JavaScript is disabled in your browser. Please enable JavaScript to view this website.
AB131329

Anti-NME2 antibody [EPR8351]

Be the first to review this product! Submit a review

|

(4 Publications)

Rabbit Recombinant Monoclonal NME2 antibody. Suitable for IHC-P, ICC/IF, WB, Flow Cyt (Intra) and reacts with Human, Chinese hamster, Mouse, Rat samples. Cited in 4 publications.

View Alternative Names

NM23B, NME2, Nucleoside diphosphate kinase B, NDK B, NDP kinase B, C-myc purine-binding transcription factor PUF, Histidine protein kinase NDKB, nm23-H2

8 Images
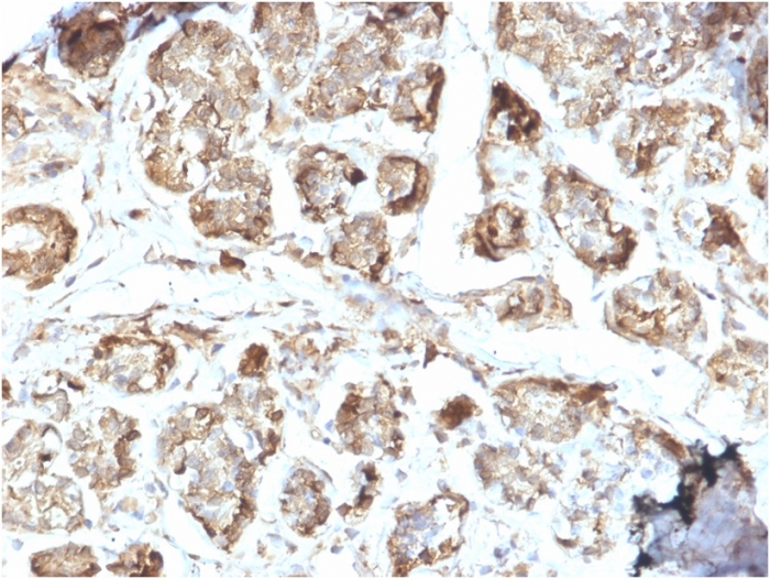
Immunohistochemistry (Formalin/PFA-fixed paraffin-embedded sections) - Anti-NME2 antibody [EPR8351] (AB131329)
  • IHC-P

Unknown

Immunohistochemistry (Formalin/PFA-fixed paraffin-embedded sections) - Anti-NME2 antibody [EPR8351] (AB131329)

Immunohistochemistry (Formalin/PFA-fixed paraffin-embedded sections) analysis of human cerebrum tissue sections labeling NME2 with purified ab131329 at 1/500 dilution (0.22 µg/mL). Heat mediated antigen retrieval using Bond™ Epitope Retrieval Solution 2 (pH 9.0) . Rabbit specific IHC polymer detection kit HRP/DAB (ab209101) was used as the secondary antibody. Negative control : PBS instead of the primary antibody. Hematoxylin was used as a counterstain.

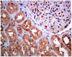
Immunohistochemistry (Formalin/PFA-fixed paraffin-embedded sections) - Anti-NME2 antibody [EPR8351] (AB131329)
  • IHC-P

Unknown

Immunohistochemistry (Formalin/PFA-fixed paraffin-embedded sections) - Anti-NME2 antibody [EPR8351] (AB131329)

Immunohistochemical analysis of paraffin-embedded Human kidney tissue labelling NME2 with unpurified ab131329 at 1/100 dilution.

Perform heat mediated antigen retrieval with citrate buffer pH 6 before commencing with IHC staining protocol.

Flow Cytometry (Intracellular) - Anti-NME2 antibody [EPR8351] (AB131329)
  • Flow Cyt (Intra)

Unknown

Flow Cytometry (Intracellular) - Anti-NME2 antibody [EPR8351] (AB131329)

Intracellular Flow Cytometry analysis of HEK-293 (Human embryonickidney epithelial cell) cells labeling NME2 with purified ab131329 at 1/20 dilution (5μg/mL) (Red). Cells were fixed with 4% Paraformaldehyde and permeabilised with 90% Methanol. A Goat anti rabbit IgG (Alexa Fluorr® 488, ab150077) secondary antibody was used at 1/2000. Isotype control - Rabbit monoclonal IgG (Black). Unlabeled control - Cell without incubation with primary antibody and secondary antibody (Blue).

Western blot - Anti-NME2 antibody [EPR8351] (AB131329)
  • WB

Unknown

Western blot - Anti-NME2 antibody [EPR8351] (AB131329)

All lanes:

Western blot - Anti-NME2 antibody [EPR8351] (ab131329) at 1/1000 dilution

Lane 1:

Mouse kidney lysate at 15 µg

Lane 2:

Rat kidney lysate at 15 µg

Lane 3:

CHO-S (Chinese hamster ovary epithelial cell) whole cell lysate at 15 µg

Secondary

All lanes:

Western blot - Goat Anti-Rabbit IgG H&L (HRP) (<a href='/en-us/products/secondary-antibodies/goat-rabbit-igg-h-l-hrp-ab97051'>ab97051</a>) at 1/20000 dilution

Predicted band size: 17 kDa

Observed band size: 17 kDa

false

Immunocytochemistry/ Immunofluorescence - Anti-NME2 antibody [EPR8351] (AB131329)
  • ICC/IF

Unknown

Immunocytochemistry/ Immunofluorescence - Anti-NME2 antibody [EPR8351] (AB131329)

Immunocytochemistry/ Immunofluorescence analysis of CHO-S (Chinese hamster ovary epithelial cell) cells labeling NME2 with purified ab131329 at 1/50 dilution (2.18 μg/ml). Cells were fixed in 4% Paraformaldehyde and permeabilized with 0.1% TritonX-100. Cells were counterstained with ab195889 Anti-alpha Tubulin antibody [DM1A] - Microtubule Marker (Alexa Fluor® 594) 1/200 (2.5 μg/mL). Goat anti rabbit IgG (Alexa Fluor® 488, ab150077) was used as the secondary antibody at 1/1000 (2 μg/mL) dilution. DAPI (blue) was used as nuclear counterstain. PBS instead of the primary antibody was used as the secondary antibody only control.

Western blot - Anti-NME2 antibody [EPR8351] (AB131329)
  • WB

Unknown

Western blot - Anti-NME2 antibody [EPR8351] (AB131329)

All lanes:

Western blot - Anti-NME2 antibody [EPR8351] (ab131329) at 1/1000 dilution

Lane 1:

LnCaP cell lysate at 10 µg

Lane 2:

PC-12 cell lysate at 10 µg

Lane 3:

CHO cell lysate at 10 µg

Lane 4:

293T cell lysate at 10 µg

Lane 5:

Human spleen lysate at 10 µg

Lane 6:

Human thyroid lysate at 10 µg

Secondary

All lanes:

Goat anti-rabbit HRP at 1/2000 dilution

Predicted band size: 17 kDa

false

Western blot - Anti-NME2 antibody [EPR8351] (AB131329)
  • WB

Unknown

Western blot - Anti-NME2 antibody [EPR8351] (AB131329)

All lanes:

Western blot - Anti-NME2 antibody [EPR8351] (ab131329) at 1/1000 dilution

Lane 1:

293T (Human embryonic kidney epithelial cell) whole cell lysate at 20 µg

Lane 2:

PC-12 (Rat adrenal gland pheochromocytoma) whole cell lysate at 20 µg

Secondary

All lanes:

Western blot - Goat Anti-Rabbit IgG H&L (HRP) (<a href='/en-us/products/secondary-antibodies/goat-rabbit-igg-h-l-hrp-ab97051'>ab97051</a>) at 1/20000 dilution

Predicted band size: 17 kDa

Observed band size: 17 kDa

false

OI-RD Scanning - Anti-NME2 antibody [EPR8351] (AB131329)
  • OI-RD Scanning

Unknown

OI-RD Scanning - Anti-NME2 antibody [EPR8351] (AB131329)

We have systematically measured KD (the equilibrium dissociation constant between the antibody and its antigen), of more than 840 recombinant antibodies to assess not only their individual KD values but also to see the average affinity of antibody. Based on the comparison with published literature values for mouse monoclonal antibodies, Recombinant antibodies appear to be on average 1-2 order of magnitude higher affinity.

Key facts

Host species

Rabbit

Clonality

Monoclonal

Clone number

EPR8351

Isotype

IgG

Carrier free

No

Reacts with

Mouse, Rat, Human, Chinese hamster

Applications

IHC-P, Flow Cyt (Intra), WB, ICC/IF

applications

Immunogen

The exact immunogen used to generate this antibody is proprietary information.

Specificity

The immunogen used to raise this antibody shares 85% homology with human NME1. Cross-reactivity with this protein has not been confirmed experimentally.

The mouse, rat and Chinese hamster recommendation is based on the WB results. We do not guarantee IHC-P for mouse, rat and Chinese hamster.

Reactivity data

{ "title": "Reactivity Data", "filters": { "stats": ["", "Species", "Dilution Info", "Notes"], "tabs": { "all-applications": {"fullname" : "All Applications", "shortname": "All Applications"}, "IHCP" : {"fullname" : "Immunohistochemistry (Formalin/PFA-fixed paraffin-embedded sections)", "shortname":"IHC-P"}, "ICCIF" : {"fullname" : "Immunocytochemistry/ Immunofluorescence", "shortname":"ICC/IF"}, "WB" : {"fullname" : "Western blot", "shortname":"WB"}, "FlowCytIntra" : {"fullname" : "Flow Cytometry (Intracellular)", "shortname":"Flow Cyt (Intra)"} }, "product-promise": { "all": "all", "testedAndGuaranteed": "tested", "guaranteed": "expected", "predicted": "predicted", "notRecommended": "not-recommended" } }, "values": { "Human": { "IHCP-species-checked": "testedAndGuaranteed", "IHCP-species-dilution-info": "1/500", "IHCP-species-notes": "<p><strong>For unpurified use at 1/100 - 1/250.</strong></p><p>The mouse, rat and Chinese hamster recommendation is based on the WB results. We do not guarantee IHC-P for mouse, rat and Chinese hamster.</p>", "ICCIF-species-checked": "guaranteed", "ICCIF-species-dilution-info": "", "ICCIF-species-notes": "", "WB-species-checked": "testedAndGuaranteed", "WB-species-dilution-info": "1/1000", "WB-species-notes": "<p><strong>For unpurified use at 1/1000 - 1/10000.</strong></p>", "FlowCytIntra-species-checked": "testedAndGuaranteed", "FlowCytIntra-species-dilution-info": "1/20", "FlowCytIntra-species-notes": "<p>For unpurified use at 1/10 - 1/100. <a href='/en-us/products/primary-antibodies/rabbit-igg-monoclonal-epr25a-isotype-control-ab172730'>ab172730</a> - Rabbit monoclonal IgG, is suitable for use as an isotype control with this antibody.</p>" }, "Mouse": { "IHCP-species-checked": "guaranteed", "IHCP-species-dilution-info": "", "IHCP-species-notes": "", "ICCIF-species-checked": "guaranteed", "ICCIF-species-dilution-info": "", "ICCIF-species-notes": "", "WB-species-checked": "testedAndGuaranteed", "WB-species-dilution-info": "1/1000", "WB-species-notes": "<p><strong>For unpurified use at 1/1000 - 1/10000.</strong></p>", "FlowCytIntra-species-checked": "guaranteed", "FlowCytIntra-species-dilution-info": "", "FlowCytIntra-species-notes": "" }, "Rat": { "IHCP-species-checked": "guaranteed", "IHCP-species-dilution-info": "", "IHCP-species-notes": "", "ICCIF-species-checked": "guaranteed", "ICCIF-species-dilution-info": "", "ICCIF-species-notes": "", "WB-species-checked": "testedAndGuaranteed", "WB-species-dilution-info": "1/1000", "WB-species-notes": "<p><strong>For unpurified use at 1/1000 - 1/10000.</strong></p>", "FlowCytIntra-species-checked": "guaranteed", "FlowCytIntra-species-dilution-info": "", "FlowCytIntra-species-notes": "" }, "Chinese hamster": { "IHCP-species-checked": "guaranteed", "IHCP-species-dilution-info": "", "IHCP-species-notes": "", "ICCIF-species-checked": "testedAndGuaranteed", "ICCIF-species-dilution-info": "", "ICCIF-species-notes": "<p></p>", "WB-species-checked": "guaranteed", "WB-species-dilution-info": "", "WB-species-notes": "", "FlowCytIntra-species-checked": "guaranteed", "FlowCytIntra-species-dilution-info": "", "FlowCytIntra-species-notes": "" } } }

Product details

Patented technology
Our RabMAb® technology is a patented hybridoma-based technology for making rabbit monoclonal antibodies. For details on our patents, please refer to RabMAb® patents.

What are the advantages of a recombinant monoclonal antibody?
This product is a recombinant monoclonal antibody, which offers several advantages including:

  • - High batch-to-batch consistency and reproducibility
  • - Improved sensitivity and specificity
  • - Long-term security of supply
  • - Animal-free batch production

For more information, read more on recombinant antibodies.

Properties and storage information

Form
Liquid
Purification technique
Affinity purification Protein A
Storage buffer
pH: 7.2 - 7.4 Preservative: 0.01% Sodium azide Constituents: PBS, 40% Glycerol (glycerin, glycerine), 0.05% BSA
Shipped at conditions
Blue Ice
Appropriate short-term storage duration
1-2 weeks
Appropriate short-term storage conditions
+4°C
Appropriate long-term storage conditions
-20°C
Aliquoting information
Upon delivery aliquot
Storage information
Avoid freeze / thaw cycle

Supplementary information

This supplementary information is collated from multiple sources and compiled automatically.

NME2 also known as NM23-H2 is a nucleoside diphosphate kinase that is involved in the synthesis of nucleoside triphosphates. With a mass of approximately 17 kDa it plays a role in the energetic metabolism of cells. NME2 is widely expressed in various tissues including the liver heart and brain. Its expression levels indicate its importance in maintaining regular cellular functions.
Biological function summary

NME2 participates in the regulation of transcription and cellular differentiation. It acts within the context of protein complexes which influence DNA-binding activities required for transcriptional control. NME2 also has roles in the regulation of cell proliferation differentiation and signaling. These activities demonstrate the protein's significance in maintaining normal physiological processes.

Pathways

NME2 is active in the MAPK/ERK signaling pathway significant in cell growth and differentiation. It interacts with other proteins like ERK2 to modulate downstream signaling cascades. This protein also features in the GTP nucleotide biosynthesis pathway where it cooperates with other kinases for nucleotide metabolism highlighting its important role in cell cycle regulation.

Mutations or altered expression of NME2 link with various cancers including breast and colon cancer. This connection emphasizes its potential role as a biomarker or therapeutic target. The protein also associates with other oncogenes like NME1 together contributing to the metastatic potential of cancer cells. NME2's involvement in chronic conditions like cancer confirms its importance in pathological states where it may influence disease progression or serve as a clinical marker.

Product protocols

For this product, it's our understanding that no specific protocols are required. You can visit:

Target data

Major role in the synthesis of nucleoside triphosphates other than ATP. The ATP gamma phosphate is transferred to the NDP beta phosphate via a ping-pong mechanism, using a phosphorylated active-site intermediate (By similarity). Negatively regulates Rho activity by interacting with AKAP13/LBC (PubMed : 15249197). Acts as a transcriptional activator of the MYC gene; binds DNA non-specifically (PubMed : 19435876, PubMed : 8392752). Binds to both single-stranded guanine- and cytosine-rich strands within the nuclease hypersensitive element (NHE) III(1) region of the MYC gene promoter. Does not bind to duplex NHE III(1) (PubMed : 19435876). Has G-quadruplex (G4) DNA-binding activity, which is independent of its nucleotide-binding and kinase activity. Binds both folded and unfolded G4 with similar low nanomolar affinities. Stabilizes folded G4s regardless of whether they are prefolded or not (PubMed : 25679041). Exhibits histidine protein kinase activity (PubMed : 20946858).
See full target information NME2

Publications (4)

Recent publications for all applications. Explore the full list and refine your search

BMC cancer 24:451 PubMed38605343

2024

Cellular senescence and metabolic reprogramming model based on bulk/single-cell RNA sequencing reveals PTGER4 as a therapeutic target for ccRCC.

Applications

Unspecified application

Species

Unspecified reactive species

Lijie Zhou,Youmiao Zeng,Yuanhao Liu,Kaixuan Du,Yongbo Luo,Yiheng Dai,Wenbang Pan,Lailai Zhang,Lei Zhang,Fengyan Tian,Chaohui Gu

International journal of molecular sciences 21: PubMed32392889

2020

The Potential Functional Roles of NME1 Histidine Kinase Activity in Neuroblastoma Pathogenesis.

Applications

Unspecified application

Species

Unspecified reactive species

Kevin Adam,Jacqueline Lesperance,Tony Hunter,Peter E Zage

Biochimica et biophysica acta 1840:2244-52 PubMed24594223

2014

Cellular nucleic acid binding protein suppresses tumor cell metastasis and induces tumor cell death by downregulating heterogeneous ribonucleoprotein K in fibrosarcoma cells.

Applications

Unspecified application

Species

Human

Jun Qiu,Siqi Chen,Lijuan Su,Jinggong Liu,Nannan Xiao,Tian-Miao Ou,Jia-Heng Tan,Lian-Quan Gu,Zhi-Shu Huang,Ding Li

Biochimica et biophysica acta 1830:4769-77 PubMed23774591

2013

Mechanistic studies for the role of cellular nucleic-acid-binding protein (CNBP) in regulation of c-myc transcription.

Applications

WB, IP

Species

Human, Human

Siqi Chen,Lijuan Su,Jun Qiu,Nannan Xiao,Jing Lin,Jia-Heng Tan,Tian-Miao Ou,Lian-Quan Gu,Zhi-Shu Huang,Ding Li
View all publications

Product promise

We are committed to supporting your work with high-quality reagents, and we're here for you every step of the way. In the unlikely event that one of our products does not perform as expected, you're protected by our Product Promise.
For full details, please see our Terms & Conditions

Please note: All products are 'FOR RESEARCH USE ONLY. NOT FOR USE IN DIAGNOSTIC OR THERAPEUTIC PROCEDURES'.

For licensing inquiries, please contact partnerships@abcam.com