JavaScript is disabled in your browser. Please enable JavaScript to view this website.
AB215439

Anti-NMDAR2B (phospho Y1336) antibody

Be the first to review this product! Submit a review

|

(1 Publication)

Rabbit Polyclonal NMDAR2B phospho Y1336 antibody. Suitable for WB, IHC-P and reacts with Mouse, Rat samples. Cited in 1 publication. Immunogen corresponding to Synthetic Peptide within Human GRIN2B phospho Y1336 aa 1300-1400 conjugated to Keyhole Limpet Haemocyanin.

View Alternative Names

NMDAR2B, GRIN2B, GluN2B, Glutamate [NMDA] receptor subunit epsilon-2, N-methyl D-aspartate receptor subtype 2B, N-methyl-D-aspartate receptor subunit 3, NR2B, NR3, hNR3

3 Images
Immunohistochemistry (Formalin/PFA-fixed paraffin-embedded sections) - Anti-NMDAR2B (phospho Y1336) antibody (AB215439)
  • IHC-P

Supplier Data

Immunohistochemistry (Formalin/PFA-fixed paraffin-embedded sections) - Anti-NMDAR2B (phospho Y1336) antibody (AB215439)

Formalin-fixed, paraffin-embedded rat brain tissue stained for NMDAR2B (phospho Y1336) using ab215439 at 1/200 dilution in immunohistochemical analysis. The secondary antibody was Goat Anti-Rabbit IgG, Cy3 conjugated used at 1/200 dilution for 40 minutes at 37°C.

Immunohistochemistry (Formalin/PFA-fixed paraffin-embedded sections) - Anti-NMDAR2B (phospho Y1336) antibody (AB215439)
  • IHC-P

Supplier Data

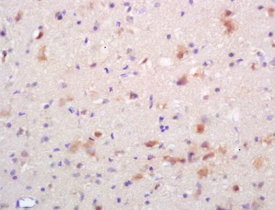
Immunohistochemistry (Formalin/PFA-fixed paraffin-embedded sections) - Anti-NMDAR2B (phospho Y1336) antibody (AB215439)

Formalin-fixed, paraffin-embedded rat brain tissue stained for NMDAR2B (phospho Y1336) using ab215439 at 1/200 dilution in immunohistochemical analysis. Detection : DAB staining.

Western blot - Anti-NMDAR2B (phospho Y1336) antibody (AB215439)
  • WB

Lab

Western blot - Anti-NMDAR2B (phospho Y1336) antibody (AB215439)

All lanes:

Western blot - Anti-NMDAR2B (phospho Y1336) antibody (ab215439) at 1/300 dilution

All lanes:

mouse cerebrum lysates

Secondary

All lanes:

Conjugated secondary antibody at 1/20000 dilution

Predicted band size: 166 kDa

false

Key facts

Host species

Rabbit

Clonality

Polyclonal

Isotype

IgG

Carrier free

No

Reacts with

Mouse, Rat

Applications

WB, IHC-P

applications

Immunogen

Synthetic Peptide within Human GRIN2B phospho Y1336 aa 1300-1400 conjugated to Keyhole Limpet Haemocyanin. The exact immunogen used to generate this antibody is proprietary information.

Q13224

Reactivity data

{ "title": "Reactivity Data", "filters": { "stats": ["", "Species", "Dilution Info", "Notes"], "tabs": { "all-applications": {"fullname" : "All Applications", "shortname": "All Applications"}, "WB" : {"fullname" : "Western blot", "shortname":"WB"}, "IHCP" : {"fullname" : "Immunohistochemistry (Formalin/PFA-fixed paraffin-embedded sections)", "shortname":"IHC-P"} }, "product-promise": { "all": "all", "testedAndGuaranteed": "tested", "guaranteed": "expected", "predicted": "predicted", "notRecommended": "not-recommended" } }, "values": { "Human": { "WB-species-checked": "predicted", "WB-species-dilution-info": "", "WB-species-notes": "", "IHCP-species-checked": "predicted", "IHCP-species-dilution-info": "", "IHCP-species-notes": "" }, "Mouse": { "WB-species-checked": "testedAndGuaranteed", "WB-species-dilution-info": "1/300", "WB-species-notes": "<p></p>", "IHCP-species-checked": "guaranteed", "IHCP-species-dilution-info": "", "IHCP-species-notes": "" }, "Rat": { "WB-species-checked": "guaranteed", "WB-species-dilution-info": "", "WB-species-notes": "", "IHCP-species-checked": "testedAndGuaranteed", "IHCP-species-dilution-info": "1/100 - 1/500", "IHCP-species-notes": "<p></p>" } } }

Properties and storage information

Form
Liquid
Purification technique
Affinity purification Protein A
Storage buffer
pH: 7.4 Preservative: 0.02% Proclin 300 Constituents: 50% Glycerol (glycerin, glycerine), 48.98% TBS, 1X, 1% BSA
Shipped at conditions
Blue Ice
Appropriate short-term storage duration
1-2 weeks
Appropriate short-term storage conditions
+4°C
Appropriate long-term storage conditions
-20°C
Aliquoting information
Upon delivery aliquot
Storage information
Avoid freeze / thaw cycle

Supplementary information

This supplementary information is collated from multiple sources and compiled automatically.

NMDAR2B also known as NR2B or GluN2B functions as a subunit of the NMDA receptor complex. It plays a role in synaptic transmission and plasticity in the central nervous system. The target weighs approximately 166 kDa. It is highly expressed in the cerebral cortex hippocampus and striatum. NMDAR2B interacts with other subunits in the NMDA receptor which assemble to form a functional ion channel that allows for calcium ion influx when activated by glutamate and glycine.
Biological function summary

The NMDAR2B subunit contributes to the regulation of synaptic strength and is essential for processes involved in learning and memory. As part of the NMDA receptor complex it mediates excitatory neurotransmission and is involved in synaptic plasticity processes such as long-term potentiation (LTP). These functions are significant for cognitive function and neural development. The receptor's role in signal transduction is aided by the unique properties conferred by the NMDAR2B subunit such as its high affinity for glycine and slower deactivation kinetics.

Pathways

NMDAR2B is involved in the glutamatergic signaling pathway which is important for neural communication. It also participates in the calcium signaling pathway affecting cellular responses to external stimuli. The protein interacts with CaMKII and PSD-95 which are proteins that influence synaptic strength and architecture through these pathways. Its involvement links it to a variety of signaling events important for brain function.

Alterations in NMDAR2B have been associated with neurodegenerative conditions such as Alzheimer's disease and neurodevelopmental disorders like schizophrenia. The protein's malfunction can lead to abnormal synaptic connectivity and excitotoxicity. It is linked to other proteins associated with these diseases such as beta-amyloid in Alzheimer's and dopamine receptor dysregulation in schizophrenia indicating its role in disease progression and symptom manifestation.

Product protocols

For this product, it's our understanding that no specific protocols are required. You can visit:

Target data

Component of N-methyl-D-aspartate (NMDA) receptors (NMDARs) that function as heterotetrameric, ligand-gated cation channels with high calcium permeability and voltage-dependent block by Mg(2+) (PubMed : 24272827, PubMed : 24863970, PubMed : 26875626, PubMed : 26919761, PubMed : 27839871, PubMed : 28095420, PubMed : 28126851, PubMed : 38538865, PubMed : 8768735). Participates in synaptic plasticity for learning and memory formation by contributing to the long-term depression (LTD) of hippocampus membrane currents (By similarity). Channel activation requires binding of the neurotransmitter L-glutamate to the GluN2 subunit, glycine or D-serine binding to the GluN1 subunit, plus membrane depolarization to eliminate channel inhibition by Mg(2+) (PubMed : 24272827, PubMed : 24863970, PubMed : 26875626, PubMed : 26919761, PubMed : 27839871, PubMed : 28095420, PubMed : 28126851, PubMed : 38538865, PubMed : 8768735). NMDARs mediate simultaneously the potasium efflux and the influx of calcium and sodium (By similarity). Each GluN2 subunit confers differential attributes to channel properties, including activation, deactivation and desensitization kinetics, pH sensitivity, Ca2(+) permeability, and binding to allosteric modulators (PubMed : 26875626, PubMed : 28095420, PubMed : 28126851, PubMed : 38538865, PubMed : 8768735). In concert with DAPK1 at extrasynaptic sites, acts as a central mediator for stroke damage. Its phosphorylation at Ser-1303 by DAPK1 enhances synaptic NMDA receptor channel activity inducing injurious Ca2+ influx through them, resulting in an irreversible neuronal death (By similarity).
See full target information GRIN2B phospho Y1336

Publications (1)

Recent publications for all applications. Explore the full list and refine your search

Journal of experimental & clinical cancer research : CR 44:112 PubMed40181456

2025

TRAF7 knockdown induces cellular senescence and synergizes with lomustine to inhibit glioma progression and recurrence.

Applications

Unspecified application

Species

Unspecified reactive species

Yu Chen,Tongyu Zhou,Rongrong Zhou,Wen Sun,Yan Li,Qiyi Zhou,Dongcheng Xu,Yuxin Zhao,Peihao Hu,Jingrui Liang,Yumeng Zhang,Bin Zhong,Juncheng Yao,Di Jing
View all publications

Product promise

We are committed to supporting your work with high-quality reagents, and we're here for you every step of the way. In the unlikely event that one of our products does not perform as expected, you're protected by our Product Promise.
For full details, please see our Terms & Conditions

Please note: All products are 'FOR RESEARCH USE ONLY. NOT FOR USE IN DIAGNOSTIC OR THERAPEUTIC PROCEDURES'.

For licensing inquiries, please contact partnerships@abcam.com