JavaScript is disabled in your browser. Please enable JavaScript to view this website.
AB251143

Anti-NLP1 antibody [EPR16545] - BSA and Azide free

Be the first to review this product! Submit a review

|

(1 Publication)

Rabbit Recombinant Monoclonal NLP1 antibody. Carrier free. Suitable for IP, WB, ICC/IF, IHC-P and reacts with Human, Rat, Mouse samples. Cited in 1 publication.

View Alternative Names

CG1, NUPL2, NUP42, Nucleoporin NUP42, NLP-1, NUP42 homolog, Nucleoporin hCG1, Nucleoporin-42, Nucleoporin-like protein 2

8 Images
Immunohistochemistry (Formalin/PFA-fixed paraffin-embedded sections) - Anti-NLP1 antibody [EPR16545] - BSA and Azide free (AB251143)
  • IHC-P

Supplier Data

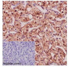
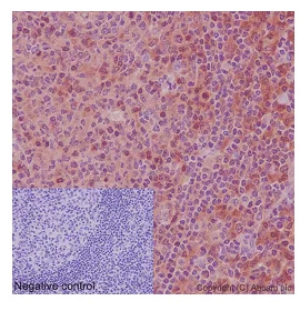
Immunohistochemistry (Formalin/PFA-fixed paraffin-embedded sections) - Anti-NLP1 antibody [EPR16545] - BSA and Azide free (AB251143)

This data was developed using ab192609, the same antibody clone in a different buffer formulation.

Immunohistochemical analysis of paraffin-embedded Human tonsil tissue labeling NLP1 with ab192609 at 1/100 dilution (6 μg/ml); followed by pre-diluted HRP Polymer for Rabbit/Mouse IgG secondary antibody and counter-stained with Hematoxylin. (inset : negative control).

Perform heat mediated antigen retrieval with Tris/EDTA buffer pH 9.0 before commencing with IHC staining protocol.

Immunocytochemistry/ Immunofluorescence - Anti-NLP1 antibody [EPR16545] - BSA and Azide free (AB251143)
  • ICC/IF

Supplier Data

Immunocytochemistry/ Immunofluorescence - Anti-NLP1 antibody [EPR16545] - BSA and Azide free (AB251143)

This data was developed using ab192609, the same antibody clone in a different buffer formulation.

Immunofluorescent analysis of HeLa cells (4% Paraformaldehyde-fixed, 0.1% tritonX-100 permeabilized) labeling NLP1 with ab192609 at 1/100 dilution (6.3μg/mL) followed by Goat anti rabbit IgG (AlexaFluor® 488) (ab150077) secondary at 1/400 dilution and counter-stained with DAPI (blue). Negative control also shown.

Immunohistochemistry (Formalin/PFA-fixed paraffin-embedded sections) - Anti-NLP1 antibody [EPR16545] - BSA and Azide free (AB251143)
  • IHC-P

Supplier Data

Immunohistochemistry (Formalin/PFA-fixed paraffin-embedded sections) - Anti-NLP1 antibody [EPR16545] - BSA and Azide free (AB251143)

This data was developed using ab192609, the same antibody clone in a different buffer formulation.

Immunohistochemical analysis of paraffin-embedded Human kidney clear cell carcinoma tissue labeling NLP1 with ab192609 at 1/100 dilution (6 μg/ml); followed by pre-diluted HRP Polymer for Rabbit/Mouse IgG secondary antibody and counter-stained with Hematoxylin. (inset : negative control).

Perform heat mediated antigen retrieval with Tris/EDTA buffer pH 9.0 before commencing with IHC staining protocol.

Immunohistochemistry (Formalin/PFA-fixed paraffin-embedded sections) - Anti-NLP1 antibody [EPR16545] - BSA and Azide free (AB251143)
  • IHC-P

Supplier Data

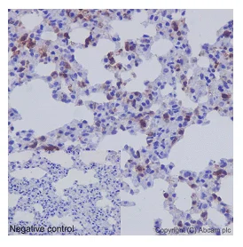
Immunohistochemistry (Formalin/PFA-fixed paraffin-embedded sections) - Anti-NLP1 antibody [EPR16545] - BSA and Azide free (AB251143)

This data was developed using ab192609, the same antibody clone in a different buffer formulation.

Immunohistochemical analysis of paraffin-embedded Mouse lung tissue labeling NLP1 with ab192609 at 1/100 dilution (6 μg/ml); followed by pre-diluted HRP Polymer for Rabbit/Mouse IgG secondary antibody and counter-stained with Hematoxylin. (inset : negative control).

Perform heat mediated antigen retrieval with Tris/EDTA buffer pH 9.0 before commencing with IHC staining protocol.

Western blot - Anti-NLP1 antibody [EPR16545] - BSA and Azide free (AB251143)
  • WB

Supplier Data

Western blot - Anti-NLP1 antibody [EPR16545] - BSA and Azide free (AB251143)

This data was developed using ab192609, the same antibody clone in a different buffer formulation.

All lanes:

Western blot - Anti-NLP1 antibody [EPR16545] (<a href='/en-us/products/primary-antibodies/nlp1-antibody-epr16545-ab192609'>ab192609</a>) at 1/1000 dilution

All lanes:

Human fetal liver tissue lysate at 20 µg

Secondary

All lanes:

Goat Anti-Rabbit IgG, (H+L), Peroxidase conjugate at 1/1000 dilution

Predicted band size: 45 kDa

false

Immunoprecipitation - Anti-NLP1 antibody [EPR16545] - BSA and Azide free (AB251143)
  • IP

Supplier Data

Immunoprecipitation - Anti-NLP1 antibody [EPR16545] - BSA and Azide free (AB251143)

This data was developed using ab192609, the same antibody clone in a different buffer formulation.

Western blot analysis of immunoprecipitation pellet from K562 cell lysate immunoprecipitated using ab192609 at 1/40 dilution (lane 1) or PBS control (lane 2).
Secondary : Anti-Rabbit IgG (HRP), specific to the non-reduced form of IgG at 1/1500 dilution.

All lanes:

Immunoprecipitation - Anti-NLP1 antibody [EPR16545] (<a href='/en-us/products/primary-antibodies/nlp1-antibody-epr16545-ab192609'>ab192609</a>)

Predicted band size: 45 kDa

false

Western blot - Anti-NLP1 antibody [EPR16545] - BSA and Azide free (AB251143)
  • WB

Supplier Data

Western blot - Anti-NLP1 antibody [EPR16545] - BSA and Azide free (AB251143)

This data was developed using ab192609, the same antibody clone in a different buffer formulation.

All lanes:

Western blot - Anti-NLP1 antibody [EPR16545] (<a href='/en-us/products/primary-antibodies/nlp1-antibody-epr16545-ab192609'>ab192609</a>) at 1/10000 dilution

Lane 1:

293 cell lysate at 20 µg

Lane 2:

K562 cell lysate at 20 µg

Lane 3:

HeLa cell lysate at 20 µg

Secondary

All lanes:

Goat Anti-Rabbit IgG, (H+L), Peroxidase conjugate at 1/1000 dilution

Predicted band size: 45 kDa

false

Western blot - Anti-NLP1 antibody [EPR16545] - BSA and Azide free (AB251143)
  • WB

Supplier Data

Western blot - Anti-NLP1 antibody [EPR16545] - BSA and Azide free (AB251143)

This data was developed using ab192609, the same antibody clone in a different buffer formulation.

All lanes:

Western blot - Anti-NLP1 antibody [EPR16545] (<a href='/en-us/products/primary-antibodies/nlp1-antibody-epr16545-ab192609'>ab192609</a>) at 1/1000 dilution

Lane 1:

C6 cell lysate at 10 µg

Lane 2:

RAW 264.7 cell lysate at 10 µg

Lane 3:

PC-12 cell lysate at 10 µg

Lane 4:

NIH/3T3 cell lysate at 10 µg

Lane 5:

Mouse brain tissue lysate at 10 µg

Lane 6:

Mouse heart tissue lysate at 10 µg

Lane 7:

Mouse kidney tissue lysate at 10 µg

Lane 8:

Mouse spleen tissue lysate at 10 µg

Lane 9:

Rat brain tissue lysate at 10 µg

Lane 10:

Rat heart tissue lysate at 10 µg

Secondary

All lanes:

Goat Anti-Rabbit IgG, (H+L), Peroxidase conjugated at 1/1000 dilution

Predicted band size: 45 kDa

false

Key facts

Host species

Rabbit

Clonality

Monoclonal

Clone number

EPR16545

Isotype

IgG

Carrier free

Yes

Reacts with

Mouse, Rat, Human

Applications

IP, WB, IHC-P, ICC/IF

applications

Immunogen

The exact immunogen used to generate this antibody is proprietary information.

Reactivity data

{ "title": "Reactivity Data", "filters": { "stats": ["", "Species", "Dilution Info", "Notes"], "tabs": { "all-applications": {"fullname" : "All Applications", "shortname": "All Applications"}, "IP" : {"fullname" : "Immunoprecipitation", "shortname":"IP"}, "WB" : {"fullname" : "Western blot", "shortname":"WB"}, "ICCIF" : {"fullname" : "Immunocytochemistry/ Immunofluorescence", "shortname":"ICC/IF"}, "IHCP" : {"fullname" : "Immunohistochemistry (Formalin/PFA-fixed paraffin-embedded sections)", "shortname":"IHC-P"} }, "product-promise": { "all": "all", "testedAndGuaranteed": "tested", "guaranteed": "expected", "predicted": "predicted", "notRecommended": "not-recommended" } }, "values": { "Human": { "IP-species-checked": "testedAndGuaranteed", "IP-species-dilution-info": "", "IP-species-notes": "<p></p>", "WB-species-checked": "testedAndGuaranteed", "WB-species-dilution-info": "", "WB-species-notes": "<p></p>", "ICCIF-species-checked": "testedAndGuaranteed", "ICCIF-species-dilution-info": "", "ICCIF-species-notes": "<p></p>", "IHCP-species-checked": "testedAndGuaranteed", "IHCP-species-dilution-info": "", "IHCP-species-notes": "<p></p>" }, "Mouse": { "IP-species-checked": "guaranteed", "IP-species-dilution-info": "", "IP-species-notes": "", "WB-species-checked": "guaranteed", "WB-species-dilution-info": "", "WB-species-notes": "", "ICCIF-species-checked": "guaranteed", "ICCIF-species-dilution-info": "", "ICCIF-species-notes": "", "IHCP-species-checked": "testedAndGuaranteed", "IHCP-species-dilution-info": "", "IHCP-species-notes": "<p></p>" }, "Rat": { "IP-species-checked": "guaranteed", "IP-species-dilution-info": "", "IP-species-notes": "", "WB-species-checked": "testedAndGuaranteed", "WB-species-dilution-info": "", "WB-species-notes": "<p></p>", "ICCIF-species-checked": "guaranteed", "ICCIF-species-dilution-info": "", "ICCIF-species-notes": "", "IHCP-species-checked": "guaranteed", "IHCP-species-dilution-info": "", "IHCP-species-notes": "" } } }

Product details

ab251143 is the carrier-free version of ab192609.

Patented technology
Our RabMAb® technology is a patented hybridoma-based technology for making rabbit monoclonal antibodies. For details on our patents, please refer to RabMAb® patents.

What are the advantages of a recombinant monoclonal antibody?
This product is a recombinant monoclonal antibody, which offers several advantages including:

  • - High batch-to-batch consistency and reproducibility
  • - Improved sensitivity and specificity
  • - Long-term security of supply
  • - Animal-free batch production

For more information, read more on recombinant antibodies.

Conjugation ready
Our carrier-free antibodies are typically supplied in a PBS-only formulation, purified and free of BSA, sodium azide and glycerol. This conjugation-ready format is designed for use with fluorochromes, metal isotopes, oligonucleotides, and enzymes, which makes them ideal for antibody labelling, functional and cell-based assays, flow-based assays (e.g. mass cytometry) and Multiplex Imaging applications.

Use our conjugation kits for antibody conjugates that are ready-to-use in as little as 20 minutes with 1 minute hands-on-time and 100% antibody recovery: available for fluorescent dyes, HRP, biotin and gold.

Compatibility
This product is compatible with the Maxpar® Antibody Labeling Kit from Fluidigm, without the need for antibody preparation. Maxpar® is a trademark of Fluidigm Canada Inc.

Properties and storage information

Form
Liquid
Purification technique
Affinity purification Protein A
Storage buffer
pH: 7.2 - 7.4 Constituents: PBS
Shipped at conditions
Blue Ice
Appropriate short-term storage conditions
+4°C
Appropriate long-term storage conditions
+4°C
Storage information
Do Not Freeze

Supplementary information

This supplementary information is collated from multiple sources and compiled automatically.

The NLP1 protein also known as nlp1 or nuclear localized protein 1 is a significant component in cellular processes. It has a molecular weight of approximately 25 kDa. Expression of NLP1 occurs mainly in the nucleus where it performs important tasks at the molecular level. It participates in various cellular functions by interacting with different molecules within the cell. The proper functioning and localization of NLP1 in the nucleus are important for its role in maintaining cellular integrity and response.
Biological function summary

This protein influences gene expression regulation by being part of transcriptional complexes. It interacts with other nuclear proteins to mediate the transcription of specific genes. Participation of NLP1 in these complexes allows it to influence cellular growth and differentiation processes. By controlling these functions NLP1 plays a significant part in the cellular response to external stressors indicating its role in adaptive cellular mechanisms.

Pathways

NLP1 integrates into transcriptional regulation pathways and cell cycle control pathways. In these pathways NLP1 closely interacts with proteins like cyclin-dependent kinases (CDKs) to affect the progression of the cell cycle. This interaction helps regulate important phases in the cell cycle and ensures that cells divide correctly. The involvement of NLP1 in these pathways is notable for maintaining normal cellular function and response.

NLP1 shows associations with cancer and neurological disorders. In cancer the dysregulation of NLP1 along with aberrant CDK activity can lead to unchecked cell proliferation. In neurological disorders altered gene expression caused by dysfunctional NLP1 activity can result in disrupted neural processes. These connections highlight the potential of NLP1 as a target for therapeutic interventions seeking to prevent or treat these conditions.

Product protocols

For this product, it's our understanding that no specific protocols are required. You can visit:

Target data

Required for the export of mRNAs containing poly(A) tails from the nucleus into the cytoplasm.. (Microbial infection) In case of infection by HIV-1, it may participate in the docking of viral Vpr at the nuclear envelope.
See full target information NUP42

Publications (1)

Recent publications for all applications. Explore the full list and refine your search

International journal of molecular sciences 22: PubMed34769092

2021

11,12 Epoxyeicosatrienoic Acid Rescues Deteriorated Wound Healing in Diabetes.

Applications

Unspecified application

Species

Unspecified reactive species

Katharina Sommer,Heike Jakob,Caroline Reiche,Dirk Henrich,Jasmina Sterz,Johannes Frank,Ingo Marzi,Anna Lena Sander
View all publications

Product promise

We are committed to supporting your work with high-quality reagents, and we're here for you every step of the way. In the unlikely event that one of our products does not perform as expected, you're protected by our Product Promise.
For full details, please see our Terms & Conditions

Please note: All products are 'FOR RESEARCH USE ONLY. NOT FOR USE IN DIAGNOSTIC OR THERAPEUTIC PROCEDURES'.

For licensing inquiries, please contact partnerships@abcam.com