JavaScript is disabled in your browser. Please enable JavaScript to view this website.
AB240398

Anti-nkx6.1 antibody [EPR20405] - BSA and Azide free

Be the first to review this product! Submit a review

|

(1 Publication)

Rabbit Recombinant Monoclonal nkx6.1 antibody. Carrier free. Suitable for WB, IHC-Fr, IHC-P and reacts with Mouse, Human samples. Cited in 1 publication.

View Alternative Names

NKX6A, NKX6-1, Homeobox protein Nkx-6.1, Homeobox protein NK-6 homolog A

5 Images
Immunohistochemistry (Formalin/PFA-fixed paraffin-embedded sections) - Anti-nkx6.1 antibody [EPR20405] - BSA and Azide free (AB240398)
  • IHC-P

Supplier Data

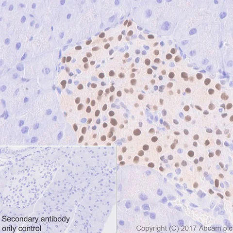
Immunohistochemistry (Formalin/PFA-fixed paraffin-embedded sections) - Anti-nkx6.1 antibody [EPR20405] - BSA and Azide free (AB240398)

Immunohistochemical analysis of paraffin-embedded human pancreas tissue labeling nkx6.1 with ab221549 at 1/2000 dilution, followed by Goat Anti-Rabbit IgG H&L (HRP) Ready to use. Nuclear staining on islet of human pancreas (PMID : 8702531). Counter stained with hematoxylin.

Secondary antibody only control : Used PBS instead of primary antibody, secondary antibody is Goat Anti-Rabbit IgG H&L (HRP) Ready to use.

This data was developed using the same antibody clone in a different buffer formulation containing PBS, BSA, glycerol, and sodium azide (ab221549).

Perform heat mediated antigen retrieval with Tris/EDTA buffer pH 9.0 before commencing with IHC staining protocol.

Immunohistochemistry (Formalin/PFA-fixed paraffin-embedded sections) - Anti-nkx6.1 antibody [EPR20405] - BSA and Azide free (AB240398)
  • IHC-P

Supplier Data

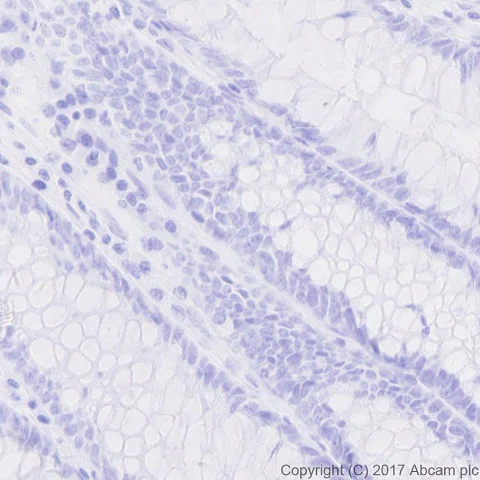
Immunohistochemistry (Formalin/PFA-fixed paraffin-embedded sections) - Anti-nkx6.1 antibody [EPR20405] - BSA and Azide free (AB240398)

Immunohistochemical analysis of paraffin-embedded human colon tissue labeling nkx6.1 with ab221549 at 1/2000 dilution, followed by Goat Anti-Rabbit IgG H&L (HRP) Ready to use.

Negative control : no staining on human colon (PMID : 25871618).

Counter stained with hematoxylin.

This data was developed using the same antibody clone in a different buffer formulation containing PBS, BSA, glycerol, and sodium azide (ab221549).

Perform heat mediated antigen retrieval with Tris/EDTA buffer pH 9.0 before commencing with IHC staining protocol.

Immunohistochemistry (Formalin/PFA-fixed paraffin-embedded sections) - Anti-nkx6.1 antibody [EPR20405] - BSA and Azide free (AB240398)
  • IHC-P

Supplier Data

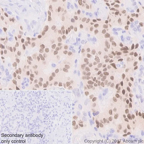
Immunohistochemistry (Formalin/PFA-fixed paraffin-embedded sections) - Anti-nkx6.1 antibody [EPR20405] - BSA and Azide free (AB240398)

Immunohistochemical analysis of paraffin-embedded human pancreatic neuroendocrine neoplasm tissue labeling nkx6.1 with ab221549 at 1/2000 dilution, followed by Goat Anti-Rabbit IgG H&L (HRP) Ready to use. Mainly nuclear staining on tumor cells of human pancreatic neuroendocrine neoplasm (PMID : 25871618). Counter stained with hematoxylin.

Secondary antibody only control : Used PBS instead of primary antibody, secondary antibody is Goat Anti-Rabbit IgG H&L (HRP) Ready to use.

This data was developed using the same antibody clone in a different buffer formulation containing PBS, BSA, glycerol, and sodium azide (ab221549).

Perform heat mediated antigen retrieval with Tris/EDTA buffer pH 9.0 before commencing with IHC staining protocol.

Immunohistochemistry (Formalin/PFA-fixed paraffin-embedded sections) - Anti-nkx6.1 antibody [EPR20405] - BSA and Azide free (AB240398)
  • IHC-P

Supplier Data

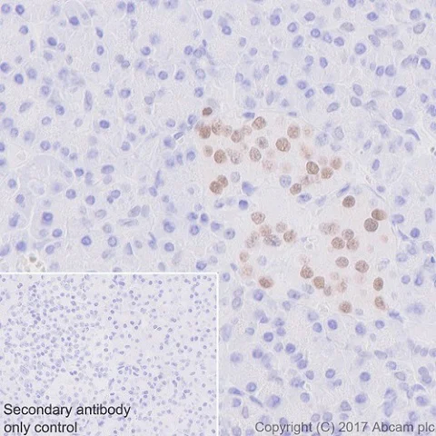
Immunohistochemistry (Formalin/PFA-fixed paraffin-embedded sections) - Anti-nkx6.1 antibody [EPR20405] - BSA and Azide free (AB240398)

Immunohistochemical analysis of paraffin-embedded mouse pancreas tissue labeling nkx6.1 with ab221549 at 1/2000 dilution, followed by Goat Anti-Rabbit IgG H&L (HRP) Ready to use. Nuclear staining on islet of mouse pancreas (PMID : 8702531). Counter stained with hematoxylin.

Secondary antibody only control : Used PBS instead of primary antibody, secondary antibody is Goat Anti-Rabbit IgG H&L (HRP) Ready to use.

This data was developed using the same antibody clone in a different buffer formulation containing PBS, BSA, glycerol, and sodium azide (ab221549).

Perform heat mediated antigen retrieval with Tris/EDTA buffer pH 9.0 before commencing with IHC staining protocol.

Immunohistochemistry (Frozen sections) - Anti-nkx6.1 antibody [EPR20405] - BSA and Azide free (AB240398)
  • IHC-Fr

Supplier Data

Immunohistochemistry (Frozen sections) - Anti-nkx6.1 antibody [EPR20405] - BSA and Azide free (AB240398)

Immunohistochemical analysis of 4% paraformaldehyde-fixed, 0.2% Triton X-100 permeabilized frozen mouse pancreas tissue labeling nkx6.1 with ab221549  at 1/100 dilution, followed by Goat anti-rabbit IgG (Alexa Fluor® 488) (ab150077) secondary antibody at 1/1000 dilution (green). Nuclear staining on islet of mouse pancreas is observed.

The nuclear counterstain is DAPI (blue).

Secondary antibody only control : Used PBS instead of primary antibody, secondary antibody is Goat anti-rabbit IgG (Alexa Fluor® 488) (ab150077) at 1/1000 dilution.

This data was developed using the same antibody clone in a different buffer formulation containing PBS, BSA, glycerol, and sodium azide (ab221549).

Key facts

Host species

Rabbit

Clonality

Monoclonal

Clone number

EPR20405

Isotype

IgG

Carrier free

Yes

Reacts with

Mouse, Human

Applications

IHC-Fr, WB, IHC-P

applications

Immunogen

The exact immunogen used to generate this antibody is proprietary information.

Reactivity data

{ "title": "Reactivity Data", "filters": { "stats": ["", "Species", "Dilution Info", "Notes"], "tabs": { "all-applications": {"fullname" : "All Applications", "shortname": "All Applications"}, "WB" : {"fullname" : "Western blot", "shortname":"WB"}, "IHCFr" : {"fullname" : "Immunohistochemistry (Frozen sections)", "shortname":"IHC-Fr"}, "IHCP" : {"fullname" : "Immunohistochemistry (Formalin/PFA-fixed paraffin-embedded sections)", "shortname":"IHC-P"} }, "product-promise": { "all": "all", "testedAndGuaranteed": "tested", "guaranteed": "expected", "predicted": "predicted", "notRecommended": "not-recommended" } }, "values": { "Human": { "WB-species-checked": "guaranteed", "WB-species-dilution-info": "", "WB-species-notes": "<p>Under our testing conditions we used a high sensitivity exposure system to obtain this result. Customers are recommended to optimize WB testing conditions.</p>", "IHCFr-species-checked": "guaranteed", "IHCFr-species-dilution-info": "", "IHCFr-species-notes": "", "IHCP-species-checked": "testedAndGuaranteed", "IHCP-species-dilution-info": "", "IHCP-species-notes": "<p></p>" }, "Mouse": { "WB-species-checked": "guaranteed", "WB-species-dilution-info": "", "WB-species-notes": "<p>Under our testing conditions we used a high sensitivity exposure system to obtain this result. Customers are recommended to optimize WB testing conditions.</p>", "IHCFr-species-checked": "testedAndGuaranteed", "IHCFr-species-dilution-info": "", "IHCFr-species-notes": "<p></p>", "IHCP-species-checked": "guaranteed", "IHCP-species-dilution-info": "", "IHCP-species-notes": "" } } }

Product details

ab240398 is the carrier-free version of ab221549.

Patented technology
Our RabMAb® technology is a patented hybridoma-based technology for making rabbit monoclonal antibodies. For details on our patents, please refer to RabMAb® patents.

What are the advantages of a recombinant monoclonal antibody?
This product is a recombinant monoclonal antibody, which offers several advantages including:

  • - High batch-to-batch consistency and reproducibility
  • - Improved sensitivity and specificity
  • - Long-term security of supply
  • - Animal-free batch production

For more information, read more on recombinant antibodies.

Conjugation ready
Our carrier-free antibodies are typically supplied in a PBS-only formulation, purified and free of BSA, sodium azide and glycerol. This conjugation-ready format is designed for use with fluorochromes, metal isotopes, oligonucleotides, and enzymes, which makes them ideal for antibody labelling, functional and cell-based assays, flow-based assays (e.g. mass cytometry) and Multiplex Imaging applications.

Use our conjugation kits for antibody conjugates that are ready-to-use in as little as 20 minutes with 1 minute hands-on-time and 100% antibody recovery: available for fluorescent dyes, HRP, biotin and gold.

Compatibility
This product is compatible with the Maxpar® Antibody Labeling Kit from Fluidigm, without the need for antibody preparation. Maxpar® is a trademark of Fluidigm Canada Inc.

Properties and storage information

Form
Liquid
Purification technique
Affinity purification Protein A
Storage buffer
pH: 7.2 - 7.4 Constituents: PBS
Shipped at conditions
Blue Ice
Appropriate short-term storage conditions
+4°C
Appropriate long-term storage conditions
+4°C
Storage information
Do Not Freeze

Supplementary information

This supplementary information is collated from multiple sources and compiled automatically.

Nkx6.1 is a homeodomain-containing transcription factor also known as NKX6A. It weighs approximately 36 kDa and is mainly expressed in the developing central nervous system and pancreas. In the pancreas it is found during early developmental stages in islet and exocrine cells. The protein acts as a transcriptional regulator and influences the expression of genes important for cell differentiation and development.
Biological function summary

Nkx6.1 plays a significant role in pancreatic beta-cell lineage development. It regulates genes that are essential for maintaining beta-cell identity and functions such as insulin gene transcription. Nkx6.1 functions as a part of a transcription factor complex and works in conjunction with other proteins to achieve its effects. It upregulates target genes necessary for cell cycle progression and insulin regulation ensuring proper beta-cell function.

Pathways

Nkx6.1 is strongly associated with the pancreatic development pathway and cell differentiation processes. It works closely with proteins like Pax4 and Pax6 to control the fate of pancreatic progenitor cells. The Notch signaling pathway also involves Nkx6.1 where it influences the determination of specific cell types in the pancreas. This interaction helps regulate the balance between proliferation and differentiation of precursor cells.

Nkx6.1 has connections to diabetes especially type 1 diabetes as it affects insulin-producing beta-cells. A deficiency or malfunction in Nkx6.1 can lead to impaired insulin synthesis and secretion. Nkx2.2 is another protein involved in the pancreatic beta-cell function and shares regulatory pathways with Nkx6.1. Additionally research hints at Nkx6.1 involvement in certain central nervous system disorders since alterations in its expression could result in developmental abnormalities.

Product protocols

For this product, it's our understanding that no specific protocols are required. You can visit:

Target data

Transcription factor which binds to specific A/T-rich DNA sequences in the promoter regions of a number of genes. Involved in the development of insulin-producing beta cells in the islets of Langerhans at the secondary transition (By similarity). Together with NKX2-2 and IRX3 acts to restrict the generation of motor neurons to the appropriate region of the neural tube. Belongs to the class II proteins of neuronal progenitor factors, which are induced by SHH signals (By similarity).
See full target information NKX6-1

Publications (1)

Recent publications for all applications. Explore the full list and refine your search

Scientific reports 13:15508 PubMed37726363

2023

A 3D adrenocortical carcinoma tumor platform for preclinical modeling of drug response and matrix metalloproteinase activity.

Applications

Unspecified application

Species

Unspecified reactive species

Priya H Dedhia,Hemamylammal Sivakumar,Marco A Rodriguez,Kylie G Nairon,Joshua M Zent,Xuguang Zheng,Katie Jones,Liudmila V Popova,Jennifer L Leight,Aleksander Skardal
View all publications

Product promise

We are committed to supporting your work with high-quality reagents, and we're here for you every step of the way. In the unlikely event that one of our products does not perform as expected, you're protected by our Product Promise.
For full details, please see our Terms & Conditions

Please note: All products are 'FOR RESEARCH USE ONLY. NOT FOR USE IN DIAGNOSTIC OR THERAPEUTIC PROCEDURES'.

For licensing inquiries, please contact partnerships@abcam.com