JavaScript is disabled in your browser. Please enable JavaScript to view this website.
AB307562

Anti-nNOS (neuronal) antibody [16/nNOS/NOS Type I]

Be the first to review this product! Submit a review

|

(0 Publication)

Mouse Recombinant Monoclonal nNOS antibody. Suitable for WB and reacts with Rat, Mouse, Human samples.

View Alternative Names

Nitric oxide synthase 1, Constitutive NOS, NC-NOS, NOS type I, Neuronal NOS, Peptidyl-cysteine S-nitrosylase NOS1, N-NOS, nNOS, bNOS, NOS1

2 Images
Western blot - Anti-nNOS (neuronal) antibody [16/nNOS/NOS Type I] (AB307562)
  • WB

Supplier Data

Western blot - Anti-nNOS (neuronal) antibody [16/nNOS/NOS Type I] (AB307562)

Blocking and diluting buffer and concentration : 5% NFDM/TBST. Negative control : kidney (PMID : 10620216). The expression profile observed is consistent with what has been described in the literature (PMID : 15486091). The identity of the bands between 50 kDa and 75 kDa are unknown. Exposure time : 180 seconds.

All lanes:

Western blot - Anti-nNOS (neuronal) antibody [16/nNOS/NOS Type I] (ab307562) at 1/1000 dilution

Lane 1:

Human cerebellum tissue lysate 20 μg

Lane 2:

Human kidney tissue lysate 20 μg

Observed band size: 125 kDa,160 kDa

false

Exposure time: 180s

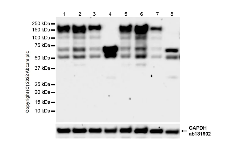
Western blot - Anti-nNOS (neuronal) antibody [16/nNOS/NOS Type I] (AB307562)
  • WB

Supplier Data

Western blot - Anti-nNOS (neuronal) antibody [16/nNOS/NOS Type I] (AB307562)

Blocking and diluting buffer and concentration : 5% NFDM/TBST. Negative control : kidney (PMID : 10620216). The expression profile observed is consistent with what has been described in the literature (PMID : 15486091). The identity of the bands between 50 kDa and 75 kDa are unknown. Exposure time : 59 seconds.

All lanes:

Western blot - Anti-nNOS (neuronal) antibody [16/nNOS/NOS Type I] (ab307562) at 1/1000 dilution

Lane 1:

Mouse brain tissue lysate 20 μg

Lane 2:

Mouse cerebellum tissue lysate 20 μg

Lane 3:

Mouse hippocampus tissue lysate 20 μg

Lane 4:

Mouse kidney tissue lysate 20 μg

Lane 5:

Rat brain tissue lysate 20 μg

Lane 6:

Rat cerebellum tissue lysate 20 μg

Lane 7:

Rat hippocampus tissue lysate 20 μg

Lane 8:

Rat kidney tissue lysate 20 μg

Observed band size: 125 kDa,160 kDa

false

Exposure time: 59s

Key facts

Host species

Mouse

Clonality

Monoclonal

Clone number

16/nNOS/NOS Type I

Isotype

IgG2a

Carrier free

No

Reacts with

Rat, Mouse, Human

Applications

WB

applications

Immunogen

The exact immunogen used to generate this antibody is proprietary information.

Reactivity data

{ "title": "Reactivity Data", "filters": { "stats": ["", "Species", "Dilution Info", "Notes"], "tabs": { "all-applications": {"fullname" : "All Applications", "shortname": "All Applications"}, "WB" : {"fullname" : "Western blot", "shortname":"WB"}, "ICCIF" : {"fullname" : "Immunocytochemistry/ Immunofluorescence", "shortname":"ICC/IF"}, "IHCP" : {"fullname" : "Immunohistochemistry (Formalin/PFA-fixed paraffin-embedded sections)", "shortname":"IHC-P"} }, "product-promise": { "all": "all", "testedAndGuaranteed": "tested", "guaranteed": "expected", "predicted": "predicted", "notRecommended": "not-recommended" } }, "values": { "Human": { "WB-species-checked": "testedAndGuaranteed", "WB-species-dilution-info": "1/1000", "WB-species-notes": "<p></p>", "ICCIF-species-checked": "notRecommended", "ICCIF-species-dilution-info": "", "ICCIF-species-notes": "<p></p>", "IHCP-species-checked": "notRecommended", "IHCP-species-dilution-info": "", "IHCP-species-notes": "<p></p> Perform heat-mediated antigen retrieval with Tris/EDTA buffer pH 9.0 before commencing with IHC staining protocol." }, "Mouse": { "WB-species-checked": "testedAndGuaranteed", "WB-species-dilution-info": "1/1000", "WB-species-notes": "<p></p>", "ICCIF-species-checked": "notRecommended", "ICCIF-species-dilution-info": "", "ICCIF-species-notes": "<p></p>", "IHCP-species-checked": "notRecommended", "IHCP-species-dilution-info": "", "IHCP-species-notes": "<p></p> Perform heat-mediated antigen retrieval with Tris/EDTA buffer pH 9.0 before commencing with IHC staining protocol." }, "Rat": { "WB-species-checked": "testedAndGuaranteed", "WB-species-dilution-info": "1/1000", "WB-species-notes": "<p></p>", "ICCIF-species-checked": "notRecommended", "ICCIF-species-dilution-info": "", "ICCIF-species-notes": "<p></p>", "IHCP-species-checked": "notRecommended", "IHCP-species-dilution-info": "", "IHCP-species-notes": "<p></p> Perform heat-mediated antigen retrieval with Tris/EDTA buffer pH 9.0 before commencing with IHC staining protocol." } } }

Product details

Want a custom formulation?
This antibody clone is manufactured by Abcam. If you require a custom buffer formulation or conjugation for your experiments, please contact orders@abcam.com

What are the advantages of a recombinant monoclonal antibody?
This product is a recombinant monoclonal antibody, which offers several advantages including:

  • - High batch-to-batch consistency and reproducibility
  • - Improved sensitivity and specificity
  • - Long-term security of supply
  • - Animal-free batch production

For more information, read more on recombinant antibodies.

Properties and storage information

Form
Liquid
Purification technique
Affinity purification Protein A
Storage buffer
pH: 7.2 - 7.4 Preservative: 0.01% Sodium azide Constituents: PBS, 40% Glycerol (glycerin, glycerine), 0.05% BSA
Shipped at conditions
Blue Ice
Appropriate short-term storage duration
1-2 weeks
Appropriate short-term storage conditions
+4°C
Appropriate long-term storage conditions
-20°C
Aliquoting information
Upon delivery aliquot
Storage information
Avoid freeze / thaw cycle

Supplementary information

This supplementary information is collated from multiple sources and compiled automatically.

NNOS also known as nitric oxide synthase 1 or NOS1 is a critical enzyme in the nervous system. It catalyzes the production of nitric oxide from L-arginine. This enzyme weighing approximately 160 kDa is expressed in neurons and you can find it in regions like the brain and spinal cord. Notably nNOS is part of the NOS family which also includes eNOS and iNOS but its primary function is in neuronal tissues.
Biological function summary

NNOS plays a significant role in neurotransmission and neurovascular regulation. As a part of protein complexes nNOS closely interacts with other signaling molecules to modulate neuronal communication. The production of nitric oxide by nNOS acts as a neurotransmitter influencing brain functions such as synaptic plasticity and memory formation. Additionally due to its role in neuronal activity antibodies like anti-neuronal antibodies can have interactions that can be studied using various assays including the NOS assay.

Pathways

NNOS serves essential roles within the neuronal nitric oxide signaling pathway and the glutamatergic signaling pathway. In these contexts nNOS associates with proteins involved in cell signaling such as calmodulin which regulates its activity. By participating in these pathways nNOS contributes to the regulation of vascular tone and synaptic transmission linking it to neurological processes and supporting neuronal communication.

NNOS shows significant connections to neurological disorders and cardiovascular diseases. In conditions like stroke and neurodegenerative diseases dysregulation of nNOS activity leads to excessive production of nitric oxide which can result in oxidative stress and neuronal damage. Furthermore its relation with eNOS in the cardiovascular system influences vascular function making it a critical player in hypertension studies. Understanding nNOS interactions through diseases highlights the possibility of targeted treatments using neuronal antibodies and anti-neuronal antibodies against specific pathways.

Product protocols

For this product, it's our understanding that no specific protocols are required. You can visit:

Target data

Produces nitric oxide (NO) which is a messenger molecule with diverse functions throughout the body. In the brain and peripheral nervous system, NO displays many properties of a neurotransmitter. Probably has nitrosylase activity and mediates cysteine S-nitrosylation of cytoplasmic target proteins such SRR.
See full target information Nitric oxide synthase, brain

Product promise

We are committed to supporting your work with high-quality reagents, and we're here for you every step of the way. In the unlikely event that one of our products does not perform as expected, you're protected by our Product Promise.
For full details, please see our Terms & Conditions

Please note: All products are 'FOR RESEARCH USE ONLY. NOT FOR USE IN DIAGNOSTIC OR THERAPEUTIC PROCEDURES'.

For licensing inquiries, please contact partnerships@abcam.com