JavaScript is disabled in your browser. Please enable JavaScript to view this website.
AB93610

Anti-NMDAR2B antibody [S59]

5

(3 Reviews)

|

(31 Publications)

Anti-NMDAR2B antibody [S59] (ab93610) is a mouse monoclonal antibody detecting NMDAR2B in Western Blot, Flow Cytometry, IP, IHC-P, ICC/IF. Suitable for Human, Mouse, Rat.

- Recombinant format for unrivalled batch-batch consistency
- Over 20 publications
- Trusted since 2010

View Alternative Names

NMDAR2B, GRIN2B, GluN2B, Glutamate [NMDA] receptor subunit epsilon-2, N-methyl D-aspartate receptor subtype 2B, N-methyl-D-aspartate receptor subunit 3, NR2B, NR3, hNR3

5 Images
Flow Cytometry - Anti-NMDAR2B antibody [S59] (AB93610)
  • Flow Cyt

Unknown

Flow Cytometry - Anti-NMDAR2B antibody [S59] (AB93610)

Overlay histogram showing SH-SY5Y cells stained with ab93610 (red line). The cells were fixed with 4% paraformaldehyde (10 min) and incubated in 1x PBS / 10% normal goat serum / 0.3M glycine to block non-specific protein-protein interactions. The cells were then incubated with the antibody (ab93610, 2μg/1x106 cells) for 30 min at 22°C. The secondary antibody used was DyLight® 488 goat anti-mouse IgG (H+L) (ab96879) at 1/500 dilution for 30 min at 22°C. Isotype control antibody (black line) was mouse IgG2b [PLPV219] (ab91366, 2μg/1x106 cells) used under the same conditions. Acquisition of >5,000 events was performed. This antibody gave a positive result in 80% methanol (5 min) fixed SH-SY5Y cells used under the same conditions.

Please note that Abcam do not have any data for use of this antibody on non-fixed cells. We welcome any customer feedback

Immunocytochemistry/ Immunofluorescence - Anti-NMDAR2B antibody [S59] (AB93610)
  • ICC/IF

Supplier Data

Immunocytochemistry/ Immunofluorescence - Anti-NMDAR2B antibody [S59] (AB93610)

Immunocytochemistry/Immunofluorescence analysisi of 4% PFA fixed Human Neuroblastoma cells (SH-SY5Y) using ab93610 at 1/50 dilution. The section was incubated with ab93610 overnight at 4°C with slow rocking followed by AlexaFluor 488 secindary antibody at 1/100 dilution for 1 hour at RT (Green). Hoechst was used as nuclear stain (A) and Phalloidin-iFluor 647 (red) was used as actin counterstaining (B).

Immunohistochemistry (Formalin/PFA-fixed paraffin-embedded sections) - Anti-NMDAR2B antibody [S59] (AB93610)
  • IHC-P

Supplier Data

Immunohistochemistry (Formalin/PFA-fixed paraffin-embedded sections) - Anti-NMDAR2B antibody [S59] (AB93610)

Immunohistochemistry analysis of Bouin’s Fixed and paraffin-embedded Mouse backskin tissue using ab93610 at 1/100 dilutioon. The section was incubated with ab93610 for 1 hour at RT followed by FITC Goat Anti-Mouse secondary antibody at 1/50 dilution for 1 hour at RT (green). Positive Filaggrin-like staining and dermal staining observed with mouse backskin tissue.

Western blot - Anti-NMDAR2B antibody [S59] (AB93610)
  • WB

Supplier Data

Western blot - Anti-NMDAR2B antibody [S59] (AB93610)

Blocking buffer : 1.5% BSA for 30 minutes at RT.

All lanes:

Western blot - Anti-NMDAR2B antibody [S59] (ab93610) at 1/1000 dilution

All lanes:

Rat brain membrane lysate at 15 µg

Secondary

All lanes:

Sheep Anti-Mouse IgG: HRP for 1 hour at RT

Predicted band size: 166 kDa

false

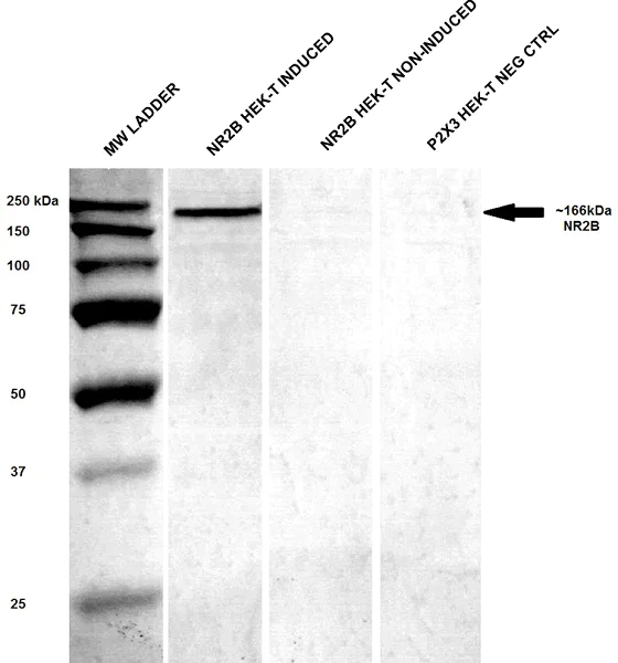
Western blot - Anti-NMDAR2B antibody [S59] (AB93610)
  • WB

Supplier Data

Western blot - Anti-NMDAR2B antibody [S59] (AB93610)

All lanes:

Western blot - Anti-NMDAR2B antibody [S59] (ab93610) at 1/250 dilution

Lane 1:

Induced HEK-T lysates

Lane 2:

Non-Induced HEK-T lysates

Lane 3:

P23X HEK-T negative control lysates

Predicted band size: 166 kDa

false

  • 578 PE

    PE Anti-NMDAR2B antibody [S59]

Key facts

Host species

Mouse

Clonality

Monoclonal

Clone number

S59

Isotype

IgG2b

Carrier free

No

Reacts with

Rat, Human, Mouse

Applications

IHC-P, WB, IP, Flow Cyt, ICC/IF

applications

Immunogen

Recombinant Fragment Protein within Rat Grin2b aa 1-300. The exact immunogen used to generate this antibody is proprietary information.

Q00960

Specificity

No cross-reactivity with NMDAR2A.

Reactivity data

{ "title": "Reactivity Data", "filters": { "stats": ["", "Species", "Dilution Info", "Notes"], "tabs": { "all-applications": {"fullname" : "All Applications", "shortname": "All Applications"}, "IP" : {"fullname" : "Immunoprecipitation", "shortname":"IP"}, "FlowCyt" : {"fullname" : "Flow Cytometry", "shortname":"Flow Cyt"}, "WB" : {"fullname" : "Western blot", "shortname":"WB"}, "IHCP" : {"fullname" : "Immunohistochemistry (Formalin/PFA-fixed paraffin-embedded sections)", "shortname":"IHC-P"}, "ICCIF" : {"fullname" : "Immunocytochemistry/ Immunofluorescence", "shortname":"ICC/IF"} }, "product-promise": { "all": "all", "testedAndGuaranteed": "tested", "guaranteed": "expected", "predicted": "predicted", "notRecommended": "not-recommended" } }, "values": { "Human": { "IP-species-checked": "guaranteed", "IP-species-dilution-info": "", "IP-species-notes": "<p></p>", "FlowCyt-species-checked": "testedAndGuaranteed", "FlowCyt-species-dilution-info": "1 µg for 10^6 Cells", "FlowCyt-species-notes": "<p><a href='/en-us/products/primary-antibodies/mouse-igg2b-kappa-monoclonal-7e10g10-isotype-control-ab170192'>ab170192</a> - Mouse monoclonal IgG2b, is suitable for use as an isotype control with this antibody.</p>", "WB-species-checked": "testedAndGuaranteed", "WB-species-dilution-info": "1-10 µg/mL", "WB-species-notes": "<p></p>", "IHCP-species-checked": "guaranteed", "IHCP-species-dilution-info": "", "IHCP-species-notes": "", "ICCIF-species-checked": "testedAndGuaranteed", "ICCIF-species-dilution-info": "", "ICCIF-species-notes": "<p></p>" }, "Mouse": { "IP-species-checked": "guaranteed", "IP-species-dilution-info": "", "IP-species-notes": "<p></p>", "FlowCyt-species-checked": "guaranteed", "FlowCyt-species-dilution-info": "", "FlowCyt-species-notes": "", "WB-species-checked": "guaranteed", "WB-species-dilution-info": "", "WB-species-notes": "", "IHCP-species-checked": "testedAndGuaranteed", "IHCP-species-dilution-info": "", "IHCP-species-notes": "<p></p>", "ICCIF-species-checked": "guaranteed", "ICCIF-species-dilution-info": "", "ICCIF-species-notes": "" }, "Rat": { "IP-species-checked": "guaranteed", "IP-species-dilution-info": "", "IP-species-notes": "<p></p>", "FlowCyt-species-checked": "guaranteed", "FlowCyt-species-dilution-info": "", "FlowCyt-species-notes": "", "WB-species-checked": "testedAndGuaranteed", "WB-species-dilution-info": "1-10 µg/mL", "WB-species-notes": "<p></p>", "IHCP-species-checked": "guaranteed", "IHCP-species-dilution-info": "", "IHCP-species-notes": "", "ICCIF-species-checked": "guaranteed", "ICCIF-species-dilution-info": "", "ICCIF-species-notes": "" }, "Dog": { "IP-species-checked": "predicted", "IP-species-dilution-info": "", "IP-species-notes": "", "FlowCyt-species-checked": "predicted", "FlowCyt-species-dilution-info": "", "FlowCyt-species-notes": "", "WB-species-checked": "predicted", "WB-species-dilution-info": "", "WB-species-notes": "", "IHCP-species-checked": "predicted", "IHCP-species-dilution-info": "", "IHCP-species-notes": "", "ICCIF-species-checked": "predicted", "ICCIF-species-dilution-info": "", "ICCIF-species-notes": "" } } }

Product details

What is this antibody validated in?
Anti-NMDAR2B antibody [S59] (ab93610) is a mouse recombinant monoclonal antibody and is validated for use in Western Blot (WB), Flow Cytometry (Flow Cyt), Immunoprecipitation (IP), Immunohistochemistry (IHC-P), Immunocytochemistry/immunofluorescence (ICC/IF) in Human, Mouse, Rat samples.

What is the molecular weight of NMDAR2B?
Anti-NMDAR2B [S59] (ab93610) specifically detects a band for NMDAR2B (UniProt: Q00960) at a molecular weight of 166kDa.

Trusted by the scientific community
Anti-NMDAR2B [S59] (ab93610) was first used in a scientific publication in 2010 and has been cited over 20 times in peer-reviewed journals.

Other related products
We have a range of other formats of antibody clone [S59] also available for your convenience: ab93610, PE - ab274365

Properties and storage information

Form
Liquid
Purification technique
Affinity purification Protein G
Storage buffer
Preservative: 0.09% Sodium azide Constituents: PBS, 50% Glycerol (glycerin, glycerine)
Shipped at conditions
Blue Ice
Appropriate short-term storage conditions
+4°C
Appropriate long-term storage conditions
-20°C
Aliquoting information
Upon delivery aliquot
Storage information
Avoid freeze / thaw cycle

Supplementary information

This supplementary information is collated from multiple sources and compiled automatically.

NMDAR2B also known as NR2B or GluN2B functions as a subunit of the NMDA receptor complex. It plays a role in synaptic transmission and plasticity in the central nervous system. The target weighs approximately 166 kDa. It is highly expressed in the cerebral cortex hippocampus and striatum. NMDAR2B interacts with other subunits in the NMDA receptor which assemble to form a functional ion channel that allows for calcium ion influx when activated by glutamate and glycine.
Biological function summary

The NMDAR2B subunit contributes to the regulation of synaptic strength and is essential for processes involved in learning and memory. As part of the NMDA receptor complex it mediates excitatory neurotransmission and is involved in synaptic plasticity processes such as long-term potentiation (LTP). These functions are significant for cognitive function and neural development. The receptor's role in signal transduction is aided by the unique properties conferred by the NMDAR2B subunit such as its high affinity for glycine and slower deactivation kinetics.

Pathways

NMDAR2B is involved in the glutamatergic signaling pathway which is important for neural communication. It also participates in the calcium signaling pathway affecting cellular responses to external stimuli. The protein interacts with CaMKII and PSD-95 which are proteins that influence synaptic strength and architecture through these pathways. Its involvement links it to a variety of signaling events important for brain function.

Alterations in NMDAR2B have been associated with neurodegenerative conditions such as Alzheimer's disease and neurodevelopmental disorders like schizophrenia. The protein's malfunction can lead to abnormal synaptic connectivity and excitotoxicity. It is linked to other proteins associated with these diseases such as beta-amyloid in Alzheimer's and dopamine receptor dysregulation in schizophrenia indicating its role in disease progression and symptom manifestation.

Product protocols

For this product, it's our understanding that no specific protocols are required. You can visit:

Target data

Component of N-methyl-D-aspartate (NMDA) receptors (NMDARs) that function as heterotetrameric, ligand-gated cation channels with high calcium permeability and voltage-dependent block by Mg(2+) (PubMed : 24272827, PubMed : 24863970, PubMed : 26875626, PubMed : 26919761, PubMed : 27839871, PubMed : 28095420, PubMed : 28126851, PubMed : 38538865, PubMed : 8768735). Participates in synaptic plasticity for learning and memory formation by contributing to the long-term depression (LTD) of hippocampus membrane currents (By similarity). Channel activation requires binding of the neurotransmitter L-glutamate to the GluN2 subunit, glycine or D-serine binding to the GluN1 subunit, plus membrane depolarization to eliminate channel inhibition by Mg(2+) (PubMed : 24272827, PubMed : 24863970, PubMed : 26875626, PubMed : 26919761, PubMed : 27839871, PubMed : 28095420, PubMed : 28126851, PubMed : 38538865, PubMed : 8768735). NMDARs mediate simultaneously the potassium efflux and the influx of calcium and sodium (By similarity). Each GluN2 subunit confers differential attributes to channel properties, including activation, deactivation and desensitization kinetics, pH sensitivity, Ca2(+) permeability, and binding to allosteric modulators (PubMed : 26875626, PubMed : 28095420, PubMed : 28126851, PubMed : 38538865, PubMed : 8768735). In concert with DAPK1 at extrasynaptic sites, acts as a central mediator for stroke damage. Its phosphorylation at Ser-1303 by DAPK1 enhances synaptic NMDA receptor channel activity inducing injurious Ca2+ influx through them, resulting in an irreversible neuronal death (By similarity).
See full target information GRIN2B

Publications (31)

Recent publications for all applications. Explore the full list and refine your search

Oncoimmunology 14:2497172 PubMed40271976

2025

Glutamate promotes CCL2 expression to recruit tumor-associated macrophages by restraining EZH2-mediated histone methylation in hepatocellular carcinoma.

Applications

Unspecified application

Species

Unspecified reactive species

Jing Chen,Hong-Wei Sun,Run-Zheng Wang,Yun-Fei Zhang,Wen-Jiao Li,Yong-Kui Wang,Hao Wang,Miao-Miao Jia,Qing-Xia Xu,Hao Zhuang,Ning Xue

Neurochemical research 50:146 PubMed40240730

2025

Prenatal Exposure To Valproic Acid Induces Increased Autism-Like Behaviors and Impairment of Learning and Memory Functions in Rat Offspring by Upregulating ADAM10 Expression.

Applications

Unspecified application

Species

Unspecified reactive species

Jingyuan Yang,Xiaoli Li,Jing Tan,Ping Zhou,Lingjun Hu,Jie Chen,Tingyu Li,Yonggang Liu,Li Chen

Cellular and molecular life sciences : CMLS 80:368 PubMed37989792

2023

STIM2 regulates NMDA receptor endocytosis that is induced by short-term NMDA receptor overactivation in cortical neurons.

Applications

Unspecified application

Species

Unspecified reactive species

Karolina Serwach,Ewa Nurowska,Marta Klukowska,Barbara Zablocka,Joanna Gruszczynska-Biegala

Cells 12: PubMed37296646

2023

Intermittent Theta Burst Stimulation Improves Motor and Behavioral Dysfunction through Modulation of NMDA Receptor Subunit Composition in Experimental Model of Parkinson's Disease.

Applications

Unspecified application

Species

Unspecified reactive species

Milica Zeljkovic Jovanovic,Jelena Stanojevic,Ivana Stevanovic,Andjela Stekic,Samuel J Bolland,Nebojsa Jasnic,Milica Ninkovic,Marina Zaric Kontic,Tihomir V Ilic,Jennifer Rodger,Nadezda Nedeljkovic,Milorad Dragic

Cells 12: PubMed37174612

2023

Cognitive Flexibility in Mice: Effects of Puberty and Role of NMDA Receptor Subunits.

Applications

Unspecified application

Species

Unspecified reactive species

Lisa Seifried,Elaheh Soleimanpour,Daniela C Dieterich,Markus Fendt

Environmental science and pollution research international 30:37427-37439 PubMed36574118

2022

The dose-dependent effect of 1.5-GHz microwave exposure on spatial memory and the NMDAR pathway in Wistar rats.

Applications

Unspecified application

Species

Unspecified reactive species

Hui Wang,Lequan Song,Li Zhao,Haoyu Wang,Xinping Xu,Ji Dong,Jing Zhang,Binwei Yao,Xuelong Zhao,Ruiyun Peng

Cell reports 41:111771 PubMed36476879

2022

NMDA receptor hypofunction underlies deficits in parvalbumin interneurons and social behavior in neuroligin 3 R451C knockin mice.

Applications

Unspecified application

Species

Unspecified reactive species

Wei Cao,Jia-Hui Li,Shen Lin,Qiang-Qiang Xia,Yong-Lan Du,Qian Yang,Ying-Zhi Ye,Ling-Hui Zeng,Xiang-Yao Li,Junyu Xu,Jian-Hong Luo

Nature communications 13:5671 PubMed36167854

2022

Rejuvenation of the aged brain immune cell landscape in mice through p16-positive senescent cell clearance.

Applications

Unspecified application

Species

Unspecified reactive species

Xu Zhang,Vesselina M Pearsall,Chase M Carver,Elizabeth J Atkinson,Benjamin D S Clarkson,Ethan M Grund,Michelle Baez-Faria,Kevin D Pavelko,Jennifer M Kachergus,Thomas A White,Renee K Johnson,Courtney S Malo,Alan M Gonzalez-Suarez,Katayoun Ayasoufi,Kurt O Johnson,Zachariah P Tritz,Cori E Fain,Roman H Khadka,Mikolaj Ogrodnik,Diana Jurk,Yi Zhu,Tamara Tchkonia,Alexander Revzin,James L Kirkland,Aaron J Johnson,Charles L Howe,E Aubrey Thompson,Nathan K LeBrasseur,Marissa J Schafer

Progress in neurobiology 216:102288 PubMed35654209

2022

Brain Dp140 alters glutamatergic transmission and social behaviour in the mdx52 mouse model of Duchenne muscular dystrophy.

Applications

Unspecified application

Species

Unspecified reactive species

Yasumasa Hashimoto,Hiroshi Kuniishi,Kazuhisa Sakai,Yuta Fukushima,Xuan Du,Kunihiko Yamashiro,Kei Hori,Michihiro Imamura,Mikio Hoshino,Mitsuhiko Yamada,Toshiyuki Araki,Hiroyuki Sakagami,Shin'ichi Takeda,Keiji Itaka,Noritaka Ichinohe,Francesco Muntoni,Masayuki Sekiguchi,Yoshitsugu Aoki

Nature communications 12:6682 PubMed34795225

2021

Repeated exposure with short-term behavioral stress resolves pre-existing stress-induced depressive-like behavior in mice.

Applications

Unspecified application

Species

Unspecified reactive species

Eun-Hwa Lee,Jin-Young Park,Hye-Jin Kwon,Pyung-Lim Han
View all publications

Product promise

We are committed to supporting your work with high-quality reagents, and we're here for you every step of the way. In the unlikely event that one of our products does not perform as expected, you're protected by our Product Promise.
For full details, please see our Terms & Conditions

Please note: All products are 'FOR RESEARCH USE ONLY. NOT FOR USE IN DIAGNOSTIC OR THERAPEUTIC PROCEDURES'.

For licensing inquiries, please contact partnerships@abcam.com