JavaScript is disabled in your browser. Please enable JavaScript to view this website.
AB318281

Anti-NNMT antibody [EPR29205-77] - BSA and Azide free

  • BOND RX™ Validated
  • Recombinant
  • RabMAb
  • KO Validated
  • What is this?

Be the first to review this product! Submit a review

|

(0 Publication)

Knockout Tested Rabbit Recombinant Monoclonal NNMT antibody. Carrier free. Suitable for WB, IHC-P, ICC/IF and reacts with Recombinant fragment - Human, Human samples.

View Alternative Names

Nicotinamide N-methyltransferase, NNMT

10 Images
Immunohistochemistry (Formalin/PFA-fixed paraffin-embedded sections) - Anti-NNMT antibody [EPR29205-77] - BSA and Azide free (AB318281)
  • IHC-P

Supplier Data

Immunohistochemistry (Formalin/PFA-fixed paraffin-embedded sections) - Anti-NNMT antibody [EPR29205-77] - BSA and Azide free (AB318281)

This data was developed using ab318280, the same antibody clone in a different buffer formulation.

Immunohistochemical analysis of paraffin-embedded Human cerebrum tissue labeling NNMT with ab318280 at 1/2000 (0.253 ug/ml) dilution, followed by a ready to use LeicaDS9800 (Bond™ Polymer Refine Detection).

Low expression tissue : no staining on human cerebrum. The section was incubated with ab318280 for 30 mins at room temperature.
The immunostaining was performed on a Leica Biosystems BOND® RX instrument
Incubate slides with 3% Hydrogen Peroxide for 10 mins at room temperature after secondary antibody incubation to reduce the background

Counterstained with Hematoxylin.

Secondary antibody only control : Secondary antibody is a ready to use LeicaDS9800 (Bond™ Polymer Refine Detection).

Heat mediated antigen retrieval was performed with Tris-EDTA buffer (pH 9.0, Epitope Retrieval Solution2) for 20 mins

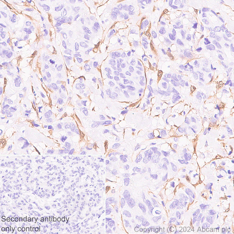
Immunohistochemistry (Formalin/PFA-fixed paraffin-embedded sections) - Anti-NNMT antibody [EPR29205-77] - BSA and Azide free (AB318281)
  • IHC-P

Supplier Data

Immunohistochemistry (Formalin/PFA-fixed paraffin-embedded sections) - Anti-NNMT antibody [EPR29205-77] - BSA and Azide free (AB318281)

This data was developed using ab318280, the same antibody clone in a different buffer formulation.

Immunohistochemical analysis of paraffin-embedded Human colon carcinoma tissue labeling NNMT with ab318280 at 1/2000 (0.253 ug/ml) dilution, followed by a ready to use LeicaDS9800 (Bond™ Polymer Refine Detection).

Positive staining on stroma of human colon carcinoma. The section was incubated with ab318280 for 30 mins at room temperature.
The immunostaining was performed on a Leica Biosystems BOND® RX instrument
Incubate slides with 3% Hydrogen Peroxide for 10 mins at room temperature after secondary antibody incubation to reduce the background

Counterstained with Hematoxylin.

Secondary antibody only control : Secondary antibody is a ready to use LeicaDS9800 (Bond™ Polymer Refine Detection).

Heat mediated antigen retrieval was performed with Tris-EDTA buffer (pH 9.0, Epitope Retrieval Solution2) for 20 mins

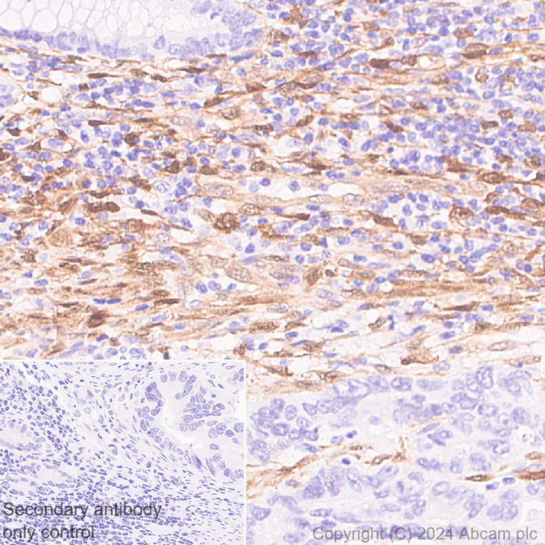
Immunohistochemistry (Formalin/PFA-fixed paraffin-embedded sections) - Anti-NNMT antibody [EPR29205-77] - BSA and Azide free (AB318281)
  • IHC-P

Supplier Data

Immunohistochemistry (Formalin/PFA-fixed paraffin-embedded sections) - Anti-NNMT antibody [EPR29205-77] - BSA and Azide free (AB318281)

This data was developed using ab318280, the same antibody clone in a different buffer formulation.

Immunohistochemical analysis of paraffin-embedded Human breast carcinoma tissue labeling NNMT with ab318280 at 1/2000 (0.253 ug/ml) dilution, followed by a ready to use LeicaDS9800 (Bond™ Polymer Refine Detection).

Positive staining on stroma of human breast carcinoma. The section was incubated with ab318280 for 30 mins at room temperature.
The immunostaining was performed on a Leica Biosystems BOND® RX instrument
Incubate slides with 3% Hydrogen Peroxide for 10 mins at room temperature after secondary antibody incubation to reduce the background

Counterstained with Hematoxylin.

Secondary antibody only control : Secondary antibody is a ready to use LeicaDS9800 (Bond™ Polymer Refine Detection).

Heat mediated antigen retrieval was performed with Tris-EDTA buffer (pH 9.0, Epitope Retrieval Solution2) for 20 mins

Immunohistochemistry (Formalin/PFA-fixed paraffin-embedded sections) - Anti-NNMT antibody [EPR29205-77] - BSA and Azide free (AB318281)
  • IHC-P

Supplier Data

Immunohistochemistry (Formalin/PFA-fixed paraffin-embedded sections) - Anti-NNMT antibody [EPR29205-77] - BSA and Azide free (AB318281)

This data was developed using ab318280, the same antibody clone in a different buffer formulation.

Immunohistochemical analysis of paraffin-embedded Human liver tissue labeling NNMT with ab318280 at 1/2000 (0.253 ug/ml) dilution, followed by a ready to use LeicaDS9800 (Bond™ Polymer Refine Detection).

Positive staining on human liver. The section was incubated with ab318280 for 30 mins at room temperature.
The immunostaining was performed on a Leica Biosystems BOND® RX instrument
Incubate slides with 3% Hydrogen Peroxide for 10 mins at room temperature after secondary antibody incubation to reduce the background

Counterstained with Hematoxylin.

Secondary antibody only control : Secondary antibody is a ready to use LeicaDS9800 (Bond™ Polymer Refine Detection).

Heat mediated antigen retrieval was performed with Tris-EDTA buffer (pH 9.0, Epitope Retrieval Solution2) for 20 mins

Immunocytochemistry/ Immunofluorescence - Anti-NNMT antibody [EPR29205-77] - BSA and Azide free (AB318281)
  • ICC/IF

Supplier Data

Immunocytochemistry/ Immunofluorescence - Anti-NNMT antibody [EPR29205-77] - BSA and Azide free (AB318281)

This data was developed using ab318280, the same antibody clone in a different buffer formulation.

Immunofluorescent analysis of 4% Paraformaldehyde-fixed, 0.1% TritonX-100 permeabilized HeLa (human cervical adenocarcinoma epithelial cell) cells labelling NNMT with ab318280 at 1/500 (1.01 ug/ml) dilution, followed by ab150081 Goat Anti-Rabbit IgG H&L (Alexa Fluor® 488) preadsorbed antibody at 1/1000 2 ug/ml dilution (Green).

Confocal image showing nuclear and cytoplasmic staining in parental HeLa cell line (shown in green) and negative staining in NNMT KO HeLa cell line. The counterstain was observed in magenta. Nuclear DNA was labelled with DAPI (shown in blue). Image was taken with a confocal microscope (Leica-Microsystems, TCS SP8).

ab195889 Anti-alpha Tubulin mouse monoclonal antibody - Microtubule Marker (Alexa Fluor® 594) was used to counterstain tubulin at 1/200 2.5ug/ml dilution (Magenta). The Nuclear counterstain was DAPI (Blue).

Secondary antibody only control : Secondary antibody is ab150081 Goat Anti-Rabbit IgG H&L (Alexa Fluor® 488) preadsorbed at 1/1000 2 ug/ml dilution.

Immunohistochemistry (Formalin/PFA-fixed paraffin-embedded sections) - Anti-NNMT antibody [EPR29205-77] - BSA and Azide free (AB318281)
  • IHC-P

Supplier Data

Immunohistochemistry (Formalin/PFA-fixed paraffin-embedded sections) - Anti-NNMT antibody [EPR29205-77] - BSA and Azide free (AB318281)

This data was developed using ab318280, the same antibody clone in a different buffer formulation.

Immunohistochemical analysis of paraffin-embedded A Wild-type Hela (Human cervix adenocarcinoma) cell pellet B Human NNMT knockout Hela cell pellet tissue labeling NNMT with ab318280 at 1/1000 (0.505 ug/ml) dilution, followed by a ready to use LeicaDS9800 (Bond™ Polymer Refine Detection).

Positive staining on (A) wild-type Hela cell pellet, no staining on (B) human NNMT knockout Hela cell pellet. The section was incubated with ab318280 for 30 mins at room temperature.
The immunostaining was performed on a Leica Biosystems BOND® RX instrument

Counterstained with Hematoxylin.

Secondary antibody only control : Secondary antibody is a ready to use LeicaDS9800 (Bond™ Polymer Refine Detection).

Heat mediated antigen retrieval was performed with Tris-EDTA buffer (pH 9.0, Epitope Retrieval Solution2) for 20 mins

Western blot - Anti-NNMT antibody [EPR29205-77] - BSA and Azide free (AB318281)
  • WB

Supplier Data

Western blot - Anti-NNMT antibody [EPR29205-77] - BSA and Azide free (AB318281)

This data was developed using ab318280, the same antibody clone in a different buffer formulation.

The samples were run on a Bis-Tris gel under reducing conditions.

Western blot : Anti-NNMT antibody (ab318280) staining at 1/1000 dilution, shown in green; Mouse anti-GAPDH antibody [6C5] (ab8245) loading control staining at 1/20000 dilution, shown in magenta.

In Western blot, ab318280 was shown to bind specifically to NNMT. Target of interest was observed at 29 kDa in wild-type HeLa cell lysates (lane 1) with no signal observed at this size in NNMT knockout cell line (lane 2, knockout cell line ab265700 / knockout cell lysate ab258537). To generate this image, samples were first run on an SDS-PAGE gel then transferred onto an immobilon-FL PVDF membrane. Membranes were blocked in a fluorescent western blot (TBS-based) blocking solution before incubation with primary antibodies overnight at 4 °C. Blots were washed in TBS-T, incubated with secondary antibodies Goat anti-Rabbit IgG H&L 800CW and Goat anti-Mouse IgG H&L 680RD at 1/20000 dilution for 1 h at room temperature, washed again then imaged.

Negative control : MCF7 (PMID : 24558488).

All lanes:

Western blot - Anti-NNMT antibody [EPR29205-77] (<a href='/en-us/products/primary-antibodies/nnmt-antibody-epr29205-77-ab318280'>ab318280</a>) at 1/1000 dilution

Lane 1:

Wild-type HeLa (human cervical adenocarcinoma epithelial cell) whole cell lysate at 20 µg with Intercept® (TBS) Blocking Buffer diluted with an equal volume of 0.1% TBST

Lane 2:

NNMT knockout HeLa whole cell lysate at 20 µg with Intercept® (TBS) Blocking Buffer diluted with an equal volume of 0.1% TBST

Lane 3:

786-O (human kidney epithelial cell) whole cell lysate at 20 µg with Intercept® (TBS) Blocking Buffer diluted with an equal volume of 0.1% TBST

Lane 4:

MCF7 (human breast adenocarcinoma epithelial cell) whole cell lysate at 20 µg with Intercept® (TBS) Blocking Buffer diluted with an equal volume of 0.1% TBST

Secondary

All lanes:

Goat Anti-Rabbit IgG H&L (800CW) and Goat Anti-Mouse IgG H&L (680RD) at 1/20000 dilution

Observed band size: 29 kDa

false

Western blot - Anti-NNMT antibody [EPR29205-77] - BSA and Azide free (AB318281)
  • WB

Supplier Data

Western blot - Anti-NNMT antibody [EPR29205-77] - BSA and Azide free (AB318281)

This data was developed using ab318280, the same antibody clone in a different buffer formulation.

Negative control : cerebellum, skeletal muscle (PMID : 8182091).

In Western blot, Anti-GAPDH antibody [EPR16891] - Loading Control (ab181602) staining at 1/200000 dilution.

All lanes:

Western blot - Anti-NNMT antibody [EPR29205-77] (<a href='/en-us/products/primary-antibodies/nnmt-antibody-epr29205-77-ab318280'>ab318280</a>) at 1/1000 dilution

Lane 1:

Human liver tissue lysate at 20 µg with NFDM/TBST

Lane 2:

Human cerebellum tissue lysate at 20 µg with NFDM/TBST

Lane 3:

Human skeletal muscle tissue lysate at 20 µg with NFDM/TBST

Secondary

All lanes:

Goat Anti-Rabbit IgG (HRP) with minimal cross-reactivity with human IgG at 1/2000 dilution

Observed band size: 29 kDa,36 kDa

false

Exposure time: 6s

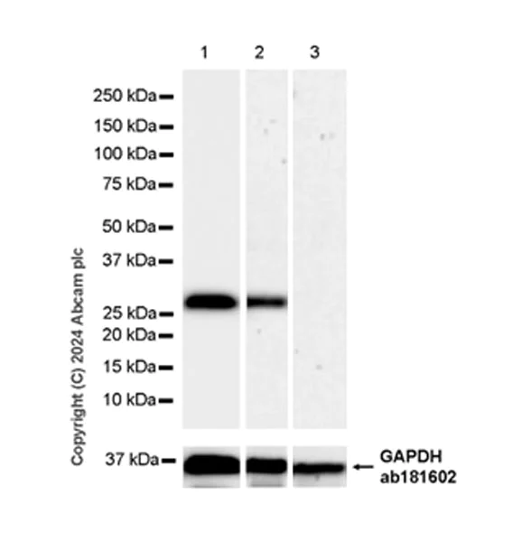
Western blot - Anti-NNMT antibody [EPR29205-77] - BSA and Azide free (AB318281)
  • WB

Supplier Data

Western blot - Anti-NNMT antibody [EPR29205-77] - BSA and Azide free (AB318281)

This data was developed using ab318280, the same antibody clone in a different buffer formulation.

Negative control : PANC-1.

In Western blot, Anti-GAPDH antibody [EPR16891] - Loading Control (ab181602) staining at 1/200000 dilution.

All lanes:

Western blot - Anti-NNMT antibody [EPR29205-77] (<a href='/en-us/products/primary-antibodies/nnmt-antibody-epr29205-77-ab318280'>ab318280</a>) at 1/1000 dilution

Lane 1:

HUVEC (human umbilical vein endothelial cell) whole cell lysate at 20 µg with NFDM/TBST

Lane 2:

A549 (human lung carcinoma epithelial cell) whole cell lysate at 20 µg with NFDM/TBST

Lane 3:

PANC-1 (human pancreatic epithelioid carcinoma epithelial cell) whole cell lysate at 20 µg with NFDM/TBST

Secondary

All lanes:

Western blot - Goat Anti-Rabbit IgG H&L (HRP) (<a href='/en-us/products/secondary-antibodies/goat-rabbit-igg-h-l-hrp-ab97051'>ab97051</a>) at 1/20000 dilution

Observed band size: 29 kDa,36 kDa

false

Exposure time: 6s

Western blot - Anti-NNMT antibody [EPR29205-77] - BSA and Azide free (AB318281)
  • WB

Supplier Data

Western blot - Anti-NNMT antibody [EPR29205-77] - BSA and Azide free (AB318281)

This data was developed using ab318280, the same antibody clone in a different buffer formulation.

This antibody does not cross-react with human INMT.

In Western blot, Anti-6X His tag® antibody [EPR20547] - ChIP Grade (ab213204) staining at 1/5000 dilution.

All lanes:

Western blot - Anti-NNMT antibody [EPR29205-77] (<a href='/en-us/products/primary-antibodies/nnmt-antibody-epr29205-77-ab318280'>ab318280</a>) at 1/1000 dilution

Lane 1:

His-tagged human NNMT recombinant protein at 10 ng with NFDM/TBST

Lane 2:

His-tagged human INMT recombinant protein at 10 ng with NFDM/TBST

Secondary

All lanes:

Western blot - Goat Anti-Rabbit IgG H&L (HRP) (<a href='/en-us/products/secondary-antibodies/goat-rabbit-igg-h-l-hrp-ab97051'>ab97051</a>) at 1/20000 dilution

Observed band size: 29 kDa

false

Exposure time: 10s

Key facts

Host species

Rabbit

Clonality

Monoclonal

Clone number

EPR29205-77

Isotype

IgG

Carrier free

Yes

Reacts with

Human

Applications

ICC/IF, WB, IHC-P

applications

Immunogen

The exact immunogen used to generate this antibody is proprietary information.

Reactivity data

{ "title": "Reactivity Data", "filters": { "stats": ["", "Species", "Dilution Info", "Notes"], "tabs": { "all-applications": {"fullname" : "All Applications", "shortname": "All Applications"}, "WB" : {"fullname" : "Western blot", "shortname":"WB"}, "IHCP" : {"fullname" : "Immunohistochemistry (Formalin/PFA-fixed paraffin-embedded sections)", "shortname":"IHC-P"}, "ICCIF" : {"fullname" : "Immunocytochemistry/ Immunofluorescence", "shortname":"ICC/IF"}, "FlowCytIntra" : {"fullname" : "Flow Cytometry (Intracellular)", "shortname":"Flow Cyt (Intra)"} }, "product-promise": { "all": "all", "testedAndGuaranteed": "tested", "guaranteed": "expected", "predicted": "predicted", "notRecommended": "not-recommended" } }, "values": { "Human": { "WB-species-checked": "testedAndGuaranteed", "WB-species-dilution-info": "", "WB-species-notes": "<p></p>", "IHCP-species-checked": "testedAndGuaranteed", "IHCP-species-dilution-info": "", "IHCP-species-notes": "<p></p>", "ICCIF-species-checked": "testedAndGuaranteed", "ICCIF-species-dilution-info": "", "ICCIF-species-notes": "<p></p>", "FlowCytIntra-species-checked": "notRecommended", "FlowCytIntra-species-dilution-info": "", "FlowCytIntra-species-notes": "<p></p>" }, "Mouse": { "WB-species-checked": "notRecommended", "WB-species-dilution-info": "", "WB-species-notes": "<p></p>", "IHCP-species-checked": "notRecommended", "IHCP-species-dilution-info": "", "IHCP-species-notes": "<p></p>", "ICCIF-species-checked": "notRecommended", "ICCIF-species-dilution-info": "", "ICCIF-species-notes": "<p></p>", "FlowCytIntra-species-checked": "notRecommended", "FlowCytIntra-species-dilution-info": "", "FlowCytIntra-species-notes": "" }, "Rat": { "WB-species-checked": "notRecommended", "WB-species-dilution-info": "", "WB-species-notes": "<p></p>", "IHCP-species-checked": "notRecommended", "IHCP-species-dilution-info": "", "IHCP-species-notes": "<p></p>", "ICCIF-species-checked": "notRecommended", "ICCIF-species-dilution-info": "", "ICCIF-species-notes": "", "FlowCytIntra-species-checked": "notRecommended", "FlowCytIntra-species-dilution-info": "", "FlowCytIntra-species-notes": "" }, "Recombinant fragment - Human": { "WB-species-checked": "testedAndGuaranteed", "WB-species-dilution-info": "", "WB-species-notes": "<p></p>", "IHCP-species-checked": "notRecommended", "IHCP-species-dilution-info": "", "IHCP-species-notes": "", "ICCIF-species-checked": "notRecommended", "ICCIF-species-dilution-info": "", "ICCIF-species-notes": "", "FlowCytIntra-species-checked": "notRecommended", "FlowCytIntra-species-dilution-info": "", "FlowCytIntra-species-notes": "" } } }

Product details

ab318281 is the carrier-free version of ab318280.

Patented technology
Our RabMAb® technology is a patented hybridoma-based technology for making rabbit monoclonal antibodies. For details on our patents, please refer to RabMAb® patents.

What are the advantages of a recombinant monoclonal antibody?
This product is a recombinant monoclonal antibody, which offers several advantages including:

  • - High batch-to-batch consistency and reproducibility
  • - Improved sensitivity and specificity
  • - Long-term security of supply
  • - Animal-free batch production

For more information, read more on recombinant antibodies.

Conjugation ready
Our carrier-free antibodies are typically supplied in a PBS-only formulation, purified and free of BSA, sodium azide and glycerol. This conjugation-ready format is designed for use with fluorochromes, metal isotopes, oligonucleotides, and enzymes, which makes them ideal for antibody labelling, functional and cell-based assays, flow-based assays (e.g. mass cytometry) and Multiplex Imaging applications.

Use our conjugation kits for antibody conjugates that are ready-to-use in as little as 20 minutes with 1 minute hands-on-time and 100% antibody recovery: available for fluorescent dyes, HRP, biotin and gold.

Compatibility
This product is compatible with the Maxpar® Antibody Labeling Kit from Fluidigm, without the need for antibody preparation. Maxpar® is a trademark of Fluidigm Canada Inc.

Properties and storage information

Form
Liquid
Purification technique
Affinity purification Protein A
Storage buffer
pH: 7.2 - 7.4 Constituents: PBS
Shipped at conditions
Blue Ice
Appropriate short-term storage conditions
+4°C
Appropriate long-term storage conditions
+4°C

Supplementary information

This supplementary information is collated from multiple sources and compiled automatically.

The NNMT protein also known as Nicotinamide N-methyltransferase acts by catalyzing the methylation of nicotinamide using S-adenosylmethionine as a methyl donor. This enzyme has a mass of around 29 kDa and is expressed in various tissues including liver adipose tissue and certain cancer cells. The NNMT gene provides instructions for creating the protein that plays significant roles in metabolic processes and cellular homeostasis.
Biological function summary

NNMT impacts cell energy balance and gene expression regulation by influencing the levels of nicotinamide and methionine metabolites. This enzyme does not typically form part of a complex acting more so as an individual regulator of methylation reactions affecting cellular metabolism. Researchers find interest in NNMT for its role in modulating cellular growth and proliferation forming a link to both normal cellular functions and pathological conditions like cancer.

Pathways

NNMT has a significance in NAD+ metabolism and methionine salvage pathways. These pathways are essential in maintaining redox homeostasis and proper methylation status in cells. NNMT through its enzymatic activity interacts with SAM (S-adenosyl methionine) closely relating its function to methylation processes that involve other proteins such as SIRTs (Sirtuins) and NAMPT (Nicotinamide phosphoribosyltransferase) within these metabolic pathways.

NNMT shows relevance in cancer and obesity-related complications. The protein's upregulation in cancer types like breast and colorectal cancers links it to tumor development and progression. In obesity NNMT's involvement in adipose tissue might contribute to metabolic dysregulation. The enzyme also interconnects with proteins like insulin receptors and adiponectin highlighting its potential role in metabolic diseases and making it an interesting target for therapeutic interventions.

Product protocols

For this product, it's our understanding that no specific protocols are required. You can visit:

Target data

Catalyzes the N-methylation of nicotinamide using the universal methyl donor S-adenosyl-L-methionine to form N1-methylnicotinamide and S-adenosyl-L-homocysteine, a predominant nicotinamide/vitamin B3 clearance pathway (PubMed : 21823666, PubMed : 23455543, PubMed : 8182091). Plays a central role in regulating cellular methylation potential, by consuming S-adenosyl-L-methionine and limiting its availability for other methyltransferases. Actively mediates genome-wide epigenetic and transcriptional changes through hypomethylation of repressive chromatin marks, such as H3K27me3 (PubMed : 23455543, PubMed : 26571212, PubMed : 31043742). In a developmental context, contributes to low levels of the repressive histone marks that characterize pluripotent embryonic stem cell pre-implantation state (PubMed : 26571212). Acts as a metabolic regulator primarily on white adipose tissue energy expenditure as well as hepatic gluconeogenesis and cholesterol biosynthesis. In white adipocytes, regulates polyamine flux by consuming S-adenosyl-L-methionine which provides for propylamine group in polyamine biosynthesis, whereas by consuming nicotinamide controls NAD(+) levels through the salvage pathway (By similarity). Via its product N1-methylnicotinamide regulates protein acetylation in hepatocytes, by repressing the ubiquitination and increasing the stability of SIRT1 deacetylase (By similarity). Can also N-methylate other pyridines structurally related to nicotinamide and play a role in xenobiotic detoxification (PubMed : 30044909).
See full target information Nicotinamide N-methyltransferase

Product promise

We are committed to supporting your work with high-quality reagents, and we're here for you every step of the way. In the unlikely event that one of our products does not perform as expected, you're protected by our Product Promise.
For full details, please see our Terms & Conditions

Please note: All products are 'FOR RESEARCH USE ONLY. NOT FOR USE IN DIAGNOSTIC OR THERAPEUTIC PROCEDURES'.

For licensing inquiries, please contact partnerships@abcam.com