JavaScript is disabled in your browser. Please enable JavaScript to view this website.
AB324974

Anti-NLRC5 antibody [EPR29723-589]

Be the first to review this product! Submit a review

|

(0 Publication)

Rabbit Recombinant Monoclonal NLRC5 antibody. Suitable for WB and reacts with Mouse samples.

View Alternative Names

Protein NLRC5

3 Images
Western blot - Anti-NLRC5 antibody [EPR29723-589] (AB324974)
  • WB

Supplier Data

Western blot - Anti-NLRC5 antibody [EPR29723-589] (AB324974)

Blocking and diluting buffer and concentration : 5% NFDM/TBST.

Low expression : testis, kidney, brain, heart (PMID : 20434986)

Exposure time : Lane 1-2 : 180 seconds, lane 3-6 : 37 seconds

All lanes:

Western blot - Anti-NLRC5 antibody [EPR29723-589] (ab324974) at 1/1000 dilution

Lane 1:

Mouse spleen tissue lysate at 80 µg

Lane 2:

Mouse testis tissue lysate at 80 µg

Lane 3:

Mouse thymus tissue lysate at 80 µg

Lane 4:

Mouse kidney tissue lysate at 80 µg

Lane 5:

Mouse brain tissue lysate at 80 µg

Lane 6:

Mouse heart tissue lysate at 80 µg

Secondary

All lanes:

Western blot - Goat Anti-Rabbit IgG H&L (HRP) (<a href='/en-us/products/secondary-antibodies/goat-rabbit-igg-h-l-hrp-ab97051'>ab97051</a>) at 1/100000 dilution

Observed band size: 211 kDa,124 kDa

false

Western blot - Anti-NLRC5 antibody [EPR29723-589] (AB324974)
  • WB

Supplier Data

Western blot - Anti-NLRC5 antibody [EPR29723-589] (AB324974)

Blocking and diluting buffer and concentration : 5% NFDM/TBST.

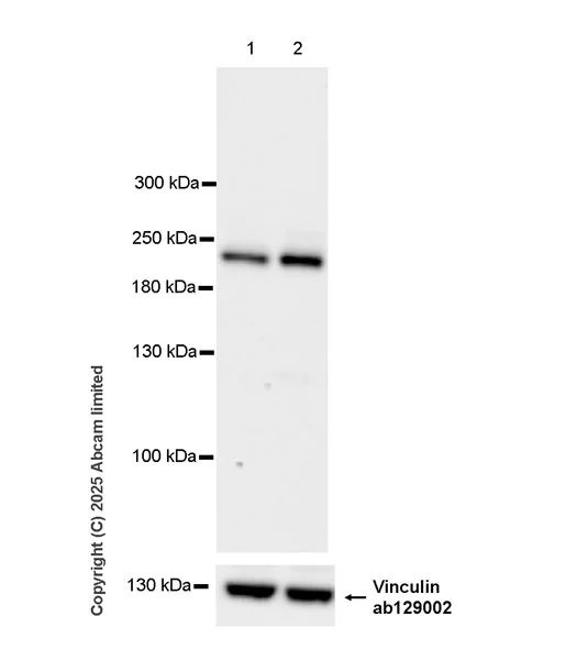
The expression of NLRC5 is upregulated in response to IFN gamma treatment (PMID : 20610642).

Loading control : Anti-Vinculin antibody [EPR8185] (ab129002) 1 : 10000 (124Kda).

All lanes:

Western blot - Anti-NLRC5 antibody [EPR29723-589] (ab324974) at 1/1000 dilution

Lane 1:

Untreated RAW 264.7 (mouse Abelson murine leukemia virus-induced tumor macrophage) whole cell lysate at 40 µg

Lane 2:

RAW 264.7 treated with 10ng/ml IFN gamma for 24 hours whole cell lysate at 40 µg

Secondary

All lanes:

Western blot - Goat Anti-Rabbit IgG H&L (HRP) (<a href='/en-us/products/secondary-antibodies/goat-rabbit-igg-h-l-hrp-ab97051'>ab97051</a>) at 1/100000 dilution

Observed band size: 211 kDa,124 kDa

false

Exposure time: 59s

Western blot - Anti-NLRC5 antibody [EPR29723-589] (AB324974)
  • WB

Supplier Data

Western blot - Anti-NLRC5 antibody [EPR29723-589] (AB324974)

Blocking and diluting buffer and concentration : 5% NFDM/TBST.

The expression of NLRC5 is upregulated in response to LPS treatment (PMID : 20434986).

Loading control : Anti-Vinculin antibody [EPR8185] (ab129002) 1 : 10000 (124Kda).

All lanes:

Western blot - Anti-NLRC5 antibody [EPR29723-589] (ab324974) at 1/1000 dilution

Lanes 1 and 3:

Untreated RAW 264.7 (mouse Abelson murine leukemia virus-induced tumor macrophage) whole cell lysate at 40 µg

Lane 2:

RAW 264.7 treated with 200ng/ml LPS for 6 hours whole cell lysate at 40 µg

Secondary

All lanes:

Western blot - Goat Anti-Rabbit IgG H&L (HRP) (<a href='/en-us/products/secondary-antibodies/goat-rabbit-igg-h-l-hrp-ab97051'>ab97051</a>) at 1/100000 dilution

Observed band size: 211 kDa,124 kDa

false

Exposure time: 59s

Key facts

Host species

Rabbit

Clonality

Monoclonal

Clone number

EPR29723-589

Isotype

IgG

Carrier free

No

Reacts with

Mouse

Applications

WB

applications

Immunogen

The exact immunogen used to generate this antibody is proprietary information.

Reactivity data

{ "title": "Reactivity Data", "filters": { "stats": ["", "Species", "Dilution Info", "Notes"], "tabs": { "all-applications": {"fullname" : "All Applications", "shortname": "All Applications"}, "WB" : {"fullname" : "Western blot", "shortname":"WB"}, "IHCP" : {"fullname" : "Immunohistochemistry (Formalin/PFA-fixed paraffin-embedded sections)", "shortname":"IHC-P"} }, "product-promise": { "all": "all", "testedAndGuaranteed": "tested", "guaranteed": "expected", "predicted": "predicted", "notRecommended": "not-recommended" } }, "values": { "Mouse": { "WB-species-checked": "testedAndGuaranteed", "WB-species-dilution-info": "1/1000", "WB-species-notes": "<p></p>", "IHCP-species-checked": "notRecommended", "IHCP-species-dilution-info": "", "IHCP-species-notes": "<p></p>" } } }

Product details

Patented technology
Our RabMAb® technology is a patented hybridoma-based technology for making rabbit monoclonal antibodies. For details on our patents, please refer to RabMAb® patents.

What are the advantages of a recombinant monoclonal antibody?
This product is a recombinant monoclonal antibody, which offers several advantages including:

  • - High batch-to-batch consistency and reproducibility
  • - Improved sensitivity and specificity
  • - Long-term security of supply
  • - Animal-free batch production

For more information, read more on recombinant antibodies.

Properties and storage information

Form
Liquid
Purification technique
Affinity purification Protein A
Storage buffer
pH: 7.2 - 7.4 Preservative: 0.01% Sodium azide Constituents: PBS, 40% Glycerol (glycerin, glycerine), 0.05% BSA
Shipped at conditions
Blue Ice
Appropriate short-term storage duration
1-2 weeks
Appropriate short-term storage conditions
+4°C
Appropriate long-term storage conditions
-20°C
Aliquoting information
Upon delivery aliquot
Storage information
Avoid freeze / thaw cycle

Product protocols

For this product, it's our understanding that no specific protocols are required. You can visit:

Target data

Probable regulator of the NF-kappa-B and type I interferon signaling pathways. May also regulate the type II interferon signaling pathway. Plays a role in homeostatic control of innate immunity and in antiviral defense mechanisms.
See full target information Nlrc5

Product promise

We are committed to supporting your work with high-quality reagents, and we're here for you every step of the way. In the unlikely event that one of our products does not perform as expected, you're protected by our Product Promise.
For full details, please see our Terms & Conditions

Please note: All products are 'FOR RESEARCH USE ONLY. NOT FOR USE IN DIAGNOSTIC OR THERAPEUTIC PROCEDURES'.

For licensing inquiries, please contact partnerships@abcam.com