JavaScript is disabled in your browser. Please enable JavaScript to view this website.
AB307668

Anti-NLRX1 antibody [EPR27216-40]

  • 20ul selling size
  • RabMAb
  • Recombinant
  • KO Validated
  • What is this?

Be the first to review this product! Submit a review

|

(0 Publication)

Knockout Tested Rabbit Recombinant Monoclonal NLRX1 antibody. Suitable for WB, IP and reacts with Human, Mouse samples.

View Alternative Names

NOD5, NOD9, NLRX1, NLR family member X1, Caterpiller protein 11.3, Nucleotide-binding oligomerization domain protein 5, Nucleotide-binding oligomerization domain protein 9, CLR11.3

3 Images
Immunoprecipitation - Anti-NLRX1 antibody [EPR27216-40] (AB307668)
  • IP

Supplier Data

Immunoprecipitation - Anti-NLRX1 antibody [EPR27216-40] (AB307668)

NLRX1 was immunoprecipitated from 0.35 mg HeLa (human cervical adenocarcinoma epithelial cell) whole cell lysate 10 ug with ab307668 at 1/30 dilution (2ug in 0.35mg lysates). Western blot was performed on the immunoprecipitate using ab307668 at 1/1000 dilution. VeriBlot for IP secondary antibody (HRP) (ab131366) was used at 1/5000 dilution.

Lane 1 : HeLa (human cervical adenocarcinoma epithelial cell) whole cell lysate 10 ug
Lane 2 : ab307668 IP in HeLa whole cell lysate
Lane 3 : Rabbit monoclonal IgG (ab172730) instead of ab307668 in HeLa whole cell lysate

Blocking and dilution buffer and concentration : 5% NFDM/TBST.

Exposure time : 180 seconds

All lanes:

Immunoprecipitation - Anti-NLRX1 antibody [EPR27216-40] (ab307668) at 1/1000 dilution

All lanes:

HeLa cell

Secondary

All lanes:

Immunoprecipitation at 1/5000 dilution

Observed band size: 100 kDa

false

Exposure time: 180s

Western blot - Anti-NLRX1 antibody [EPR27216-40] (AB307668)
  • WB

Supplier Data

Western blot - Anti-NLRX1 antibody [EPR27216-40] (AB307668)

Blocking and diluting buffer and concentration : ½ volume of Odyssey Blocking Buffer (TBS)+ ½ volume of 0.1% TBS The samples were run on a Bis-Tris gel. Performed under reducing conditions. False colour image of Western blot : Anti-NLRX1 antibody [EPR27216-40] (ab307668) staining at 1/1000 dilution, shown in green; Mouse anti-GAPDH antibody [6C5] (ab8245) loading control staining at 1/20000 dilution, shown in red. In Western blot, ab307668 was shown to bind specifically to NLRX1. A band was observed at 100 kDa in wild-type HeLa cell lysates whereas no signal observed at this size in NLRX1 knockout cell line ab265964 (knockout cell lysate ab258074). To generate this image, wild-type and NLRX1 knockout HeLa cell lysates were analyzed. First, samples were run on a SDS-PAGE gel then transferred onto an immobilon-FL PVDF membrane. Membranes were blocked in in Intercept® (TBS) Blocking Buffer diluted with an equal volume of 0.1% TBS before incubation with primary antibodies overnight at 4 °C. Blots were washed four times in TBS-T, incubated with secondary antibodies for 1 h at room temperature, washed again four times then imaged. Secondary antibodies used were Goat anti-Rabbit IgG H&L (IRDye® 800CW) preabsorbed (ab216773) at 1/10000 dilution and Goat anti-Mouse IgG H&L (IRDye® 680RD) preabsorbed (ab216776) at 1/20000 dilution.

Lane 1:

Wild-type HeLa whole cell lysate at 20 µg

Lane 2:

NLRX1 knockout HeLa whole cell lysate at 20 µg

Secondary

All lanes:

Western blot at 1/10000 dilution

Observed band size: 100 kDa

false

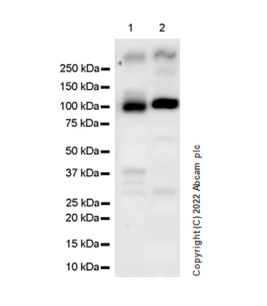
Western blot - Anti-NLRX1 antibody [EPR27216-40] (AB307668)
  • WB

Supplier Data

Western blot - Anti-NLRX1 antibody [EPR27216-40] (AB307668)

Blocking and diluting buffer and concentration : 5% NFDM/TBST Primary antibody staining at 1/1000 dilution and the secondary antibody, Goat Anti-Rabbit IgG, (H+L), Peroxidase conjugated (ab97051), staining at 1/20000 dilution Exposure time : 59 seconds

Lane 1:

Mouse liver tissue lysate at 20 µg

Lane 2:

Mouse heart tissue lysate at 20 µg

Secondary

All lanes:

Western blot - Anti-NLRX1 antibody [EPR27216-40] (ab307668) at 1/20000 dilution

Observed band size: 100 kDa

false

Exposure time: 59s

  • Carrier free

    Anti-NLRX1 antibody [EPR27216-40] - BSA and Azide free

Key facts

Host species

Rabbit

Clonality

Monoclonal

Clone number

EPR27216-40

Isotype

IgG

Carrier free

No

Reacts with

Human, Mouse

Applications

WB, IP

applications

Immunogen

The exact immunogen used to generate this antibody is proprietary information.

Reactivity data

{ "title": "Reactivity Data", "filters": { "stats": ["", "Species", "Dilution Info", "Notes"], "tabs": { "all-applications": {"fullname" : "All Applications", "shortname": "All Applications"}, "WB" : {"fullname" : "Western blot", "shortname":"WB"}, "IP" : {"fullname" : "Immunoprecipitation", "shortname":"IP"}, "IHCP" : {"fullname" : "Immunohistochemistry (Formalin/PFA-fixed paraffin-embedded sections)", "shortname":"IHC-P"}, "ICCIF" : {"fullname" : "Immunocytochemistry/ Immunofluorescence", "shortname":"ICC/IF"}, "FlowCytIntra" : {"fullname" : "Flow Cytometry (Intracellular)", "shortname":"Flow Cyt (Intra)"} }, "product-promise": { "all": "all", "testedAndGuaranteed": "tested", "guaranteed": "expected", "predicted": "predicted", "notRecommended": "not-recommended" } }, "values": { "Human": { "WB-species-checked": "testedAndGuaranteed", "WB-species-dilution-info": "1/1000", "WB-species-notes": "<p></p>", "IP-species-checked": "testedAndGuaranteed", "IP-species-dilution-info": "1/30", "IP-species-notes": "<p></p>", "IHCP-species-checked": "notRecommended", "IHCP-species-dilution-info": "", "IHCP-species-notes": "<p></p>", "ICCIF-species-checked": "notRecommended", "ICCIF-species-dilution-info": "", "ICCIF-species-notes": "<p></p>", "FlowCytIntra-species-checked": "notRecommended", "FlowCytIntra-species-dilution-info": "", "FlowCytIntra-species-notes": "<p></p>" }, "Mouse": { "WB-species-checked": "testedAndGuaranteed", "WB-species-dilution-info": "1/1000", "WB-species-notes": "<p></p>", "IP-species-checked": "guaranteed", "IP-species-dilution-info": "", "IP-species-notes": "", "IHCP-species-checked": "notRecommended", "IHCP-species-dilution-info": "", "IHCP-species-notes": "<p></p>", "ICCIF-species-checked": "notRecommended", "ICCIF-species-dilution-info": "", "ICCIF-species-notes": "", "FlowCytIntra-species-checked": "notRecommended", "FlowCytIntra-species-dilution-info": "", "FlowCytIntra-species-notes": "" }, "Rat": { "WB-species-checked": "notRecommended", "WB-species-dilution-info": "1/1000", "WB-species-notes": "<p></p>", "IP-species-checked": "notRecommended", "IP-species-dilution-info": "", "IP-species-notes": "", "IHCP-species-checked": "notRecommended", "IHCP-species-dilution-info": "", "IHCP-species-notes": "<p></p>", "ICCIF-species-checked": "notRecommended", "ICCIF-species-dilution-info": "", "ICCIF-species-notes": "", "FlowCytIntra-species-checked": "notRecommended", "FlowCytIntra-species-dilution-info": "", "FlowCytIntra-species-notes": "" } } }

Product details

Patented technology
Our RabMAb® technology is a patented hybridoma-based technology for making rabbit monoclonal antibodies. For details on our patents, please refer to RabMAb® patents.

What are the advantages of a recombinant monoclonal antibody?
This product is a recombinant monoclonal antibody, which offers several advantages including:

  • - High batch-to-batch consistency and reproducibility
  • - Improved sensitivity and specificity
  • - Long-term security of supply
  • - Animal-free batch production

For more information, read more on recombinant antibodies.

Properties and storage information

Form
Liquid
Purification technique
Affinity purification Protein A
Storage buffer
pH: 7.2 - 7.4 Preservative: 0.01% Sodium azide Constituents: PBS, 40% Glycerol (glycerin, glycerine), 0.05% BSA
Shipped at conditions
Blue Ice
Appropriate short-term storage duration
1-2 weeks
Appropriate short-term storage conditions
+4°C
Appropriate long-term storage conditions
-20°C
Aliquoting information
Upon delivery aliquot
Storage information
Avoid freeze / thaw cycle

Supplementary information

This supplementary information is collated from multiple sources and compiled automatically.

NLRX1 also known as NOD-like receptor X1 is a protein that plays a role in the regulation of immune responses and mitochondrial function. It has a molecular mass of approximately 110 kDa. NLRX1 is widely expressed in various tissues but shows higher levels in immune-related organs such as the spleen and lymph nodes. This protein is part of the NOD-like receptor family known for sensing intracellular signals and initiating immune responses.
Biological function summary

NLRX1 regulates immune functions by modulating inflammatory responses and innate immunity. It interacts with other cellular components to form complexes that impact the production of reactive oxygen species and influence mitochondrial dynamics. NLRX1 promotes mitochondrial homeostasis and cellular metabolism acting as a negative regulator of the inflammatory pathway. This protein also participates in antiviral responses by influencing signaling pathways upon detection of viral infections.

Pathways

NLRX1 plays critical roles within the NF-kB signaling and mitochondrial response pathways. It interacts with NF-kB-related proteins affecting the transcription of pro-inflammatory genes. Additionally NLRX1 connects with mitochondrial antiviral signaling proteins impacting the cell's ability to respond to viral agents. These interplays illustrate NLRX1's involvement in maintaining cellular balance in response to stress or infection.

Multiple studies link NLRX1 to conditions such as inflammatory bowel disease and viral infections like influenza. Its regulatory role in NF-kB and mitochondrial pathways connects NLRX1 to other proteins like MAVS and TRAF6 influencing the severity and outcome of these diseases. Altered NLRX1 function can disrupt immune regulation and promote chronic inflammation highlighting its importance in disease pathogenesis and potential as a therapeutic target.

Product protocols

For this product, it's our understanding that no specific protocols are required. You can visit:

Target data

Participates in antiviral signaling. Acts as a negative regulator of MAVS-mediated antiviral responses, through the inhibition of the virus-induced RLH (RIG-like helicase)-MAVS interaction (PubMed : 18200010). Instead, promotes autophagy by interacting with TUFM and subsequently recruiting the autophagy-related proteins ATG5 and ATG12 (PubMed : 22749352). Regulates also MAVS-dependent NLRP3 inflammasome activation to attenuate apoptosis (PubMed : 27393910). Has no inhibitory function on NF-kappa-B signaling pathway, but enhances NF-kappa-B and JUN N-terminal kinase dependent signaling through the production of reactive oxygen species (PubMed : 18219313). Regulates viral mediated-inflammation and energy metabolism in a sex-dependent manner (By similarity). In females, prevents uncontrolled inflammation and energy metabolism and thus, may contribute to the sex differences observed in infectious and inflammatory diseases (By similarity).
See full target information NLRX1

Product promise

We are committed to supporting your work with high-quality reagents, and we're here for you every step of the way. In the unlikely event that one of our products does not perform as expected, you're protected by our Product Promise.
For full details, please see our Terms & Conditions

Please note: All products are 'FOR RESEARCH USE ONLY. NOT FOR USE IN DIAGNOSTIC OR THERAPEUTIC PROCEDURES'.

For licensing inquiries, please contact partnerships@abcam.com