blot - Anti-nkx6.1 antibody [EPR20328] (AB221544)
  • WB

Supplier Data

Western blot - Anti-nkx6.1 antibody [EPR20328] (AB221544)

Blocking/Dilution buffer : 5% NFDM/TBST.

Human nkx6.1 recombinant protein contains aa(1-48) & aa(66-120) & aa(179-240) with a His-tag.

All lanes:

Western blot - Anti-nkx6.1 antibody [EPR20328] (ab221544) at 1/1000 dilution

All lanes:

Human nkx6.1 recombinant protein (aa (1-48) & aa(66-120) & aa(179-240) with a His-tag) at 0.01 µg

Secondary

All lanes:

Western blot - Goat Anti-Rabbit IgG H&L (HRP) (<a href='/en-us/products/secondary-antibodies/goat-rabbit-igg-h-l-hrp-ab97051'>ab97051</a>) at 1/100000 dilution

Predicted band size: 38 kDa

Observed band size: 40 kDa

true

Exposure time: 3s

Western blot - Anti-nkx6.1 antibody [EPR20328] (AB221544)
  • WB

Lab

Western blot - Anti-nkx6.1 antibody [EPR20328] (AB221544)

Blocking/Dilution buffer : 5% NFDM/TBST.

All lanes:

Western blot - Anti-nkx6.1 antibody [EPR20328] (ab221544) at 1/200 dilution

All lanes:

Beta-TC-6 (mouse pancreas insulinoma beta cell) whole cell lysate at 10 µg

Secondary

All lanes:

Western blot - Goat Anti-Rabbit IgG H&L (HRP) (<a href='/en-us/products/secondary-antibodies/goat-rabbit-igg-h-l-hrp-ab97051'>ab97051</a>) at 1/100000 dilution

Predicted band size: 38 kDa

Observed band size: 38 kDa

false

Exposure time: 3min

  • Carrier free

    Anti-nkx6.1 antibody [EPR20328] - BSA and Azide free

Key facts

Host species

Rabbit

Clonality

Monoclonal

Clone number

EPR20328

Isotype

IgG

Carrier free

No

Reacts with

Mouse, Rat, Human

Applications

IHC-P, WB

applications

Immunogen

The exact immunogen used to generate this antibody is proprietary information.

Reactivity data

{ "title": "Reactivity Data", "filters": { "stats": ["", "Species", "Dilution Info", "Notes"], "tabs": { "all-applications": {"fullname" : "All Applications", "shortname": "All Applications"}, "WB" : {"fullname" : "Western blot", "shortname":"WB"}, "IHCP" : {"fullname" : "Immunohistochemistry (Formalin/PFA-fixed paraffin-embedded sections)", "shortname":"IHC-P"} }, "product-promise": { "all": "all", "testedAndGuaranteed": "tested", "guaranteed": "expected", "predicted": "predicted", "notRecommended": "not-recommended" } }, "values": { "Human": { "WB-species-checked": "guaranteed", "WB-species-dilution-info": "", "WB-species-notes": "", "IHCP-species-checked": "testedAndGuaranteed", "IHCP-species-dilution-info": "1/200", "IHCP-species-notes": "<p></p>" }, "Mouse": { "WB-species-checked": "testedAndGuaranteed", "WB-species-dilution-info": "1/1000", "WB-species-notes": "<p>Detection of endogenous expression of nkx6.1 in WB will require optimization. Under our experimental conditions we only detected weak endogenous expression in mouse lysates.</p>", "IHCP-species-checked": "testedAndGuaranteed", "IHCP-species-dilution-info": "1/200", "IHCP-species-notes": "<p></p>" }, "Rat": { "WB-species-checked": "testedAndGuaranteed", "WB-species-dilution-info": "1/1000", "WB-species-notes": "<p>Detection of endogenous expression of nkx6.1 in WB will require optimization. Under our experimental conditions we only detected weak endogenous expression in mouse lysates.</p>", "IHCP-species-checked": "testedAndGuaranteed", "IHCP-species-dilution-info": "1/200", "IHCP-species-notes": "<p></p>" } } }

Product details

Patented technology
Our RabMAb® technology is a patented hybridoma-based technology for making rabbit monoclonal antibodies. For details on our patents, please refer to RabMAb® patents.

What are the advantages of a recombinant monoclonal antibody?
This product is a recombinant monoclonal antibody, which offers several advantages including:

  • - High batch-to-batch consistency and reproducibility
  • - Improved sensitivity and specificity
  • - Long-term security of supply
  • - Animal-free batch production

For more information, read more on recombinant antibodies.

Properties and storage information

Form
Liquid
Purification technique
Affinity purification Protein A
Storage buffer
pH: 7.2 - 7.4 Preservative: 0.01% Sodium azide Constituents: PBS, 40% Glycerol (glycerin, glycerine), 0.05% BSA
Shipped at conditions
Blue Ice
Appropriate short-term storage duration
1-2 weeks
Appropriate short-term storage conditions
+4°C
Appropriate long-term storage conditions
-20°C
Aliquoting information
Upon delivery aliquot
Storage information
Avoid freeze / thaw cycle

Supplementary information

This supplementary information is collated from multiple sources and compiled automatically.

Nkx6.1 is a homeodomain-containing transcription factor also known as NKX6A. It weighs approximately 36 kDa and is mainly expressed in the developing central nervous system and pancreas. In the pancreas it is found during early developmental stages in islet and exocrine cells. The protein acts as a transcriptional regulator and influences the expression of genes important for cell differentiation and development.
Biological function summary

Nkx6.1 plays a significant role in pancreatic beta-cell lineage development. It regulates genes that are essential for maintaining beta-cell identity and functions such as insulin gene transcription. Nkx6.1 functions as a part of a transcription factor complex and works in conjunction with other proteins to achieve its effects. It upregulates target genes necessary for cell cycle progression and insulin regulation ensuring proper beta-cell function.

Pathways

Nkx6.1 is strongly associated with the pancreatic development pathway and cell differentiation processes. It works closely with proteins like Pax4 and Pax6 to control the fate of pancreatic progenitor cells. The Notch signaling pathway also involves Nkx6.1 where it influences the determination of specific cell types in the pancreas. This interaction helps regulate the balance between proliferation and differentiation of precursor cells.

Nkx6.1 has connections to diabetes especially type 1 diabetes as it affects insulin-producing beta-cells. A deficiency or malfunction in Nkx6.1 can lead to impaired insulin synthesis and secretion. Nkx2.2 is another protein involved in the pancreatic beta-cell function and shares regulatory pathways with Nkx6.1. Additionally research hints at Nkx6.1 involvement in certain central nervous system disorders since alterations in its expression could result in developmental abnormalities.

Product protocols

For this product, it's our understanding that no specific protocols are required. You can visit:

Target data

Transcription factor which binds to specific A/T-rich DNA sequences in the promoter regions of a number of genes. Involved in the development of insulin-producing beta cells in the islets of Langerhans at the secondary transition (By similarity). Together with NKX2-2 and IRX3 acts to restrict the generation of motor neurons to the appropriate region of the neural tube. Belongs to the class II proteins of neuronal progenitor factors, which are induced by SHH signals (By similarity).
See full target information NKX6-1

Publications (3)

Recent publications for all applications. Explore the full list and refine your search

Journal of nanobiotechnology 23:562 PubMed40797208

2025

Radiocleavable rare-earth nanoactivators targeting over-expressed folate receptors induce mitochondrial dysfunction and remodel immune suppressive microenvironment in pancreatic cancer.

Applications

Unspecified application

Species

Unspecified reactive species

Tanvi Gupta,Shang-Rung Wu,Li-Chan Chang,Forn-Chia Lin,Yan-Shen Shan,Chen-Sheng Yeh,Wen-Pin Su

Inflammation and regeneration 42:55 PubMed36451229

2022

2D and 3D cultured human umbilical cord-derived mesenchymal stem cell-conditioned medium has a dual effect in type 1 diabetes model in rats: immunomodulation and beta-cell regeneration.

Applications

Unspecified application

Species

Unspecified reactive species

Basak Isildar,Serbay Ozkan,Merve Ercin,Selda Gezginci-Oktayoglu,Mahmut Oncul,Meral Koyuturk

Cell death and differentiation 27:130-145 PubMed31097787

2019

STAT3 dictates β-cell apoptosis by modulating PTEN in streptozocin-induced hyperglycemia.

Applications

Unspecified application

Species

Unspecified reactive species

Qinjie Weng,Mengting Zhao,Jiahuan Zheng,Lijun Yang,Zijie Xu,Zhikang Zhang,Jincheng Wang,Jiajia Wang,Bo Yang,Q Richard Lu,Meidan Ying,Qiaojun He
View all publications

Product promise

We are committed to supporting your work with high-quality reagents, and we're here for you every step of the way. In the unlikely event that one of our products does not perform as expected, you're protected by our Product Promise.
For full details, please see our Terms & Conditions

Please note: All products are 'FOR RESEARCH USE ONLY. NOT FOR USE IN DIAGNOSTIC OR THERAPEUTIC PROCEDURES'.

For licensing inquiries, please contact partnerships@abcam.com