JavaScript is disabled in your browser. Please enable JavaScript to view this website.
AB92327

Anti-NM23A antibody [EPR3036]

Be the first to review this product! Submit a review

|

(5 Publications)

Rabbit Recombinant Monoclonal NM23A antibody. Suitable for IHC-P, WB, Flow Cyt (Intra) and reacts with Human samples. Cited in 5 publications.

View Alternative Names

NDPKA, NM23, NME1, Nucleoside diphosphate kinase A, NDK A, NDP kinase A, Granzyme A-activated DNase, Metastasis inhibition factor nm23, NM23-H1, Tumor metastatic process-associated protein, GAAD

4 Images
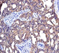
Immunohistochemistry (Formalin/PFA-fixed paraffin-embedded sections) - Anti-NM23A antibody [EPR3036] (AB92327)
  • IHC-P

Unknown

Immunohistochemistry (Formalin/PFA-fixed paraffin-embedded sections) - Anti-NM23A antibody [EPR3036] (AB92327)

ab92327 at a dilution of 1/100 staining NM23A in formalin fixed paraffin embedded Human lung adenocarcinoma tissue by Immunohistochemistry. Detection : DAB staining

Heat mediated antigen retrieval was performed via the pressure cooker method before commencing with IHC staining protocol.

Flow Cytometry (Intracellular) - Anti-NM23A antibody [EPR3036] (AB92327)
  • Flow Cyt (Intra)

Unknown

Flow Cytometry (Intracellular) - Anti-NM23A antibody [EPR3036] (AB92327)

Intracellular Flow Cytometry analysis of HeLa (human cervix adenocarcinoma) cells labeling NM23A with unpurified ab92327 at 1/50 dilution (10ug/ml) (red). Cells were fixed with 4% paraformaldehyde and permeabilised with 90% methanol. A Goat anti-rabbit IgG (Alexa Fluorr® 488) (1/2000 dilution) was used as the secondary antibody. Rabbit monoclonal IgG (Black) was used as the isotype control, cells without incubation with primary antibody and secondary antibody (Blue) were used as the unlabeled control.

Western blot - Anti-NM23A antibody [EPR3036] (AB92327)
  • WB

Unknown

Western blot - Anti-NM23A antibody [EPR3036] (AB92327)

All lanes:

Western blot - Anti-NM23A antibody [EPR3036] (ab92327) at 1/5000 dilution

Lane 1:

MCF-7 cell lysate at 10 µg

Lane 2:

A375 cell lysate at 10 µg

Lane 3:

HeLa cell lysate at 10 µg

Lane 4:

Jurkat cell lysate at 10 µg

Secondary

All lanes:

HRP labelled goat anti-rabbit at 1/2000 dilution

Predicted band size: 17 kDa

false

Western blot - Anti-NM23A antibody [EPR3036] (AB92327)
  • WB

Lab

Western blot - Anti-NM23A antibody [EPR3036] (AB92327)

Lanes 1-4 : Merged signal (red and green). Green - ab92327 observed at 17 kDa. Red - loading control ab8245 observed at 36 kDa.

ab92327 Anti-NM23A antibody [EPR3036] was shown to specifically react with NM23A in wild-type HEK293T cells. Loss of signal was observed when knockout cell line ab266215 (knockout cell lysate ab258075) was used. Wild-type and NM23A knockout samples were subjected to SDS-PAGE. ab92327 and Anti-GAPDH antibody [6C5] - Loading Control (ab8245) were incubated overnight at 4°C at 1 in 1000 dilution and 1 in 20000 dilution respectively. Blots were developed with Goat anti-Rabbit IgG H&L (IRDye® 800CW) preadsorbed (ab216773) and Goat anti-Mouse IgG H&L (IRDye® 680RD) preadsorbed (ab216776) secondary antibodies at 1 in 20000 dilution for 1 hour at room temperature before imaging.

All lanes:

Western blot - Anti-NM23A antibody [EPR3036] (ab92327) at 1/1000 dilution

Lane 1:

Wild-type HEK293T cell lysate at 20 µg

Lane 2:

NME1 knockout HEK293T cell lysate at 20 µg

Lane 2:

Western blot - Human NME1 (NM23A) knockout HEK-293T cell line (<a href='/en-us/products/cell-lines/human-nme1-nm23a-knockout-hek-293t-cell-line-ab266215'>ab266215</a>)

Lane 3:

MCF7 cell lysate at 20 µg

Lane 4:

Jurkat cell lysate at 20 µg

Secondary

All lanes:

Western blot - Goat anti-Rabbit IgG H&L (IRDye® 800CW) preadsorbed (<a href='/en-us/products/secondary-antibodies/goat-rabbit-igg-h-l-irdye-800cw-preadsorbed-ab216773'>ab216773</a>) at 1/10000 dilution

Predicted band size: 17 kDa

Observed band size: 17 kDa

false

Key facts

Host species

Rabbit

Clonality

Monoclonal

Clone number

EPR3036

Isotype

IgG

Carrier free

No

Reacts with

Human

Applications

WB, IHC-P, Flow Cyt (Intra)

applications

Immunogen

The exact immunogen used to generate this antibody is proprietary information.

Reactivity data

{ "title": "Reactivity Data", "filters": { "stats": ["", "Species", "Dilution Info", "Notes"], "tabs": { "all-applications": {"fullname" : "All Applications", "shortname": "All Applications"}, "IHCP" : {"fullname" : "Immunohistochemistry (Formalin/PFA-fixed paraffin-embedded sections)", "shortname":"IHC-P"}, "IP" : {"fullname" : "Immunoprecipitation", "shortname":"IP"}, "WB" : {"fullname" : "Western blot", "shortname":"WB"}, "FlowCytIntra" : {"fullname" : "Flow Cytometry (Intracellular)", "shortname":"Flow Cyt (Intra)"} }, "product-promise": { "all": "all", "testedAndGuaranteed": "tested", "guaranteed": "expected", "predicted": "predicted", "notRecommended": "not-recommended" } }, "values": { "Human": { "IHCP-species-checked": "testedAndGuaranteed", "IHCP-species-dilution-info": "1/100 - 1/250", "IHCP-species-notes": "<p>Overnight incubation is recommended.</p>", "IP-species-checked": "notRecommended", "IP-species-dilution-info": "", "IP-species-notes": "<p></p>", "WB-species-checked": "testedAndGuaranteed", "WB-species-dilution-info": "1/1000 - 1/5000", "WB-species-notes": "<p></p>", "FlowCytIntra-species-checked": "testedAndGuaranteed", "FlowCytIntra-species-dilution-info": "", "FlowCytIntra-species-notes": "<p></p>" } } }

Product details

Species reactivity
Mouse, Rat: We have preliminary internal testing data to indicate this antibody may not react with these species.
Please contact us for more information.

Patented technology
Our RabMAb® technology is a patented hybridoma-based technology for making rabbit monoclonal antibodies. For details on our patents, please refer to RabMAb® patents.

What are the advantages of a recombinant monoclonal antibody?
This product is a recombinant monoclonal antibody, which offers several advantages including:

  • - High batch-to-batch consistency and reproducibility
  • - Improved sensitivity and specificity
  • - Long-term security of supply
  • - Animal-free batch production

For more information, read more on recombinant antibodies.

Properties and storage information

Form
Liquid
Purification technique
Affinity purification Protein A
Storage buffer
pH: 7.2 - 7.4 Preservative: 0.05% Sodium azide Constituents: 50% Tissue culture supernatant, 40% Glycerol (glycerin, glycerine), 9.85% Tris glycine, 0.1% BSA
Shipped at conditions
Blue Ice
Appropriate short-term storage conditions
+4°C
Appropriate long-term storage conditions
-20°C
Aliquoting information
Upon delivery aliquot
Storage information
Avoid freeze / thaw cycle

Supplementary information

This supplementary information is collated from multiple sources and compiled automatically.

NM23A also known as NME1 (non-metastatic cells 1 protein) is a nucleoside diphosphate kinase A. NM23A weighs approximately 17 kDa. This protein is expressed in a variety of tissues with high levels in liver brain and endocrine tissues. By exchanging phosphate groups NM23A is involved in energy transfer in cells. It stabilizes proteins by forming hexameric complexes which are pivotal for its function.
Biological function summary

The NME1 protein plays a significant role in cell proliferation and differentiation. It acts as a marker for the metastatic potential of some tumors where lower expression links to increased metastatic abilities in tumor cells. This protein sometimes works as part of a larger multiprotein complex which influences its functions in cellular processes. It is known for modulating microtubule assembly which affects cell structure and mechanics.

Pathways

NM23A is an important player in signal transduction and DNA repair pathways. It is essential in the regulation of the Ras-MAPK pathway which controls cell growth and differentiation. NM23A interacts with key regulatory proteins such as c-Myc and APC to uphold cellular activities. The protein's influence in these pathways indicates its role in sustaining normal cellular functions and responses.

NM23A relates closely to cancer particularly in metastatic processes and tumor progression. Lower levels of NM23A are associated with the progression of neuroblastoma and breast cancer. In breast cancer NM23A links to the tumor suppressor gene p53 affecting its regulatory functions. Research continues into how NM23A can serve as a useful biomarker for prognosis and therapy in cancer treatment.

Product protocols

For this product, it's our understanding that no specific protocols are required. You can visit:

Target data

Major role in the synthesis of nucleoside triphosphates other than ATP. The ATP gamma phosphate is transferred to the NDP beta phosphate via a ping-pong mechanism, using a phosphorylated active-site intermediate. Possesses nucleoside-diphosphate kinase, serine/threonine-specific protein kinase, geranyl and farnesyl pyrophosphate kinase, histidine protein kinase and 3'-5' exonuclease activities. Involved in cell proliferation, differentiation and development, signal transduction, G protein-coupled receptor endocytosis, and gene expression. Required for neural development including neural patterning and cell fate determination. During GZMA-mediated cell death, works in concert with TREX1. NME1 nicks one strand of DNA and TREX1 removes bases from the free 3' end to enhance DNA damage and prevent DNA end reannealing and rapid repair.
See full target information NME1

Publications (5)

Recent publications for all applications. Explore the full list and refine your search

BMC cancer 25:1144 PubMed40616024

2025

S100a4 promotes metastatic transformation in non-metastatic liver cancer cells through NMIIa binding: mechanistic insights.

Applications

Unspecified application

Species

Unspecified reactive species

Yong Qin,Chaojun Wang,Shengqian Xu,Junbin Zhou,Shimiao Li,Hailin Ye

Medical principles and practice : international journal of the Kuwait University, Health Science Centre 33:56-65 PubMed38029727

2023

NSUN6 Regulates NM23-H1 Expression in an m5C Manner to Affect Epithelial-Mesenchymal Transition in Lung Cancer.

Applications

Unspecified application

Species

Unspecified reactive species

Zhansheng Lu,Bo Liu,Demiao Kong,Xiaojiang Zhou,Dengke Pei,Di Liu

Proceedings of the National Academy of Sciences of the United States of America 120:e2214842120 PubMed37339216

2023

Single-cell transcriptomics reveals maturation of transplanted stem cell-derived retinal pigment epithelial cells toward native state.

Applications

Unspecified application

Species

Unspecified reactive species

Bhav Harshad Parikh,Paul Blakeley,Kakkad Regha,Zengping Liu,Binxia Yang,Mayuri Bhargava,Daniel Soo Lin Wong,Queenie Shu Woon Tan,Claudine See Wei Wong,Hao Fei Wang,Abdurrahmaan Al-Mubaarak,Chai Chou,Chui Ming Gemmy Cheung,Kah Leong Lim,Veluchamy Amutha Barathi,Walter Hunziker,Gopal Lingam,Tim Xiaoming Hu,Xinyi Su

Open life sciences 18:20220610 PubMed37250840

2023

Effects of transfection of human gastric carcinoma cells in mice.

Applications

Unspecified application

Species

Unspecified reactive species

Na Liang,Chunming Li,Neng Zhang,Qiang Xu,Shengnan Zou,Meng Zhang,Shuyao Si,Li Zeng

Experimental and therapeutic medicine 20:1758-1763 PubMed32742405

2020

Anti-tumor peptide SA12 inhibits metastasis of MDA-MB-231 and MCF-7 breast cancer cells via increasing expression of the tumor metastasis suppressor genes, CDH1, nm23-H1 and BRMS1.

Applications

Unspecified application

Species

Unspecified reactive species

Longfei Yang,Fang Lin,Zhaowei Gao,Xi Chen,Huizhong Zhang,Ke Dong
View all publications

Product promise

We are committed to supporting your work with high-quality reagents, and we're here for you every step of the way. In the unlikely event that one of our products does not perform as expected, you're protected by our Product Promise.
For full details, please see our Terms & Conditions

Please note: All products are 'FOR RESEARCH USE ONLY. NOT FOR USE IN DIAGNOSTIC OR THERAPEUTIC PROCEDURES'.

For licensing inquiries, please contact partnerships@abcam.com