JavaScript is disabled in your browser. Please enable JavaScript to view this website.
AB318265

Anti-Nogo A + Nogo D antibody [EPR26286-15] - BSA and Azide free

Be the first to review this product! Submit a review

|

(0 Publication)

Rabbit Recombinant Monoclonal RTN4 antibody. Carrier free. Suitable for WB, IHC-P, IHC-Fr, ICC/IF and reacts with Transfected cell lysate - Mouse, Mouse, Rat samples.

View Alternative Names

Kiaa0886, Nogo, Reticulon-4, Neurite outgrowth inhibitor, Nogo protein

17 Images
Immunocytochemistry/ Immunofluorescence - Anti-Nogo A + Nogo D antibody [EPR26286-15] - BSA and Azide free (AB318265)
  • ICC/IF

Supplier Data

Immunocytochemistry/ Immunofluorescence - Anti-Nogo A + Nogo D antibody [EPR26286-15] - BSA and Azide free (AB318265)

This data was developed using ab318264, the same antibody clone in a different buffer formulation.

Immunofluorescent analysis of 4% Paraformaldehyde-fixed, 0.1% TritonX-100 permeabilized rat primary neural/glia cell cells labelling Nogo A + Nogo D with ab318264 at 1/50 (9.92 ug/ml) dilution, followed by ab150081 Goat Anti-Rabbit IgG H&L (Alexa Fluor® 488) preadsorbed antibody at 1/1000 2 ug/ml dilution (Green).

Confocal image showing cytoplasmic staining in rat primary neural/glia cell (shown in green). The counterstain was observed in magenta. Nuclear DNA was labeled with DAPI (shown in blue).
Confocal scanning Z step was set as 0.3 µm followed by image processing with maximum Z projection.
Image was taken with a confocal microscope(Leica-Microsystems, TCS SP8).

ab11267 Anti-MAP2 mouse monoclonal antibody was used to counterstain tubulin at 1/500 4ug/ml dilution (Magenta). The Nuclear counterstain was DAPI (Blue).

Secondary antibody only control : Secondary antibody is ab150081 Goat Anti-Rabbit IgG H&L (Alexa Fluor® 488) preadsorbed at 1/1000 2 ug/ml dilution.

Immunocytochemistry/ Immunofluorescence - Anti-Nogo A + Nogo D antibody [EPR26286-15] - BSA and Azide free (AB318265)
  • ICC/IF

Supplier Data

Immunocytochemistry/ Immunofluorescence - Anti-Nogo A + Nogo D antibody [EPR26286-15] - BSA and Azide free (AB318265)

This data was developed using ab318264, the same antibody clone in a different buffer formulation.

Immunofluorescent analysis of 4% Paraformaldehyde-fixed, 0.1% TritonX-100 permeabilized mouse primary neural/glia cell cells labelling Nogo A + Nogo D with ab318264 at 1/50 (9.92 ug/ml) dilution, followed by ab150081 Goat Anti-Rabbit IgG H&L (Alexa Fluor® 488) preadsorbed antibody at 1/1000 2 ug/ml dilution (Green).

Confocal image showing cytoplasmic staining in mouse primary neural/glia cell (shown in green). The counterstain was observed in magenta. Nuclear DNA was labeled with DAPI (shown in blue).
Confocal scanning Z step was set as 0.3 µm followed by image processing with maximum Z projection.
Image was taken with a confocal microscope(Leica-Microsystems, TCS SP8).

ab11267 Anti-MAP2 mouse monoclonal antibody was used to counterstain tubulin at 1/500 4ug/ml dilution (Magenta). The Nuclear counterstain was DAPI (Blue).

Secondary antibody only control : Secondary antibody is ab150081 Goat Anti-Rabbit IgG H&L (Alexa Fluor® 488) preadsorbed at 1/1000 2 ug/ml dilution.

Immunohistochemistry (Formalin/PFA-fixed paraffin-embedded sections) - Anti-Nogo A + Nogo D antibody [EPR26286-15] - BSA and Azide free (AB318265)
  • IHC-P

Supplier Data

Immunohistochemistry (Formalin/PFA-fixed paraffin-embedded sections) - Anti-Nogo A + Nogo D antibody [EPR26286-15] - BSA and Azide free (AB318265)

This data was developed using ab318264, the same antibody clone in a different buffer formulation.

Immunohistochemical analysis of paraffin-embedded Rat liver tissue labeling Nogo A + Nogo D with ab318264 at 1/5000 (0.099 ug/ml) dilution, followed by a ready to use LeicaDS9800 (Bond™ Polymer Refine Detection).

Negative control : No staining in rat liver.
The section was incubated with ab318264 for 30 mins at room temperature.
The immunostaining was performed on a Leica Biosystems BOND® RX instrument

Counterstained with Hematoxylin.

Secondary antibody only control : Secondary antibody is a ready to use LeicaDS9800 (Bond™ Polymer Refine Detection).

Heat mediated antigen retrieval was performed with Citrate buffer (pH 6.0, Epitope Retrieval Solution 1) for 20 mins

Immunohistochemistry (Formalin/PFA-fixed paraffin-embedded sections) - Anti-Nogo A + Nogo D antibody [EPR26286-15] - BSA and Azide free (AB318265)
  • IHC-P

Supplier Data

Immunohistochemistry (Formalin/PFA-fixed paraffin-embedded sections) - Anti-Nogo A + Nogo D antibody [EPR26286-15] - BSA and Azide free (AB318265)

This data was developed using ab318264, the same antibody clone in a different buffer formulation.

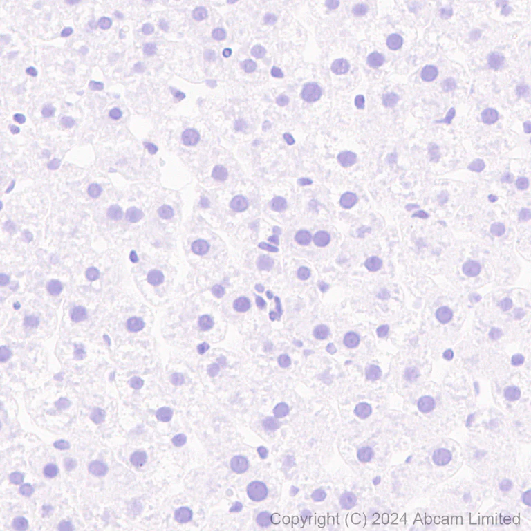
Immunohistochemical analysis of paraffin-embedded Mouse liver tissue labeling Nogo A + Nogo D with ab318264 at 1/5000 (0.099 ug/ml) dilution, followed by a ready to use LeicaDS9800 (Bond™ Polymer Refine Detection).

Negative control : No staining in mouse liver.
The section was incubated with ab318264 for 30 mins at room temperature.
The immunostaining was performed on a Leica Biosystems BOND® RX instrument

Counterstained with Hematoxylin.

Secondary antibody only control : Secondary antibody is a ready to use LeicaDS9800 (Bond™ Polymer Refine Detection).

Heat mediated antigen retrieval was performed with Citrate buffer (pH 6.0, Epitope Retrieval Solution 1) for 20 mins

Immunohistochemistry (Frozen sections) - Anti-Nogo A + Nogo D antibody [EPR26286-15] - BSA and Azide free (AB318265)
  • IHC-Fr

Supplier Data

Immunohistochemistry (Frozen sections) - Anti-Nogo A + Nogo D antibody [EPR26286-15] - BSA and Azide free (AB318265)

This data was developed using ab318264, the same antibody clone in a different buffer formulation.

Immunohistochemical analysis of 4% PFA-fixed, 0.2% Triton X-100 permeabilized frozen Mouse liver (fresh frozen) tissue labeling Nogo A + Nogo D with ab318264 at 1/500 (0.992 ug/ml) dilution followed by ab150081 Goat Anti-Rabbit IgG H&L (Alexa Fluor® 488) preadsorbed at 1/1000 2 ug/mL dilution (Green).

Negative control : confocal image showing no staining on mouse liver. The nuclear counterstain was DAPI (Blue). The section was incubated with ab318264 for 60 mins at room temperature. The section was then mounted using Fluoromount®.The immunostaining was performed on a Leica Biosystems BOND® RX instrument. Image was taken with a confocal microscope (Leica-Microsystems, TCS SP8).

Secondary antibody control : Secondary antibody is ab150081 Goat Anti-Rabbit IgG H&L (Alexa Fluor® 488) preadsorbedat 1/1000 2 ug/mL dilution.

Immunocytochemistry/ Immunofluorescence - Anti-Nogo A + Nogo D antibody [EPR26286-15] - BSA and Azide free (AB318265)
  • ICC/IF

Supplier Data

Immunocytochemistry/ Immunofluorescence - Anti-Nogo A + Nogo D antibody [EPR26286-15] - BSA and Azide free (AB318265)

This data was developed using ab318264, the same antibody clone in a different buffer formulation.

Immunofluorescent analysis of 4% Paraformaldehyde-fixed, 0.1% TritonX-100 permeabilized rat splenocytes cells labelling Nogo A + Nogo D with ab318264 at 1/50 (9.92 ug/ml) dilution, followed by ab150081 Goat Anti-Rabbit IgG H&L (Alexa Fluor® 488) preadsorbed antibody at 1/1000 2 ug/ml dilution (Green).

Negative control : Confocal image showing negative staining in rat splenocytes (PMID : 11978832) (shown in green). The counterstain was observed in magenta. Nuclear DNA was labeled with DAPI (shown in blue).
Image was taken with a confocal microscope(Leica-Microsystems, TCS SP8).

ab195889 Anti-alpha Tubulin mouse monoclonal antibody - Microtubule Marker (Alexa Fluor® 594) was used to counterstain tubulin at 1/200 2.5ug/ml dilution (Magenta). The Nuclear counterstain was DAPI (Blue).

Secondary antibody only control : Secondary antibody is ab150081 Goat Anti-Rabbit IgG H&L (Alexa Fluor® 488) preadsorbed at 1/1000 2 ug/ml dilution.

Immunocytochemistry/ Immunofluorescence - Anti-Nogo A + Nogo D antibody [EPR26286-15] - BSA and Azide free (AB318265)
  • ICC/IF

Supplier Data

Immunocytochemistry/ Immunofluorescence - Anti-Nogo A + Nogo D antibody [EPR26286-15] - BSA and Azide free (AB318265)

This data was developed using ab318264, the same antibody clone in a different buffer formulation.

Immunofluorescent analysis of 4% Paraformaldehyde-fixed, 0.1% TritonX-100 permeabilized mouse splenocytes cells labelling Nogo A + Nogo D with ab318264 at 1/50 (9.92 ug/ml) dilution, followed by ab150081 Goat Anti-Rabbit IgG H&L (Alexa Fluor® 488) preadsorbed antibody at 1/1000 2 ug/ml dilution (Green).

Negative control : Confocal image showing negative staining in mouse splenocytes (PMID : 11978832) (shown in green). The counterstain was observed in magenta. Nuclear DNA was labeled with DAPI (shown in blue).
Image was taken with a confocal microscope(Leica-Microsystems, TCS SP8).

ab195889 Anti-alpha Tubulin mouse monoclonal antibody - Microtubule Marker (Alexa Fluor® 594) was used to counterstain tubulin at 1/200 2.5ug/ml dilution (Magenta). The Nuclear counterstain was DAPI (Blue).

Secondary antibody only control : Secondary antibody is ab150081 Goat Anti-Rabbit IgG H&L (Alexa Fluor® 488) preadsorbed at 1/1000 2 ug/ml dilution.

Immunohistochemistry (Frozen sections) - Anti-Nogo A + Nogo D antibody [EPR26286-15] - BSA and Azide free (AB318265)
  • IHC-Fr

Supplier Data

Immunohistochemistry (Frozen sections) - Anti-Nogo A + Nogo D antibody [EPR26286-15] - BSA and Azide free (AB318265)

This data was developed using ab318264, the same antibody clone in a different buffer formulation.

Immunohistochemical analysis of 4% PFA-fixed, 0.2% Triton X-100 permeabilized frozen Rat liver (fresh frozen) tissue labeling Nogo A + Nogo D with ab318264 at 1/500 (0.992 ug/ml) dilution followed by ab150081 Goat Anti-Rabbit IgG H&L (Alexa Fluor® 488) preadsorbed at 1/1000 2 ug/mL dilution (Green).

Negative control : confocal image showing no staining on rat liver. The nuclear counterstain was DAPI (Blue). The section was incubated with ab318264 for 60 mins at room temperature. The section was then mounted using Fluoromount®.The immunostaining was performed on a Leica Biosystems BOND® RX instrument. Image was taken with a confocal microscope (Leica-Microsystems, TCS SP8).

Secondary antibody control : Secondary antibody is ab150081 Goat Anti-Rabbit IgG H&L (Alexa Fluor® 488) preadsorbedat 1/1000 2 ug/mL dilution.

Immunohistochemistry (Frozen sections) - Anti-Nogo A + Nogo D antibody [EPR26286-15] - BSA and Azide free (AB318265)
  • IHC-Fr

Supplier Data

Immunohistochemistry (Frozen sections) - Anti-Nogo A + Nogo D antibody [EPR26286-15] - BSA and Azide free (AB318265)

This data was developed using ab318264, the same antibody clone in a different buffer formulation.

Immunohistochemical analysis of 4% PFA-fixed, 0.2% Triton X-100 permeabilized frozen Mouse cerebrum (fresh frozen) tissue labeling Nogo A + Nogo D with ab318264 at 1/500 (0.992 ug/ml) dilution followed by ab150081 Goat Anti-Rabbit IgG H&L (Alexa Fluor® 488) preadsorbed at 1/1000 2 ug/mL dilution (Green).

Confocal image showing positive staining on mouse cerebrum. The nuclear counterstain was DAPI (Blue). The section was incubated with ab318264 for 60 mins at room temperature. The section was then mounted using Fluoromount®.The immunostaining was performed on a Leica Biosystems BOND® RX instrument. Image was taken with a confocal microscope (Leica-Microsystems, TCS SP8).

Secondary antibody control : Secondary antibody is ab150081 Goat Anti-Rabbit IgG H&L (Alexa Fluor® 488) preadsorbedat 1/1000 2 ug/mL dilution.

Immunohistochemistry (Formalin/PFA-fixed paraffin-embedded sections) - Anti-Nogo A + Nogo D antibody [EPR26286-15] - BSA and Azide free (AB318265)
  • IHC-P

Supplier Data

Immunohistochemistry (Formalin/PFA-fixed paraffin-embedded sections) - Anti-Nogo A + Nogo D antibody [EPR26286-15] - BSA and Azide free (AB318265)

This data was developed using ab318264, the same antibody clone in a different buffer formulation.

Immunohistochemical analysis of paraffin-embedded Mouse spinal cord tissue labeling Nogo A + Nogo D with ab318264 at 1/5000 (0.099 ug/ml) dilution, followed by a ready to use LeicaDS9800 (Bond™ Polymer Refine Detection).

Positive staining in mouse spinal cord.
The section was incubated with ab318264 for 30 mins at room temperature.
The immunostaining was performed on a Leica Biosystems BOND® RX instrument

Counterstained with Hematoxylin.

Secondary antibody only control : Secondary antibody is a ready to use LeicaDS9800 (Bond™ Polymer Refine Detection).

Heat mediated antigen retrieval was performed with Citrate buffer (pH 6.0, Epitope Retrieval Solution 1) for 20 mins

Immunohistochemistry (Frozen sections) - Anti-Nogo A + Nogo D antibody [EPR26286-15] - BSA and Azide free (AB318265)
  • IHC-Fr

Supplier Data

Immunohistochemistry (Frozen sections) - Anti-Nogo A + Nogo D antibody [EPR26286-15] - BSA and Azide free (AB318265)

This data was developed using ab318264, the same antibody clone in a different buffer formulation.

Immunohistochemical analysis of 4% PFA-fixed, 0.2% Triton X-100 permeabilized frozen Rat cerebrum (fresh frozen) tissue labeling Nogo A + Nogo D with ab318264 at 1/500 (0.992 ug/ml) dilution followed by ab150081 Goat Anti-Rabbit IgG H&L (Alexa Fluor® 488) preadsorbed at 1/1000 2 ug/mL dilution (Green).

Confocal image showing positive staining on rat cerebrum. The nuclear counterstain was DAPI (Blue). The section was incubated with ab318264 for 60 mins at room temperature. The section was then mounted using Fluoromount®.The immunostaining was performed on a Leica Biosystems BOND® RX instrument. Image was taken with a confocal microscope (Leica-Microsystems, TCS SP8).

Secondary antibody control : Secondary antibody is ab150081 Goat Anti-Rabbit IgG H&L (Alexa Fluor® 488) preadsorbedat 1/1000 2 ug/mL dilution.

Immunohistochemistry (Formalin/PFA-fixed paraffin-embedded sections) - Anti-Nogo A + Nogo D antibody [EPR26286-15] - BSA and Azide free (AB318265)
  • IHC-P

Supplier Data

Immunohistochemistry (Formalin/PFA-fixed paraffin-embedded sections) - Anti-Nogo A + Nogo D antibody [EPR26286-15] - BSA and Azide free (AB318265)

This data was developed using ab318264, the same antibody clone in a different buffer formulation.

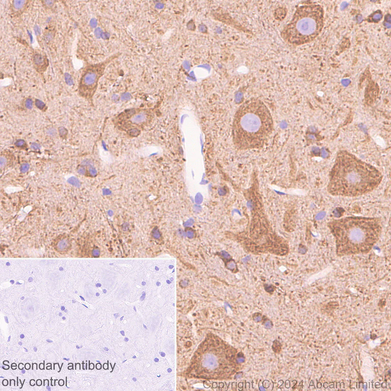
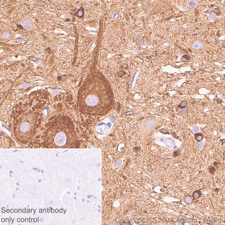
Immunohistochemical analysis of paraffin-embedded Rat cerebrum tissue labeling Nogo A + Nogo D with ab318264 at 1/5000 (0.099 ug/ml) dilution, followed by a ready to use LeicaDS9800 (Bond™ Polymer Refine Detection).

Positive staining in rat cerebrum.
The section was incubated with ab318264 for 30 mins at room temperature.
The immunostaining was performed on a Leica Biosystems BOND® RX instrument

Counterstained with Hematoxylin.

Secondary antibody only control : Secondary antibody is a ready to use LeicaDS9800 (Bond™ Polymer Refine Detection).

Heat mediated antigen retrieval was performed with Citrate buffer (pH 6.0, Epitope Retrieval Solution 1) for 20 mins

Immunohistochemistry (Formalin/PFA-fixed paraffin-embedded sections) - Anti-Nogo A + Nogo D antibody [EPR26286-15] - BSA and Azide free (AB318265)
  • IHC-P

Supplier Data

Immunohistochemistry (Formalin/PFA-fixed paraffin-embedded sections) - Anti-Nogo A + Nogo D antibody [EPR26286-15] - BSA and Azide free (AB318265)

This data was developed using ab318264, the same antibody clone in a different buffer formulation.

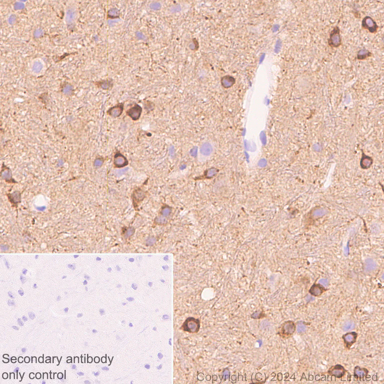
Immunohistochemical analysis of paraffin-embedded Mouse cerebrum tissue labeling Nogo A + Nogo D with ab318264 at 1/5000 (0.099 ug/ml) dilution, followed by a ready to use LeicaDS9800 (Bond™ Polymer Refine Detection).

Positive staining in mouse cerebrum.
The section was incubated with ab318264 for 30 mins at room temperature.
The immunostaining was performed on a Leica Biosystems BOND® RX instrument

Counterstained with Hematoxylin.

Secondary antibody only control : Secondary antibody is a ready to use LeicaDS9800 (Bond™ Polymer Refine Detection).

Heat mediated antigen retrieval was performed with Citrate buffer (pH 6.0, Epitope Retrieval Solution 1) for 20 mins

Immunohistochemistry (Formalin/PFA-fixed paraffin-embedded sections) - Anti-Nogo A + Nogo D antibody [EPR26286-15] - BSA and Azide free (AB318265)
  • IHC-P

Supplier Data

Immunohistochemistry (Formalin/PFA-fixed paraffin-embedded sections) - Anti-Nogo A + Nogo D antibody [EPR26286-15] - BSA and Azide free (AB318265)

This data was developed using ab318264, the same antibody clone in a different buffer formulation.

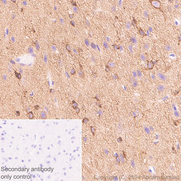
Immunohistochemical analysis of paraffin-embedded Rat spinal cord tissue labeling Nogo A + Nogo D with ab318264 at 1/5000 (0.099 ug/ml) dilution, followed by a ready to use LeicaDS9800 (Bond™ Polymer Refine Detection).

Positive staining in rat spinal cord.
The section was incubated with ab318264 for 30 mins at room temperature.
The immunostaining was performed on a Leica Biosystems BOND® RX instrument

Counterstained with Hematoxylin.

Secondary antibody only control : Secondary antibody is a ready to use LeicaDS9800 (Bond™ Polymer Refine Detection).

Heat mediated antigen retrieval was performed with Citrate buffer (pH 6.0, Epitope Retrieval Solution 1) for 20 mins

Western blot - Anti-Nogo A + Nogo D antibody [EPR26286-15] - BSA and Azide free (AB318265)
  • WB

Supplier Data

Western blot - Anti-Nogo A + Nogo D antibody [EPR26286-15] - BSA and Azide free (AB318265)

This data was developed using ab318264, the same antibody clone in a different buffer formulation.

Blocking and diluting buffer and concentration : 5% NFDM/TBST.

Negative control : liver, spleen (PMID : 11978832).

In lane 4-5, to minimize protein degradation, tissues were lysed immediately after harvest and then applied to a gel and transfer membrane for Western blotting as soon as possible.

The identity of the lower MW band at approximately 80 kDa (in lane 1) is unknown.

In Western blot, Anti-GAPDH antibody [EPR16891] - Loading Control (ab181602) staining at 1/200000 dilution.

Exposure time : Lane 1-3 : 48 seconds, Lane 4-5 : 180 seconds

All lanes:

Western blot - Anti-Nogo A + Nogo D antibody [EPR26286-15] (<a href='/en-us/products/primary-antibodies/nogo-a-nogo-d-antibody-epr26286-15-ab318264'>ab318264</a>) at 1/1000 dilution

Lane 1:

Mouse brain tissue lysate at 20 µg

Lane 2:

Mouse cerebellum tissue lysate at 20 µg

Lane 3:

Mouse liver tissue lysate at 20 µg

Lane 4:

Mouse testis tissue lysate at 20 µg

Lane 5:

Mouse spleen tissue lysate at 20 µg

Secondary

All lanes:

Goat Anti-Rabbit IgG (HRP) with minimal cross-reactivity with human IgG at 1/2000 dilution

Observed band size: 190 kDa,36 kDa

false

Western blot - Anti-Nogo A + Nogo D antibody [EPR26286-15] - BSA and Azide free (AB318265)
  • WB

Supplier Data

Western blot - Anti-Nogo A + Nogo D antibody [EPR26286-15] - BSA and Azide free (AB318265)

This data was developed using ab318264, the same antibody clone in a different buffer formulation.

Blocking and diluting buffer and concentration : 5% NFDM/TBST.

Negative control : liver, spleen (PMID : 11978832).

To minimize protein degradation, tissues were lysed immediately after harvest and then applied to a gel and transfer membrane for Western blotting as soon as possible.

The identity of the bands between 80 kDa and 120 kDa are unknown.

In Western blot, Anti-GAPDH antibody [EPR16891] - Loading Control (ab181602) staining at 1/200000 dilution.

All lanes:

Western blot - Anti-Nogo A + Nogo D antibody [EPR26286-15] (<a href='/en-us/products/primary-antibodies/nogo-a-nogo-d-antibody-epr26286-15-ab318264'>ab318264</a>) at 1/1000 dilution

Lane 1:

Rat brain tissue lysate at 20 µg

Lane 2:

Rat liver tissue lysate at 20 µg

Lane 3:

Rat testis tissue lysate at 20 µg

Lane 4:

Rat spleen tissue lysate at 20 µg

Secondary

All lanes:

Goat Anti-Rabbit IgG (HRP) with minimal cross-reactivity with human IgG at 1/2000 dilution

Observed band size: 190 kDa,36 kDa

false

Exposure time: 180s

Western blot - Anti-Nogo A + Nogo D antibody [EPR26286-15] - BSA and Azide free (AB318265)
  • WB

Supplier Data

Western blot - Anti-Nogo A + Nogo D antibody [EPR26286-15] - BSA and Azide free (AB318265)

This data was developed using ab318264, the same antibody clone in a different buffer formulation.

Blocking and diluting buffer and concentration : 5% NFDM/TBST.

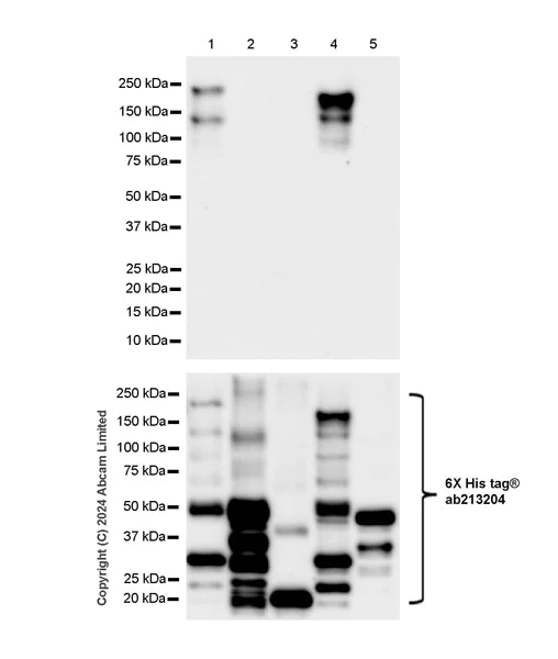
This antibody cross-react with mouse Nogo D, does not cross-react with mouse Nogo-B2, Nogo-C and Nogo-B1.

In Western blot, Anti-6X His tag antibody [EPR20547]-CHIP Grade (ab213204) staining at 1/5000 dilution.

All lanes:

Western blot - Anti-Nogo A + Nogo D antibody [EPR26286-15] (<a href='/en-us/products/primary-antibodies/nogo-a-nogo-d-antibody-epr26286-15-ab318264'>ab318264</a>) at 1/1000 dilution

Lane 1:

Purified 293T cells transfected with a mouse Nogo-A expression vector containing a His-tag, whole cell lysate

Lane 2:

Purified 293T cells transfected with a mouse Nogo-B2 expression vector containing a His-tag, whole cell lysate

Lane 3:

Purified 293T cells transfected with a mouse Nogo-C expression vector containing a His-tag, whole cell lysate

Lane 4:

Purified 293T cells transfected with a mouse Nogo-D expression vector containing a His-tag, whole cell lysate

Lane 5:

Purified 293T cells transfected with a mouse Nogo-B1 expression vector containing a His-tag, whole cell lysate

Secondary

All lanes:

Western blot - Goat Anti-Rabbit IgG H&L (HRP) (<a href='/en-us/products/secondary-antibodies/goat-rabbit-igg-h-l-hrp-ab97051'>ab97051</a>) at 1/100000 dilution

Observed band size: 190 kDa

false

Exposure time: 180s

Key facts

Host species

Rabbit

Clonality

Monoclonal

Clone number

EPR26286-15

Isotype

IgG

Carrier free

Yes

Reacts with

Mouse, Rat

Applications

IHC-Fr, ICC/IF, WB, IHC-P

applications

Immunogen

The exact immunogen used to generate this antibody is proprietary information.

Specificity

Very weak non-specific staining is detected in mouse spleen and kidney tissue, ab315792 is recommended as alternative for mouse IHC.

Reactivity data

{ "title": "Reactivity Data", "filters": { "stats": ["", "Species", "Dilution Info", "Notes"], "tabs": { "all-applications": {"fullname" : "All Applications", "shortname": "All Applications"}, "WB" : {"fullname" : "Western blot", "shortname":"WB"}, "IHCP" : {"fullname" : "Immunohistochemistry (Formalin/PFA-fixed paraffin-embedded sections)", "shortname":"IHC-P"}, "IHCFr" : {"fullname" : "Immunohistochemistry (Frozen sections)", "shortname":"IHC-Fr"}, "ICCIF" : {"fullname" : "Immunocytochemistry/ Immunofluorescence", "shortname":"ICC/IF"} }, "product-promise": { "all": "all", "testedAndGuaranteed": "tested", "guaranteed": "expected", "predicted": "predicted", "notRecommended": "not-recommended" } }, "values": { "Human": { "WB-species-checked": "notRecommended", "WB-species-dilution-info": "", "WB-species-notes": "<p></p>", "IHCP-species-checked": "notRecommended", "IHCP-species-dilution-info": "", "IHCP-species-notes": "", "IHCFr-species-checked": "notRecommended", "IHCFr-species-dilution-info": "", "IHCFr-species-notes": "", "ICCIF-species-checked": "notRecommended", "ICCIF-species-dilution-info": "", "ICCIF-species-notes": "" }, "Mouse": { "WB-species-checked": "testedAndGuaranteed", "WB-species-dilution-info": "", "WB-species-notes": "<p></p>", "IHCP-species-checked": "testedAndGuaranteed", "IHCP-species-dilution-info": "", "IHCP-species-notes": "<p></p>", "IHCFr-species-checked": "testedAndGuaranteed", "IHCFr-species-dilution-info": "", "IHCFr-species-notes": "<p></p>", "ICCIF-species-checked": "testedAndGuaranteed", "ICCIF-species-dilution-info": "", "ICCIF-species-notes": "<p></p>" }, "Rat": { "WB-species-checked": "testedAndGuaranteed", "WB-species-dilution-info": "", "WB-species-notes": "<p></p>", "IHCP-species-checked": "testedAndGuaranteed", "IHCP-species-dilution-info": "", "IHCP-species-notes": "<p></p>", "IHCFr-species-checked": "testedAndGuaranteed", "IHCFr-species-dilution-info": "", "IHCFr-species-notes": "<p></p>", "ICCIF-species-checked": "testedAndGuaranteed", "ICCIF-species-dilution-info": "", "ICCIF-species-notes": "<p></p>" }, "Transfected cell lysate - Mouse": { "WB-species-checked": "testedAndGuaranteed", "WB-species-dilution-info": "", "WB-species-notes": "<p></p>", "IHCP-species-checked": "notRecommended", "IHCP-species-dilution-info": "", "IHCP-species-notes": "", "IHCFr-species-checked": "notRecommended", "IHCFr-species-dilution-info": "", "IHCFr-species-notes": "", "ICCIF-species-checked": "notRecommended", "ICCIF-species-dilution-info": "", "ICCIF-species-notes": "" } } }

Product details

ab318265 is the carrier-free version of ab318264.

Patented technology
Our RabMAb® technology is a patented hybridoma-based technology for making rabbit monoclonal antibodies. For details on our patents, please refer to RabMAb® patents.

What are the advantages of a recombinant monoclonal antibody?
This product is a recombinant monoclonal antibody, which offers several advantages including:

  • - High batch-to-batch consistency and reproducibility
  • - Improved sensitivity and specificity
  • - Long-term security of supply
  • - Animal-free batch production

For more information, read more on recombinant antibodies.

Conjugation ready
Our carrier-free antibodies are typically supplied in a PBS-only formulation, purified and free of BSA, sodium azide and glycerol. This conjugation-ready format is designed for use with fluorochromes, metal isotopes, oligonucleotides, and enzymes, which makes them ideal for antibody labelling, functional and cell-based assays, flow-based assays (e.g. mass cytometry) and Multiplex Imaging applications.

Use our conjugation kits for antibody conjugates that are ready-to-use in as little as 20 minutes with 1 minute hands-on-time and 100% antibody recovery: available for fluorescent dyes, HRP, biotin and gold.

Compatibility
This product is compatible with the Maxpar® Antibody Labeling Kit from Fluidigm, without the need for antibody preparation. Maxpar® is a trademark of Fluidigm Canada Inc.

Properties and storage information

Form
Liquid
Purification technique
Affinity purification Protein A
Storage buffer
pH: 7.2 - 7.4 Constituents: PBS
Shipped at conditions
Blue Ice
Appropriate short-term storage conditions
+4°C
Appropriate long-term storage conditions
+4°C

Supplementary information

This supplementary information is collated from multiple sources and compiled automatically.

Nogo A also known as Reticulon 4-A (RTN4-A) and Nogo D are part of the Nogo protein family. Nogo A is a 200 kDa protein while Nogo D is smaller around 37 kDa. These proteins are mainly expressed in the central nervous system particularly in the oligodendrocytes and neurons. Mechanically they are involved in the inhibition of axonal growth and neural regeneration functioning as a myelin-associated protein. The protein structure consists of three main regions: N-terminal central domain and a long C-terminal domain each contributing differently to its inhibitory functions.
Biological function summary

Nogo A and Nogo D are important for maintaining neural network stability. They belong to the larger reticulon protein family which forms part of the endoplasmic reticulum network. Nogo A binds to specific receptors such as Nogo receptor 1 (NgR1) to mediate growth inhibition. This interaction causes a signaling cascade that limits neuronal sprouting and potentially stabilizes synapses. Nogo D’s biological role is less defined but suggests involvement in modulating similar pathways as Nogo A.

Pathways

Nogo A plays a significant role in neural inhibition and recovery processes. It integrates into the RhoA/ROCK signaling pathway which influences cytoskeletal dynamics and axonal growth inhibition. This protein works with others like RhoA GTPase within this pathway to execute its functions. Additionally Nogo A interacts with MAG and OMgp proteins through shared receptors further impacting neuronal growth and recovery after injuries.

Nogo A and Nogo D have prominent roles in conditions such as multiple sclerosis (MS) and spinal cord injuries. Nogo A limits axonal regeneration and remyelination in MS often in interaction with myelin-associated inhibitors like MAG restricting neuronal recovery. In spinal cord injuries the presence of Nogo A is closely associated with limited neural repair connecting it with proteins part of the glial scar formation. These interactions highlight the potential of targeting Nogo proteins for therapeutic purposes in regenerative medicine.

Product protocols

For this product, it's our understanding that no specific protocols are required. You can visit:

Target data

Required to induce the formation and stabilization of endoplasmic reticulum (ER) tubules. They regulate membrane morphogenesis in the ER by promoting tubular ER production. They influence nuclear envelope expansion, nuclear pore complex formation and proper localization of inner nuclear membrane proteins. However each isoform have specific functions mainly depending on their tissue expression specificities.. Isoform A. Developmental neurite growth regulatory factor with a role as a negative regulator of axon-axon adhesion and growth, and as a facilitator of neurite branching. Regulates neurite fasciculation, branching and extension in the developing nervous system (PubMed : 20573699). Involved in down-regulation of growth, stabilization of wiring and restriction of plasticity in the adult CNS (By similarity). Regulates the radial migration of cortical neurons via an RTN4R-LINGO1 containing receptor complex (PubMed : 20573699). Acts as a negative regulator of central nervous system angiogenesis. Inhibits spreading, migration and sprouting of primary brain microvascular endothelial cells (MVECs). Also induces the retraction of MVECs lamellipodia and filopodia in a ROCK pathway-dependent manner (PubMed : 23625008).. Isoform B. Mainly function in endothelial cells and vascular smooth muscle cells, is also involved in immune system regulation (Probable). Modulator of vascular remodeling, promotes the migration of endothelial cells but inhibits the migration of vascular smooth muscle cells (PubMed : 15034570). Regulates endothelial sphingolipid biosynthesis with direct effects on vascular function and blood pressure. Inhibits serine palmitoyltransferase, SPTLC1, the rate-limiting enzyme of the novo sphingolipid biosynthetic pathway, thereby controlling production of endothelial sphingosine-1-phosphate (S1P) (PubMed : 26301690). Required to promote macrophage homing and functions such as cytokine/chemokine gene expression involved in angiogenesis, arteriogenesis and tissue repair (PubMed : 19805174). Mediates ICAM1 induced transendothelial migration of leukocytes such as monocytes and neutrophils and acute inflammation (PubMed : 21183689). Necessary for immune responses triggered by nucleic acid sensing TLRs, such as TLR9, is required for proper TLR9 location to endolysosomes (PubMed : 25917084). Also involved in immune response to LPS (PubMed : 26174362). Plays a role in liver regeneration through the modulation of hepatocytes proliferation (PubMed : 23299899). Reduces the anti-apoptotic activity of Bcl-xl and Bcl-2. This is likely consecutive to their change in subcellular location, from the mitochondria to the endoplasmic reticulum, after binding and sequestration. With isoform C, inhibits BACE1 activity and amyloid precursor protein processing (By similarity).. Isoform C. Regulates cardiomyocyte apoptosis upon hypoxic conditions (PubMed : 27763637). With isoform B, inhibits BACE1 activity and amyloid precursor protein processing (By similarity).
See full target information Rtn4

Additional targets

Rtn4

Product promise

We are committed to supporting your work with high-quality reagents, and we're here for you every step of the way. In the unlikely event that one of our products does not perform as expected, you're protected by our Product Promise.
For full details, please see our Terms & Conditions

Please note: All products are 'FOR RESEARCH USE ONLY. NOT FOR USE IN DIAGNOSTIC OR THERAPEUTIC PROCEDURES'.

For licensing inquiries, please contact partnerships@abcam.com