JavaScript is disabled in your browser. Please enable JavaScript to view this website.
AB250710

Anti-NMDAR2A antibody [EPR19694] - BSA and Azide free

Be the first to review this product! Submit a review

|

(1 Publication)

Rabbit Recombinant Monoclonal NMDAR2A antibody. Carrier free. Suitable for WB and reacts with Mouse, Rat samples. Cited in 1 publication.

View Alternative Names

GluN2A, Glutamate [NMDA] receptor subunit epsilon-1, N-methyl D-aspartate receptor subtype 2A, NMDAR2A, NR2A, Grin2a

2 Images
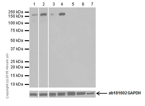
Western blot - Anti-NMDAR2A antibody [EPR19694] - BSA and Azide free (AB250710)
  • WB

Supplier Data

Western blot - Anti-NMDAR2A antibody [EPR19694] - BSA and Azide free (AB250710)

This data was developed using ab183939, the same antibody clone in a different buffer formulation.

Blocking and dilution buffer : 5% NFDM/TBST.

Exposure times : Lane 1 : 3 minutes; Lane 2 : 30 seconds; Lanes 3, 4, 5, 6 and 7 : 3 minutes.

NMDAR2A has been previously documented to be specifically expressed in neuron cells (PMID : 12127670).

All lanes:

Western blot - Anti-NMDAR2A antibody [EPR19694] (<a href='/en-us/products/primary-antibodies/nmdar2a-antibody-epr19694-ab183939'>ab183939</a>) at 1/1000 dilution

Lane 1:

Mouse hippocampus lysate at 20 µg

Lane 2:

Rat hippocampus lysate at 20 µg

Lane 3:

Mouse brain lysate at 20 µg

Lane 4:

Rat brain lysate at 20 µg

Lane 5:

Mouse heart lysate at 20 µg

Lane 6:

Rat kidney lysate at 20 µg

Lane 7:

Mouse spleen lysate at 20 µg

Secondary

All lanes:

Western blot - Goat Anti-Rabbit IgG H&L (HRP) (<a href='/en-us/products/secondary-antibodies/goat-rabbit-igg-h-l-hrp-ab97051'>ab97051</a>) at 1/100000 dilution

Predicted band size: 165 kDa

Observed band size: 165 kDa

false

Western blot - Anti-NMDAR2A antibody [EPR19694] - BSA and Azide free (AB250710)
  • WB

Supplier Data

Western blot - Anti-NMDAR2A antibody [EPR19694] - BSA and Azide free (AB250710)

This data was developed using ab183939, the same antibody clone in a different buffer formulation.

Blocking and dilution buffer : 5% NFDM/TBST.

Exposure time : Lane 1 : 1 seconds; Lane 2 : 3 minutes.

All lanes:

Western blot - Anti-NMDAR2A antibody [EPR19694] (<a href='/en-us/products/primary-antibodies/nmdar2a-antibody-epr19694-ab183939'>ab183939</a>) at 1/5000 dilution

Lane 1:

His-tagged mouse NMDAR2A recombinant protein fragment (aa aa22-326) at 0.01 µg

Lane 2:

His-tagged mouse NMDAR2B recombinant protein fragment (aa27-322) at 0.01 µg

Secondary

All lanes:

Western blot - Goat Anti-Rabbit IgG H&L (HRP) (<a href='/en-us/products/secondary-antibodies/goat-rabbit-igg-h-l-hrp-ab97051'>ab97051</a>) at 1/100000 dilution

Predicted band size: 165 kDa

Observed band size: 165 kDa

false

Key facts

Host species

Rabbit

Clonality

Monoclonal

Clone number

EPR19694

Isotype

IgG

Carrier free

Yes

Reacts with

Mouse, Rat

Applications

WB

applications

Immunogen

The exact immunogen used to generate this antibody is proprietary information.

Reactivity data

{ "title": "Reactivity Data", "filters": { "stats": ["", "Species", "Dilution Info", "Notes"], "tabs": { "all-applications": {"fullname" : "All Applications", "shortname": "All Applications"}, "WB" : {"fullname" : "Western blot", "shortname":"WB"} }, "product-promise": { "all": "all", "testedAndGuaranteed": "tested", "guaranteed": "expected", "predicted": "predicted", "notRecommended": "not-recommended" } }, "values": { "Mouse": { "WB-species-checked": "testedAndGuaranteed", "WB-species-dilution-info": "", "WB-species-notes": "<p></p>" }, "Rat": { "WB-species-checked": "testedAndGuaranteed", "WB-species-dilution-info": "", "WB-species-notes": "<p></p>" } } }

Product details

ab250710 is the carrier-free version of ab183939.

Patented technology
Our RabMAb® technology is a patented hybridoma-based technology for making rabbit monoclonal antibodies. For details on our patents, please refer to RabMAb® patents.

What are the advantages of a recombinant monoclonal antibody?
This product is a recombinant monoclonal antibody, which offers several advantages including:

  • - High batch-to-batch consistency and reproducibility
  • - Improved sensitivity and specificity
  • - Long-term security of supply
  • - Animal-free batch production

For more information, read more on recombinant antibodies.

Conjugation ready
Our carrier-free antibodies are typically supplied in a PBS-only formulation, purified and free of BSA, sodium azide and glycerol. This conjugation-ready format is designed for use with fluorochromes, metal isotopes, oligonucleotides, and enzymes, which makes them ideal for antibody labelling, functional and cell-based assays, flow-based assays (e.g. mass cytometry) and Multiplex Imaging applications.

Use our conjugation kits for antibody conjugates that are ready-to-use in as little as 20 minutes with 1 minute hands-on-time and 100% antibody recovery: available for fluorescent dyes, HRP, biotin and gold.

Compatibility
This product is compatible with the Maxpar® Antibody Labeling Kit from Fluidigm, without the need for antibody preparation. Maxpar® is a trademark of Fluidigm Canada Inc.

Properties and storage information

Form
Liquid
Purification technique
Affinity purification Protein A
Storage buffer
pH: 7.2 - 7.4 Constituents: PBS
Shipped at conditions
Blue Ice
Appropriate short-term storage conditions
+4°C
Appropriate long-term storage conditions
+4°C
Storage information
Do Not Freeze

Supplementary information

This supplementary information is collated from multiple sources and compiled automatically.

NMDAR2A also known as GRIN2A is a subunit of the N-methyl-D-aspartate (NMDA) receptor which belongs to the family of ionotropic glutamate receptors. This receptor functions as a ligand-gated ion channel and requires both glutamate and glycine for activation. NMDAR2A has a molecular mass of about 164 kDa. It plays a significant role in synaptic transmission and plasticity and is mainly expressed in the brain particularly in the cerebral cortex and hippocampus. Its expression is important for normal brain function affecting learning and memory.
Biological function summary

NMDAR2A participates in synaptic signaling by forming part of the NMDA receptor complex. As part of this complex NMDAR2A interacts with other receptor subunits such as NR1 and NR2B which together modulate calcium influx into the neuron. This influx is essential for activating downstream signaling pathways that influence synaptic strength. The receptor's activation is tightly regulated which helps to maintain the balance between synaptic excitation and inhibition in the central nervous system.

Pathways

NMDAR2A serves essential roles in the long-term potentiation (LTP) and synaptic plasticity pathways. LTP is a process that strengthens synaptic connections and is important for memory formation. NMDAR2A interacts with proteins like postsynaptic density protein 95 (PSD-95) within these pathways to mediate downstream signaling events. It is also involved in the MAPK/ERK pathway affecting cellular processes such as gene expression differentiation and survival.

NMDAR2A has been associated with epilepsy and schizophrenia. Mutations or altered expression of NMDAR2A can disrupt normal receptor function and contribute to these conditions. It shows links with other proteins such as NR2B where imbalances between different NMDA receptor subunits may exacerbate disease pathology. Understanding how NMDAR2A functions and misfunctions helps in investigating therapeutic targets for these neurological diseases.

Product protocols

For this product, it's our understanding that no specific protocols are required. You can visit:

Target data

Component of N-methyl-D-aspartate (NMDA) receptors (NMDARs) that function as heterotetrameric, ligand-gated cation channels with high calcium permeability and voltage-dependent block by Mg(2+) (PubMed : 12008020, PubMed : 1374164). NMDARs participate in synaptic plasticity for learning and memory formation by contributing to the slow phase of excitatory postsynaptic current, long-term synaptic potentiation, and learning (PubMed : 7816096, PubMed : 8987814). Channel activation requires binding of the neurotransmitter L-glutamate to the GluN2 subunit, glycine or D-serine binding to the GluN1 subunit, plus membrane depolarization to eliminate channel inhibition by Mg(2+) (PubMed : 12008020, PubMed : 1374164, PubMed : 7790891). NMDARs mediate simultaneously the potasium efflux and the influx of calcium and sodium (By similarity). Each GluN2 subunit confers differential attributes to channel properties, including activation, deactivation and desensitization kinetics, pH sensitivity, Ca2(+) permeability, and binding to allosteric modulators (PubMed : 10436042, PubMed : 12008020). Participates in the synaptic plasticity regulation through activation by the L-glutamate releaseed by BEST1, into the synaptic cleft, upon F2R/PAR-1 activation in astrocyte (PubMed : 25645137).
See full target information Grin2a

Publications (1)

Recent publications for all applications. Explore the full list and refine your search

JCI insight 5: PubMed31094704

2019

Protective role of B cells in sterile particulate-induced lung injury.

Applications

Unspecified application

Species

Unspecified reactive species

Shaikh M Atif,Douglas G Mack,Amy S McKee,Javier Rangel-Moreno,Allison K Martin,Andrew Getahun,Lisa A Maier,John C Cambier,Rubin Tuder,Andrew P Fontenot
View all publications

Product promise

We are committed to supporting your work with high-quality reagents, and we're here for you every step of the way. In the unlikely event that one of our products does not perform as expected, you're protected by our Product Promise.
For full details, please see our Terms & Conditions

Please note: All products are 'FOR RESEARCH USE ONLY. NOT FOR USE IN DIAGNOSTIC OR THERAPEUTIC PROCEDURES'.

For licensing inquiries, please contact partnerships@abcam.com