JavaScript is disabled in your browser. Please enable JavaScript to view this website.
AB226140

Anti-nmt55 / p54nrb antibody [EPR5270] - BSA and Azide free

Be the first to review this product! Submit a review

|

(0 Publication)

Rabbit Recombinant Monoclonal nmt55 / p54nrb antibody. Carrier free. Suitable for IHC-P, WB, ICC/IF and reacts with Mouse, Human, Rat samples.

View Alternative Names

NRB54, NONO, Non-POU domain-containing octamer-binding protein, NonO protein, 54 kDa nuclear RNA- and DNA-binding protein, 55 kDa nuclear protein, p54(nrb), p54nrb, NMT55

8 Images
Western blot - Anti-nmt55 / p54nrb antibody [EPR5270] - BSA and Azide free (AB226140)
  • WB

Lab

Western blot - Anti-nmt55 / p54nrb antibody [EPR5270] - BSA and Azide free (AB226140)

This data was developed using the same antibody clone in a different buffer formulation (ab133574).

Lanes 1-3 : Merged signal (red and green). Green - ab133574 observed at 63 kDa. Red - loading control, ab8245 observed at 37 kDa.

ab133574 Anti-nmt55 / p54nrb antibody [EPR5270] was shown to specifically react with nmt55 / p54nrb in wild-type HEK293T cells. Loss of signal was observed when knockout cell line ab266244 (knockout cell lysate ab257160) was used. Wild-type and nmt55 / p54nrb knockout samples were subjected to SDS-PAGE. ab133574 and Anti-GAPDH antibody [6C5] - Loading Control (ab8245) were incubated overnight at 4°C at 1 in 1000 dilution and 1 in 20000 dilution respectively. Blots were developed with Goat anti-Rabbit IgG H&L (IRDye® 800CW) preadsorbed (ab216773) and Goat anti-Mouse IgG H&L (IRDye® 680RD) preadsorbed (ab216776) secondary antibodies at 1 in 10000 dilution for 1 hour at room temperature before imaging.

All lanes:

Western blot - Anti-nmt55 / p54nrb antibody [EPR5270] (<a href='/en-us/products/primary-antibodies/nmt55-p54nrb-antibody-epr5270-ab133574'>ab133574</a>) at 1/1000 dilution

Lane 1:

Wild-type HEK293T cell lysate at 20 µg

Lane 2:

Western blot - Human NONO (nmt55 / p54nrb) knockout HEK-293T cell lysate (<a href='/en-us/products/cell-lysates/human-nono-nmt55-p54nrb-knockout-hek-293t-cell-lysate-ab257160'>ab257160</a>) at 20 µg

Lane 3:

MOLT-4 cell lysate at 20 µg

Secondary

Lanes 1 - 3:

Western blot - Goat anti-Rabbit IgG H&L (IRDye® 800CW) preadsorbed (<a href='/en-us/products/secondary-antibodies/goat-rabbit-igg-h-l-irdye-800cw-preadsorbed-ab216773'>ab216773</a>)

Lanes 1 - 3:

Western blot - Goat anti-Mouse IgG H&L (IRDye® 680RD) preadsorbed (<a href='/en-us/products/secondary-antibodies/goat-mouse-igg-h-l-irdye-680rd-preadsorbed-ab216776'>ab216776</a>)

Predicted band size: 54 kDa

Observed band size: 63 kDa,37 kDa

false

Immunocytochemistry/ Immunofluorescence - Anti-nmt55 / p54nrb antibody [EPR5270] - BSA and Azide free (AB226140)
  • ICC/IF

Unknown

Immunocytochemistry/ Immunofluorescence - Anti-nmt55 / p54nrb antibody [EPR5270] - BSA and Azide free (AB226140)

Immunocytochemistry/Immunofluorescence analysis of Molt-4 (human acute lymphoblastic leukemia) cells labelling nmt55/p54nrb with purified ab133574 at 1/1500. Cells were fixed with 4% paraformaldehyde and permeabilized with 0.1% Triton X-100. ab150077, an Alexa Fluor® 488-conjugated goat anti-rabbit IgG (1/500) was used as the secondary antibody. DAPI (blue) was used as the nuclear counterstain. ab7291, a mouse anti-tubulin (1/1000) and ab150120, an Alexa Fluor® 594-conjugated goat anti-mouse IgG (1/1000) were also used.

Control 1 : primary antibody (1/100) and secondary antibody, ab150120, an Alexa Fluor® 594-conjugated goat anti-mouse IgG (1/500).

Control 2 : ab7291 (1/1000) and secondary antibody, ab150077, an Alexa Fluor® 488-conjugated goat anti-rabbit IgG (1/500).

This data was developed using the same antibody clone in a different buffer formulation containing PBS, BSA, glycerol, and sodium azide (ab133574).

Immunohistochemistry (Formalin/PFA-fixed paraffin-embedded sections) - Anti-nmt55 / p54nrb antibody [EPR5270] - BSA and Azide free (AB226140)
  • IHC-P

Unknown

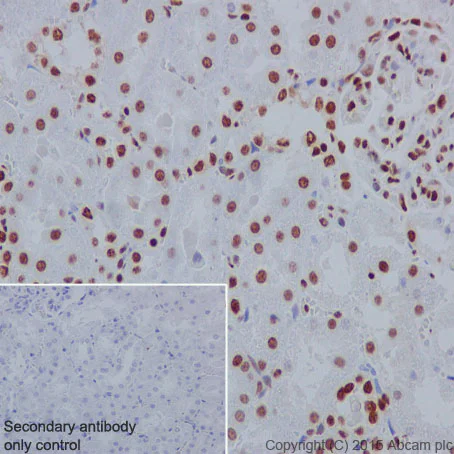
Immunohistochemistry (Formalin/PFA-fixed paraffin-embedded sections) - Anti-nmt55 / p54nrb antibody [EPR5270] - BSA and Azide free (AB226140)

Immunohistochemistry (Formalin/PFA-fixed paraffin-embedded sections) analysis of mouse liver tissue labelling nmt55/p54nrb with purified ab133574 at 1/500. Heat mediated antigen retrieval was performed using Tris/EDTA buffer pH 9. ab97051, a goat anti-rabbit IgG H&L (HRP) was used as the secondary antibody (1/500). Negative control using PBS instead of primary antibody. Counterstained with hematoxylin.This data was developed using the same antibody clone in a different buffer formulation containing PBS, BSA, glycerol, and sodium azide (ab133574).

Immunohistochemistry (Formalin/PFA-fixed paraffin-embedded sections) - Anti-nmt55 / p54nrb antibody [EPR5270] - BSA and Azide free (AB226140)
  • IHC-P

Unknown

Immunohistochemistry (Formalin/PFA-fixed paraffin-embedded sections) - Anti-nmt55 / p54nrb antibody [EPR5270] - BSA and Azide free (AB226140)

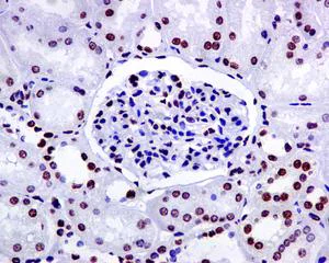
Immunohistochemical analysis of formalin-fixed, paraffin-embedded Human kidney tissue labelling nmt55 /p54nrb using unpurified ab133574 at a 1/250 dilution.

This data was developed using the same antibody clone in a different buffer formulation containing PBS, BSA, glycerol, and sodium azide (ab133574).

Perform heat mediated antigen retrieval before commencing with IHC staining protocol.

Immunohistochemistry (Formalin/PFA-fixed paraffin-embedded sections) - Anti-nmt55 / p54nrb antibody [EPR5270] - BSA and Azide free (AB226140)
  • IHC-P

Unknown

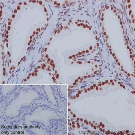
Immunohistochemistry (Formalin/PFA-fixed paraffin-embedded sections) - Anti-nmt55 / p54nrb antibody [EPR5270] - BSA and Azide free (AB226140)

Immunohistochemistry (Formalin/PFA-fixed paraffin-embedded sections) analysis of human prostate tissue labelling nmt55/p54nrb with purified ab133574 at 1/500. Heat mediated antigen retrieval was performed using Tris/EDTA buffer pH 9. ab97051, a goat anti-rabbit IgG H&L (HRP) was used as the secondary antibody (1/500). Negative control using PBS instead of primary antibody. Counterstained with hematoxylin.This data was developed using the same antibody clone in a different buffer formulation containing PBS, BSA, glycerol, and sodium azide (ab133574).

Immunohistochemistry (Formalin/PFA-fixed paraffin-embedded sections) - Anti-nmt55 / p54nrb antibody [EPR5270] - BSA and Azide free (AB226140)
  • IHC-P

Unknown

Immunohistochemistry (Formalin/PFA-fixed paraffin-embedded sections) - Anti-nmt55 / p54nrb antibody [EPR5270] - BSA and Azide free (AB226140)

Immunohistochemical analysis of formalin-fixed, paraffin-embedded Human bladder carcinoma tissue labelling nmt55 / p54nrb using unpurified ab133574 at a 1/250 dilution.

This data was developed using the same antibody clone in a different buffer formulation containing PBS, BSA, glycerol, and sodium azide (ab133574).

Perform heat mediated antigen retrieval before commencing with IHC staining protocol.

Immunohistochemistry (Formalin/PFA-fixed paraffin-embedded sections) - Anti-nmt55 / p54nrb antibody [EPR5270] - BSA and Azide free (AB226140)
  • IHC-P

Unknown

Immunohistochemistry (Formalin/PFA-fixed paraffin-embedded sections) - Anti-nmt55 / p54nrb antibody [EPR5270] - BSA and Azide free (AB226140)

Immunohistochemistry (Formalin/PFA-fixed paraffin-embedded sections) analysis of rat kidney tissue labelling nmt55/p54nrb with purified ab133574 at 1/500. Heat mediated antigen retrieval was performed using Tris/EDTA buffer pH 9. ab97051, a goat anti-rabbit IgG H&L (HRP) was used as the secondary antibody (1/500). Negative control using PBS instead of primary antibody. Counterstained with hematoxylin.This data was developed using the same antibody clone in a different buffer formulation containing PBS, BSA, glycerol, and sodium azide (ab133574).

OI-RD Scanning - Anti-nmt55 / p54nrb antibody [EPR5270] - BSA and Azide free (AB226140)
  • OI-RD Scanning

Unknown

OI-RD Scanning - Anti-nmt55 / p54nrb antibody [EPR5270] - BSA and Azide free (AB226140)

We have systematically measured KD (the equilibrium dissociation constant between the antibody and its antigen), of more than 840 recombinant antibodies to assess not only their individual KD values but also to see the average affinity of antibody. Based on the comparison with published literature values for mouse monoclonal antibodies, Recombinant antibodies appear to be on average 1-2 order of magnitude higher affinity.

Key facts

Host species

Rabbit

Clonality

Monoclonal

Clone number

EPR5270

Isotype

IgG

Carrier free

Yes

Reacts with

Mouse, Rat, Human

Applications

WB, IHC-P, ICC/IF

applications

Immunogen

The exact immunogen used to generate this antibody is proprietary information.

Reactivity data

{ "title": "Reactivity Data", "filters": { "stats": ["", "Species", "Dilution Info", "Notes"], "tabs": { "all-applications": {"fullname" : "All Applications", "shortname": "All Applications"}, "IHCP" : {"fullname" : "Immunohistochemistry (Formalin/PFA-fixed paraffin-embedded sections)", "shortname":"IHC-P"}, "WB" : {"fullname" : "Western blot", "shortname":"WB"}, "ICCIF" : {"fullname" : "Immunocytochemistry/ Immunofluorescence", "shortname":"ICC/IF"} }, "product-promise": { "all": "all", "testedAndGuaranteed": "tested", "guaranteed": "expected", "predicted": "predicted", "notRecommended": "not-recommended" } }, "values": { "Human": { "IHCP-species-checked": "testedAndGuaranteed", "IHCP-species-dilution-info": "", "IHCP-species-notes": "<p>Use a HRP/AP polymerized secondary antibody.</p> Perform heat-mediated antigen retrieval before commencing with IHC staining protocol.", "WB-species-checked": "testedAndGuaranteed", "WB-species-dilution-info": "", "WB-species-notes": "<p></p>", "ICCIF-species-checked": "testedAndGuaranteed", "ICCIF-species-dilution-info": "", "ICCIF-species-notes": "<p></p>" }, "Mouse": { "IHCP-species-checked": "testedAndGuaranteed", "IHCP-species-dilution-info": "", "IHCP-species-notes": "<p>Use a HRP/AP polymerized secondary antibody.</p> Perform heat-mediated antigen retrieval before commencing with IHC staining protocol.", "WB-species-checked": "testedAndGuaranteed", "WB-species-dilution-info": "", "WB-species-notes": "<p></p>", "ICCIF-species-checked": "guaranteed", "ICCIF-species-dilution-info": "", "ICCIF-species-notes": "" }, "Rat": { "IHCP-species-checked": "testedAndGuaranteed", "IHCP-species-dilution-info": "", "IHCP-species-notes": "<p>Use a HRP/AP polymerized secondary antibody.</p> Perform heat-mediated antigen retrieval before commencing with IHC staining protocol.", "WB-species-checked": "testedAndGuaranteed", "WB-species-dilution-info": "", "WB-species-notes": "<p></p>", "ICCIF-species-checked": "guaranteed", "ICCIF-species-dilution-info": "", "ICCIF-species-notes": "" } } }

Product details

ab226140 is the carrier-free version of ab133574.

Patented technology
Our RabMAb® technology is a patented hybridoma-based technology for making rabbit monoclonal antibodies. For details on our patents, please refer to RabMAb® patents.

What are the advantages of a recombinant monoclonal antibody?
This product is a recombinant monoclonal antibody, which offers several advantages including:

  • - High batch-to-batch consistency and reproducibility
  • - Improved sensitivity and specificity
  • - Long-term security of supply
  • - Animal-free batch production

For more information, read more on recombinant antibodies.

Conjugation ready
Our carrier-free antibodies are typically supplied in a PBS-only formulation, purified and free of BSA, sodium azide and glycerol. This conjugation-ready format is designed for use with fluorochromes, metal isotopes, oligonucleotides, and enzymes, which makes them ideal for antibody labelling, functional and cell-based assays, flow-based assays (e.g. mass cytometry) and Multiplex Imaging applications.

Use our conjugation kits for antibody conjugates that are ready-to-use in as little as 20 minutes with 1 minute hands-on-time and 100% antibody recovery: available for fluorescent dyes, HRP, biotin and gold.

Compatibility
This product is compatible with the Maxpar® Antibody Labeling Kit from Fluidigm, without the need for antibody preparation. Maxpar® is a trademark of Fluidigm Canada Inc.

Properties and storage information

Form
Liquid
Purification technique
Affinity purification Protein A
Storage buffer
pH: 7.2 - 7.4 Constituents: PBS
Shipped at conditions
Blue Ice
Appropriate short-term storage conditions
+4°C
Appropriate long-term storage conditions
+4°C
Storage information
Do Not Freeze

Supplementary information

This supplementary information is collated from multiple sources and compiled automatically.

The NMT55/p54nrb also known as the NonO protein is highly involved in various cellular processes. Mechanically it functions as a transcriptional coactivator and is involved in pre-mRNA splicing. This protein has a mass of approximately 54 kDa and is part of the Drosophila behaviour/human splicing (DBHS) protein family. It is ubiquitously expressed across different tissues with particular abundance in the nucleus showing its importance in gene regulation.
Biological function summary

P54nrb is a multifunctional protein critical in nuclear processes. It forms part of a complex involved in RNA processing and nuclear retention of edited RNA. This complex also includes the proteins PSF and PSPC1 contributing to its role in transcription regulation and RNA stability. p54nrb impacts gene expression through its ability to bind to DNA and RNA influencing numerous regulatory pathways within the cell.

Pathways

P54nrb has essential roles in gene expression and RNA maturation pathways. It closely interacts with the RNA polymerase II machinery affecting transcription elongation. The protein has an established connection with the steroid receptor RNA activator (SRA) to modulate transcriptional responses. It is related to other DBHS proteins such as PSF which work together for coordinate regulation of gene expression and splice site selection.

P54nrb has been implicated in prostate cancer and amyotrophic lateral sclerosis (ALS). In prostate cancer altered expression or function of p54nrb can affect tumorigenesis sometimes through interactions with androgen receptor signaling pathways. Additionally in ALS mutations or defects in RNA processing involving p54nrb and FUS proteins lead to neurodegenerative processes. This relationship highlights its importance in maintaining normal cellular function and its impact when dysregulated.

Product protocols

For this product, it's our understanding that no specific protocols are required. You can visit:

Target data

DNA- and RNA binding protein, involved in several nuclear processes (PubMed : 11525732, PubMed : 12403470, PubMed : 26571461). Binds the conventional octamer sequence in double-stranded DNA (PubMed : 11525732, PubMed : 12403470, PubMed : 26571461). Also binds single-stranded DNA and RNA at a site independent of the duplex site (PubMed : 11525732, PubMed : 12403470, PubMed : 26571461). Involved in pre-mRNA splicing, probably as a heterodimer with SFPQ (PubMed : 11525732, PubMed : 12403470, PubMed : 26571461). Interacts with U5 snRNA, probably by binding to a purine-rich sequence located on the 3' side of U5 snRNA stem 1b (PubMed : 12403470). Together with PSPC1, required for the formation of nuclear paraspeckles (PubMed : 22416126). The SFPQ-NONO heteromer associated with MATR3 may play a role in nuclear retention of defective RNAs (PubMed : 11525732). The SFPQ-NONO heteromer may be involved in DNA unwinding by modulating the function of topoisomerase I/TOP1 (PubMed : 10858305). The SFPQ-NONO heteromer may be involved in DNA non-homologous end joining (NHEJ) required for double-strand break repair and V(D)J recombination and may stabilize paired DNA ends (PubMed : 15590677). In vitro, the complex strongly stimulates DNA end joining, binds directly to the DNA substrates and cooperates with the Ku70/G22P1-Ku80/XRCC5 (Ku) dimer to establish a functional preligation complex (PubMed : 15590677). NONO is involved in transcriptional regulation. The SFPQ-NONO-NR5A1 complex binds to the CYP17 promoter and regulates basal and cAMP-dependent transcriptional activity (PubMed : 11897684). NONO binds to an enhancer element in long terminal repeats of endogenous intracisternal A particles (IAPs) and activates transcription (By similarity). Regulates the circadian clock by repressing the transcriptional activator activity of the CLOCK-BMAL1 heterodimer (By similarity). Important for the functional organization of GABAergic synapses (By similarity). Plays a specific and important role in the regulation of synaptic RNAs and GPHN/gephyrin scaffold structure, through the regulation of GABRA2 transcript (By similarity). Plays a key role during neuronal differentiation by recruiting TET1 to genomic loci and thereby regulating 5-hydroxymethylcytosine levels (By similarity). Plays a role in the regulation of DNA virus-mediated innate immune response by assembling into the HDP-RNP complex, a complex that serves as a platform for IRF3 phosphorylation and subsequent innate immune response activation through the cGAS-STING pathway (PubMed : 28712728, PubMed : 30270045). Promotes activation of the cGAS-STING pathway in response to HIV-2 infection : acts by interacting with HIV-2 Capsid protein p24, thereby promoting detection of viral DNA by CGAS, leading to CGAS-mediated inmmune activation (PubMed : 30270045). In contrast, the weak interaction with HIV-1 Capsid protein p24 does not allow activation of the cGAS-STING pathway (PubMed : 30270045).
See full target information NONO

Product promise

We are committed to supporting your work with high-quality reagents, and we're here for you every step of the way. In the unlikely event that one of our products does not perform as expected, you're protected by our Product Promise.
For full details, please see our Terms & Conditions

Associated Products

Select an associated product type
Alternative Product
Primary Antibodies

AB50411

Anti-nmt55 / p54nrb antibody

primary-antibodies

nmt55-p54nrb-antibody-ab50411

5

(1 reviews)

Alternative Product
Primary Antibodies

AB245464

Anti-nmt55 / p54nrb antibody

primary-antibodies

nmt55-p54nrb-antibody-ab245464

0

(0 reviews)

Alternative Product
Primary Antibodies

AB70335

Anti-nmt55 / p54nrb antibody

primary-antibodies

nmt55-p54nrb-antibody-ab70335

4

(5 reviews)

Alternative Version
Primary Antibodies

AB207375

Alexa Fluor® 647 Anti-nmt55 / p54nrb antibody [EPR5270]

primary-antibodies

alexa-fluor-647-nmt55-p54nrb-antibody-epr5270-ab207375

0

(0 reviews)

Alternative Version
Primary Antibodies

AB208404

Alexa Fluor® 488 Anti-nmt55 / p54nrb antibody [EPR5270]

primary-antibodies

alexa-fluor-488-nmt55-p54nrb-antibody-epr5270-ab208404

0

(0 reviews)

Please note: All products are 'FOR RESEARCH USE ONLY. NOT FOR USE IN DIAGNOSTIC OR THERAPEUTIC PROCEDURES'.

For licensing inquiries, please contact partnerships@abcam.com