JavaScript is disabled in your browser. Please enable JavaScript to view this website.
AB246904

Anti-Nocturnin antibody

Be the first to review this product! Submit a review

|

(0 Publication)

Rabbit Polyclonal Nocturnin antibody. Suitable for IHC-P, ICC/IF and reacts with Human samples. Immunogen corresponding to Recombinant Fragment Protein within Human NOCT aa 250 to C-terminus.

View Alternative Names

CCR4, CCRN4L, NOC, NOCT, Nocturnin, Carbon catabolite repression 4-like protein

2 Images
Immunocytochemistry/ Immunofluorescence - Anti-Nocturnin antibody (AB246904)
  • ICC/IF

Unknown

Immunocytochemistry/ Immunofluorescence - Anti-Nocturnin antibody (AB246904)

PFA-fixed, Triton X-100 permeabilized A431 (human epidermoid carcinoma cell line) cells stained for Nocturnin (green) using ab246904 at 4 μg/ml in ICC/IF.

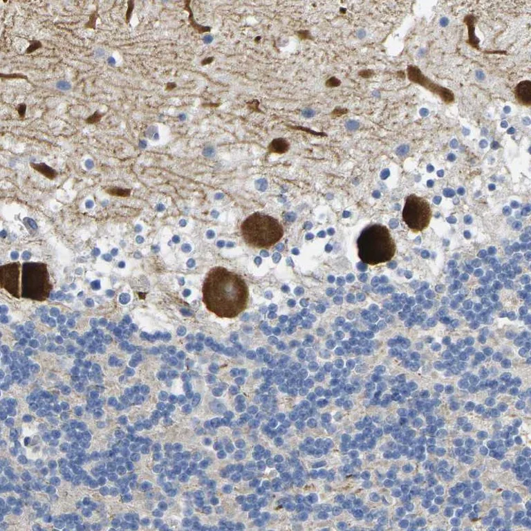
Immunohistochemistry (Formalin/PFA-fixed paraffin-embedded sections) - Anti-Nocturnin antibody (AB246904)
  • IHC-P

Unknown

Immunohistochemistry (Formalin/PFA-fixed paraffin-embedded sections) - Anti-Nocturnin antibody (AB246904)

Paraffin-embedded human cerebellum tissue stained for Nocturnin using ab246904 at 1/50 dilution in immunohistochemical analysis.

Key facts

Host species

Rabbit

Clonality

Polyclonal

Isotype

IgG

Carrier free

No

Reacts with

Human

Applications

IHC-P, ICC/IF

applications

Immunogen

Recombinant Fragment Protein within Human NOCT aa 250 to C-terminus. The exact immunogen used to generate this antibody is proprietary information.

Q9UK39

Reactivity data

{ "title": "Reactivity Data", "filters": { "stats": ["", "Species", "Dilution Info", "Notes"], "tabs": { "all-applications": {"fullname" : "All Applications", "shortname": "All Applications"}, "IHCP" : {"fullname" : "Immunohistochemistry (Formalin/PFA-fixed paraffin-embedded sections)", "shortname":"IHC-P"}, "ICCIF" : {"fullname" : "Immunocytochemistry/ Immunofluorescence", "shortname":"ICC/IF"} }, "product-promise": { "all": "all", "testedAndGuaranteed": "tested", "guaranteed": "expected", "predicted": "predicted", "notRecommended": "not-recommended" } }, "values": { "Human": { "IHCP-species-checked": "testedAndGuaranteed", "IHCP-species-dilution-info": "1/50 - 1/200", "IHCP-species-notes": "<p></p> Perform heat-mediated antigen retrieval with citrate buffer pH 6 before commencing with IHC staining protocol.", "ICCIF-species-checked": "testedAndGuaranteed", "ICCIF-species-dilution-info": "0.25-2 µg/mL", "ICCIF-species-notes": "<p>Fixation/Permeabilization: PFA/Triton X-100.</p>" }, "Mouse": { "IHCP-species-checked": "predicted", "IHCP-species-dilution-info": "", "IHCP-species-notes": "", "ICCIF-species-checked": "predicted", "ICCIF-species-dilution-info": "", "ICCIF-species-notes": "" }, "Rat": { "IHCP-species-checked": "predicted", "IHCP-species-dilution-info": "", "IHCP-species-notes": "", "ICCIF-species-checked": "predicted", "ICCIF-species-dilution-info": "", "ICCIF-species-notes": "" } } }

Properties and storage information

Form
Liquid
Purification technique
Affinity purification Immunogen
Storage buffer
pH: 7.2 Preservative: 0.02% Sodium azide Constituents: PBS, 40% Glycerol (glycerin, glycerine)
Shipped at conditions
Blue Ice
Appropriate short-term storage duration
1-2 weeks
Appropriate short-term storage conditions
+4°C
Appropriate long-term storage conditions
-20°C
Aliquoting information
Upon delivery aliquot
Storage information
Avoid freeze / thaw cycle

Supplementary information

This supplementary information is collated from multiple sources and compiled automatically.

The Nocturnin protein also known as Ccrn4l is a highly conserved enzyme with a molecular mass of approximately 48 kDa. It functions as a deadenylase involved in the removal of poly(A) tails from mRNA and is active mainly in the cytoplasm. Nocturnin expression occurs widely in tissues with significant levels in the liver adipose tissue and skeletal muscles. Its expression is regulated by the circadian clock indicating that it plays a role in synchronizing metabolic processes with environmental light-dark cycles.
Biological function summary

The functions of Nocturnin extend beyond simple mRNA processing. It influences lipid metabolism and energy homeostasis shaping cellular responses to nutrient intake and fasting. It does not typically form part of large protein complexes but associates with specific mRNA substrates and possibly other RNA-binding proteins. Researchers find its role pivotal in adjusting the cellular metabolism in response to circadian rhythms highlighting its influence on energy baselines and storage mechanisms.

Pathways

Nocturnin interacts with distinct circadian and metabolic pathways. The protein is an important player in the regulation of the circadian rhythm pathway acting in concert with core clock proteins like BMAL1 and CLOCK to modulate metabolic genes. Nocturnin also plays a part in the fatty acid metabolism pathway wherein it aids in coordinating cellular energy states and storage capacities. These interactions highlight its integrative function between timekeeping and nutrient metabolism establishing a link between environmental cues and metabolic responses.

Nocturnin shows associations with metabolic disorders and obesity. Its dysregulation can disrupt normal circadian-regulated metabolic processes leading to an increased risk of metabolic syndrome. This protein may also connect to glucose metabolism disorders through its function within the metabolic pathways potentially influencing insulin sensitivity and glucose homeostasis. The insulin signaling pathway involving proteins like IRS-1 interacts with Nocturnin suggesting that dysregulation in its function could have broader implications in metabolic health.

Product protocols

For this product, it's our understanding that no specific protocols are required. You can visit:

Target data

Phosphatase which catalyzes the conversion of NADP(+) to NAD(+) and of NADPH to NADH (PubMed : 31147539). Shows a small preference for NADPH over NADP(+) (PubMed : 31147539). Represses translation and promotes degradation of target mRNA molecules (PubMed : 29860338). Plays an important role in post-transcriptional regulation of metabolic genes under circadian control (By similarity). Exerts a rhythmic post-transcriptional control of genes necessary for metabolic functions including nutrient absorption, glucose/insulin sensitivity, lipid metabolism, adipogenesis, inflammation and osteogenesis (By similarity). Plays an important role in favoring adipogenesis over osteoblastogenesis and acts as a key regulator of the adipogenesis/osteogenesis balance (By similarity). Promotes adipogenesis by facilitating PPARG nuclear translocation which activates its transcriptional activity (By similarity). Regulates circadian expression of NOS2 in the liver and negatively regulates the circadian expression of IGF1 in the bone (By similarity). Critical for proper development of early embryos (By similarity).
See full target information NOCT

Product promise

We are committed to supporting your work with high-quality reagents, and we're here for you every step of the way. In the unlikely event that one of our products does not perform as expected, you're protected by our Product Promise.
For full details, please see our Terms & Conditions

Please note: All products are 'FOR RESEARCH USE ONLY. NOT FOR USE IN DIAGNOSTIC OR THERAPEUTIC PROCEDURES'.

For licensing inquiries, please contact partnerships@abcam.com