JavaScript is disabled in your browser. Please enable JavaScript to view this website.
AB244742

Anti-nNOS (neuronal) antibody [EPR20372-53] - BSA and Azide free (Capture)

Be the first to review this product! Submit a review

|

(0 Publication)

Rabbit Recombinant Monoclonal nNOS antibody. Carrier free. Suitable for sELISA, WB, IHC-P and reacts with Human samples.

View Alternative Names

Nitric oxide synthase 1, Constitutive NOS, NC-NOS, NOS type I, Neuronal NOS, Peptidyl-cysteine S-nitrosylase NOS1, N-NOS, nNOS, bNOS, NOS1

4 Images
Immunohistochemistry (Formalin/PFA-fixed paraffin-embedded sections) - Anti-nNOS (neuronal) antibody [EPR20372-53] - BSA and Azide free (Capture) (AB244742)
  • IHC-P

Lab

Immunohistochemistry (Formalin/PFA-fixed paraffin-embedded sections) - Anti-nNOS (neuronal) antibody [EPR20372-53] - BSA and Azide free (Capture) (AB244742)

Immunohistochemical analysis of paraffin-embedded Human Spleen tissue labeling nNOS (neuronal) with ab244742 at 1/100 (9.8 µg/ml) dilution, followed by a ready to use LeicaDS9800 (Bond™ Polymer Refine Detection).

Low expression tissue : No staining on human spleen. The section was incubated with ab244742 for 30 mins at room temperature.
The immunostaining was performed on a Leica Biosystems BOND® RX instrument

Counterstained with Hematoxylin.

Secondary antibody only control : Ready to use LeicaDS9800 (Bond™ Polymer Refine Detection).

Heat mediated antigen retrieval was performed with Tris-EDTA buffer (pH 9.0, Epitope Retrieval Solution2) for 20 mins.

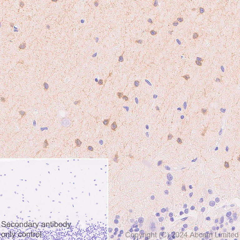
Immunohistochemistry (Formalin/PFA-fixed paraffin-embedded sections) - Anti-nNOS (neuronal) antibody [EPR20372-53] - BSA and Azide free (Capture) (AB244742)
  • IHC-P

Lab

Immunohistochemistry (Formalin/PFA-fixed paraffin-embedded sections) - Anti-nNOS (neuronal) antibody [EPR20372-53] - BSA and Azide free (Capture) (AB244742)

Immunohistochemical analysis of paraffin-embedded Human cerebellum tissue labeling nNOS (neuronal) with ab244742 at 1/100 (9.8 µg/ml) dilution, followed by a ready to use LeicaDS9800 (Bond™ Polymer Refine Detection).

Positive staining on human cerebellum. The section was incubated with ab244742 for 30 mins at room temperature.
The immunostaining was performed on a Leica Biosystems BOND® RX instrument

Counterstained with Hematoxylin.

Secondary antibody only control : Ready to use LeicaDS9800 (Bond™ Polymer Refine Detection).

Heat mediated antigen retrieval was performed with Tris-EDTA buffer (pH 9.0, Epitope Retrieval Solution2) for 20 mins.

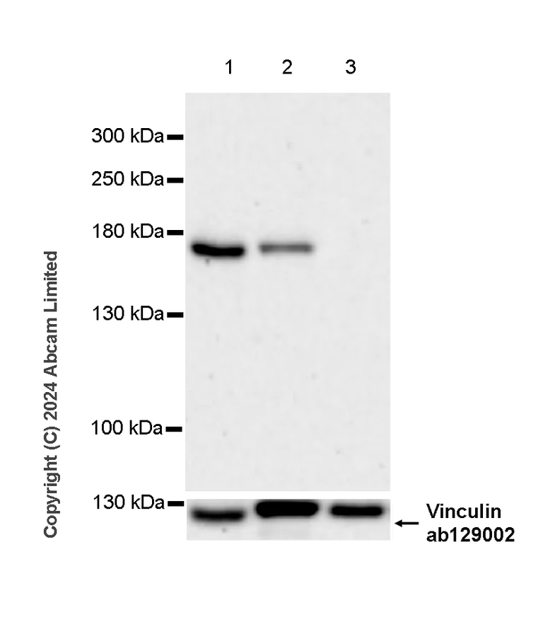
Western blot - Anti-nNOS (neuronal) antibody [EPR20372-53] - BSA and Azide free (Capture) (AB244742)
  • WB

Lab

Western blot - Anti-nNOS (neuronal) antibody [EPR20372-53] - BSA and Azide free (Capture) (AB244742)

Blocking and diluting buffer and concentration : 5% NFDM/TBST.

ab129002 was used as a Vinculin loading control at a 1/10000 dilution.

Negative control : MCF7
This blot was developed using a high-sensitivity ECL substrate, allowing for the detection of proteins in the mid-femtogram range.

All lanes:

Western blot - Anti-nNOS (neuronal) antibody [EPR20372-53] - BSA and Azide free (Capture) (ab244742) at 1/1000 dilution

Lane 1:

SH-SY5Y (human neuroblastoma epithelial cell) whole cell lysate at 20 µg

Lane 2:

U-87 MG (human glioblastoma-astrocytoma epithelial cell) whole cell lysate at 20 µg

Lane 3:

MCF7 (human breast adenocarcinoma epithelial cell) whole cell lysate at 20 µg

Secondary

All lanes:

Western blot - Goat Anti-Rabbit IgG H&L (HRP) (<a href='/en-us/products/secondary-antibodies/goat-rabbit-igg-h-l-hrp-ab97051'>ab97051</a>) at 1/100000 dilution

Observed band size: 161 kDa

true

Exposure time: 180s

Sandwich ELISA - Anti-nNOS (neuronal) antibody [EPR20372-53] - BSA and Azide free (Capture) (AB244742)
  • sELISA

Supplier Data

Sandwich ELISA - Anti-nNOS (neuronal) antibody [EPR20372-53] - BSA and Azide free (Capture) (AB244742)

Representative standard curve from corresponding SimpleStep ELISA® Kit (ab233628).

Key facts

Host species

Rabbit

Clonality

Monoclonal

Clone number

EPR20372-53

Isotype

IgG

Carrier free

Yes

Reacts with

Human

Applications

IHC-P, sELISA, WB

applications

Immunogen

The exact immunogen used to generate this antibody is proprietary information.

Reactivity data

{ "title": "Reactivity Data", "filters": { "stats": ["", "Species", "Dilution Info", "Notes"], "tabs": { "all-applications": {"fullname" : "All Applications", "shortname": "All Applications"}, "sELISA" : {"fullname" : "Sandwich ELISA", "shortname":"sELISA"}, "WB" : {"fullname" : "Western blot", "shortname":"WB"}, "IHCP" : {"fullname" : "Immunohistochemistry (Formalin/PFA-fixed paraffin-embedded sections)", "shortname":"IHC-P"} }, "product-promise": { "all": "all", "testedAndGuaranteed": "tested", "guaranteed": "expected", "predicted": "predicted", "notRecommended": "not-recommended" } }, "values": { "Human": { "sELISA-species-checked": "guaranteed", "sELISA-species-dilution-info": "", "sELISA-species-notes": "<p></p>", "WB-species-checked": "testedAndGuaranteed", "WB-species-dilution-info": "", "WB-species-notes": "<p></p>", "IHCP-species-checked": "testedAndGuaranteed", "IHCP-species-dilution-info": "", "IHCP-species-notes": "<p></p>" }, "Mouse": { "sELISA-species-checked": "notRecommended", "sELISA-species-dilution-info": "", "sELISA-species-notes": "", "WB-species-checked": "notRecommended", "WB-species-dilution-info": "", "WB-species-notes": "<p></p>", "IHCP-species-checked": "notRecommended", "IHCP-species-dilution-info": "", "IHCP-species-notes": "<p></p>" }, "Rat": { "sELISA-species-checked": "notRecommended", "sELISA-species-dilution-info": "", "sELISA-species-notes": "", "WB-species-checked": "notRecommended", "WB-species-dilution-info": "", "WB-species-notes": "<p></p>", "IHCP-species-checked": "notRecommended", "IHCP-species-dilution-info": "", "IHCP-species-notes": "<p></p>" } } }

Product details

ab244742 is a BSA and Azide Free antibody supplied in an unconjugated format and it is suitable for sandwich ELISAs to quantify Human Niemann Pick C2. The recommended pair for sandwich ELISA is:
Capture: ab244742, Human Niemann Pick C2 Capture Antibody (unconjugated)
Detector: ab245012, Human Niemann Pick C2 Detector Antibody (unconjugated)
The reference range value is 312.5 - 20000 pg/ml.

Patented technology
Our RabMAb® technology is a patented hybridoma-based technology for making rabbit monoclonal antibodies. For details on our patents, please refer to RabMAb® patents.

What are the advantages of a recombinant monoclonal antibody?
This product is a recombinant monoclonal antibody, which offers several advantages including:

  • - High batch-to-batch consistency and reproducibility
  • - Improved sensitivity and specificity
  • - Long-term security of supply
  • - Animal-free batch production

For more information, read more on recombinant antibodies.

Conjugation ready
Our carrier-free antibodies are typically supplied in a PBS-only formulation, purified and free of BSA, sodium azide and glycerol. This conjugation-ready format is designed for use with fluorochromes, metal isotopes, oligonucleotides, and enzymes, which makes them ideal for antibody labelling, functional and cell-based assays, flow-based assays (e.g. mass cytometry) and Multiplex Imaging applications.

Use our conjugation kits for antibody conjugates that are ready-to-use in as little as 20 minutes with 1 minute hands-on-time and 100% antibody recovery: available for fluorescent dyes, HRP, biotin and gold.

Sandwich ELISA
The recommended antibody orientation is based on internal optimization for ELISA-based assays. Antibody orientation is assay dependent and needs to be optimized for each assay type. Please note that the range provided for this antibody is only an estimation based on the performance of the product using the recommended antibody pair. Performance of the antibody pair will depend on the specific characteristics of your assay. We guarantee the product works in sandwich ELISA, but we do not guarantee the sensitivity or dynamic range of the antibody in your assay.

Properties and storage information

Form
Liquid
Purification technique
Affinity purification Protein A
Storage buffer
Constituents: 100% PBS
Shipped at conditions
Blue Ice
Appropriate short-term storage conditions
+4°C
Appropriate long-term storage conditions
+4°C

Supplementary information

This supplementary information is collated from multiple sources and compiled automatically.

NNOS also known as nitric oxide synthase 1 or NOS1 is a critical enzyme in the nervous system. It catalyzes the production of nitric oxide from L-arginine. This enzyme weighing approximately 160 kDa is expressed in neurons and you can find it in regions like the brain and spinal cord. Notably nNOS is part of the NOS family which also includes eNOS and iNOS but its primary function is in neuronal tissues.
Biological function summary

NNOS plays a significant role in neurotransmission and neurovascular regulation. As a part of protein complexes nNOS closely interacts with other signaling molecules to modulate neuronal communication. The production of nitric oxide by nNOS acts as a neurotransmitter influencing brain functions such as synaptic plasticity and memory formation. Additionally due to its role in neuronal activity antibodies like anti-neuronal antibodies can have interactions that can be studied using various assays including the NOS assay.

Pathways

NNOS serves essential roles within the neuronal nitric oxide signaling pathway and the glutamatergic signaling pathway. In these contexts nNOS associates with proteins involved in cell signaling such as calmodulin which regulates its activity. By participating in these pathways nNOS contributes to the regulation of vascular tone and synaptic transmission linking it to neurological processes and supporting neuronal communication.

NNOS shows significant connections to neurological disorders and cardiovascular diseases. In conditions like stroke and neurodegenerative diseases dysregulation of nNOS activity leads to excessive production of nitric oxide which can result in oxidative stress and neuronal damage. Furthermore its relation with eNOS in the cardiovascular system influences vascular function making it a critical player in hypertension studies. Understanding nNOS interactions through diseases highlights the possibility of targeted treatments using neuronal antibodies and anti-neuronal antibodies against specific pathways.

Product protocols

For this product, it's our understanding that no specific protocols are required. You can visit:

Target data

Produces nitric oxide (NO) which is a messenger molecule with diverse functions throughout the body. In the brain and peripheral nervous system, NO displays many properties of a neurotransmitter. Probably has nitrosylase activity and mediates cysteine S-nitrosylation of cytoplasmic target proteins such SRR.
See full target information Nitric oxide synthase, brain

Product promise

We are committed to supporting your work with high-quality reagents, and we're here for you every step of the way. In the unlikely event that one of our products does not perform as expected, you're protected by our Product Promise.
For full details, please see our Terms & Conditions

Please note: All products are 'FOR RESEARCH USE ONLY. NOT FOR USE IN DIAGNOSTIC OR THERAPEUTIC PROCEDURES'.

For licensing inquiries, please contact partnerships@abcam.com