JavaScript is disabled in your browser. Please enable JavaScript to view this website.
AB251886

Anti-NNT1 antibody

Be the first to review this product! Submit a review

|

(2 Publications)

Rabbit Polyclonal NNT1 antibody. Suitable for IHC-P, WB, ICC/IF and reacts with Human samples. Cited in 2 publications. Immunogen corresponding to Recombinant Fragment Protein within Human CLCF1 aa 1-150.

View Alternative Names

BSF3, CLC, NNT1, CLCF1, Cardiotrophin-like cytokine factor 1, B-cell-stimulating factor 3, Novel neurotrophin-1, BSF-3, NNT-1

3 Images
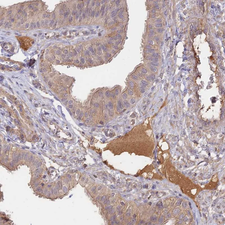
Immunohistochemistry (Formalin/PFA-fixed paraffin-embedded sections) - Anti-NNT1 antibody (AB251886)
  • IHC-P

Unknown

Immunohistochemistry (Formalin/PFA-fixed paraffin-embedded sections) - Anti-NNT1 antibody (AB251886)

Paraffin-embedded human fallopian tube tissue stained for NNT1 using ab251886 at 1/20 dilution in immunohistochemical analysis.

Immunocytochemistry/ Immunofluorescence - Anti-NNT1 antibody (AB251886)
  • ICC/IF

Unknown

Immunocytochemistry/ Immunofluorescence - Anti-NNT1 antibody (AB251886)

PFA-fixed, Triton X-100 permeabilized SiHa cells stained for NNT1 (green) using ab251886 at 4 µg/ml in ICC/IF.

Western blot - Anti-NNT1 antibody (AB251886)
  • WB

Unknown

Western blot - Anti-NNT1 antibody (AB251886)

All lanes:

Western blot - Anti-NNT1 antibody (ab251886) at 0.4 µg/mL

Lane 1:

Vector only transfected HEK-293T (human epithelial cell line from embryonic kidney transformed with large T antigen) whole cell lysate

Lane 2:

HEK-293T overexpressing NNT1 with a C-terminal myc-DDK tag, whole cell lysate

false

Key facts

Host species

Rabbit

Clonality

Polyclonal

Isotype

IgG

Carrier free

No

Reacts with

Human

Applications

WB, IHC-P, ICC/IF

applications

Immunogen

Recombinant Fragment Protein within Human CLCF1 aa 1-150. The exact immunogen used to generate this antibody is proprietary information.

Q9UBD9

Reactivity data

{ "title": "Reactivity Data", "filters": { "stats": ["", "Species", "Dilution Info", "Notes"], "tabs": { "all-applications": {"fullname" : "All Applications", "shortname": "All Applications"}, "IHCP" : {"fullname" : "Immunohistochemistry (Formalin/PFA-fixed paraffin-embedded sections)", "shortname":"IHC-P"}, "WB" : {"fullname" : "Western blot", "shortname":"WB"}, "ICCIF" : {"fullname" : "Immunocytochemistry/ Immunofluorescence", "shortname":"ICC/IF"} }, "product-promise": { "all": "all", "testedAndGuaranteed": "tested", "guaranteed": "expected", "predicted": "predicted", "notRecommended": "not-recommended" } }, "values": { "Human": { "IHCP-species-checked": "testedAndGuaranteed", "IHCP-species-dilution-info": "1/20 - 1/50", "IHCP-species-notes": "<p></p> Perform heat-mediated antigen retrieval with citrate buffer pH 6 before commencing with IHC staining protocol.", "WB-species-checked": "testedAndGuaranteed", "WB-species-dilution-info": "0.04-0.4 µg/mL", "WB-species-notes": "<p></p>", "ICCIF-species-checked": "testedAndGuaranteed", "ICCIF-species-dilution-info": "0.25-2 µg/mL", "ICCIF-species-notes": "<p>Fixation/Permeabilization: PFA/Triton X-100.</p>" }, "Mouse": { "IHCP-species-checked": "predicted", "IHCP-species-dilution-info": "", "IHCP-species-notes": "", "WB-species-checked": "predicted", "WB-species-dilution-info": "", "WB-species-notes": "", "ICCIF-species-checked": "predicted", "ICCIF-species-dilution-info": "", "ICCIF-species-notes": "" } } }

Properties and storage information

Form
Liquid
Purification technique
Affinity purification Immunogen
Storage buffer
pH: 7.2 Preservative: 0.02% Sodium azide Constituents: PBS, 40% Glycerol (glycerin, glycerine)
Shipped at conditions
Blue Ice
Appropriate short-term storage duration
1-2 weeks
Appropriate short-term storage conditions
+4°C
Appropriate long-term storage conditions
-20°C
Aliquoting information
Upon delivery aliquot
Storage information
Avoid freeze / thaw cycle

Supplementary information

This supplementary information is collated from multiple sources and compiled automatically.

The protein 'NNT1' also known as nicotinamide nucleotide transhydrogenase is a mitochondrial enzyme with a mass of approximately 114 kDa. It is expressed in various tissues with high concentrations in the heart liver and kidney. Mechanically NNT1 is a membrane-bound enzyme that acts to transfer hydride ions between NADH and NADP+ facilitating the production of NADPH within the mitochondria. This process is important for maintaining cellular redox balance and supporting antioxidant defense systems.
Biological function summary

The function of maintaining NADPH levels makes NNT1 an important player in protecting cells from oxidative damage. It functions as part of the inner mitochondrial membrane and is not generally considered to be part of a larger complex in its basic form. By perpetuating a pool of available NADPH NNT1 aids cellular processes such as lipid synthesis and detoxification.

Pathways

The activity of NNT1 is integral to the maintenance of mitochondrial homeostasis particularly the oxidative phosphorylation pathway. It has associations with the glutathione antioxidant pathway as it contributes to the regeneration of reduced glutathione through provision of NADPH. The pathways involving NNT1 connect it to proteins such as glutathione reductase and those involved in the electron transport chain.

NNT1 has connections to metabolic disorders and conditions related to oxidative stress. Mutations in the NNT1 gene can be linked to familial glucocorticoid deficiency a condition affecting adrenal gland function. This protein is also related to oxidative stress which can connect it to neurodegenerative disorders with ties to proteins involved in mitochondrial dysfunction and stress responses.

Product protocols

For this product, it's our understanding that no specific protocols are required. You can visit:

Target data

In complex with CRLF1, forms a heterodimeric neurotropic cytokine that plays a crucial role during neuronal development (Probable). Also stimulates B-cells. Binds to and activates the ILST/gp130 receptor.
See full target information CLCF1

Publications (2)

Recent publications for all applications. Explore the full list and refine your search

Nephrology (Carlton, Vic.) 30:e70022 PubMed40147028

2025

Fibrillary Glomerulonephritis: Clinicopathological Characteristics and Outcome-Case Series From a Multicentre Australasian Cohort.

Applications

Unspecified application

Species

Unspecified reactive species

Muralikrishna Gangadharan Komala,Angela Bayly,Adrian Y S Lee,Brian Nankivell,Levina Neill,Seethalakshmi Viswanathan

BMC musculoskeletal disorders 22:62 PubMed33430863

2021

Association of cardiotrophin-like cytokine factor 1 levels in peripheral blood mononuclear cells with bone mineral density and osteoporosis in postmenopausal women.

Applications

Unspecified application

Species

Unspecified reactive species

Xuan Chen,Jianyang Li,Yunjin Ye,Jingwen Huang,Lihua Xie,Juan Chen,Shengqiang Li,Sainan Chen,Jirong Ge
View all publications

Product promise

We are committed to supporting your work with high-quality reagents, and we're here for you every step of the way. In the unlikely event that one of our products does not perform as expected, you're protected by our Product Promise.
For full details, please see our Terms & Conditions

Please note: All products are 'FOR RESEARCH USE ONLY. NOT FOR USE IN DIAGNOSTIC OR THERAPEUTIC PROCEDURES'.

For licensing inquiries, please contact partnerships@abcam.com