JavaScript is disabled in your browser. Please enable JavaScript to view this website.
AB28373

Anti-NMDAR2B antibody [NR2B]

3

(3 Reviews)

|

(40 Publications)

Mouse Monoclonal NMDAR2B antibody. Suitable for ICC, Flow Cyt, WB, IHC-P and reacts with Mouse, Rat, Human samples. Cited in 40 publications. Immunogen corresponding to Recombinant Fragment Protein within Rat Grin2b aa 900 to C-terminus.

View Alternative Names

GluN2B, Glutamate [NMDA] receptor subunit epsilon-2, N-methyl D-aspartate receptor subtype 2B, NMDAR2B, NR2B, Grin2b

5 Images
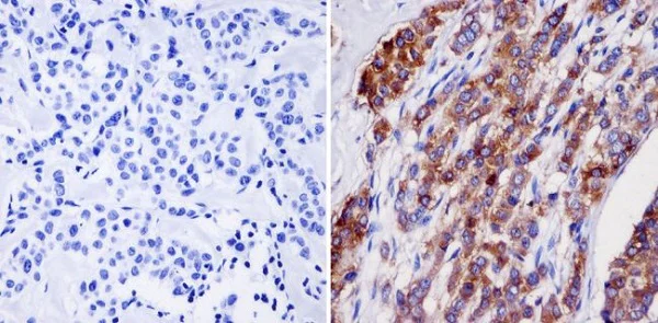
Immunohistochemistry (Formalin/PFA-fixed paraffin-embedded sections) - Anti-NMDAR2B antibody [NR2B] (AB28373)
  • IHC-P

Supplier Data

Immunohistochemistry (Formalin/PFA-fixed paraffin-embedded sections) - Anti-NMDAR2B antibody [NR2B] (AB28373)

ab28373 staining NMDAR2B in Human breast tissue sections (right) compared with negative control (left) by Immunohistochemistry (IHC-P - paraformaldehyde-fixed, paraffin-embedded sections). Tissue was fixed with paraformaldehyde and blocked with 3% H2O2-methanol for 15 minutes at room temperature; antigen retrieval was by heat mediation in a sodium citrate buffer. Samples were incubated with primary antibody (1/20) overnight at 4°C. A HRP-conjugated secondary antibody was used for detection.

Flow Cytometry - Anti-NMDAR2B antibody [NR2B] (AB28373)
  • Flow Cyt

Unknown

Flow Cytometry - Anti-NMDAR2B antibody [NR2B] (AB28373)

Overlay histogram showing SH-SY5Y cells stained with ab28373 (red line). The cells were fixed with 4% paraformaldehyde (10 min) and then permeabilized with 0.1% PBS-Tween for 20 min. The cells were then incubated in 1x PBS / 10% normal goat serum / 0.3M glycine to block non-specific protein-protein interactions followed by the antibody (ab28373, 1μg/1x106 cells) for 30 min at 22°C. The secondary antibody used was DyLight® 488 goat anti-mouse IgG (H+L) (ab96879) at 1/500 dilution for 30 min at 22°C. Isotype control antibody (black line) was mouse IgG1 [ICIGG1] (ab91353, 2μg/1x106 cells) used under the same conditions. Acquisition of >5,000 events was performed. This antibody gave a positive signal in SH-SY5Y cells fixed with 80% methanol (5 min)/permeabilized with 0.1% PBS-Tween for 20 min used under the same conditions.

Western blot - Anti-NMDAR2B antibody [NR2B] (AB28373)
  • WB

AbReview27255****

Western blot - Anti-NMDAR2B antibody [NR2B] (AB28373)

Samples were incubated with primary antibody for 12 hours at 4°C.

Blocked with 5% milk for 1 hour at 22°C.

All lanes:

Western blot - Anti-NMDAR2B antibody [NR2B] (ab28373) at 1/500 dilution

All lanes:

Rat P14 Cortex Lysate, vesicular fraction at 5 µg

Secondary

All lanes:

HRP conjugated Donkey anti-mouse IgG at 1/15000 dilution

Predicted band size: 166 kDa

true

This image is courtesy of an anonymous Abreview

Western blot - Anti-NMDAR2B antibody [NR2B] (AB28373)
  • WB

Unknown

Western blot - Anti-NMDAR2B antibody [NR2B] (AB28373)

Lanes 2 - 4:

Western blot - Anti-NMDAR2B antibody [NR2B] (ab28373) at 1/500 dilution

Lanes 5 - 7:

Western blot - Anti-NMDAR2B antibody [NR2B] (ab28373) at 1/1000 dilution

Lanes 3 and 6:

Mouse brain (50ug)

Lanes 4 and 7:

Rat brain (50ug)

Predicted band size: 166 kDa

false

Western blot - Anti-NMDAR2B antibody [NR2B] (AB28373)
  • WB

Unknown

Western blot - Anti-NMDAR2B antibody [NR2B] (AB28373)

All lanes:

Western blot - Anti-NMDAR2B antibody [NR2B] (ab28373) at 2 µg/mL

All lanes:

mouse brain tissue

Predicted band size: 166 kDa

false

Key facts

Host species

Mouse

Clonality

Monoclonal

Clone number

NR2B

Isotype

IgG1

Carrier free

No

Reacts with

Mouse, Rat, Human

Applications

WB, ICC, IHC-P, Flow Cyt

applications

Immunogen

Recombinant Fragment Protein within Rat Grin2b aa 900 to C-terminus. The exact immunogen used to generate this antibody is proprietary information.

Q00960

Specificity

Detects the N-methyl-D-aspartate (NMDA) receptor type 2B. This antibody has been tested in mouse and rat brain in western blotting. It has not been tested in human for Western blotting - only for ICC on transfected HEK cells.

Reactivity data

{ "title": "Reactivity Data", "filters": { "stats": ["", "Species", "Dilution Info", "Notes"], "tabs": { "all-applications": {"fullname" : "All Applications", "shortname": "All Applications"}, "ICC" : {"fullname" : "Immunocytochemistry", "shortname":"ICC"}, "FlowCyt" : {"fullname" : "Flow Cytometry", "shortname":"Flow Cyt"}, "WB" : {"fullname" : "Western blot", "shortname":"WB"}, "IHCP" : {"fullname" : "Immunohistochemistry (Formalin/PFA-fixed paraffin-embedded sections)", "shortname":"IHC-P"} }, "product-promise": { "all": "all", "testedAndGuaranteed": "tested", "guaranteed": "expected", "predicted": "predicted", "notRecommended": "not-recommended" } }, "values": { "Human": { "ICC-species-checked": "guaranteed", "ICC-species-dilution-info": "", "ICC-species-notes": "<p></p>", "FlowCyt-species-checked": "testedAndGuaranteed", "FlowCyt-species-dilution-info": "1-2 µg for 10^6 Cells", "FlowCyt-species-notes": "<p><a href='/en-us/products/primary-antibodies/mouse-igg1-kappa-monoclonal-15-6e10a7-isotype-control-ab170190'>ab170190</a> - Mouse monoclonal IgG1, is suitable for use as an isotype control with this antibody.</p>", "WB-species-checked": "guaranteed", "WB-species-dilution-info": "", "WB-species-notes": "", "IHCP-species-checked": "testedAndGuaranteed", "IHCP-species-dilution-info": "1/10 - 1/100", "IHCP-species-notes": "<p></p>" }, "Mouse": { "ICC-species-checked": "guaranteed", "ICC-species-dilution-info": "", "ICC-species-notes": "<p></p>", "FlowCyt-species-checked": "guaranteed", "FlowCyt-species-dilution-info": "", "FlowCyt-species-notes": "", "WB-species-checked": "testedAndGuaranteed", "WB-species-dilution-info": "2 µg/mL", "WB-species-notes": "<p></p>", "IHCP-species-checked": "guaranteed", "IHCP-species-dilution-info": "", "IHCP-species-notes": "" }, "Rat": { "ICC-species-checked": "guaranteed", "ICC-species-dilution-info": "", "ICC-species-notes": "<p></p>", "FlowCyt-species-checked": "predicted", "FlowCyt-species-dilution-info": "", "FlowCyt-species-notes": "", "WB-species-checked": "predicted", "WB-species-dilution-info": "", "WB-species-notes": "", "IHCP-species-checked": "predicted", "IHCP-species-dilution-info": "", "IHCP-species-notes": "" } } }

Properties and storage information

Form
Liquid
Purification technique
Affinity purification Protein A
Purification notes
Protein A Chromatography
Storage buffer
Preservative: 0.05% Sodium azide Constituents: PBS, 0.1% BSA
Shipped at conditions
Blue Ice
Appropriate short-term storage conditions
+4°C
Appropriate long-term storage conditions
-20°C
Aliquoting information
Upon delivery aliquot
Storage information
Avoid freeze / thaw cycle

Supplementary information

This supplementary information is collated from multiple sources and compiled automatically.

NMDAR2B also known as NR2B or GluN2B functions as a subunit of the NMDA receptor complex. It plays a role in synaptic transmission and plasticity in the central nervous system. The target weighs approximately 166 kDa. It is highly expressed in the cerebral cortex hippocampus and striatum. NMDAR2B interacts with other subunits in the NMDA receptor which assemble to form a functional ion channel that allows for calcium ion influx when activated by glutamate and glycine.
Biological function summary

The NMDAR2B subunit contributes to the regulation of synaptic strength and is essential for processes involved in learning and memory. As part of the NMDA receptor complex it mediates excitatory neurotransmission and is involved in synaptic plasticity processes such as long-term potentiation (LTP). These functions are significant for cognitive function and neural development. The receptor's role in signal transduction is aided by the unique properties conferred by the NMDAR2B subunit such as its high affinity for glycine and slower deactivation kinetics.

Pathways

NMDAR2B is involved in the glutamatergic signaling pathway which is important for neural communication. It also participates in the calcium signaling pathway affecting cellular responses to external stimuli. The protein interacts with CaMKII and PSD-95 which are proteins that influence synaptic strength and architecture through these pathways. Its involvement links it to a variety of signaling events important for brain function.

Alterations in NMDAR2B have been associated with neurodegenerative conditions such as Alzheimer's disease and neurodevelopmental disorders like schizophrenia. The protein's malfunction can lead to abnormal synaptic connectivity and excitotoxicity. It is linked to other proteins associated with these diseases such as beta-amyloid in Alzheimer's and dopamine receptor dysregulation in schizophrenia indicating its role in disease progression and symptom manifestation.

Product protocols

For this product, it's our understanding that no specific protocols are required. You can visit:

Target data

Component of N-methyl-D-aspartate (NMDA) receptors (NMDARs) that function as heterotetrameric, ligand-gated cation channels with high calcium permeability and voltage-dependent block by Mg(2+) (PubMed : 11929923, PubMed : 19910922, PubMed : 21677647, PubMed : 24607230, PubMed : 24876489, PubMed : 27135925, PubMed : 7524561). Participates in synaptic plasticity for learning and memory formation by contributing to the long-term depression (LTD) of hippocampus membrane currents (By similarity). Channel activation requires binding of the neurotransmitter L-glutamate to the GluN2 subunit, glycine or D-serine binding to the GluN1 subunit, plus membrane depolarization to eliminate channel inhibition by Mg(2+) (PubMed : 11929923, PubMed : 19910922, PubMed : 21677647, PubMed : 24607230, PubMed : 24876489, PubMed : 27135925, PubMed : 7524561). NMDARs mediate simultaneously the potasium efflux and the influx of calcium and sodium (By similarity). Each GluN2 subunit confers differential attributes to channel properties, including activation, deactivation and desensitization kinetics, pH sensitivity, Ca2(+) permeability, and binding to allosteric modulators (PubMed : 10436042, PubMed : 11929923, PubMed : 24607230, PubMed : 9463421). In concert with DAPK1 at extrasynaptic sites, acts as a central mediator for stroke damage (By similarity). Its phosphorylation at Ser-1303 by DAPK1 enhances synaptic NMDA receptor channel activity inducing injurious Ca2+ influx through them, resulting in an irreversible neuronal death (By similarity).
See full target information Grin2b

Publications (40)

Recent publications for all applications. Explore the full list and refine your search

The Journal of international medical research 52:3000605241235589 PubMed38546233

2024

Hydrogen treatment reduces electroencephalographic activity and neuronal death in rats with refractory status epilepticus by inhibiting membrane NR2B phosphorylation and oxidative stress.

Applications

Unspecified application

Species

Unspecified reactive species

Ruihua Jia,Gemin Zhu,Rui Zhao,Tian Li,Wen Jiang,Xiaoli Cui

CNS neuroscience & therapeutics 30:e14694 PubMed38532579

2024

Normobaric hyperoxia alleviates complement C3-mediated synaptic pruning and brain injury after intracerebral hemorrhage.

Applications

Unspecified application

Species

Unspecified reactive species

Moxin Wu,Kai Chen,Yasong Zhao,Min Jiang,Bing Bao,Wenmin Yu,Zhiying Chen,Xiaoping Yin

Genes, brain, and behavior 22:e12863 PubMed37575018

2023

Impaired erythropoietin-producing hepatocellular B receptors signaling in the prefrontal cortex and hippocampus following maternal immune activation in male rats.

Applications

Unspecified application

Species

Unspecified reactive species

Yiqian Shao,Yaqi Cai,Tengfei Chen,Keke Hao,Binbin Luo,Xiujuan Wang,Weiyun Guo,Xi Su,Luxian Lv,Yongfeng Yang,Wenqiang Li

PloS one 18:e0284626 PubMed37216352

2023

Round-window delivery of lithium chloride regenerates cochlear synapses damaged by noise-induced excitotoxic trauma via inhibition of the NMDA receptor in the rat.

Applications

Unspecified application

Species

Unspecified reactive species

Ji Eun Choi,Nathaniel T Carpena,Jae-Hun Lee,So-Young Chang,Min Young Lee,Jae Yun Jung,Won-Ho Chung

Frontiers in cellular neuroscience 16:981190 PubMed36187288

2022

N-Methyl D-aspartate receptor subtype 2B/Ca/calmodulin-dependent protein kinase II signaling in the lateral habenula regulates orofacial allodynia and anxiety-like behaviors in a mouse model of trigeminal neuralgia.

Applications

Unspecified application

Species

Unspecified reactive species

Zi-Fan Zhuang,Hong-Yun Wu,Ya-Yi Song,Lei Li,Xia Cui,Jie Yang,Xiang-Qing Xu,Wen-Qiang Cui

PloS one 17:e0273803 PubMed36048782

2022

Dissociable consequences of moderate and high volume stress are mediated by the differential energetic demands of stress.

Applications

Unspecified application

Species

Unspecified reactive species

Michael A Conoscenti,Nancy J Smith,Michael S Fanselow

BMC complementary medicine and therapies 22:147 PubMed35643519

2022

Gao-Zi-Yao improves learning and memory function in old spontaneous hypertensive rats.

Applications

Unspecified application

Species

Unspecified reactive species

Meng-Xiao Han,Wen-Yi Jiang,Yan Jiang,Lin-Hui Wang,Rong Xue,Guo-Xing Zhang,Jing-Wei Chen

The international journal of neuropsychopharmacology 25:498-511 PubMed35152284

2022

Butyric Acid Precursor Tributyrin Modulates Hippocampal Synaptic Plasticity and Prevents Spatial Memory Deficits: Role of PPARγ and AMPK.

Applications

Unspecified application

Species

Unspecified reactive species

Ana Belén Sanz-Martos,Jesús Fernández-Felipe,Beatriz Merino,Victoria Cano,Mariano Ruiz-Gayo,Nuria Del Olmo

Evidence-based complementary and alternative medicine : eCAM 2021:2146001 PubMed34777532

2021

Electroacupuncture Ameliorates Depression-Like Behaviour in Rats by Enhancing Synaptic Plasticity via the GluN2B/CaMKII/CREB Signalling Pathway.

Applications

Unspecified application

Species

Unspecified reactive species

Kun Zhang,Ran Liu,Jingruo Zhang,Xifang Wei,Yuan Gao,Wen Ma,Yijing Li,Wa Cai,Weidong Shen

Alzheimer's & dementia : the journal of the Alzheimer's Association 18:318-338 PubMed34057756

2021

Mitochondrial ROS control neuronal excitability and cell fate in frontotemporal dementia.

Applications

Unspecified application

Species

Unspecified reactive species

Noemí Esteras,Olga Kopach,Marta Maiolino,Vincenzo Lariccia,Salvatore Amoroso,Seema Qamar,Selina Wray,Dmitri A Rusakov,Morana Jaganjac,Andrey Y Abramov
View all publications

Product promise

We are committed to supporting your work with high-quality reagents, and we're here for you every step of the way. In the unlikely event that one of our products does not perform as expected, you're protected by our Product Promise.
For full details, please see our Terms & Conditions

Please note: All products are 'FOR RESEARCH USE ONLY. NOT FOR USE IN DIAGNOSTIC OR THERAPEUTIC PROCEDURES'.

For licensing inquiries, please contact partnerships@abcam.com