JavaScript is disabled in your browser. Please enable JavaScript to view this website.
AB115537

Anti-NLRC4 antibody

Be the first to review this product! Submit a review

|

(5 Publications)

Rabbit Polyclonal NLRC4 antibody. Suitable for IHC-P and reacts with Human samples. Cited in 5 publications. Immunogen corresponding to Synthetic Peptide within Human NLRC4 conjugated to Keyhole Limpet Haemocyanin.

View Alternative Names

CARD12, CLAN, CLAN1, IPAF, UNQ6189/PRO20215, NLRC4, NLR family CARD domain-containing protein 4, Caspase recruitment domain-containing protein 12, Ice protease-activating factor, CED-4-like protein Clan, Ipaf

1 Images
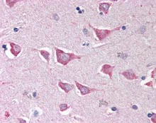
Immunohistochemistry (Formalin/PFA-fixed paraffin-embedded sections) - Anti-NLRC4 antibody (AB115537)
  • IHC-P

Unknown

Immunohistochemistry (Formalin/PFA-fixed paraffin-embedded sections) - Anti-NLRC4 antibody (AB115537)

Human Brain, Cortex (formalin-fixed, paraffin-embedded) stained with ab115537 at 5 ug/ml followed by biotinylated goat anti-rabbit IgG secondary antibody, alkaline phosphatase-streptavidin and chromogen.

Key facts

Host species

Rabbit

Clonality

Polyclonal

Isotype

IgG

Carrier free

No

Reacts with

Human

Applications

IHC-P

applications

Immunogen

Synthetic Peptide within Human NLRC4 conjugated to Keyhole Limpet Haemocyanin. The exact immunogen used to generate this antibody is proprietary information.

Q9NPP4

Reactivity data

{ "title": "Reactivity Data", "filters": { "stats": ["", "Species", "Dilution Info", "Notes"], "tabs": { "all-applications": {"fullname" : "All Applications", "shortname": "All Applications"}, "IHCP" : {"fullname" : "Immunohistochemistry (Formalin/PFA-fixed paraffin-embedded sections)", "shortname":"IHC-P"} }, "product-promise": { "all": "all", "testedAndGuaranteed": "tested", "guaranteed": "expected", "predicted": "predicted", "notRecommended": "not-recommended" } }, "values": { "Human": { "IHCP-species-checked": "testedAndGuaranteed", "IHCP-species-dilution-info": "5 µg/mL", "IHCP-species-notes": "<p></p>" } } }

Properties and storage information

Form
Liquid
Purification technique
Affinity purification Immunogen
Storage buffer
pH: 7.4 Preservative: 0.02% Sodium azide Constituents: PBS
Shipped at conditions
Blue Ice
Appropriate short-term storage conditions
+4°C
Appropriate long-term storage conditions
-80°C

Supplementary information

This supplementary information is collated from multiple sources and compiled automatically.

The NLRC4 also known as CARD12 or IPAF is an intracellular protein that plays an important role in inflammation and immune responses. It belongs to the NOD-like receptor (NLR) family specifically the NLRC subfamily and contains a caspase activation and recruitment domain (CARD). NLRC4 weighs approximately 120 kDa and is expressed abundantly in macrophages and dendritic cells. It participates mechanically by recognizing cytosolic pathogen-associated molecular patterns (PAMPs) and activating the immune response.
Biological function summary

NLRC4 forms part of the inflammasome complex which is a multi-protein unit essential for innate immunity. This protein helps detect and respond to bacterial components enabling the activation of caspase-1. Caspase-1 then processes pro-inflammatory cytokines like interleukin-1β and interleukin-18 into their active forms. This mechanism helps defend against bacterial infections and maintain tissue homeostasis.

Pathways

NLRC4 functions within the inflammasome activation pathway and intersects with autophagy processes. It facilitates the detection of intracellular flagellin through its interaction with the NAIP proteins leading to the activation of caspase-1. NLRC4's activity results in inflammasome assembly which links it to both the innate immune response and cell death pathways. This association positions it near proteins such as ASC which acts as an adapter molecule in inflammasomes.

NLRC4 is linked to autoinflammatory conditions and gastrointestinal diseases. Mutations or dysregulation in NLRC4 may result in the development of autoinflammatory syndromes characterized by recurrent fever and systemic inflammation. These conditions associate with other proteins in the inflammasome complex like NLRP3 which also mediates inflammatory responses. Furthermore disturbances in NLRC4 function can contribute to digestive system diseases emphasizing its relevance in maintaining balanced immune activity.

Product protocols

For this product, it's our understanding that no specific protocols are required. You can visit:

Target data

Key component of inflammasomes that indirectly senses specific proteins from pathogenic bacteria and fungi and responds by assembling an inflammasome complex that promotes caspase-1 activation, cytokine production and macrophage pyroptosis (PubMed : 15107016). The NLRC4 inflammasome is activated as part of the innate immune response to a range of intracellular bacteria (By similarity).
See full target information NLRC4

Publications (5)

Recent publications for all applications. Explore the full list and refine your search

The Journal of clinical investigation 134: PubMed38652550

2024

Human NLRC4 expression promotes cancer survival and associates with type I interferon signaling and immune infiltration.

Applications

Unspecified application

Species

Unspecified reactive species

Charlotte Domblides,Steven Crampton,Hong Liu,Juliet M Bartleson,Annie Nguyen,Claudia Champagne,Emily E Landy,Lindsey Spiker,Christopher Proffitt,Sunil Bhattarai,Anissa P Grawe,Matias Fuentealba Valenzuela,Lydia Lartigue,Isabelle Mahouche,Jeremy Dupaul-Chicoine,Kazuho Nishimura,Félix Lefort,Marie Decraecker,Valérie Velasco,Sonia Netzer,Vincent Pitard,Christian Roy,Isabelle Soubeyran,Victor Racine,Patrick Blanco,Julie Déchanet-Merville,Maya Saleh,Scott W Canna,David Furman,Benjamin Faustin

Frontiers in immunology 12:674808 PubMed34248956

2021

A Novel Mutation in the NBD Domain of Causes Mild Autoinflammation With Recurrent Urticaria.

Applications

Unspecified application

Species

Unspecified reactive species

Li Wang,Wen Wen,Mengyue Deng,Yue Li,Gan Sun,Xiaodong Zhao,Xuemei Tang,Huawei Mao

Science advances 6:eaax6346 PubMed32181339

2020

Inflammasome activation and IL-1 signaling during placental malaria induce poor pregnancy outcomes.

Applications

Unspecified application

Species

Unspecified reactive species

Aramys S Reis,Renato Barboza,Oscar Murillo,André Barateiro,Erika P M Peixoto,Flávia A Lima,Vinícius M Gomes,Jamille G Dombrowski,Vinícius N C Leal,Franciele Araujo,Carla L Bandeira,Rosana B D Araujo,Rita Neres,Rodrigo M Souza,Fabio T M Costa,Alessandra Pontillo,Estela Bevilacqua,Carsten Wrenger,Gerhard Wunderlich,Giuseppe Palmisano,Leticia Labriola,Karina R Bortoluci,Carlos Penha-Gonçalves,Lígia A Gonçalves,Sabrina Epiphanio,Claudio R F Marinho

Pediatric surgery international 35:15-20 PubMed30386901

2018

Altered expression of inflammasomes in Hirschsprung's disease.

Applications

Unspecified application

Species

Unspecified reactive species

Hiroki Nakamura,Anne Marie O'Donnell,Naoum Fares Marayati,Christian Tomuschat,David Coyle,Prem Puri

Nature medicine 23:174-184 PubMed28092664

2017

Expression of specific inflammasome gene modules stratifies older individuals into two extreme clinical and immunological states.

Applications

Unspecified application

Species

Unspecified reactive species

David Furman,Junlei Chang,Lydia Lartigue,Christopher R Bolen,François Haddad,Brice Gaudilliere,Edward A Ganio,Gabriela K Fragiadakis,Matthew H Spitzer,Isabelle Douchet,Sophie Daburon,Jean-François Moreau,Garry P Nolan,Patrick Blanco,Julie Déchanet-Merville,Cornelia L Dekker,Vladimir Jojic,Calvin J Kuo,Mark M Davis,Benjamin Faustin
View all publications

Product promise

We are committed to supporting your work with high-quality reagents, and we're here for you every step of the way. In the unlikely event that one of our products does not perform as expected, you're protected by our Product Promise.
For full details, please see our Terms & Conditions

Please note: All products are 'FOR RESEARCH USE ONLY. NOT FOR USE IN DIAGNOSTIC OR THERAPEUTIC PROCEDURES'.

For licensing inquiries, please contact partnerships@abcam.com