JavaScript is disabled in your browser. Please enable JavaScript to view this website.
AB5586

Anti-nNOS (neuronal) antibody

3

(1 Review)

|

(19 Publications)

Rabbit Polyclonal nNOS antibody. Suitable for WB, IHC-P, ICC/IF and reacts with Mouse, Rat, Human samples. Cited in 19 publications. Immunogen corresponding to Synthetic Peptide within Human Nitric oxide synthase, brain aa 1400 to C-terminus.

View Alternative Names

Nitric oxide synthase 1, Constitutive NOS, NC-NOS, NOS type I, Neuronal NOS, Peptidyl-cysteine S-nitrosylase NOS1, N-NOS, nNOS, bNOS, NOS1

6 Images
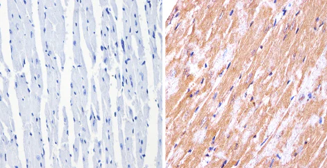
Immunohistochemistry (Formalin/PFA-fixed paraffin-embedded sections) - Anti-nNOS (neuronal) antibody (AB5586)
  • IHC-P

Supplier Data

Immunohistochemistry (Formalin/PFA-fixed paraffin-embedded sections) - Anti-nNOS (neuronal) antibody (AB5586)

ab5586 labelling nNOS (neuronal) in the cytoplasm of Mouse heart tissue (right) compared with a negative control (left) by Immunohistochemistry (formalin/PFA-fixed paraffin-embedded sections). To expose target proteins, antigen retrieval method was performed using 10mM sodium citrate (pH 6.0) microwaved for 8-15 min. Following antigen retrieval, tissues were blocked in 3% H2O2-methanol for 15 min at room temperature. Tissue sections were incubated with the primary antibody (1 : 20 in 3% BSA-PBS) overnight at 4°C. A HRP-conjugated anti-rabbit IgG was used as the secondary antibody, followed by colorimetric detection using a DAB kit. Tissues were counterstained with hematoxylin and dehydrated with ethanol and xylene to prep for mounting.

Western blot - Anti-nNOS (neuronal) antibody (AB5586)
  • WB

Supplier Data

Western blot - Anti-nNOS (neuronal) antibody (AB5586)

All lanes:

Western blot - Anti-nNOS (neuronal) antibody (ab5586) at 1/200 dilution

All lanes:

Rat brain cell lysate at 25 µg

Predicted band size: 160 kDa

Observed band size: 160 kDa

false

Immunohistochemistry (Formalin/PFA-fixed paraffin-embedded sections) - Anti-nNOS (neuronal) antibody (AB5586)
  • IHC-P

Supplier Data

Immunohistochemistry (Formalin/PFA-fixed paraffin-embedded sections) - Anti-nNOS (neuronal) antibody (AB5586)

ab5586 labelling nNOS (neuronal) in the cytoplasm of Human skeletal muscle (right) compared with a negative control (left) by Immunohistochemistry (formalin/PFA-fixed paraffin-embedded sections). To expose target proteins, antigen retrieval method was performed using 10mM sodium citrate (pH 6.0) microwaved for 8-15 min. Following antigen retrieval, tissues were blocked in 3% H2O2-methanol for 15 min at room temperature. Tissue sections were incubated with the primary antibody (1 : 200 in 3% BSA-PBS) overnight at 4°C. A HRP-conjugated anti-rabbit IgG was used as the secondary antibody, followed by colorimetric detection using a DAB kit. Tissues were counterstained with hematoxylin and dehydrated with ethanol and xylene to prep for mounting.

Immunocytochemistry/ Immunofluorescence - Anti-nNOS (neuronal) antibody (AB5586)
  • ICC/IF

Supplier Data

Immunocytochemistry/ Immunofluorescence - Anti-nNOS (neuronal) antibody (AB5586)

Immunocytochemistry/Immunofluorescence analysis of nNOS (neuronal) (green) showing staining in the cytoplasm and membrane of U251 cells (right) compared to a negative control without primary antibody (left). Formalin-fixed cells were permeabilized with 0.1% Triton X-100 in TBS for 5-10 minutes and blocked with 3% BSA-PBS for 30 minutes at room temperature. Cells were incubated with ab5586 in 3% BSA-PBS at a dilution of 1 : 100 and incubated overnight at 4°C in a humidified chamber. Cells were washed with PBST and incubated with a DyLight-conjugated secondary antibody in PBS at room temperature in the dark. F-actin (red) was stained with a fluorescent red phalloidin and nuclei (blue) were stained with Hoechst or DAPI. Images were taken at a magnification of 60x.

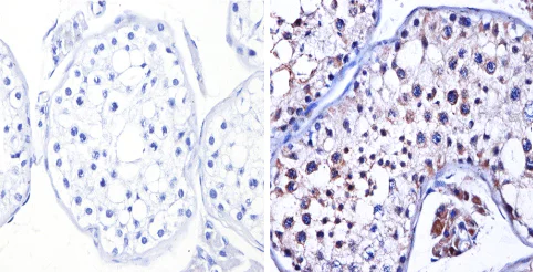
Immunohistochemistry (Formalin/PFA-fixed paraffin-embedded sections) - Anti-nNOS (neuronal) antibody (AB5586)
  • IHC-P

Supplier Data

Immunohistochemistry (Formalin/PFA-fixed paraffin-embedded sections) - Anti-nNOS (neuronal) antibody (AB5586)

ab5586 labelling nNOS (neuronal) in the cytoplasm of Human testis tissue (right) compared with a negative control (left) by Immunohistochemistry (formalin/PFA-fixed paraffin-embedded sections). To expose target proteins, antigen retrieval method was performed using 10mM sodium citrate (pH 6.0) microwaved for 8-15 min. Following antigen retrieval, tissues were blocked in 3% H2O2-methanol for 15 min at room temperature. Tissue sections were incubated with the primary antibody (1 : 200 in 3% BSA-PBS) overnight at 4°C. A HRP-conjugated anti-rabbit IgG was used as the secondary antibody, followed by colorimetric detection using a DAB kit. Tissues were counterstained with hematoxylin and dehydrated with ethanol and xylene to prep for mounting.

Western blot - Anti-nNOS (neuronal) antibody (AB5586)
  • WB

Supplier Data

Western blot - Anti-nNOS (neuronal) antibody (AB5586)

All lanes:

Western blot - Anti-nNOS (neuronal) antibody (ab5586) at 1/500 dilution

All lanes:

Mouse brain cell lysate at 25 µg

Predicted band size: 160 kDa

Observed band size: 160 kDa

false

Key facts

Host species

Rabbit

Clonality

Polyclonal

Isotype

IgG

Carrier free

No

Reacts with

Mouse, Rat, Human

Applications

ICC/IF, WB, IHC-P

applications

Immunogen

Synthetic Peptide within Human Nitric oxide synthase, brain aa 1400 to C-terminus. The exact immunogen used to generate this antibody is proprietary information.

P29475

Reactivity data

{ "title": "Reactivity Data", "filters": { "stats": ["", "Species", "Dilution Info", "Notes"], "tabs": { "all-applications": {"fullname" : "All Applications", "shortname": "All Applications"}, "WB" : {"fullname" : "Western blot", "shortname":"WB"}, "IHCP" : {"fullname" : "Immunohistochemistry (Formalin/PFA-fixed paraffin-embedded sections)", "shortname":"IHC-P"}, "ICCIF" : {"fullname" : "Immunocytochemistry/ Immunofluorescence", "shortname":"ICC/IF"} }, "product-promise": { "all": "all", "testedAndGuaranteed": "tested", "guaranteed": "expected", "predicted": "predicted", "notRecommended": "not-recommended" } }, "values": { "Human": { "WB-species-checked": "guaranteed", "WB-species-dilution-info": "", "WB-species-notes": "", "IHCP-species-checked": "testedAndGuaranteed", "IHCP-species-dilution-info": "1/20 - 1/200", "IHCP-species-notes": "<p></p>", "ICCIF-species-checked": "testedAndGuaranteed", "ICCIF-species-dilution-info": "1/50 - 1/500", "ICCIF-species-notes": "<p></p>" }, "Mouse": { "WB-species-checked": "testedAndGuaranteed", "WB-species-dilution-info": "1/100 - 1/1000", "WB-species-notes": "<p></p>", "IHCP-species-checked": "testedAndGuaranteed", "IHCP-species-dilution-info": "1/20 - 1/200", "IHCP-species-notes": "<p></p>", "ICCIF-species-checked": "guaranteed", "ICCIF-species-dilution-info": "", "ICCIF-species-notes": "" }, "Rat": { "WB-species-checked": "testedAndGuaranteed", "WB-species-dilution-info": "1/100 - 1/1000", "WB-species-notes": "<p></p>", "IHCP-species-checked": "guaranteed", "IHCP-species-dilution-info": "", "IHCP-species-notes": "", "ICCIF-species-checked": "guaranteed", "ICCIF-species-dilution-info": "", "ICCIF-species-notes": "" }, "Rabbit": { "WB-species-checked": "predicted", "WB-species-dilution-info": "", "WB-species-notes": "", "IHCP-species-checked": "predicted", "IHCP-species-dilution-info": "", "IHCP-species-notes": "", "ICCIF-species-checked": "predicted", "ICCIF-species-dilution-info": "", "ICCIF-species-notes": "" }, "Xenopus laevis": { "WB-species-checked": "predicted", "WB-species-dilution-info": "", "WB-species-notes": "", "IHCP-species-checked": "predicted", "IHCP-species-dilution-info": "", "IHCP-species-notes": "", "ICCIF-species-checked": "predicted", "ICCIF-species-dilution-info": "", "ICCIF-species-notes": "" }, "Zebrafish": { "WB-species-checked": "predicted", "WB-species-dilution-info": "", "WB-species-notes": "", "IHCP-species-checked": "predicted", "IHCP-species-dilution-info": "", "IHCP-species-notes": "", "ICCIF-species-checked": "predicted", "ICCIF-species-dilution-info": "", "ICCIF-species-notes": "" } } }

Properties and storage information

Form
Liquid
Purification technique
Affinity purification Immunogen
Storage buffer
Preservative: 0.05% Sodium azide Constituents: 99% PBS, 0.1% BSA
Shipped at conditions
Blue Ice
Appropriate short-term storage duration
1-2 weeks
Appropriate short-term storage conditions
+4°C
Appropriate long-term storage conditions
-20°C
Aliquoting information
Upon delivery aliquot
Storage information
Avoid freeze / thaw cycle

Supplementary information

This supplementary information is collated from multiple sources and compiled automatically.

NNOS also known as nitric oxide synthase 1 or NOS1 is a critical enzyme in the nervous system. It catalyzes the production of nitric oxide from L-arginine. This enzyme weighing approximately 160 kDa is expressed in neurons and you can find it in regions like the brain and spinal cord. Notably nNOS is part of the NOS family which also includes eNOS and iNOS but its primary function is in neuronal tissues.
Biological function summary

NNOS plays a significant role in neurotransmission and neurovascular regulation. As a part of protein complexes nNOS closely interacts with other signaling molecules to modulate neuronal communication. The production of nitric oxide by nNOS acts as a neurotransmitter influencing brain functions such as synaptic plasticity and memory formation. Additionally due to its role in neuronal activity antibodies like anti-neuronal antibodies can have interactions that can be studied using various assays including the NOS assay.

Pathways

NNOS serves essential roles within the neuronal nitric oxide signaling pathway and the glutamatergic signaling pathway. In these contexts nNOS associates with proteins involved in cell signaling such as calmodulin which regulates its activity. By participating in these pathways nNOS contributes to the regulation of vascular tone and synaptic transmission linking it to neurological processes and supporting neuronal communication.

NNOS shows significant connections to neurological disorders and cardiovascular diseases. In conditions like stroke and neurodegenerative diseases dysregulation of nNOS activity leads to excessive production of nitric oxide which can result in oxidative stress and neuronal damage. Furthermore its relation with eNOS in the cardiovascular system influences vascular function making it a critical player in hypertension studies. Understanding nNOS interactions through diseases highlights the possibility of targeted treatments using neuronal antibodies and anti-neuronal antibodies against specific pathways.

Product protocols

For this product, it's our understanding that no specific protocols are required. You can visit:

Target data

Produces nitric oxide (NO) which is a messenger molecule with diverse functions throughout the body. In the brain and peripheral nervous system, NO displays many properties of a neurotransmitter. Probably has nitrosylase activity and mediates cysteine S-nitrosylation of cytoplasmic target proteins such SRR.
See full target information Nitric oxide synthase, brain

Publications (19)

Recent publications for all applications. Explore the full list and refine your search

Stem cell research & therapy 14:290 PubMed37798638

2023

Enteric neurospheres retain the capacity to assemble neural networks with motile and metamorphic gliocytes and ganglia.

Applications

Unspecified application

Species

Unspecified reactive species

Jeng-Chang Chen,Wendy Yang,Li-Yun Tseng,Hsueh-Ling Chang

Digestive diseases and sciences 68:1260-1268 PubMed36346489

2022

"M1/M2" Muscularis Macrophages Are Associated with Reduction of Interstitial Cells of Cajal and Glial Cells in Achalasia.

Applications

Unspecified application

Species

Unspecified reactive species

Haisheng Qian,Yanjuan Wang,Xiaosu Chen,Lin Lin,Weifeng Zhang,Yun Wang,Nana Tang,Xinmin Si,Chunhua Jiao,Guoxin Zhang,Bixing Ye

Frontiers in physiology 13:961534 PubMed36176769

2022

Haptoglobin treatment contributes to regulating nitric oxide signal and reduces oxidative stress in the penis: A preventive treatment for priapism in sickle cell disease.

Applications

Unspecified application

Species

Unspecified reactive species

Pamela da Silva Pereira,Dalila Andrade Pereira,Fabiano Beraldi Calmasini,Leonardo O Reis,Nathan Brinkman,Arthur L Burnett,Fernando Ferreira Costa,Fábio Henrique Silva

Frontiers in physiology 13:946682 PubMed36045747

2022

nNOS-derived NO modulates force production and iNO-derived NO the excitability in C2C12-derived 3D tissue engineering skeletal muscle different NO signaling pathways.

Applications

Unspecified application

Species

Unspecified reactive species

Matias Mosqueira,Lisa-Mareike Scheid,Dominik Kiemel,Talisa Richardt,Mona Rheinberger,Dirk Ollech,Almut Lutge,Tim Heißenberg,Lena Pfitzer,Lisa Engelskircher,Umut Yildiz,Isabel Porth

Pharmaceuticals (Basel, Switzerland) 15: PubMed35455449

2022

Cilia Stimulatory and Antibacterial Activities of T2R Bitter Taste Receptor Agonist Diphenhydramine: Insights into Repurposing Bitter Drugs for Nasal Infections.

Applications

Unspecified application

Species

Unspecified reactive species

Li Eon Kuek,Derek B McMahon,Ray Z Ma,Zoey A Miller,Jennifer F Jolivert,Nithin D Adappa,James N Palmer,Robert J Lee

PloS one 16:e0256066 PubMed34428251

2021

MiRNA-1202 promotes the TGF-β1-induced proliferation, differentiation and collagen production of cardiac fibroblasts by targeting nNOS.

Applications

Unspecified application

Species

Unspecified reactive species

Jingwen Xiao,Yan Zhang,Yuan Tang,Hengfen Dai,Yu OuYang,Chuanchuan Li,Meiqin Yu

Experimental and therapeutic medicine 22:1038 PubMed34373724

2021

Dexmedetomidine facilitates the expression of nNOS in the hippocampus to alleviate surgery-induced neuroinflammation and cognitive dysfunction in aged rats.

Applications

Unspecified application

Species

Unspecified reactive species

Liangyuan Suo,Mingyu Wang

Asian journal of andrology 23:273-280 PubMed33473012

2021

Vacuum therapy ameliorates erectile dysfunction in bilateral cavernous nerve crush rats by inhibiting apoptosis and activating autophagy.

Applications

Unspecified application

Species

Unspecified reactive species

Chang-Jing Wu,Fu-Dong Fu,Feng Qin,Ming Ma,Tao Li,Shan-Zun Wei,Bo-Tao Yu,Xin-Zong Yang,Jiu-Hong Yuan

Cells 9: PubMed32089540

2020

Antifibrotic Effects of Amyloid-Beta and Its Loss in Cirrhotic Liver.

Applications

Unspecified application

Species

Unspecified reactive species

Gayane Hrachia Buniatian,Ralf Weiskirchen,Thomas S Weiss,Ute Schwinghammer,Martin Fritz,Torgom Seferyan,Barbara Proksch,Michael Glaser,Ali Lourhmati,Marine Buadze,Erawan Borkham-Kamphorst,Frank Gaunitz,Christoph H Gleiter,Thomas Lang,Elke Schaeffeler,Roman Tremmel,Holger Cynis,William H Frey,Rolf Gebhardt,Scott L Friedman,Wolfgang Mikulits,Matthias Schwab,Lusine Danielyan

Cell death & disease 10:914 PubMed31801946

2019

Extensive protein S-nitrosylation associated with human pancreatic ductal adenocarcinoma pathogenesis.

Applications

Unspecified application

Species

Unspecified reactive species

Chaochao Tan,Yunfeng Li,Xiahe Huang,Meijin Wei,Ying Huang,Zhouqin Tang,He Huang,Wen Zhou,Yingchun Wang,Jiliang Hu
View all publications

Product promise

We are committed to supporting your work with high-quality reagents, and we're here for you every step of the way. In the unlikely event that one of our products does not perform as expected, you're protected by our Product Promise.
For full details, please see our Terms & Conditions

Please note: All products are 'FOR RESEARCH USE ONLY. NOT FOR USE IN DIAGNOSTIC OR THERAPEUTIC PROCEDURES'.

For licensing inquiries, please contact partnerships@abcam.com