JavaScript is disabled in your browser. Please enable JavaScript to view this website.
AB105407

Anti-NLRP10 antibody

Be the first to review this product! Submit a review

|

(1 Publication)

Rabbit Polyclonal NLRP10 antibody. Suitable for WB, IHC-P, ICC/IF and reacts with Human samples. Cited in 1 publication. Immunogen corresponding to Synthetic Peptide within Human NLRP10.

View Alternative Names

NALP10, NOD8, PYNOD, NLRP10, Nucleotide-binding oligomerization domain protein 8

3 Images
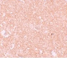
Immunohistochemistry (Formalin/PFA-fixed paraffin-embedded sections) - Anti-NLRP10 antibody (AB105407)
  • IHC-P

Supplier Data

Immunohistochemistry (Formalin/PFA-fixed paraffin-embedded sections) - Anti-NLRP10 antibody (AB105407)

Immunohistochemistry of Human brain tissue with ab105407 at 10 μg/mL.

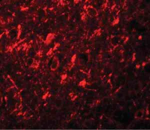
Immunocytochemistry/ Immunofluorescence - Anti-NLRP10 antibody (AB105407)
  • ICC/IF

Unknown

Immunocytochemistry/ Immunofluorescence - Anti-NLRP10 antibody (AB105407)

Immunofluorescence of NLRP10 in Human brain tissue with ab105407 at 20 ug/mL.

Western blot - Anti-NLRP10 antibody (AB105407)
  • WB

Unknown

Western blot - Anti-NLRP10 antibody (AB105407)

All lanes:

Western blot - Anti-NLRP10 antibody (ab105407) at 1 µg/mL

All lanes:

Human brain tissue lysate at 15 µg

Predicted band size: 75 kDa

false

Key facts

Host species

Rabbit

Clonality

Polyclonal

Isotype

IgG

Carrier free

No

Reacts with

Human

Applications

IHC-P, WB, ICC/IF

applications

Immunogen

Synthetic Peptide within Human NLRP10. The exact immunogen used to generate this antibody is proprietary information.

Q86W26

Specificity

At least two isoforms of NLRP10 are known to exist; this antibody will recognize both. The antibody is predicted to not cross-react with other NLRP family members.

Reactivity data

{ "title": "Reactivity Data", "filters": { "stats": ["", "Species", "Dilution Info", "Notes"], "tabs": { "all-applications": {"fullname" : "All Applications", "shortname": "All Applications"}, "WB" : {"fullname" : "Western blot", "shortname":"WB"}, "IHCP" : {"fullname" : "Immunohistochemistry (Formalin/PFA-fixed paraffin-embedded sections)", "shortname":"IHC-P"}, "ICCIF" : {"fullname" : "Immunocytochemistry/ Immunofluorescence", "shortname":"ICC/IF"} }, "product-promise": { "all": "all", "testedAndGuaranteed": "tested", "guaranteed": "expected", "predicted": "predicted", "notRecommended": "not-recommended" } }, "values": { "Human": { "WB-species-checked": "testedAndGuaranteed", "WB-species-dilution-info": "1-2 µg/mL", "WB-species-notes": "<p></p>", "IHCP-species-checked": "testedAndGuaranteed", "IHCP-species-dilution-info": "", "IHCP-species-notes": "<p></p>", "ICCIF-species-checked": "testedAndGuaranteed", "ICCIF-species-dilution-info": "20 µg/mL", "ICCIF-species-notes": "<p></p>" } } }

Properties and storage information

Form
Liquid
Purification technique
Affinity purification Immunogen
Storage buffer
pH: 7.2 Preservative: 0.02% Sodium azide Constituents: PBS
Shipped at conditions
Blue Ice
Appropriate short-term storage conditions
+4°C
Appropriate long-term storage conditions
+4°C

Supplementary information

This supplementary information is collated from multiple sources and compiled automatically.

The NLRP10 protein also known as NALP10 or PYNOD plays a significant role in the immune system. NLRP10 has a molecular mass of approximately 81 kDa and belongs to the nucleotide-binding domain leucine-rich repeat (NLR) family. It is expressed predominantly in immune cells such as macrophages and dendritic cells. Structurally NLRP10 lacks the pyrin domain that is common to other members of its family which influences its function.
Biological function summary

NLRP10 modulates inflammatory responses and immune cell activity. It functions as part of the innate immune system and is linked to the regulation of inflammasomes. NLRP10 is also connected with dendritic cell migration influencing the immune response to pathogens. By controlling cytokine release it plays a role in mitigating excessive inflammation.

Pathways

NLRP10 integrates into the inflammatory signaling processes. It impacts the NF-κB signaling pathway an important regulator of immune response. Where the pathway involves inflammasomes NLRP10 interacts with other NLR family members like NLRP3. These interactions modulate immune responses through complex pathways affecting how cells respond to infections.

NLRP10 is linked to autoimmune conditions and allergies. In autoimmune diseases such as lupus the regulatory role of NLRP10 influences the immune system’s tolerance to self-antigens. In allergic conditions it modulates the inflammatory response and cytokine release. There are connections with proteins like NLRP3 in these disorders where both play roles in the immune system's regulation and inflammation control.

Product protocols

For this product, it's our understanding that no specific protocols are required. You can visit:

Target data

Inhibits autoprocessing of CASP1, CASP1-dependent IL1B secretion, PYCARD aggregation and PYCARD-mediated apoptosis but not apoptosis induced by FAS or BID (PubMed : 15096476). Displays anti-inflammatory activity (PubMed : 20393137). Required for immunity against C.albicans infection (By similarity). Involved in the innate immune response by contributing to pro-inflammatory cytokine release in response to invasive bacterial infection (PubMed : 22672233). Contributes to T-cell-mediated inflammatory responses in the skin (By similarity). Plays a role in protection against periodontitis through its involvement in induction of IL1A via ERK activation in oral epithelial cells infected with periodontal pathogens (PubMed : 28766990). Exhibits both ATPase and GTPase activities (PubMed : 23861819).
See full target information NLRP10

Publications (1)

Recent publications for all applications. Explore the full list and refine your search

Communications biology 8:125 PubMed39865169

2025

NLRP7 maintains the genomic stability during early human embryogenesis via mediating alternative splicing.

Applications

Unspecified application

Species

Unspecified reactive species

Zhongliang Chen,Liangxia Jiang,Min Su,Qibing Zeng,Peng Luo,Liangzhao Chu
View all publications

Product promise

We are committed to supporting your work with high-quality reagents, and we're here for you every step of the way. In the unlikely event that one of our products does not perform as expected, you're protected by our Product Promise.
For full details, please see our Terms & Conditions

Please note: All products are 'FOR RESEARCH USE ONLY. NOT FOR USE IN DIAGNOSTIC OR THERAPEUTIC PROCEDURES'.

For licensing inquiries, please contact partnerships@abcam.com