JavaScript is disabled in your browser. Please enable JavaScript to view this website.
AB16054

Anti-Noggin antibody

3

(8 Reviews)

|

(27 Publications)

Rabbit Polyclonal Noggin antibody. Suitable for IHC-P, WB and reacts with Human, Mouse samples. Cited in 27 publications.

View Alternative Names

Noggin, NOG

6 Images
Immunohistochemistry (Formalin/PFA-fixed paraffin-embedded sections) - Anti-Noggin antibody (AB16054)
  • IHC-P

Unknown

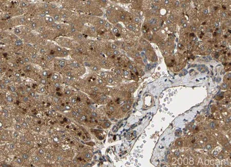
Immunohistochemistry (Formalin/PFA-fixed paraffin-embedded sections) - Anti-Noggin antibody (AB16054)

ab16054 stainning Noggin in paraffin-embedded human liver tissue, showing a cytoplasmic and/or membranous distribution in both hepatocytes and bile duct cells. Paraffin embedded tissue was incubated with ab16054 (1/175 dilution) for 30 minutes at room temperature. Antigen retrieval was performed by heat induction in citrate buffer pH 6. ab16054 was tested in a tissue microarray (TMA) containing a wide range of normal and cancer tissues as well as a cell microarray consisting of a range of commonly used, well characterised human cell lines.

Immunohistochemistry (Formalin/PFA-fixed paraffin-embedded sections) - Anti-Noggin antibody (AB16054)
  • IHC-P

AbReview43838****

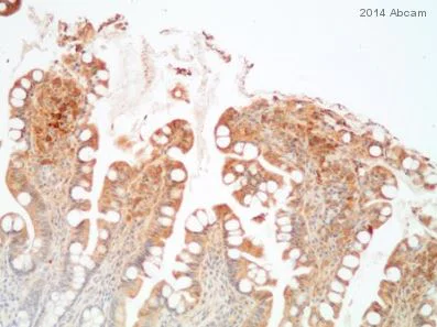
Immunohistochemistry (Formalin/PFA-fixed paraffin-embedded sections) - Anti-Noggin antibody (AB16054)

Immunohistochemical analysis of human small intestine tissue, labeling Noggin with ab16054. Tissue was formaldehyde fixed, treated with EDTA (pH 8.6) at 100°C for 20 minutes for heat-mediated antigen retrieval and blocked with 3% Hydrogen Peroxide for 10 minutes at 25°C. Incubation with ab16054 (diluted 1/400) was performed for 20 minutes at 25°C.

This image is courtesy of an anonymous Abreview.

Immunohistochemistry (Formalin/PFA-fixed paraffin-embedded sections) - Anti-Noggin antibody (AB16054)
  • IHC-P

AbReview14545****

Immunohistochemistry (Formalin/PFA-fixed paraffin-embedded sections) - Anti-Noggin antibody (AB16054)

Immunohistochemical analysis of mouse kidney tissue, labeling Noggin with ab16054. Tissue was paraformaldehyde fixed, treated with Citrate buffer for heat-mediated antigen retrieval and blocked with Serum Free Protein Block for 20 minutes. Incubation with ab16054 (diluted 1/2500) was performed for 15 hours at 4°C

This image is courtesy of an anonymous Abreview.

Western blot - Anti-Noggin antibody (AB16054)
  • WB

Unknown

Western blot - Anti-Noggin antibody (AB16054)

All lanes:

Western blot - Anti-Noggin antibody (ab16054) at 1 µg/mL

Lane 1:

Noggin Human Recombinant Protein at 0.1 µg

Lane 2:

Noggin Mouse Recombinant Protein at 0.1 µg

Secondary

All lanes:

Goat polyclonal to Rabbit IgG - H&L - Pre-Adsorbed (HRP) at 1/3000 dilution

Predicted band size: 26 kDa

Observed band size: 26 kDa,35 kDa

true

Exposure time: 1min

Western blot - Anti-Noggin antibody (AB16054)
  • WB

Project

Western blot - Anti-Noggin antibody (AB16054)

All lanes:

Western blot - Anti-Noggin antibody (ab16054) at 1 µg/mL

Lane 1:

Noggin Mouse Recombinant Protein at 0.01 µg

Lane 2:

Noggin Mouse Recombinant Protein at 0.01 µg with Human Noggin peptide (<a href='/en-us/products/unavailable/human-noggin-peptide-ab16380'>ab16380</a>)

Predicted band size: 26 kDa

Observed band size: 26 kDa

false

Western blot - Anti-Noggin antibody (AB16054)
  • WB

Unknown

Western blot - Anti-Noggin antibody (AB16054)

All lanes:

Western blot - Anti-Noggin antibody (ab16054) at 1 µg/mL

All lanes:

Recombinant human Noggin protein (ab73756) at 1 µg

Secondary

All lanes:

Western blot - Goat Anti-Rabbit IgG H&L (HRP) preadsorbed (<a href='/en-us/products/secondary-antibodies/goat-rabbit-igg-h-l-hrp-preadsorbed-ab97080'>ab97080</a>) at 1/5000 dilution

Predicted band size: 26 kDa

true

Exposure time: 4min

Key facts

Host species

Rabbit

Clonality

Polyclonal

Isotype

IgG

Carrier free

No

Reacts with

Mouse, Human

Applications

WB, IHC-P

applications

Immunogen

The exact immunogen used to generate this antibody is proprietary information.

Specificity

From Jan 2024, QC testing of replenishment batches of this polyclonal changed. All tested and expected application and reactive species combinations are still covered by our Abcam product promise. However, we no longer test all applications. For more information on a specific batch, please contact our Scientific Support who will be happy to help. You may also be interested in our alternative recombinant antibody, ab124977.

Reactivity data

{ "title": "Reactivity Data", "filters": { "stats": ["", "Species", "Dilution Info", "Notes"], "tabs": { "all-applications": {"fullname" : "All Applications", "shortname": "All Applications"}, "IHCP" : {"fullname" : "Immunohistochemistry (Formalin/PFA-fixed paraffin-embedded sections)", "shortname":"IHC-P"}, "WB" : {"fullname" : "Western blot", "shortname":"WB"}, "IHCFr" : {"fullname" : "Immunohistochemistry (Frozen sections)", "shortname":"IHC-Fr"} }, "product-promise": { "all": "all", "testedAndGuaranteed": "tested", "guaranteed": "expected", "predicted": "predicted", "notRecommended": "not-recommended" } }, "values": { "Human": { "IHCP-species-checked": "guaranteed", "IHCP-species-dilution-info": "1/175", "IHCP-species-notes": "<p></p> Perform heat-mediated antigen retrieval via the pressure cooker method before commencing with IHC staining protocol.", "WB-species-checked": "guaranteed", "WB-species-dilution-info": "1 µg/mL", "WB-species-notes": "<p></p>", "IHCFr-species-checked": "notRecommended", "IHCFr-species-dilution-info": "", "IHCFr-species-notes": "<p></p>" }, "Mouse": { "IHCP-species-checked": "guaranteed", "IHCP-species-dilution-info": "1/175", "IHCP-species-notes": "<p></p> Perform heat-mediated antigen retrieval via the pressure cooker method before commencing with IHC staining protocol.", "WB-species-checked": "testedAndGuaranteed", "WB-species-dilution-info": "1 µg/mL", "WB-species-notes": "<p></p>", "IHCFr-species-checked": "notRecommended", "IHCFr-species-dilution-info": "", "IHCFr-species-notes": "<p></p>" }, "Chicken": { "IHCP-species-checked": "predicted", "IHCP-species-dilution-info": "", "IHCP-species-notes": "", "WB-species-checked": "predicted", "WB-species-dilution-info": "", "WB-species-notes": "", "IHCFr-species-checked": "notRecommended", "IHCFr-species-dilution-info": "", "IHCFr-species-notes": "" }, "Horse": { "IHCP-species-checked": "predicted", "IHCP-species-dilution-info": "", "IHCP-species-notes": "", "WB-species-checked": "predicted", "WB-species-dilution-info": "", "WB-species-notes": "", "IHCFr-species-checked": "notRecommended", "IHCFr-species-dilution-info": "", "IHCFr-species-notes": "" }, "Xenopus laevis": { "IHCP-species-checked": "predicted", "IHCP-species-dilution-info": "", "IHCP-species-notes": "", "WB-species-checked": "predicted", "WB-species-dilution-info": "", "WB-species-notes": "", "IHCFr-species-checked": "notRecommended", "IHCFr-species-dilution-info": "", "IHCFr-species-notes": "" } } }

Properties and storage information

Form
Liquid
Purification technique
Affinity purification Immunogen
Storage buffer
pH: 7.4 Preservative: 0.02% Sodium azide Constituents: 98.98% PBS, 1% BSA
Shipped at conditions
Blue Ice
Appropriate short-term storage duration
1-2 weeks
Appropriate short-term storage conditions
+4°C
Appropriate long-term storage conditions
-20°C
Aliquoting information
Upon delivery aliquot
Storage information
Avoid freeze / thaw cycle

Supplementary information

This supplementary information is collated from multiple sources and compiled automatically.

Noggin also known as noggin protein is a secreted glycoprotein with a mass of approximately 26 kDa. It antagonizes bone morphogenetic proteins (BMPs) by directly binding them preventing their interaction with receptors. This binding inhibits the signaling pathway which affects cellular processes such as differentiation growth and apoptosis. Noggin expresses prominently in embryonic tissues and in tissues undergoing differentiation particularly in the neural tube notochord and developing articular cartilage. The expression pattern suggests its importance during critical phases of development and tissue patterning.
Biological function summary

Noggin functions as an essential regulator in embryonic development sculpting tissues by inhibiting BMP activity. It does not work alone but functions as part of a complex regulatory network involving other BMP antagonists. By inhibiting BMPs Noggin plays an important role in neural tube closure limb formation and somite development. Noggin's activities help modulate the balance between proliferation and differentiation in these contexts allowing for proper structural formation during embryogenesis.

Pathways

Noggin operates mainly within the TGF-beta/BMP signaling pathway serving as a critical modulator. Inhibiting BMP through Noggin affects downstream targets connecting it to other signaling proteins like SMADs which mediate transcriptional responses. This control enables Noggin to indirectly regulate Wnt signaling as well showing its impact on various developmental stages and processes. Its influence on these pathways indicates Noggin’s importance in maintaining cellular homeostasis during growth and morphogenesis.

Noggin relates to conditions such as fibrodysplasia ossificans progressiva and cartilage-related abnormalities. Mutations or dysregulation of noggin protein can disrupt normal BMP signaling leading to aberrant skeletal development and calcification. This disruption often involves interactions with other proteins like BMP4 revealing Noggin's critical role in maintaining bone and cartilage integrity. Targeting noggin pathway components may provide therapeutic potential for addressing such conditions.

Product protocols

For this product, it's our understanding that no specific protocols are required. You can visit:

Target data

Inhibitor of bone morphogenetic proteins (BMP) signaling which is required for growth and patterning of the neural tube and somite. Essential for cartilage morphogenesis and joint formation. Inhibits chondrocyte differentiation through its interaction with GDF5 and, probably, GDF6 (PubMed : 21976273, PubMed : 26643732).
See full target information NOG

Publications (27)

Recent publications for all applications. Explore the full list and refine your search

Scientific reports 13:15587 PubMed37863919

2023

Effects of oxytocin on the hair growth ability of dermal papilla cells.

Applications

Unspecified application

Species

Unspecified reactive species

Tatsuto Kageyama,Jieun Seo,Lei Yan,Junji Fukuda

Autophagy 19:256-277 PubMed35491858

2022

Tubular cells produce FGF2 via autophagy after acute kidney injury leading to fibroblast activation and renal fibrosis.

Applications

Unspecified application

Species

Unspecified reactive species

Man J Livingston,Shaoqun Shu,Ying Fan,Ze Li,Qiong Jiao,Xiao-Ming Yin,Manjeri A Venkatachalam,Zheng Dong

Antioxidants (Basel, Switzerland) 10: PubMed34679710

2021

Glyoxalase-I Is Upregulated in Acute Cerulein-Induced Pancreatitis: A New Mechanism in Pancreatic Inflammation?

Applications

Unspecified application

Species

Unspecified reactive species

Marcus Hollenbach,Sebastian Sonnenberg,Ines Sommerer,Jana Lorenz,Albrecht Hoffmeister

BMC veterinary research 17:254 PubMed34311726

2021

A defect in the NOG gene increases susceptibility to spontaneous superficial chronic corneal epithelial defects (SCCED) in boxer dogs.

Applications

Unspecified application

Species

Unspecified reactive species

Kathryn M Meurs,Keith Montgomery,Steven G Friedenberg,Brian Williams,Brian C Gilger

Otology & neurotology : official publication of the American Otological Society, American Neurotology Society [and] European Academy of Otology and Neurotology 42:e1143-e1151 PubMed34049328

2021

Genetic Heterogeneity and Core Clinical Features of NOG-Related-Symphalangism Spectrum Disorder.

Applications

Unspecified application

Species

Unspecified reactive species

Ryan J Carlson,Alicia Quesnel,Dawson Wells,Zippora Brownstein,Dror Gilony,Suleyman Gulsuner,Kathleen A Leppig,Karen B Avraham,Mary-Claire King,Tom Walsh,Jay Rubinstein

Developmental cell 56:1930-1944.e5 PubMed34051144

2021

Differential compartmentalization of BMP4/NOGGIN requires NOGGIN trans-epithelial transport.

Applications

Unspecified application

Species

Unspecified reactive species

Tien Phan-Everson,Fred Etoc,Shu Li,Samuel Khodursky,Anna Yoney,Ali H Brivanlou,Eric D Siggia

BMC cancer 21:558 PubMed34001012

2021

Prognostic value of noggin protein expression in patients with resected gastric cancer.

Applications

Unspecified application

Species

Unspecified reactive species

Sang Hoon Chun,Eun Young Kim,Jung-Sook Yoon,Hye Sung Won,Kwangil Yim,Hye Won Hwang,Soon Auck Hong,Minho Lee,Su Lim Lee,Sung-Soo Kim,Der Sheng Sun,Yoon Ho Ko

Stem cell reports 15:1067-1079 PubMed33125875

2020

Leptin Receptor Signaling Regulates Protein Synthesis Pathways and Neuronal Differentiation in Pluripotent Stem Cells.

Applications

Unspecified application

Species

Unspecified reactive species

Manoj K Gupta,Heidrun Vethe,Samir Softic,Tata Nageswara Rao,Vilas Wagh,Jun Shirakawa,Harald Barsnes,Marc Vaudel,Tomozumi Takatani,Sevim Kahraman,Masaji Sakaguchi,Rachael Martinez,Jiang Hu,Yngvild Bjørlykke,Helge Raeder,Rohit N Kulkarni

Cell reports 30:2791-2806.e5 PubMed32101752

2020

Directed Differentiation of Notochord-like and Nucleus Pulposus-like Cells Using Human Pluripotent Stem Cells.

Applications

Unspecified application

Species

Unspecified reactive species

Yuelin Zhang,Zhao Zhang,Peikai Chen,Chui Yan Ma,Cheng Li,Tiffany Y K Au,Vivian Tam,Yan Peng,Ron Wu,Kenneth Man Chee Cheung,Pak C Sham,Hung-Fat Tse,Danny Chan,Victor Y Leung,Kathryn S E Cheah,Qizhou Lian

International journal of molecular sciences 20: PubMed30609838

2019

Myelination in Multiple Sclerosis Lesions Is Associated with Regulation of Bone Morphogenetic Protein 4 and Its Antagonist Noggin.

Applications

Unspecified application

Species

Unspecified reactive species

Kim Harnisch,Sarah Teuber-Hanselmann,Nicole Macha,Fabian Mairinger,Lena Fritsche,Daniel Soub,Edgar Meinl,Andreas Junker
View all publications

Product promise

We are committed to supporting your work with high-quality reagents, and we're here for you every step of the way. In the unlikely event that one of our products does not perform as expected, you're protected by our Product Promise.
For full details, please see our Terms & Conditions

Please note: All products are 'FOR RESEARCH USE ONLY. NOT FOR USE IN DIAGNOSTIC OR THERAPEUTIC PROCEDURES'.

For licensing inquiries, please contact partnerships@abcam.com