JavaScript is disabled in your browser. Please enable JavaScript to view this website.
AB92693

Anti-NMU antibody

Be the first to review this product! Submit a review

|

(1 Publication)

Rabbit Polyclonal NMU antibody. Suitable for WB, IHC-P and reacts with Human samples. Cited in 1 publication. Immunogen corresponding to Synthetic Peptide within Human NMU.

View Alternative Names

Neuromedin-U, NMU

2 Images
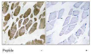
Immunohistochemistry (Formalin/PFA-fixed paraffin-embedded sections) - Anti-NMU antibody (AB92693)
  • IHC-P

Unknown

Immunohistochemistry (Formalin/PFA-fixed paraffin-embedded sections) - Anti-NMU antibody (AB92693)

ab92693, at 1/50 dilution, staining NMU in paraffin-embedded Human skeletal muscle tissue by Immunohistochemistry, in the absence (left) and presence (right) of the immunising peptide.

Western blot - Anti-NMU antibody (AB92693)
  • WB

Unknown

Western blot - Anti-NMU antibody (AB92693)

All lanes:

Western blot - Anti-NMU antibody (ab92693) at 1/500 dilution

Lane 1:

Extracts from HepG2 cells at 30 µg

Lane 2:

Extracts from HepG2 cells at 30 µg with immunising peptide

Predicted band size: 20 kDa

false

Key facts

Host species

Rabbit

Clonality

Polyclonal

Isotype

IgG

Carrier free

No

Reacts with

Human

Applications

WB, IHC-P

applications

Immunogen

Synthetic Peptide within Human NMU. The exact immunogen used to generate this antibody is proprietary information.

P48645

Reactivity data

{ "title": "Reactivity Data", "filters": { "stats": ["", "Species", "Dilution Info", "Notes"], "tabs": { "all-applications": {"fullname" : "All Applications", "shortname": "All Applications"}, "WB" : {"fullname" : "Western blot", "shortname":"WB"}, "IHCP" : {"fullname" : "Immunohistochemistry (Formalin/PFA-fixed paraffin-embedded sections)", "shortname":"IHC-P"} }, "product-promise": { "all": "all", "testedAndGuaranteed": "tested", "guaranteed": "expected", "predicted": "predicted", "notRecommended": "not-recommended" } }, "values": { "Human": { "WB-species-checked": "testedAndGuaranteed", "WB-species-dilution-info": "1/500 - 1/1000", "WB-species-notes": "<p></p>", "IHCP-species-checked": "testedAndGuaranteed", "IHCP-species-dilution-info": "1/50 - 1/100", "IHCP-species-notes": "<p></p>" } } }

Properties and storage information

Form
Liquid
Purification technique
Affinity purification Immunogen
Purification notes
ab92693 was purified from rabbit antiserum by affinity-chromatography using an epitope-specific immunogen.
Storage buffer
pH: 7.4 Preservative: 0.02% Sodium azide Constituents: PBS, 50% Glycerol (glycerin, glycerine), 0.87% Sodium chloride
Shipped at conditions
Blue Ice
Appropriate short-term storage conditions
+4°C
Appropriate long-term storage conditions
-20°C
Storage information
Stable for 12 months at -20°C

Supplementary information

This supplementary information is collated from multiple sources and compiled automatically.

Neuromedin U (NMU) is a regulatory peptide known for its role in modulating smooth muscle contraction and energy homeostasis. Alternate names include neuromedin reflecting its original discovery in the spinal cord. NMU has a molecular mass ranging between 2392 and 2583 Da depending on the variant. It is expressed predominantly in the gastrointestinal tract and central nervous system influencing various physiological processes within these tissues.
Biological function summary

NMU functions significantly within the nervous and endocrine systems. It is an important part of the larger neuromedin peptide family. NMU interacts with specific receptors NMU-R1 and NMU-R2 to mediate biological effects. Within the body NMU influences feeding behavior circadian rhythms and stress response mechanisms demonstrating its integral role in maintaining physiological balance.

Pathways

NMU integrates into hormonal and neuroendocrine signaling routes. The peptide participates in the regulation of the hypothalamic-pituitary-adrenal (HPA) axis influencing stress responses. Its action also intersects the energy metabolism pathway interacting with proteins such as ghrelin and leptin. These interactions position NMU as an important player in energy intake control and stress regulation.

NMU has implications in obesity and inflammatory diseases. Abnormally high or low levels can contribute to metabolic disorders indicating its central role in energy balance and metabolic health. NMU's connection to the HPA axis associates it with proteins like corticotropin-releasing hormone which impacts inflammatory processes. Exploring NMU's involvement could unveil new therapeutic strategies for managing these conditions.

Product protocols

For this product, it's our understanding that no specific protocols are required. You can visit:

Target data

Neuromedin-U-25. Ligand for receptors NMUR1 and NMUR2 (By similarity). Stimulates muscle contractions of specific regions of the gastrointestinal tract. In humans, NmU stimulates contractions of the ileum and urinary bladder.. Neuromedin precursor-related peptide 33. Does not function as a ligand for either NMUR1 or NMUR2. Indirectly induces prolactin release although its potency is much lower than that of neuromedin precursor-related peptide 36.. Neuromedin precursor-related peptide 36. Does not function as a ligand for either NMUR1 or NMUR2. Indirectly induces prolactin release from lactotroph cells in the pituitary gland, probably via the hypothalamic dopaminergic system.
See full target information NMU

Publications (1)

Recent publications for all applications. Explore the full list and refine your search

eLife :e02028 PubMed24842991

2014

The translational landscape of the splicing factor SRSF1 and its role in mitosis.

Applications

Unspecified application

Species

Unspecified reactive species

Magdalena M Maslon,Sara R Heras,Nicolas Bellora,Eduardo Eyras,Javier F Cáceres
View all publications

Product promise

We are committed to supporting your work with high-quality reagents, and we're here for you every step of the way. In the unlikely event that one of our products does not perform as expected, you're protected by our Product Promise.
For full details, please see our Terms & Conditions

Please note: All products are 'FOR RESEARCH USE ONLY. NOT FOR USE IN DIAGNOSTIC OR THERAPEUTIC PROCEDURES'.

For licensing inquiries, please contact partnerships@abcam.com