JavaScript is disabled in your browser. Please enable JavaScript to view this website.
AB221549

Anti-nkx6.1 antibody [EPR20405]

5

(2 Reviews)

|

(19 Publications)

Anti-nkx6.1 antibody [EPR20405] (ab221549) is a rabbit monoclonal antibody detecting nkx6.1 in Western Blot, IHC-P, IHC-Fr. Suitable for Human, Mouse.

- Biophysical QC for unrivalled batch-batch consistency
- Over 10 publications

View Alternative Names

NKX6A, NKX6-1, Homeobox protein Nkx-6.1, Homeobox protein NK-6 homolog A

7 Images
Immunohistochemistry (Formalin/PFA-fixed paraffin-embedded sections) - Anti-nkx6.1 antibody [EPR20405] (AB221549)
  • IHC-P

Supplier Data

Immunohistochemistry (Formalin/PFA-fixed paraffin-embedded sections) - Anti-nkx6.1 antibody [EPR20405] (AB221549)

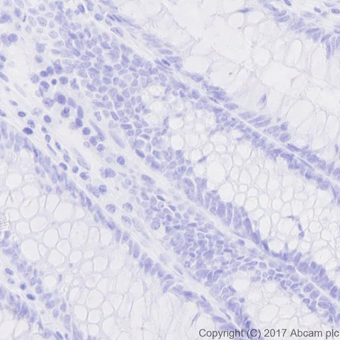
Immunohistochemical analysis of paraffin-embedded human colon tissue labeling nkx6.1 with ab221549 at 1/2000 dilution, followed by Goat Anti-Rabbit IgG H&L (HRP) Ready to use.

Negative control : no staining on human colon (PMID : 25871618).

Counter stained with hematoxylin.

Perform heat mediated antigen retrieval with Tris/EDTA buffer pH 9.0 before commencing with IHC staining protocol.

Immunohistochemistry (Formalin/PFA-fixed paraffin-embedded sections) - Anti-nkx6.1 antibody [EPR20405] (AB221549)
  • IHC-P

Supplier Data

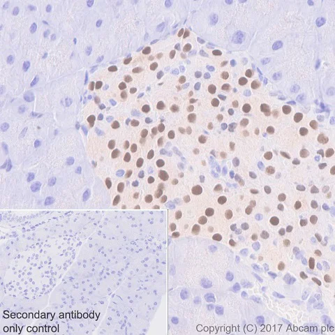
Immunohistochemistry (Formalin/PFA-fixed paraffin-embedded sections) - Anti-nkx6.1 antibody [EPR20405] (AB221549)

Immunohistochemical analysis of paraffin-embedded human pancreas tissue labeling nkx6.1 with ab221549 at 1/2000 dilution, followed by Goat Anti-Rabbit IgG H&L (HRP) Ready to use. Nuclear staining on islet of human pancreas (PMID : 8702531). Counter stained with hematoxylin.

Secondary antibody only control : Used PBS instead of primary antibody, secondary antibody is Goat Anti-Rabbit IgG H&L (HRP) Ready to use.

Perform heat mediated antigen retrieval with Tris/EDTA buffer pH 9.0 before commencing with IHC staining protocol.

Immunohistochemistry (Formalin/PFA-fixed paraffin-embedded sections) - Anti-nkx6.1 antibody [EPR20405] (AB221549)
  • IHC-P

Supplier Data

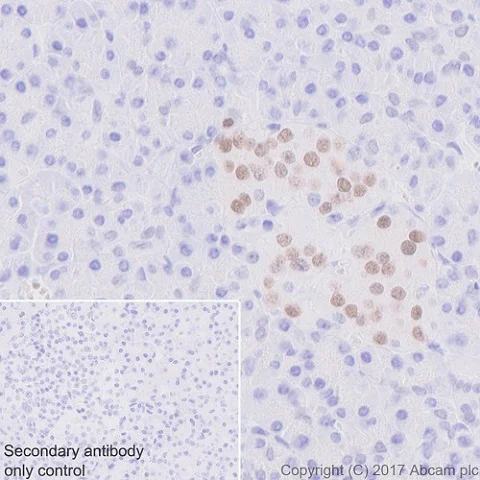
Immunohistochemistry (Formalin/PFA-fixed paraffin-embedded sections) - Anti-nkx6.1 antibody [EPR20405] (AB221549)

Immunohistochemical analysis of paraffin-embedded human pancreatic neuroendocrine neoplasm tissue labeling nkx6.1 with ab221549 at 1/2000 dilution, followed by Goat Anti-Rabbit IgG H&L (HRP) Ready to use. Mainly nuclear staining on tumor cells of human pancreatic neuroendocrine neoplasm (PMID : 25871618). Counter stained with hematoxylin.

Secondary antibody only control : Used PBS instead of primary antibody, secondary antibody is Goat Anti-Rabbit IgG H&L (HRP) Ready to use.

Perform heat mediated antigen retrieval with Tris/EDTA buffer pH 9.0 before commencing with IHC staining protocol.

Immunohistochemistry (Formalin/PFA-fixed paraffin-embedded sections) - Anti-nkx6.1 antibody [EPR20405] (AB221549)
  • IHC-P

Supplier Data

Immunohistochemistry (Formalin/PFA-fixed paraffin-embedded sections) - Anti-nkx6.1 antibody [EPR20405] (AB221549)

Immunohistochemical analysis of paraffin-embedded mouse pancreas tissue labeling nkx6.1 with ab221549 at 1/2000 dilution, followed by Goat Anti-Rabbit IgG H&L (HRP) Ready to use. Nuclear staining on islet of mouse pancreas (PMID : 8702531). Counter stained with hematoxylin.

Secondary antibody only control : Used PBS instead of primary antibody, secondary antibody is Goat Anti-Rabbit IgG H&L (HRP) Ready to use.

Perform heat mediated antigen retrieval with Tris/EDTA buffer pH 9.0 before commencing with IHC staining protocol.

Immunohistochemistry (Frozen sections) - Anti-nkx6.1 antibody [EPR20405] (AB221549)
  • IHC-Fr

Supplier Data

Immunohistochemistry (Frozen sections) - Anti-nkx6.1 antibody [EPR20405] (AB221549)

Immunohistochemical analysis of 4% paraformaldehyde-fixed, 0.2% Triton X-100 permeabilized frozen mouse pancreas tissue labeling nkx6.1 with ab221549 at 1/100 dilution, followed by Goat anti-rabbit IgG (Alexa Fluor® 488) (ab150077) secondary antibody at 1/1000 dilution (green). Nuclear staining on islet of mouse pancreas is observed.

The nuclear counterstain is DAPI (blue).

Secondary antibody only control : Used PBS instead of primary antibody, secondary antibody is Goat anti-rabbit IgG (Alexa Fluor® 488) (ab150077) at 1/1000 dilution.

Western blot - Anti-nkx6.1 antibody [EPR20405] (AB221549)
  • WB

Supplier Data

Western blot - Anti-nkx6.1 antibody [EPR20405] (AB221549)

Blocking/Dilution buffer : 5% NFDM/TBST.

Under our testing conditions we used a high sensitivity exposure system to obtain this result. Customers are recommended to optimize WB testing conditions.

All lanes:

Western blot - Anti-nkx6.1 antibody [EPR20405] (ab221549) at 1/1000 dilution

All lanes:

Human fetal pancreas lysate at 20 µg

Secondary

All lanes:

Western blot - Goat Anti-Rabbit IgG H&L (HRP) (<a href='/en-us/products/secondary-antibodies/goat-rabbit-igg-h-l-hrp-ab97051'>ab97051</a>) at 1/50000 dilution

Predicted band size: 38 kDa

Observed band size: 38 kDa

true

Exposure time: 3min

Western blot - Anti-nkx6.1 antibody [EPR20405] (AB221549)
  • WB

Lab

Western blot - Anti-nkx6.1 antibody [EPR20405] (AB221549)

Blocking/Dilution buffer : 5% NFDM/TBST

All lanes:

Western blot - Anti-nkx6.1 antibody [EPR20405] (ab221549) at 1/1000 dilution

All lanes:

Beta-TC-6 (mouse pancreas insulinoma beta cell) whole cell lysate at 10 µg

Secondary

All lanes:

Western blot - Goat Anti-Rabbit IgG H&L (HRP) (<a href='/en-us/products/secondary-antibodies/goat-rabbit-igg-h-l-hrp-ab97051'>ab97051</a>) at 1/100000 dilution

Predicted band size: 38 kDa

Observed band size: 38 kDa

false

Exposure time: 30s

Key facts

Host species

Rabbit

Clonality

Monoclonal

Clone number

EPR20405

Isotype

IgG

Carrier free

No

Reacts with

Mouse, Human

Applications

IHC-Fr, WB, IHC-P

applications

Immunogen

The exact immunogen used to generate this antibody is proprietary information.

Reactivity data

{ "title": "Reactivity Data", "filters": { "stats": ["", "Species", "Dilution Info", "Notes"], "tabs": { "all-applications": {"fullname" : "All Applications", "shortname": "All Applications"}, "WB" : {"fullname" : "Western blot", "shortname":"WB"}, "IHCFr" : {"fullname" : "Immunohistochemistry (Frozen sections)", "shortname":"IHC-Fr"}, "IHCP" : {"fullname" : "Immunohistochemistry (Formalin/PFA-fixed paraffin-embedded sections)", "shortname":"IHC-P"} }, "product-promise": { "all": "all", "testedAndGuaranteed": "tested", "guaranteed": "expected", "predicted": "predicted", "notRecommended": "not-recommended" } }, "values": { "Human": { "WB-species-checked": "testedAndGuaranteed", "WB-species-dilution-info": "1/1000", "WB-species-notes": "<p>Under our testing conditions we used a high sensitivity exposure system to obtain this result. Customers are recommended to optimize WB testing conditions.</p>", "IHCFr-species-checked": "guaranteed", "IHCFr-species-dilution-info": "", "IHCFr-species-notes": "", "IHCP-species-checked": "testedAndGuaranteed", "IHCP-species-dilution-info": "1/2000", "IHCP-species-notes": "<p></p> Perform heat-mediated antigen retrieval with Tris/EDTA buffer pH 9.0 before commencing with IHC staining protocol." }, "Mouse": { "WB-species-checked": "testedAndGuaranteed", "WB-species-dilution-info": "1/1000", "WB-species-notes": "<p>Under our testing conditions we used a high sensitivity exposure system to obtain this result. Customers are recommended to optimize WB testing conditions.</p>", "IHCFr-species-checked": "testedAndGuaranteed", "IHCFr-species-dilution-info": "1/100", "IHCFr-species-notes": "<p></p>", "IHCP-species-checked": "testedAndGuaranteed", "IHCP-species-dilution-info": "1/2000", "IHCP-species-notes": "<p></p> Perform heat-mediated antigen retrieval with Tris/EDTA buffer pH 9.0 before commencing with IHC staining protocol." } } }

Product details

What is this antibody validated in?
Anti-nkx6.1 antibody [EPR20405] (ab221549) is a rabbit recombinant monoclonal antibody and is validated for use in Western Blot (WB), Immunohistochemistry (IHC-P), Immunohistochemistry (IHC-Fr) in Human, Mouse samples.

What is the molecular weight of nkx6.1?
Anti-nkx6.1 [EPR20405] (ab221549) specifically detects a band for nkx6.1 (UniProt: P78426) at a molecular weight of 38kDa.

Trusted by the scientific community
Anti-nkx6.1 [EPR20405] (ab221549) was first used in a scientific publication in 2017 and has been cited over 10 times in peer-reviewed journals.

Trial sizes available!
Test your antibody or perform pre-screening before committing to a larger quantity. Sold in 10µl. Discover our selection of trial-size antibodies.

Other related products
We have a range of other formats of antibody clone [EPR20405] also available for your convenience: ab221549, Carrier free - ab240398, Alexa Fluor® 647 - ab322233

Patented technology
Our RabMAb® technology is a patented hybridoma-based technology for making rabbit monoclonal antibodies. For details on our patents, please refer to RabMAb® patents.

What are the advantages of a recombinant monoclonal antibody?
This product is a recombinant monoclonal antibody, which offers several advantages including:

  • - High batch-to-batch consistency and reproducibility
  • - Improved sensitivity and specificity
  • - Long-term security of supply
  • - Animal-free batch production

For more information, read more on recombinant antibodies.

Properties and storage information

Form
Liquid
Purification technique
Affinity purification Protein A
Storage buffer
pH: 7.2 - 7.4 Preservative: 0.01% Sodium azide Constituents: PBS, 40% Glycerol (glycerin, glycerine), 0.05% BSA
Shipped at conditions
Blue Ice
Appropriate short-term storage duration
1-2 weeks
Appropriate short-term storage conditions
+4°C
Appropriate long-term storage conditions
-20°C
Aliquoting information
Upon delivery aliquot
Storage information
Avoid freeze / thaw cycle

Supplementary information

This supplementary information is collated from multiple sources and compiled automatically.

Nkx6.1 is a homeodomain-containing transcription factor also known as NKX6A. It weighs approximately 36 kDa and is mainly expressed in the developing central nervous system and pancreas. In the pancreas it is found during early developmental stages in islet and exocrine cells. The protein acts as a transcriptional regulator and influences the expression of genes important for cell differentiation and development.
Biological function summary

Nkx6.1 plays a significant role in pancreatic beta-cell lineage development. It regulates genes that are essential for maintaining beta-cell identity and functions such as insulin gene transcription. Nkx6.1 functions as a part of a transcription factor complex and works in conjunction with other proteins to achieve its effects. It upregulates target genes necessary for cell cycle progression and insulin regulation ensuring proper beta-cell function.

Pathways

Nkx6.1 is strongly associated with the pancreatic development pathway and cell differentiation processes. It works closely with proteins like Pax4 and Pax6 to control the fate of pancreatic progenitor cells. The Notch signaling pathway also involves Nkx6.1 where it influences the determination of specific cell types in the pancreas. This interaction helps regulate the balance between proliferation and differentiation of precursor cells.

Nkx6.1 has connections to diabetes especially type 1 diabetes as it affects insulin-producing beta-cells. A deficiency or malfunction in Nkx6.1 can lead to impaired insulin synthesis and secretion. Nkx2.2 is another protein involved in the pancreatic beta-cell function and shares regulatory pathways with Nkx6.1. Additionally research hints at Nkx6.1 involvement in certain central nervous system disorders since alterations in its expression could result in developmental abnormalities.

Product protocols

For this product, it's our understanding that no specific protocols are required. You can visit:

Target data

Transcription factor which binds to specific A/T-rich DNA sequences in the promoter regions of a number of genes. Involved in the development of insulin-producing beta cells in the islets of Langerhans at the secondary transition (By similarity). Together with NKX2-2 and IRX3 acts to restrict the generation of motor neurons to the appropriate region of the neural tube. Belongs to the class II proteins of neuronal progenitor factors, which are induced by SHH signals (By similarity).
See full target information NKX6-1

Publications (19)

Recent publications for all applications. Explore the full list and refine your search

Oncology letters 29:288 PubMed40264825

2025

Prognostic value of protein expression, tumor morphology and location within the pancreas in pancreatic ductal adenocarcinoma.

Applications

Unspecified application

Species

Unspecified reactive species

Haruto Nishida,Kengo Ando,Ryo Kaimori,Kazuhiro Kawamura,Tsutomu Daa

Stem cell research & therapy 15:458 PubMed39623490

2024

Knockout of B2M in combination with PD-L1 overexpression protects MSC-derived new islet β cells from graft rejection in the treatment of canine diabetes mellitus.

Applications

Unspecified application

Species

Unspecified reactive species

Pengxiu Dai,Yi Wu,Qingjie Du,Juanjuan Du,Keyi Wang,Ruiqi Chen,Xiancheng Feng,Chen Chen,Xinke Zhang

International journal of molecular sciences 25: PubMed39273600

2024

From iPSCs to Pancreatic β Cells: Unveiling Molecular Pathways and Enhancements with Vitamin C and Retinoic Acid in Diabetes Research.

Applications

Unspecified application

Species

Unspecified reactive species

Felipe Arroyave,Yomaira Uscátegui,Fernando Lizcano

Heliyon 10:e35424 PubMed39220963

2024

Hesperidin activates the GLP-1R/cAMP-CREB/IRS2/PDX1 pathway to promote transdifferentiation of islet α cells into β cells Across the spectrum.

Applications

Unspecified application

Species

Unspecified reactive species

Wang Zhang,Lele Wu,Ru Qu,Tianfeng Liu,Jiliang Wang,Ying Tong,Weijian Bei,Jiao Guo,Xuguang Hu

Frontiers in endocrinology 15:1388361 PubMed38745946

2024

Induction of diabetes by Tacrolimus in a phenotypic model of obesity and metabolic syndrome.

Applications

Unspecified application

Species

Unspecified reactive species

Silvia Teixidó-Trujillo,Esteban Porrini,Luis Manuel Menéndez-Quintanal,Armando Torres-Ramírez,Cecilia Fumero,Ana Elena Rodríguez-Rodríguez

Nature communications 15:3740 PubMed38702347

2024

Acinar to β-like cell conversion through inhibition of focal adhesion kinase.

Applications

Unspecified application

Species

Unspecified reactive species

Shakti Dahiya,Mohamed Saleh,Uylissa A Rodriguez,Dhivyaa Rajasundaram,Jorge R Arbujas,Arian Hajihassani,Kaiyuan Yang,Anuradha Sehrawat,Ranjeet Kalsi,Shiho Yoshida,Krishna Prasadan,Heiko Lickert,Jing Hu,Jon D Piganelli,George K Gittes,Farzad Esni

Nature communications 15:2526 PubMed38514666

2024

Trimethylamine N-oxide impairs β-cell function and glucose tolerance.

Applications

Unspecified application

Species

Unspecified reactive species

Lijuan Kong,Qijin Zhao,Xiaojing Jiang,Jinping Hu,Qian Jiang,Li Sheng,Xiaohong Peng,Shusen Wang,Yibing Chen,Yanjun Wan,Shaocong Hou,Xingfeng Liu,Chunxiao Ma,Yan Li,Li Quan,Liangyi Chen,Bing Cui,Pingping Li

Stem cell research & therapy 15:22 PubMed38273351

2024

Dysregulated lncRNAs regulate human umbilical cord mesenchymal stem cell differentiation into insulin-producing cells by forming a regulatory network with mRNAs.

Applications

Unspecified application

Species

Unspecified reactive species

Tianqin Xie,Qiming Huang,Qiulan Huang,Yanting Huang,Shuang Liu,Haixia Zeng,Jianping Liu

Cell reports 41:111719 PubMed36450253

2022

Glycemic control releases regenerative potential of pancreatic beta cells blocked by severe hyperglycemia.

Applications

Unspecified application

Species

Unspecified reactive species

Judith Furth-Lavi,Ayat Hija,Sharona Tornovsky-Babeay,Adi Mazouz,Tehila Dahan,Miri Stolovich-Rain,Agnes Klochendler,Yuval Dor,Dana Avrahami,Benjamin Glaser

Development (Cambridge, England) 149: PubMed36017799

2022

Focal adhesion kinase-mediated signaling controls the onset of pancreatic cell differentiation.

Applications

Unspecified application

Species

Unspecified reactive species

Uylissa A Rodriguez,Shakti Dahiya,Michelle L Raymond,Chenxi Gao,Christina P Martins-Cargill,Jon D Piganelli,George K Gittes,Jing Hu,Farzad Esni
View all publications

Product promise

We are committed to supporting your work with high-quality reagents, and we're here for you every step of the way. In the unlikely event that one of our products does not perform as expected, you're protected by our Product Promise.
For full details, please see our Terms & Conditions

Please note: All products are 'FOR RESEARCH USE ONLY. NOT FOR USE IN DIAGNOSTIC OR THERAPEUTIC PROCEDURES'.

For licensing inquiries, please contact partnerships@abcam.com