JavaScript is disabled in your browser. Please enable JavaScript to view this website.
AB119758

Anti-NNMT antibody [OTI3D8]

5

(3 Reviews)

|

(24 Publications)

Anti-NNMT antibody [OTI3D8] (ab119758) is a mouse monoclonal antibody detecting NNMT in Western Blot, Flow Cytometry (Intra), Flow Cytometry, IHC-P, ICC/IF. Suitable for Human, Mouse,.

- KO validated for confirmed specificity
- Over 10 publications

View Alternative Names

Nicotinamide N-methyltransferase, NNMT

11 Images
Western blot - Anti-NNMT antibody [OTI3D8] (AB119758)
  • WB

Lab

Western blot - Anti-NNMT antibody [OTI3D8] (AB119758)

Lanes 1-3 : Merged signal (red and green). Green - ab119758 observed at 30 kDa. Red - loading control ab181602 observed at 36 kDa.

ab119758 Anti-NNMT antibody [OTI3D8] was shown to specifically react with NNMT in wild-type HeLa cells. Loss of signal was observed when knockout cell line ab265700 (knockout cell lysate ab258537) was used. Wild-type and NNMT knockout samples were subjected to SDS-PAGE. ab119758 and Anti-GAPDH antibody[EPR16891] - Loading Control (ab181602) were incubated at room temperature for 2.5 hours at 1 in 500 dilution and 1 in 20000 dilution respectively. Blots were developed with Goat anti-Rabbit IgG H&L (IRDye® 680RD) preadsorbed (ab216777) and Goat anti-Mouse IgG H&L (IRDye® 800CW) preadsorbed (ab216772) secondary antibodies at 1 in 20000 dilution for 1 hour at room temperature before imaging.

All lanes:

Western blot - Anti-NNMT antibody [OTI3D8] (ab119758) at 1/500 dilution

Lane 1:

Wild-type HeLa cell lysate at 20 µg

Lane 2:

NNMT knockout HeLa cell lysate at 20 µg

Lane 2:

Western blot - Human NNMT knockout HeLa cell line (<a href='/en-us/products/cell-lines/human-nnmt-knockout-hela-cell-line-ab265700'>ab265700</a>)

Lane 3:

A549 cell lysate at 20 µg

Secondary

All lanes:

Western blot - Goat Anti-Rabbit IgG H&L (IRDye® 680RD) preadsorbed (<a href='/en-us/products/secondary-antibodies/goat-rabbit-igg-h-l-irdye-680rd-preadsorbed-ab216777'>ab216777</a>) at 1/10000 dilution

Predicted band size: 30 kDa

Observed band size: 30 kDa

false

Immunohistochemistry (Formalin/PFA-fixed paraffin-embedded sections) - Anti-NNMT antibody [OTI3D8] (AB119758)
  • IHC-P

Unknown

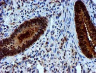
Immunohistochemistry (Formalin/PFA-fixed paraffin-embedded sections) - Anti-NNMT antibody [OTI3D8] (AB119758)

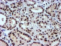
ab119758 at 1/150 dilution, staining NNMT in paraffin-embedded Human endometrium tissue by Immunohistochemistry.

Immunohistochemistry (Formalin/PFA-fixed paraffin-embedded sections) - Anti-NNMT antibody [OTI3D8] (AB119758)
  • IHC-P

Unknown

Immunohistochemistry (Formalin/PFA-fixed paraffin-embedded sections) - Anti-NNMT antibody [OTI3D8] (AB119758)

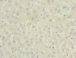
ab119758 at 1/150 dilution, staining NNMT in paraffin-embedded Human liver tissue by Immunohistochemistry.

Flow Cytometry (Intracellular) - Anti-NNMT antibody [OTI3D8] (AB119758)
  • Flow Cyt (Intra)

Unknown

Flow Cytometry (Intracellular) - Anti-NNMT antibody [OTI3D8] (AB119758)

ab119758 at 1/100 dilution staining NNMT in Jurkat cells by Flow Cytometry (Intracellular) (Red) compared to a nonspecific negative control antibody (Blue).

Immunohistochemistry (Formalin/PFA-fixed paraffin-embedded sections) - Anti-NNMT antibody [OTI3D8] (AB119758)
  • IHC-P

Unknown

Immunohistochemistry (Formalin/PFA-fixed paraffin-embedded sections) - Anti-NNMT antibody [OTI3D8] (AB119758)

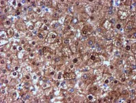
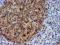
ab119758 at 1/150 dilution, staining NNMT in paraffin-embedded Human pancreas tissue by Immunohistochemistry.

Immunohistochemistry (Formalin/PFA-fixed paraffin-embedded sections) - Anti-NNMT antibody [OTI3D8] (AB119758)
  • IHC-P

Unknown

Immunohistochemistry (Formalin/PFA-fixed paraffin-embedded sections) - Anti-NNMT antibody [OTI3D8] (AB119758)

ab119758 at 1/150 dilution, staining NNMT in paraffin-embedded Human thyroid carcinoma tissue by Immunohistochemistry.

Immunohistochemistry (Formalin/PFA-fixed paraffin-embedded sections) - Anti-NNMT antibody [OTI3D8] (AB119758)
  • IHC-P

Unknown

Immunohistochemistry (Formalin/PFA-fixed paraffin-embedded sections) - Anti-NNMT antibody [OTI3D8] (AB119758)

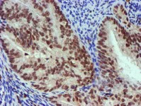
ab119758 at 1/150 dilution, staining NNMT in paraffin-embedded Human endometrium adenocarcinoma tissue by Immunohistochemistry.

Immunohistochemistry (Formalin/PFA-fixed paraffin-embedded sections) - Anti-NNMT antibody [OTI3D8] (AB119758)
  • IHC-P

Unknown

Immunohistochemistry (Formalin/PFA-fixed paraffin-embedded sections) - Anti-NNMT antibody [OTI3D8] (AB119758)

ab119758 at 1/150 dilution, staining NNMT in paraffin-embedded Human prostate tissue by Immunohistochemistry.

Western blot - Anti-NNMT antibody [OTI3D8] (AB119758)
  • WB

Unknown

Western blot - Anti-NNMT antibody [OTI3D8] (AB119758)

HEK293T cell lysates were generated from transient transfection of the cDNA clone (RC200641)

All lanes:

Western blot - Anti-NNMT antibody [OTI3D8] (ab119758) at 1/500 dilution

Lane 1:

HEK293T cell lysate transfected with pCMV6-ENTRY control cDNA at 5 µg

Lane 2:

HEK293T cell lysate transfected with pCMV6-ENTRY NNMT cDNA at 5 µg

Predicted band size: 30 kDa

false

Immunocytochemistry/ Immunofluorescence - Anti-NNMT antibody [OTI3D8] (AB119758)
  • ICC/IF

Supplier Data

Immunocytochemistry/ Immunofluorescence - Anti-NNMT antibody [OTI3D8] (AB119758)

ab119758, at 1/100 dilution staining NNMT, in COS7 cells transiently transfected by pCMV6-ENTRY NNMT, by Immunofluorescence

Western blot - Anti-NNMT antibody [OTI3D8] (AB119758)
  • WB

CiteAb

Western blot - Anti-NNMT antibody [OTI3D8] (AB119758)

NNMT western blot using anti-NNMT antibody [OTI3D8] ab119758. Publication image and figure legend from Okuyama, T., Shirakawa, J., et al., 2020, Int J Mol Sci, PubMed 33105604.

ab119758 was used in this publication in western blot. This may not be the same as the application(s) guaranteed by Abcam. For a full list of applications guaranteed by Abcam for ab119758 please see the product overview.

Linagliptin reversed the increased expression of acetylated lysine, perilipin-2, and nicotinamide N-methyltransferase (NNMT) in OSI-906-treated liver. (a) Immunoblot for pan acetyl-lysine, perilipin-2, and NNMT in the liver (n = 3 per group). Densitometry was plotted in lower graphs. (b) Hepatic gene expressions of Cyp2b10, Plin2, and Nnmt on day 7. Data represent the mean ± SEM. * p < 0.05, ** p < 0.01 (n = 4–5 per group) by ANOVA with an additional Tukey–Kramer post-hoc test.

false

Key facts

Host species

Mouse

Clonality

Monoclonal

Clone number

OTI3D8

Isotype

IgG2b

Carrier free

No

Reacts with

Mouse, Human

Applications

IHC-P, Flow Cyt (Intra), ICC/IF, WB

applications

Immunogen

Recombinant Full Length Protein corresponding to Human Nicotinamide N-methyltransferase.

P40261

Reactivity data

{ "title": "Reactivity Data", "filters": { "stats": ["", "Species", "Dilution Info", "Notes"], "tabs": { "all-applications": {"fullname" : "All Applications", "shortname": "All Applications"}, "WB" : {"fullname" : "Western blot", "shortname":"WB"}, "IHCP" : {"fullname" : "Immunohistochemistry (Formalin/PFA-fixed paraffin-embedded sections)", "shortname":"IHC-P"}, "ICCIF" : {"fullname" : "Immunocytochemistry/ Immunofluorescence", "shortname":"ICC/IF"}, "FlowCytIntra" : {"fullname" : "Flow Cytometry (Intracellular)", "shortname":"Flow Cyt (Intra)"} }, "product-promise": { "all": "all", "testedAndGuaranteed": "tested", "guaranteed": "expected", "predicted": "predicted", "notRecommended": "not-recommended" } }, "values": { "Human": { "WB-species-checked": "testedAndGuaranteed", "WB-species-dilution-info": "1/500 - 1/2000", "WB-species-notes": "<p></p>", "IHCP-species-checked": "testedAndGuaranteed", "IHCP-species-dilution-info": "1/150", "IHCP-species-notes": "<p></p>", "ICCIF-species-checked": "guaranteed", "ICCIF-species-dilution-info": "", "ICCIF-species-notes": "", "FlowCytIntra-species-checked": "testedAndGuaranteed", "FlowCytIntra-species-dilution-info": "1/100", "FlowCytIntra-species-notes": "<p><a href='/en-us/products/primary-antibodies/mouse-igg2b-kappa-monoclonal-7e10g10-isotype-control-ab170192'>ab170192</a> - Mouse monoclonal IgG2b, is suitable for use as an isotype control with this antibody.</p>" }, "Mouse": { "WB-species-checked": "testedAndGuaranteed", "WB-species-dilution-info": "1/500 - 1/2000", "WB-species-notes": "<p></p>", "IHCP-species-checked": "guaranteed", "IHCP-species-dilution-info": "", "IHCP-species-notes": "", "ICCIF-species-checked": "guaranteed", "ICCIF-species-dilution-info": "", "ICCIF-species-notes": "", "FlowCytIntra-species-checked": "guaranteed", "FlowCytIntra-species-dilution-info": "", "FlowCytIntra-species-notes": "" }, "Recombinant fragment": { "WB-species-checked": "testedAndGuaranteed", "WB-species-dilution-info": "1/500 - 1/2000", "WB-species-notes": "<p></p>", "IHCP-species-checked": "notRecommended", "IHCP-species-dilution-info": "", "IHCP-species-notes": "", "ICCIF-species-checked": "testedAndGuaranteed", "ICCIF-species-dilution-info": "1/100", "ICCIF-species-notes": "<p></p>", "FlowCytIntra-species-checked": "notRecommended", "FlowCytIntra-species-dilution-info": "", "FlowCytIntra-species-notes": "" } } }

Product details

What is this antibody validated in?
Anti-NNMT antibody [OTI3D8] (ab119758) is a mouse monoclonal antibody and is validated for use in Western Blot (WB), Flow Cytometry (Intra), Flow Cytometry (Flow Cyt), Immunohistochemistry (IHC-P), Immunocytochemistry/immunofluorescence (ICC/IF) in Human, Mouse, samples.

What is the molecular weight of NNMT?
Anti-NNMT [OTI3D8] (ab119758) specifically detects a band for NNMT (UniProt: P40261) at a molecular weight of 30kDa.

Trusted by the scientific community
Anti-NNMT [OTI3D8] (ab119758) was first used in a scientific publication in 2011 and has been cited over 10 times in peer-reviewed journals.

Specificity confirmed
The specificity of Anti-NNMT antibody [OTI3D8] (ab119758) has been confirmed by Western blot testing in NNMT Knockout HeLa cell line, ab265700.

Properties and storage information

Form
Liquid
Purification technique
Affinity purification Protein A
Purification notes
ab119758 is purified from TCS by affinity chromatography.
Storage buffer
pH: 7.3 Preservative: 0.02% Sodium azide Constituents: PBS, 50% Glycerol (glycerin, glycerine), 1% BSA
Shipped at conditions
Blue Ice
Appropriate short-term storage conditions
+4°C
Appropriate long-term storage conditions
-20°C
Aliquoting information
Upon delivery aliquot
Storage information
Avoid freeze / thaw cycle

Supplementary information

This supplementary information is collated from multiple sources and compiled automatically.

The NNMT protein also known as Nicotinamide N-methyltransferase acts by catalyzing the methylation of nicotinamide using S-adenosylmethionine as a methyl donor. This enzyme has a mass of around 29 kDa and is expressed in various tissues including liver adipose tissue and certain cancer cells. The NNMT gene provides instructions for creating the protein that plays significant roles in metabolic processes and cellular homeostasis.
Biological function summary

NNMT impacts cell energy balance and gene expression regulation by influencing the levels of nicotinamide and methionine metabolites. This enzyme does not typically form part of a complex acting more so as an individual regulator of methylation reactions affecting cellular metabolism. Researchers find interest in NNMT for its role in modulating cellular growth and proliferation forming a link to both normal cellular functions and pathological conditions like cancer.

Pathways

NNMT has a significance in NAD+ metabolism and methionine salvage pathways. These pathways are essential in maintaining redox homeostasis and proper methylation status in cells. NNMT through its enzymatic activity interacts with SAM (S-adenosyl methionine) closely relating its function to methylation processes that involve other proteins such as SIRTs (Sirtuins) and NAMPT (Nicotinamide phosphoribosyltransferase) within these metabolic pathways.

NNMT shows relevance in cancer and obesity-related complications. The protein's upregulation in cancer types like breast and colorectal cancers links it to tumor development and progression. In obesity NNMT's involvement in adipose tissue might contribute to metabolic dysregulation. The enzyme also interconnects with proteins like insulin receptors and adiponectin highlighting its potential role in metabolic diseases and making it an interesting target for therapeutic interventions.

Product protocols

For this product, it's our understanding that no specific protocols are required. You can visit:

Target data

Catalyzes the N-methylation of nicotinamide using the universal methyl donor S-adenosyl-L-methionine to form N1-methylnicotinamide and S-adenosyl-L-homocysteine, a predominant nicotinamide/vitamin B3 clearance pathway (PubMed : 21823666, PubMed : 23455543, PubMed : 8182091). Plays a central role in regulating cellular methylation potential, by consuming S-adenosyl-L-methionine and limiting its availability for other methyltransferases. Actively mediates genome-wide epigenetic and transcriptional changes through hypomethylation of repressive chromatin marks, such as H3K27me3 (PubMed : 23455543, PubMed : 26571212, PubMed : 31043742). In a developmental context, contributes to low levels of the repressive histone marks that characterize pluripotent embryonic stem cell pre-implantation state (PubMed : 26571212). Acts as a metabolic regulator primarily on white adipose tissue energy expenditure as well as hepatic gluconeogenesis and cholesterol biosynthesis. In white adipocytes, regulates polyamine flux by consuming S-adenosyl-L-methionine which provides for propylamine group in polyamine biosynthesis, whereas by consuming nicotinamide controls NAD(+) levels through the salvage pathway (By similarity). Via its product N1-methylnicotinamide regulates protein acetylation in hepatocytes, by repressing the ubiquitination and increasing the stability of SIRT1 deacetylase (By similarity). Can also N-methylate other pyridines structurally related to nicotinamide and play a role in xenobiotic detoxification (PubMed : 30044909).
See full target information Nicotinamide N-methyltransferase

Publications (24)

Recent publications for all applications. Explore the full list and refine your search

Cell death discovery 11:450 PubMed41057307

2025

Insufficient NNMT promotes autophagy and disrupts progesterone signaling in endometrial stromal cells in recurrent implantation failure by modulating the H3K9me3-ALDH1A3 pathway.

Applications

Unspecified application

Species

Unspecified reactive species

Yifei Song,Shaotong Zhao,Xianping Hou,Jiayuan Chen,Qian Zhang,Shizhen Su,Junhao Yan,Tianxiang Ni

Molecular cancer 24:79 PubMed40089784

2025

NNMT promotes acquired EGFR-TKI resistance by forming EGR1 and lactate-mediated double positive feedback loops in non-small cell lung cancer.

Applications

Unspecified application

Species

Unspecified reactive species

Jiali Dai,Xiyi Lu,Chang Zhang,Tianyu Qu,Wei Li,Jun Su,Renhua Guo,Dandan Yin,Pingping Wu,Liang Han,Erbao Zhang

Cancer communications (London, England) 45:110-137 PubMed39623600

2024

Nicotinamide N-methyltransferase negatively regulates metastasis-promoting property of cancer-associated fibroblasts in lung adenocarcinoma.

Applications

Unspecified application

Species

Unspecified reactive species

Peiyu Wang,Guangxi Wang,Haoran Li,Yuyao Yuan,Haiming Chen,Shaodong Wang,Zewen Sun,Fanjie Meng,Yun Li,Fan Yang,Jun Wang,Kezhong Chen,Mantang Qiu

Cell death discovery 10:463 PubMed39489776

2024

Overexpressed nicotinamide N‑methyltransferase in endometrial stromal cells induced by macrophages and estradiol contributes to cell proliferation in endometriosis.

Applications

Unspecified application

Species

Unspecified reactive species

Shuhui Hou,Hui Xu,Shating Lei,Dong Zhao

NPJ precision oncology 8:24 PubMed38291241

2024

Multi-omics analysis reveals NNMT as a master metabolic regulator of metastasis in esophageal squamous cell carcinoma.

Applications

Unspecified application

Species

Unspecified reactive species

Qi Huang,Haiming Chen,Dandan Yin,Jie Wang,Shaodong Wang,Feng Yang,Jiawei Li,Teng Mu,Jilun Li,Jia Zhao,Rong Yin,Wei Li,Mantang Qiu,Erbao Zhang,Xiangnan Li

Investigative ophthalmology & visual science 64:40 PubMed37878301

2023

Gene Expression Within a Human Choroidal Neovascular Membrane Using Spatial Transcriptomics.

Applications

Unspecified application

Species

Unspecified reactive species

Andrew P Voigt,Nathaniel K Mullin,Emma M Navratil,Miles J Flamme-Wiese,Li-Chun Lin,Todd E Scheetz,Ian C Han,Edwin M Stone,Budd A Tucker,Robert F Mullins

Aging 15:11860-11874 PubMed37889548

2023

Lipid reprogramming induced by the NNMT-ABCA1 axis enhanced membrane fluidity to promote endometrial cancer progression.

Applications

Unspecified application

Species

Unspecified reactive species

Qirong Wen,Xiaohui Xie,Caiyuan Chen,Bolun Wen,Yaqiong Liu,Jie Zhou,Xiaobin Lin,Han Jin,Kun Shi

EMBO molecular medicine 15:e17836 PubMed37766669

2023

Propionate reinforces epithelial identity and reduces aggressiveness of lung carcinoma.

Applications

Unspecified application

Species

Unspecified reactive species

Vignesh Ramesh,Paradesi Naidu Gollavilli,Luisa Pinna,Mohammad Aarif Siddiqui,Adriana Martinez Turtos,Francesca Napoli,Yasmin Antonelli,Aldo Leal-Egaña,Jesper Foged Havelund,Simon Toftholm Jakobsen,Elisa Le Boiteux,Marco Volante,Nils Joakim Faergeman,Ole N Jensen,Rasmus Siersbaek,Kumar Somyajit,Paolo Ceppi

The EMBO journal 42:e112559 PubMed37259596

2023

Nicotinamide N-methyltransferase sustains a core epigenetic program that promotes metastatic colonization in breast cancer.

Applications

Unspecified application

Species

Unspecified reactive species

Joana Pinto Couto,Milica Vulin,Charly Jehanno,Marie-May Coissieux,Baptiste Hamelin,Alexander Schmidt,Robert Ivanek,Atul Sethi,Konstantin Bräutigam,Anja L Frei,Carolina Hager,Madhuri Manivannan,Jorge Gómez-Miragaya,Milan Ms Obradović,Zsuzsanna Varga,Viktor H Koelzer,Kirsten D Mertz,Mohamed Bentires-Alj

American journal of physiology. Cell physiology 325:C29-C41 PubMed37212549

2023

Nicotinamide N-methyltransferase upregulation contributes to palmitate-elicited peroxisome proliferator-activated receptor transactivation in hepatocytes.

Applications

Unspecified application

Species

Unspecified reactive species

Qing Song,Jun Wang,Alexandra Griffiths,Samuel Man Lee,Iredia D Iyamu,Rong Huang,Jose Cordoba-Chacon,Zhenyuan Song
View all publications

Product promise

We are committed to supporting your work with high-quality reagents, and we're here for you every step of the way. In the unlikely event that one of our products does not perform as expected, you're protected by our Product Promise.
For full details, please see our Terms & Conditions

Please note: All products are 'FOR RESEARCH USE ONLY. NOT FOR USE IN DIAGNOSTIC OR THERAPEUTIC PROCEDURES'.

For licensing inquiries, please contact partnerships@abcam.com