JavaScript is disabled in your browser. Please enable JavaScript to view this website.
AB249576

Anti-NMD3 antibody [EPR11979(B)] - BSA and Azide free

Be the first to review this product! Submit a review

|

(0 Publication)

Rabbit Recombinant Monoclonal NMD3 antibody. Carrier free. Suitable for IHC-P, IP, WB and reacts with Human samples.

View Alternative Names

CGI-07, NMD3, 60S ribosomal export protein NMD3, hNMD3

4 Images
Immunohistochemistry (Formalin/PFA-fixed paraffin-embedded sections) - Anti-NMD3 antibody [EPR11979(B)] - BSA and Azide free (AB249576)
  • IHC-P

Supplier Data

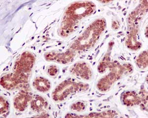
Immunohistochemistry (Formalin/PFA-fixed paraffin-embedded sections) - Anti-NMD3 antibody [EPR11979(B)] - BSA and Azide free (AB249576)

This data was developed using ab170898, the same antibody clone in a different buffer formulation.

Immunohistochemical analysis of paraffin-embedded Human breast tissue labeling NMD3 with ab170898 at 1/50 dilution.

Perform heat mediated antigen retrieval with citrate buffer pH 6 before commencing with IHC staining protocol.

Immunohistochemistry (Formalin/PFA-fixed paraffin-embedded sections) - Anti-NMD3 antibody [EPR11979(B)] - BSA and Azide free (AB249576)
  • IHC-P

Supplier Data

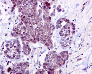
Immunohistochemistry (Formalin/PFA-fixed paraffin-embedded sections) - Anti-NMD3 antibody [EPR11979(B)] - BSA and Azide free (AB249576)

This data was developed using ab170898, the same antibody clone in a different buffer formulation.

Immunohistochemical analysis of paraffin-embedded Human ovarian carcinoma tissue labeling NMD3 with ab170898 at 1/50 dilution.

Perform heat mediated antigen retrieval with citrate buffer pH 6 before commencing with IHC staining protocol.

Immunoprecipitation - Anti-NMD3 antibody [EPR11979(B)] - BSA and Azide free (AB249576)
  • IP

Supplier Data

Immunoprecipitation - Anti-NMD3 antibody [EPR11979(B)] - BSA and Azide free (AB249576)

This data was developed using ab170898, the same antibody clone in a different buffer formulation.

Western blot analysis on immunoprecipitation pellet from HeLa cell lysate (Lane 1) or 1X PBS (negative control) (Lane 2) using ab170898 and HRP-conjugated anti-rabbit IgG which preferentially detects the non-reduced form of rabbit IgG.

Lane 1 Primary : ab170898, 1/10000 dilution
Sample : Immunoprecipitation pellet from HeLa cell lysate
Secondary : HRP-conjugated anti-rabbit IgG

Lane 2 Primary : ab170898, 1/10000 dilution
Sample : 1X PBS (negative control)
Secondary : HRP-conjugated anti-rabbit IgG

All lanes:

Immunoprecipitation - Anti-NMD3 antibody [EPR11979(B)] (<a href='/en-us/products/primary-antibodies/nmd3-antibody-epr11979b-ab170898'>ab170898</a>)

Predicted band size: 58 kDa

false

Western blot - Anti-NMD3 antibody [EPR11979(B)] - BSA and Azide free (AB249576)
  • WB

Supplier Data

Western blot - Anti-NMD3 antibody [EPR11979(B)] - BSA and Azide free (AB249576)

This data was developed using ab170898, the same antibody clone in a different buffer formulation.

All lanes:

Western blot - Anti-NMD3 antibody [EPR11979(B)] (<a href='/en-us/products/primary-antibodies/nmd3-antibody-epr11979b-ab170898'>ab170898</a>) at 1/10000 dilution

Lane 1:

HepG2 cell lysate at 10 µg

Lane 2:

T-47D cell lysate at 10 µg

Lane 3:

Jurkat cell lysate at 10 µg

Lane 4:

HeLa cell lysate at 10 µg

Secondary

All lanes:

Goat anti-rabbit HRP conjugated at 1/2000 dilution

Predicted band size: 58 kDa

false

Key facts

Host species

Rabbit

Clonality

Monoclonal

Clone number

EPR11979(B)

Isotype

IgG

Carrier free

Yes

Reacts with

Human

Applications

WB, IHC-P, IP

applications

Immunogen

The exact immunogen used to generate this antibody is proprietary information.

Reactivity data

{ "title": "Reactivity Data", "filters": { "stats": ["", "Species", "Dilution Info", "Notes"], "tabs": { "all-applications": {"fullname" : "All Applications", "shortname": "All Applications"}, "IHCP" : {"fullname" : "Immunohistochemistry (Formalin/PFA-fixed paraffin-embedded sections)", "shortname":"IHC-P"}, "IP" : {"fullname" : "Immunoprecipitation", "shortname":"IP"}, "FlowCyt" : {"fullname" : "Flow Cytometry", "shortname":"Flow Cyt"}, "WB" : {"fullname" : "Western blot", "shortname":"WB"} }, "product-promise": { "all": "all", "testedAndGuaranteed": "tested", "guaranteed": "expected", "predicted": "predicted", "notRecommended": "not-recommended" } }, "values": { "Human": { "IHCP-species-checked": "testedAndGuaranteed", "IHCP-species-dilution-info": "", "IHCP-species-notes": "<p></p>", "IP-species-checked": "testedAndGuaranteed", "IP-species-dilution-info": "", "IP-species-notes": "<p></p>", "FlowCyt-species-checked": "notRecommended", "FlowCyt-species-dilution-info": "", "FlowCyt-species-notes": "<p></p>", "WB-species-checked": "testedAndGuaranteed", "WB-species-dilution-info": "", "WB-species-notes": "<p></p>" } } }

Product details

ab249576 is the carrier-free version of ab170898.

Patented technology
Our RabMAb® technology is a patented hybridoma-based technology for making rabbit monoclonal antibodies. For details on our patents, please refer to RabMAb® patents.

What are the advantages of a recombinant monoclonal antibody?
This product is a recombinant monoclonal antibody, which offers several advantages including:

  • - High batch-to-batch consistency and reproducibility
  • - Improved sensitivity and specificity
  • - Long-term security of supply
  • - Animal-free batch production

For more information, read more on recombinant antibodies.

Conjugation ready
Our carrier-free antibodies are typically supplied in a PBS-only formulation, purified and free of BSA, sodium azide and glycerol. This conjugation-ready format is designed for use with fluorochromes, metal isotopes, oligonucleotides, and enzymes, which makes them ideal for antibody labelling, functional and cell-based assays, flow-based assays (e.g. mass cytometry) and Multiplex Imaging applications.

Use our conjugation kits for antibody conjugates that are ready-to-use in as little as 20 minutes with 1 minute hands-on-time and 100% antibody recovery: available for fluorescent dyes, HRP, biotin and gold.

Compatibility
This product is compatible with the Maxpar® Antibody Labeling Kit from Fluidigm, without the need for antibody preparation. Maxpar® is a trademark of Fluidigm Canada Inc.

Properties and storage information

Form
Liquid
Purification technique
Affinity purification Protein A
Storage buffer
pH: 7.2 - 7.4 Constituents: PBS
Shipped at conditions
Blue Ice
Appropriate short-term storage conditions
+4°C
Appropriate long-term storage conditions
+4°C
Storage information
Do Not Freeze

Supplementary information

This supplementary information is collated from multiple sources and compiled automatically.

NMD3 also known as Ribosome Export Adaptor NMD3 serves as an important shuttling protein involved in the nuclear export of the 60S ribosomal subunit. It has an estimated mass of approximately 60 kDa. The expression of NMD3 is widespread but prominently seen in cells with high proliferative activity. This protein resides in the nucleoplasm and nucleolus but translocates to the cytoplasm to facilitate its function.
Biological function summary

NMD3 plays a role in ribosomal subunit synthesis by acting as an adaptor required for the export of the mature 60S subunit from the nucleus to the cytoplasm. It does not act alone; NMD3 collaborates with several other proteins forming a transient complex with certain nucleoporins and exportins. This dynamic engagement ensures the correct timing and location of ribosome assembly a vital process for protein synthesis.

Pathways

NMD3 integrates into the ribosome biogenesis pathway an essential process for cellular growth and division. It interacts with larger complexes like the nuclear pore complex and partners with various proteins such as the exportin Crm1. NMD3’s role ensures the appropriate transport and assembly of the ribosomal subunits impacting overall protein translation efficiency.

NMD3 has connections to ribosomopathies and certain cancers. Dysregulation of NMD3 function can lead to impaired ribosomal assembly contributing to defective protein synthesis. The disruption in its function often links to overexpression or mutations in associated proteins like the nucleoporins which can contribute to the pathogenesis observed in specific cancers. Understanding the modifications in NMD3 and its associated protein interactions can provide insights into these disease processes paving the way for therapeutic targets.

Product protocols

For this product, it's our understanding that no specific protocols are required. You can visit:

Target data

Acts as an adapter for the XPO1/CRM1-mediated export of the 60S ribosomal subunit.
See full target information NMD3

Product promise

We are committed to supporting your work with high-quality reagents, and we're here for you every step of the way. In the unlikely event that one of our products does not perform as expected, you're protected by our Product Promise.
For full details, please see our Terms & Conditions

Please note: All products are 'FOR RESEARCH USE ONLY. NOT FOR USE IN DIAGNOSTIC OR THERAPEUTIC PROCEDURES'.

For licensing inquiries, please contact partnerships@abcam.com