JavaScript is disabled in your browser. Please enable JavaScript to view this website.
AB274390

Anti-NMDAR1 antibody [EPR23397-66] - BSA and Azide free

  • BOND RX™ Validated
  • RabMAb
  • Recombinant
  • KO Validated
  • What is this?

Be the first to review this product! Submit a review

|

(0 Publication)

Knockout Tested Rabbit Recombinant Monoclonal NMDAR1 antibody. Carrier free. Suitable for WB, IHC-P and reacts with Mouse, Human, Rat samples.

View Alternative Names

NMDAR1, GRIN1, GluN1, Glutamate [NMDA] receptor subunit zeta-1, N-methyl-D-aspartate receptor subunit NR1, NMD-R1, hNR1

7 Images
Western blot - Anti-NMDAR1 antibody [EPR23397-66] - BSA and Azide free (AB274390)
  • WB

Lab

Western blot - Anti-NMDAR1 antibody [EPR23397-66] - BSA and Azide free (AB274390)

Blocking and diluting buffer and concentration : 5% NFDM/TBST.

The molecular weight observed is consistent with what has been described in the literature (PMID : 10818139).

Negative control : liver and heart (PMID : 10480904).

Samples are non-boiled as boiling may cause protein aggregates.

Exposure time : 5.5 seconds.

This data was developed using the same antibody clone in a different buffer formulation containing PBS, BSA, glycerol, and sodium azide (ab274377)

All lanes:

Western blot - Anti-NMDAR1 antibody [EPR23397-66] (<a href='/en-us/products/primary-antibodies/nmdar1-antibody-epr23397-66-ab274377'>ab274377</a>) at 1/1000 dilution

Lane 1:

Mouse brain tissue lysate at 20 µg

Lane 2:

Mouse liver tissue lysate at 20 µg

Lane 3:

Mouse heart tissue lysate at 20 µg

Lane 4:

Rat brain tissue lysate at 20 µg

Lane 5:

Rat liver tissue lysate at 20 µg

Lane 6:

Rat heart tissue lysate at 20 µg

Secondary

All lanes:

Goat Anti-Rabbit IgG, (H+L), Peroxidase conjugated (<a href='/en-us/products/secondary-antibodies/goat-rabbit-igg-h-l-hrp-ab97051'>ab97051</a>) at 1/100000 dilution

Predicted band size: 105 kDa

Observed band size: 120 kDa

false

Immunohistochemistry (Formalin/PFA-fixed paraffin-embedded sections) - Anti-NMDAR1 antibody [EPR23397-66] - BSA and Azide free (AB274390)
  • IHC-P

Unknown

Immunohistochemistry (Formalin/PFA-fixed paraffin-embedded sections) - Anti-NMDAR1 antibody [EPR23397-66] - BSA and Azide free (AB274390)

Immunohistochemical analysis of paraffin-embedded Mouse cerebrum tissue labeling NMDAR1 with abab274377 at 1/100 dilution followed by a ready to use Rabbit specific IHC polymer detection kit HRP/DAB (ab209101). Cytoplasmic staining on mouse cerebrum (PMID : 27391811). The section was incubated with ab274377 for 30 mins at room temperature. The immunostaining was performed on a Leica Biosystems BOND® RX instrument. Counterstained with Hematoxylin.

Secondary antibody only control : Secondary antibody is a ready to use Rabbit specific IHC polymer detection kit HRP/DAB (ab209101).

Heat mediated antigen retrieval with Tris-EDTA buffer (pH 9.0, epitope retrieval solution2) for 20 mins.

This data was developed using the same antibody clone in a different buffer formulation containing PBS, BSA, glycerol, and sodium azide (ab274377).

Western blot - Anti-NMDAR1 antibody [EPR23397-66] - BSA and Azide free (AB274390)
  • WB

Lab

Western blot - Anti-NMDAR1 antibody [EPR23397-66] - BSA and Azide free (AB274390)

Blocking and diluting buffer and concentration : 5% NFDM/TBST.

Samples are non-boiled as boiling may cause protein aggregates.

Exposure time : 15 seconds.

This data was developed using the same antibody clone in a different buffer formulation containing PBS, BSA, glycerol, and sodium azide (ab274377)

All lanes:

Western blot - Anti-NMDAR1 antibody [EPR23397-66] (<a href='/en-us/products/primary-antibodies/nmdar1-antibody-epr23397-66-ab274377'>ab274377</a>) at 1/1000 dilution

Lane 1:

Human brain tissue lysate at 20 µg

Lane 2:

Human heart tissue lysate at 20 µg

Secondary

All lanes:

Goat Anti-Rabbit IgG, (H+L), Peroxidase conjugated (<a href='/en-us/products/secondary-antibodies/goat-rabbit-igg-h-l-hrp-ab97051'>ab97051</a>) at 1/100000 dilution

Predicted band size: 105 kDa

Observed band size: 120 kDa

false

Immunohistochemistry (Formalin/PFA-fixed paraffin-embedded sections) - Anti-NMDAR1 antibody [EPR23397-66] - BSA and Azide free (AB274390)
  • IHC-P

Unknown

Immunohistochemistry (Formalin/PFA-fixed paraffin-embedded sections) - Anti-NMDAR1 antibody [EPR23397-66] - BSA and Azide free (AB274390)

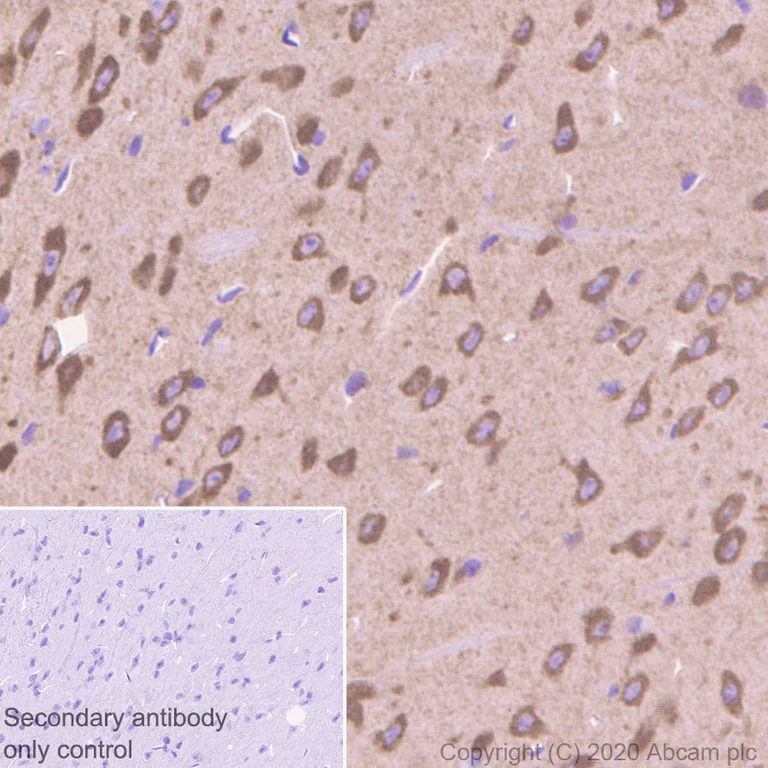
Immunohistochemical analysis of paraffin-embedded Rat cerebrum tissue labeling NMDAR1 with abab274377 at 1/100 dilution followed by a ready to use Rabbit specific IHC polymer detection kit HRP/DAB (ab209101). Cytoplasmic staining on rat cerebrum (PMID : 27391811). The section was incubated with ab274377 for 30 mins at room temperature. The immunostaining was performed on a Leica Biosystems BOND® RX instrument. Counterstained with Hematoxylin.

Secondary antibody only control : Secondary antibody is a ready to use Rabbit specific IHC polymer detection kit HRP/DAB (ab209101).

Heat mediated antigen retrieval with Tris-EDTA buffer (pH 9.0, epitope retrieval solution2) for 20 mins.

This data was developed using the same antibody clone in a different buffer formulation containing PBS, BSA, glycerol, and sodium azide (ab274377).

Immunohistochemistry (Formalin/PFA-fixed paraffin-embedded sections) - Anti-NMDAR1 antibody [EPR23397-66] - BSA and Azide free (AB274390)
  • IHC-P

Unknown

Immunohistochemistry (Formalin/PFA-fixed paraffin-embedded sections) - Anti-NMDAR1 antibody [EPR23397-66] - BSA and Azide free (AB274390)

Immunohistochemical analysis of paraffin-embedded Human cerebrum tissue labeling NMDAR1 with ab274377 at 1/100 dilution followed by a ready to use Rabbit specific IHC polymer detection kit HRP/DAB (ab209101). Cytoplasmic staining on human cerebrum (PMID : 27391811). The section was incubated with ab274377 for 30 mins at room temperature. The immunostaining was performed on a Leica Biosystems BOND® RX instrument. Counterstained with Hematoxylin.

Secondary antibody only control : Secondary antibody is a ready to use Rabbit specific IHC polymer detection kit HRP/DAB (ab209101).

Heat mediated antigen retrieval with Tris-EDTA buffer (pH 9.0, epitope retrieval solution2) for 20 mins.

This data was developed using the same antibody clone in a different buffer formulation containing PBS, BSA, glycerol, and sodium azide (ab274377).

Immunohistochemistry (Formalin/PFA-fixed paraffin-embedded sections) - Anti-NMDAR1 antibody [EPR23397-66] - BSA and Azide free (AB274390)
  • IHC-P

Unknown

Immunohistochemistry (Formalin/PFA-fixed paraffin-embedded sections) - Anti-NMDAR1 antibody [EPR23397-66] - BSA and Azide free (AB274390)

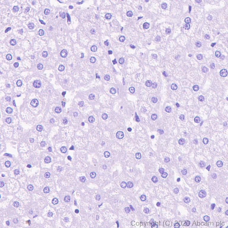
Immunohistochemical analysis of paraffin-embedded Human liver tissue labeling NMDAR1 with abab274377 at 1/100 dilution followed by a ready to use Rabbit specific IHC polymer detection kit HRP/DAB (ab209101). Negative control : no staining on human liver (PMID : 10480904). The section was incubated with ab274377 for 30 mins at room temperature. The immunostaining was performed on a Leica Biosystems BOND® RX instrument.Counterstained with Hematoxylin.

Secondary antibody only control : Secondary antibody is a ready to use Rabbit specific IHC polymer detection kit HRP/DAB (ab209101).

Heat mediated antigen retrieval with Tris-EDTA buffer (pH 9.0, epitope retrieval solution2) for 20 mins.

This data was developed using the same antibody clone in a different buffer formulation containing PBS, BSA, glycerol, and sodium azide (ab274377).

Western blot - Anti-NMDAR1 antibody [EPR23397-66] - BSA and Azide free (AB274390)
  • WB

Lab

Western blot - Anti-NMDAR1 antibody [EPR23397-66] - BSA and Azide free (AB274390)

This data was developed using the same antibody clone in a different buffer formulation containing PBS, BSA, glycerol, and sodium azide (ab274377). Anti-NMDAR1 antibody [EPR23397-66] staining at 1/1000 dilution, shown in green; Mouse anti-GAPDH antibody [6C5] (ab8245) loading control staining at 1/20000 dilution, shown in red. In Western blot, ab274377 was shown to bind specifically to NMDAR1. A band was observed at 105-125 kDa in wild-type Neuro-2a cell lysates with no signal observed at this size in GRIN1 knockout cell line ab281960 (knockout cell lysate ab282987). To generate this image, wild-type and GRIN1 knockout Neuro-2a cell lysates were analysed. First, samples were run on an SDS-PAGE gel then transferred onto a nitrocellulose membrane. Membranes were blocked in 3 % milk in TBS-0.1 % Tween®20 (TBS-T) before incubation with primary antibodies overnight at 4 °C. Blots were washed four times in TBS-T, incubated with secondary antibodies for 1 h at room temperature, washed again four times then imaged. Secondary antibodies used were Goat anti-Rabbit IgG H&L 800CW and Goat anti-Mouse IgG H&L 680RD at 1/20000 dilution.

All lanes:

Western blot - Anti-NMDAR1 antibody [EPR23397-66] (<a href='/en-us/products/primary-antibodies/nmdar1-antibody-epr23397-66-ab274377'>ab274377</a>) at 1/1000 dilution

Lane 2:

Western blot - Mouse GRIN1 (NMDAR1) knockout Neuro-2a cell line (ab281960)

Lane 2:

Western blot - Mouse GRIN1 (NMDAR1) knockout Neuro-2a cell lysate (ab282987)

Secondary

All lanes:

Goat anti-Rabbit IgG H&L 800CW and Goat anti-Mouse IgG H&L 680RD at 1/20000 dilution

Predicted band size: 105 kDa

false

Key facts

Host species

Rabbit

Clonality

Monoclonal

Clone number

EPR23397-66

Isotype

IgG

Carrier free

Yes

Reacts with

Mouse, Rat, Human

Applications

WB, IHC-P

applications

Immunogen

The exact immunogen used to generate this antibody is proprietary information.

Reactivity data

{ "title": "Reactivity Data", "filters": { "stats": ["", "Species", "Dilution Info", "Notes"], "tabs": { "all-applications": {"fullname" : "All Applications", "shortname": "All Applications"}, "ICCIF" : {"fullname" : "Immunocytochemistry/ Immunofluorescence", "shortname":"ICC/IF"}, "IP" : {"fullname" : "Immunoprecipitation", "shortname":"IP"}, "IHCFr" : {"fullname" : "Immunohistochemistry (Frozen sections)", "shortname":"IHC-Fr"}, "FlowCyt" : {"fullname" : "Flow Cytometry", "shortname":"Flow Cyt"}, "WB" : {"fullname" : "Western blot", "shortname":"WB"}, "IHCP" : {"fullname" : "Immunohistochemistry (Formalin/PFA-fixed paraffin-embedded sections)", "shortname":"IHC-P"} }, "product-promise": { "all": "all", "testedAndGuaranteed": "tested", "guaranteed": "expected", "predicted": "predicted", "notRecommended": "not-recommended" } }, "values": { "Human": { "ICCIF-species-checked": "notRecommended", "ICCIF-species-dilution-info": "", "ICCIF-species-notes": "<p></p>", "IP-species-checked": "notRecommended", "IP-species-dilution-info": "", "IP-species-notes": "<p></p>", "IHCFr-species-checked": "notRecommended", "IHCFr-species-dilution-info": "", "IHCFr-species-notes": "<p></p>", "FlowCyt-species-checked": "notRecommended", "FlowCyt-species-dilution-info": "", "FlowCyt-species-notes": "<p></p>", "WB-species-checked": "testedAndGuaranteed", "WB-species-dilution-info": "", "WB-species-notes": "<p></p>", "IHCP-species-checked": "testedAndGuaranteed", "IHCP-species-dilution-info": "", "IHCP-species-notes": "<p></p>" }, "Mouse": { "ICCIF-species-checked": "notRecommended", "ICCIF-species-dilution-info": "", "ICCIF-species-notes": "<p></p>", "IP-species-checked": "notRecommended", "IP-species-dilution-info": "", "IP-species-notes": "<p></p>", "IHCFr-species-checked": "notRecommended", "IHCFr-species-dilution-info": "", "IHCFr-species-notes": "<p></p>", "FlowCyt-species-checked": "notRecommended", "FlowCyt-species-dilution-info": "", "FlowCyt-species-notes": "<p></p>", "WB-species-checked": "testedAndGuaranteed", "WB-species-dilution-info": "", "WB-species-notes": "<p></p>", "IHCP-species-checked": "testedAndGuaranteed", "IHCP-species-dilution-info": "", "IHCP-species-notes": "<p></p>" }, "Rat": { "ICCIF-species-checked": "notRecommended", "ICCIF-species-dilution-info": "", "ICCIF-species-notes": "<p></p>", "IP-species-checked": "notRecommended", "IP-species-dilution-info": "", "IP-species-notes": "<p></p>", "IHCFr-species-checked": "notRecommended", "IHCFr-species-dilution-info": "", "IHCFr-species-notes": "<p></p>", "FlowCyt-species-checked": "notRecommended", "FlowCyt-species-dilution-info": "", "FlowCyt-species-notes": "<p></p>", "WB-species-checked": "testedAndGuaranteed", "WB-species-dilution-info": "", "WB-species-notes": "<p></p>", "IHCP-species-checked": "testedAndGuaranteed", "IHCP-species-dilution-info": "", "IHCP-species-notes": "<p></p>" } } }

You may be interested in:

AB282862

Mouse NMDAR1 ELISA Kit

0

0 Reviews

View product

We recommend this product because it’s often used in the same experiment or related research.

We advise that you always check the datasheet to ensure it fits your experiments, or contact ourtechnical teamfor help.

Product details

ab274390 is the carrier-free version of ab274377.

Patented technology
Our RabMAb® technology is a patented hybridoma-based technology for making rabbit monoclonal antibodies. For details on our patents, please refer to RabMAb® patents.

What are the advantages of a recombinant monoclonal antibody?
This product is a recombinant monoclonal antibody, which offers several advantages including:

  • - High batch-to-batch consistency and reproducibility
  • - Improved sensitivity and specificity
  • - Long-term security of supply
  • - Animal-free batch production

For more information, read more on recombinant antibodies.

Conjugation ready
Our carrier-free antibodies are typically supplied in a PBS-only formulation, purified and free of BSA, sodium azide and glycerol. This conjugation-ready format is designed for use with fluorochromes, metal isotopes, oligonucleotides, and enzymes, which makes them ideal for antibody labelling, functional and cell-based assays, flow-based assays (e.g. mass cytometry) and Multiplex Imaging applications.

Use our conjugation kits for antibody conjugates that are ready-to-use in as little as 20 minutes with 1 minute hands-on-time and 100% antibody recovery: available for fluorescent dyes, HRP, biotin and gold.

Compatibility
This product is compatible with the Maxpar® Antibody Labeling Kit from Fluidigm, without the need for antibody preparation. Maxpar® is a trademark of Fluidigm Canada Inc.

Properties and storage information

Form
Liquid
Purification technique
Affinity purification Protein A
Storage buffer
pH: 7.2 - 7.4 Constituents: PBS
Shipped at conditions
Blue Ice
Appropriate short-term storage conditions
+4°C
Appropriate long-term storage conditions
+4°C
Storage information
Do Not Freeze

Supplementary information

This supplementary information is collated from multiple sources and compiled automatically.

NMDAR1 also known as GluN1 is a subunit of the NMDA receptor a type of ion channel protein found in the brain. This receptor weighs around 120 kDa and plays an important role in synaptic transmission and plasticity. NMDAR1 operates as part of a receptor complex that allows for calcium influx when activated. It shows high expression throughout the central nervous system primarily in neurons across the cortex and hippocampus. The receptor's function is important to certain calcium-dependent processes in the brain.
Biological function summary

NMDA receptors including the NMDAR1 subunit serve essential functions in synaptic plasticity and memory processes. As part of the receptor complex NMDAR1 contributes to the control of synaptic strength. It requires co-activation by glutamate and glycine or D-serine linking its function to excitatory neurotransmission. The receptor's capacity to modulate synaptic connections forms the basis of learning and long-term memory.

Pathways

NMDAR1 plays a critical role in the glutamatergic pathway influencing synaptic plasticity and memory function. It interacts with other proteins like PSD-95 within the postsynaptic density. NMDAR1 is also involved in the calcium signaling pathway due to its ability to facilitate calcium entry into neurons upon synaptic activity. This positions the receptor as an important modulator in pathways that control neuronal communication and plasticity.

NMDA receptor dysfunction including the NMDAR1 subunit links to neurodegenerative diseases such as Alzheimer's. The alterations in NMDAR1 function can lead to excitotoxicity contributing to neuronal damage. NMDAR1 also associates with schizophrenia where altered glutamatergic transmission has been observed. Here abnormalities in proteins like the synaptic scaffolding protein PSD-95 have also been noted to relate to NMDAR1 dysfunction in the pathophysiology of these disorders.

Product protocols

For this product, it's our understanding that no specific protocols are required. You can visit:

Target data

Component of N-methyl-D-aspartate (NMDA) receptors (NMDARs) that function as heterotetrameric, ligand-gated cation channels with high calcium permeability and voltage-dependent block by Mg(2+) (PubMed : 21376300, PubMed : 26875626, PubMed : 26919761, PubMed : 28126851, PubMed : 28228639, PubMed : 36959261, PubMed : 7679115, PubMed : 7681588, PubMed : 7685113). NMDARs participate in synaptic plasticity for learning and memory formation by contributing to the long-term potentiation (LTP) (PubMed : 26875626). Channel activation requires binding of the neurotransmitter L-glutamate to the GluN2 subunit, glycine or D-serine binding to the GluN1 subunit, plus membrane depolarization to eliminate channel inhibition by Mg(2+) (PubMed : 21376300, PubMed : 26875626, PubMed : 26919761, PubMed : 27164704, PubMed : 28095420, PubMed : 28105280, PubMed : 28126851, PubMed : 28228639, PubMed : 36959261, PubMed : 38538865, PubMed : 7679115, PubMed : 7681588, PubMed : 7685113). NMDARs mediate simultaneously the potasium efflux and the influx of calcium and sodium (By similarity). Each GluN2 or GluN3 subunit confers differential attributes to channel properties, including activation, deactivation and desensitization kinetics, pH sensitivity, Ca2(+) permeability, and binding to allosteric modulators (PubMed : 26875626, PubMed : 26919761, PubMed : 36309015, PubMed : 38598639).
See full target information GRIN1

Product promise

We are committed to supporting your work with high-quality reagents, and we're here for you every step of the way. In the unlikely event that one of our products does not perform as expected, you're protected by our Product Promise.
For full details, please see our Terms & Conditions

Associated Products

Select an associated product type
Alternative Version
Primary Antibodies

AB308429

Alexa Fluor® 647 Anti-NMDAR1 antibody [EPR23397-66] - Neuronal Marker

primary-antibodies

alexa-fluor-647-nmdar1-antibody-epr23397-66-neuronal-marker-ab308429

0

(0 reviews)

Please note: All products are 'FOR RESEARCH USE ONLY. NOT FOR USE IN DIAGNOSTIC OR THERAPEUTIC PROCEDURES'.

For licensing inquiries, please contact partnerships@abcam.com