JavaScript is disabled in your browser. Please enable JavaScript to view this website.
AB315792

Anti-Nogo A + Nogo D antibody [EPR26286-56]

  • BOND RX™ Validated
  • 20ul selling size
  • RabMAb
  • Recombinant
  • What is this?

Be the first to review this product! Submit a review

|

(0 Publication)

Rabbit Recombinant Monoclonal RTN4 antibody. Suitable for IHC-P, IHC-Fr, ICC/IF, Flow Cyt (Intra), WB, Dot and reacts with Mouse, Transfected cell lysate - Mouse samples.

View Alternative Names

Kiaa0886, Nogo, Reticulon-4, Neurite outgrowth inhibitor, Nogo protein

10 Images
Flow Cytometry (Intracellular) - Anti-Nogo A + Nogo D antibody [EPR26286-56] (AB315792)
  • Flow Cyt (Intra)

Supplier Data

Flow Cytometry (Intracellular) - Anti-Nogo A + Nogo D antibody [EPR26286-56] (AB315792)

Flow cytometric analysis of 4% paraformaldehyde fixed 90% methanol permeabilized Mouse primary neuron cells labelling Nogo A + Nogo D with ab315792 at 1/500 dilution (0.1 ug)/Right compared with a Rabbit monoclonal IgG (ab172730) / Left isotype control.

Goat Anti-Rabbit IgG (Alexa Fluor® 488, ab150081) at 1/5000 dilution was used as the secondary antibody.

Immunohistochemistry (Frozen sections) - Anti-Nogo A + Nogo D antibody [EPR26286-56] (AB315792)
  • IHC-Fr

Supplier Data

Immunohistochemistry (Frozen sections) - Anti-Nogo A + Nogo D antibody [EPR26286-56] (AB315792)

Immunohistochemical analysis of 4% PFA-fixed, 0.2% Triton X-100 permeabilized frozen Mouse liver (fresh frozen) tissue labeling Nogo A + Nogo D with ab315792 at 1/500 (1.004 ug/ml) dilution followed by ab150081 Goat Anti-Rabbit IgG H&L (Alexa Fluor® 488) preadsorbed at 1/1000 (2 ug/mL) dilution (Green).

Negative control : confocal image showing no staining on mouse liver. The section was incubated with ab315792 for 60 mins at room temperature. The section was then mounted using Fluoromount®.The immunostaining was performed on a Leica Biosystems BOND® RX instrument. Image was taken with a confocal microscope (Leica-Microsystems, TCS SP8).

The nuclear counterstain was DAPI (Blue).

Secondary antibody control : Secondary antibody is ab150081 Goat Anti-Rabbit IgG H&L (Alexa Fluor® 488) preadsorbedat 1/1000 (2 ug/mL) dilution.

Immunohistochemistry (Formalin/PFA-fixed paraffin-embedded sections) - Anti-Nogo A + Nogo D antibody [EPR26286-56] (AB315792)
  • IHC-P

Supplier Data

Immunohistochemistry (Formalin/PFA-fixed paraffin-embedded sections) - Anti-Nogo A + Nogo D antibody [EPR26286-56] (AB315792)

Immunohistochemical analysis of paraffin-embedded Mouse liver tissue labeling Nogo A + Nogo D with ab315792 at 1/4000 (0.126 ug/ml) dilution, followed by a ready to use LeicaDS9800 (Bond™ Polymer Refine Detection).

Negative control : No staining on mouse liver.
The section was incubated with ab315792 for 30 mins at room temperature.
The immunostaining was performed on a Leica Biosystems BOND® RX instrument.
Incubate slides with 3% Hydrogen Peroxide for 10 mins at room temperature after secondary antibody incubation to reduce the background.

Counterstained with Hematoxylin.

Secondary antibody only control : Secondary antibody is a ready to use LeicaDS9800 (Bond™ Polymer Refine Detection).

Heat mediated antigen retrieval was performed with Tris-EDTA buffer (pH 9.0, Epitope Retrieval Solution2) for 20 mins

Immunohistochemistry (Formalin/PFA-fixed paraffin-embedded sections) - Anti-Nogo A + Nogo D antibody [EPR26286-56] (AB315792)
  • IHC-P

Supplier Data

Immunohistochemistry (Formalin/PFA-fixed paraffin-embedded sections) - Anti-Nogo A + Nogo D antibody [EPR26286-56] (AB315792)

Immunohistochemical analysis of paraffin-embedded Mouse spinal cord tissue labeling Nogo A + Nogo D with ab315792 at 1/4000 (0.126 ug/ml) dilution, followed by a ready to use LeicaDS9800 (Bond™ Polymer Refine Detection).

Positive staining on mouse spinal cord (PMID : 15751227).
The section was incubated with ab315792 for 30 mins at room temperature.
The immunostaining was performed on a Leica Biosystems BOND® RX instrument.
Incubate slides with 3% Hydrogen Peroxide for 10 mins at room temperature after secondary antibody incubation to reduce the background.

Counterstained with Hematoxylin.

Secondary antibody only control : Secondary antibody is a ready to use LeicaDS9800 (Bond™ Polymer Refine Detection).

Heat mediated antigen retrieval was performed with Tris-EDTA buffer (pH 9.0, Epitope Retrieval Solution2) for 20 mins

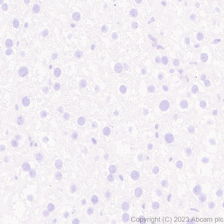
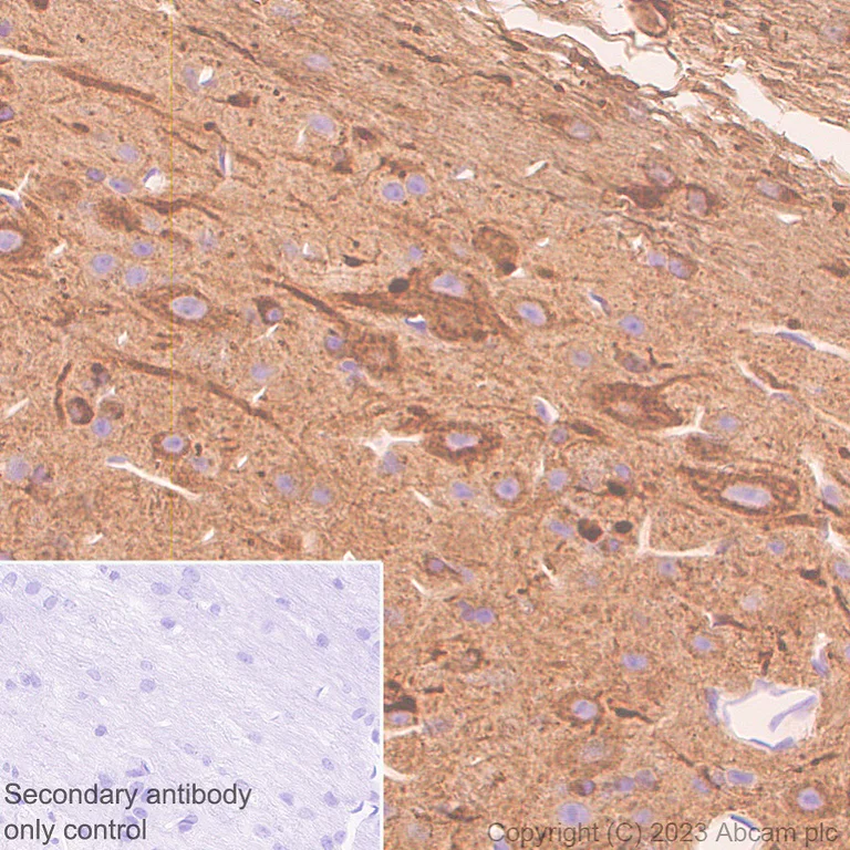
Immunohistochemistry (Formalin/PFA-fixed paraffin-embedded sections) - Anti-Nogo A + Nogo D antibody [EPR26286-56] (AB315792)
  • IHC-P

Supplier Data

Immunohistochemistry (Formalin/PFA-fixed paraffin-embedded sections) - Anti-Nogo A + Nogo D antibody [EPR26286-56] (AB315792)

Immunohistochemical analysis of paraffin-embedded Mouse cerebrum tissue labeling Nogo A + Nogo D with ab315792 at 1/4000 (0.126 ug/ml) dilution, followed by a ready to use LeicaDS9800 (Bond™ Polymer Refine Detection).

Positive staining on mouse cerebrum (PMID : 17356385).
The section was incubated with ab315792 for 30 mins at room temperature.
The immunostaining was performed on a Leica Biosystems BOND® RX instrument.
Incubate slides with 3% Hydrogen Peroxide for 10 mins at room temperature after secondary antibody incubation to reduce the background.

Counterstained with Hematoxylin.

Secondary antibody only control : Secondary antibody is a ready to use LeicaDS9800 (Bond™ Polymer Refine Detection).

Heat mediated antigen retrieval was performed with Tris-EDTA buffer (pH 9.0, Epitope Retrieval Solution2) for 20 mins

Immunocytochemistry/ Immunofluorescence - Anti-Nogo A + Nogo D antibody [EPR26286-56] (AB315792)
  • ICC/IF

Supplier Data

Immunocytochemistry/ Immunofluorescence - Anti-Nogo A + Nogo D antibody [EPR26286-56] (AB315792)

Immunofluorescent analysis of 4% Paraformaldehyde-fixed, 0.1% TritonX-100 permeabilized mouse primary neural/glia cell cells labelling Nogo A + Nogo D with ab315792 at 1/1000 (0.502 ug/ml) dilution, followed by ab150081 Goat Anti-Rabbit IgG H&L (Alexa Fluor® 488) preadsorbed antibody at 1/1000 (2 ug/mL) dilution (Green).

Confocal image showing cytoplasmic staining in mouse primary neural/glia cell.
Confocal scanning Z step was set as 0.3 ?m followed by image processing with maximum Z projection.
Image was taken with a confocal microscope(Leica-Microsystems, TCS SP8).

ab11267 Anti-MAP2 mouse monoclonal antibody was used to counterstain at 1/500 (4ug/ml) dilution (Red). The Nuclear counterstain was DAPI (Blue).

Secondary antibody only control : Secondary antibody is ab150081 Goat Anti-Rabbit IgG H&L (Alexa Fluor® 488) preadsorbed at 1/1000 (2 ug/mL) dilution.

Immunohistochemistry (Frozen sections) - Anti-Nogo A + Nogo D antibody [EPR26286-56] (AB315792)
  • IHC-Fr

Supplier Data

Immunohistochemistry (Frozen sections) - Anti-Nogo A + Nogo D antibody [EPR26286-56] (AB315792)

Immunohistochemical analysis of 4% PFA-fixed, 0.2% Triton X-100 permeabilized frozen Mouse cerebrum (fresh frozen) tissue labeling Nogo A + Nogo D with ab315792 at 1/500 (1.004 ug/ml) dilution followed by ab150081 Goat Anti-Rabbit IgG H&L (Alexa Fluor® 488) preadsorbed at 1/1000 (2 ug/mL) dilution (Green).

Confocal image showing positive staining on mouse cerebrum. The nuclear counterstain was DAPI (Blue). The section was incubated with ab315792 for 60 mins at room temperature. The section was then mounted using Fluoromount®.The immunostaining was performed on a Leica Biosystems BOND® RX instrument. Image was taken with a confocal microscope (Leica-Microsystems, TCS SP8).

Secondary antibody control : Secondary antibody is ab150081 Goat Anti-Rabbit IgG H&L (Alexa Fluor® 488) preadsorbedat 1/1000 (2 ug/mL) dilution.

Immunocytochemistry/ Immunofluorescence - Anti-Nogo A + Nogo D antibody [EPR26286-56] (AB315792)
  • ICC/IF

Supplier Data

Immunocytochemistry/ Immunofluorescence - Anti-Nogo A + Nogo D antibody [EPR26286-56] (AB315792)

Immunofluorescent analysis of 4% Paraformaldehyde-fixed, 0.1% TritonX-100 permeabilized mouse splenocytes cells labelling Nogo A + Nogo D with ab315792 at 1/1000 (0.502 ug/ml) dilution, followed by ab150081 Goat Anti-Rabbit IgG H&L (Alexa Fluor® 488) preadsorbed antibody at 1/1000 (2 ug/mL) dilution (Green).

Negative control : Confocal image showing no staining in mouse splenocytes (PMID : 11978832).
Image was taken with a confocal microscope(Leica-Microsystems, TCS SP8).

ab195889 Anti-alpha Tubulin mouse monoclonal antibody - Microtubule Marker (Alexa Fluor® 594) was used to counterstain tubulin at 1/200 (2.5ug/ml) dilution (Red). The Nuclear counterstain was DAPI (Blue).

Secondary antibody only control : Secondary antibody is ab150081 Goat Anti-Rabbit IgG H&L (Alexa Fluor® 488) preadsorbed at 1/1000 (2 ug/mL) dilution.

Western blot - Anti-Nogo A + Nogo D antibody [EPR26286-56] (AB315792)
  • WB

Supplier Data

Western blot - Anti-Nogo A + Nogo D antibody [EPR26286-56] (AB315792)

Blocking and diluting buffer and concentration : 5% NFDM/TBST.

Negative control : liver (PMID : 11978832).

The molecular weight observed is consistent with what has been described in the literature (PMID : 27786289).

The bands between 50 kDa and 200 kDa are likely to be degraded target fragments.

In Western blot, Anti-GAPDH antibody [EPR16891] - Loading Control (ab181602) staining at 1/200000 dilution.

All lanes:

Western blot - Anti-Nogo A + Nogo D antibody [EPR26286-56] (ab315792) at 1/1000 dilution

Lane 1:

Mouse brain tissue lysate at 50 µg

Lane 2:

Mouse spinal cord tissue lysate at 50 µg

Lane 3:

Mouse liver tissue lysate at 50 µg

Secondary

All lanes:

Goat Anti-Rabbit IgG (HRP) with minimal cross-reactivity with human IgG at 1/2000 dilution

Observed band size: 50 kDa,200 kDa,36 kDa

false

Exposure time: 15s

Western blot - Anti-Nogo A + Nogo D antibody [EPR26286-56] (AB315792)
  • WB

Supplier Data

Western blot - Anti-Nogo A + Nogo D antibody [EPR26286-56] (AB315792)

Lysate was freshly made and used for Western blotting immediately to minimize protein degradation.

Blocking and diluting buffer and concentration : 5% NFDM/TBST.

All lanes:

Western blot - Anti-Nogo A + Nogo D antibody [EPR26286-56] (ab315792) at 1/1000 dilution

All lanes:

Mouse testis tissue lysate at 20 µg

Secondary

All lanes:

Western blot - Goat Anti-Rabbit IgG H&L (HRP) (<a href='/en-us/products/secondary-antibodies/goat-rabbit-igg-h-l-hrp-ab97051'>ab97051</a>) at 1/20000 dilution

Observed band size: 200 kDa

false

Exposure time: 70s

Key facts

Host species

Rabbit

Clonality

Monoclonal

Clone number

EPR26286-56

Isotype

IgG

Carrier free

No

Reacts with

Mouse

Applications

ICC/IF, WB, IHC-Fr, Flow Cyt (Intra), IHC-P, Dot

applications

Immunogen

The exact immunogen used to generate this antibody is proprietary information.

Specificity

Based on an in-house Dot blot test, this product recognizes Nogo A and Nogo D, and does not cross-react with Nogo-B1, Nogo-B2 and Nogo-C.

Reactivity data

{ "title": "Reactivity Data", "filters": { "stats": ["", "Species", "Dilution Info", "Notes"], "tabs": { "all-applications": {"fullname" : "All Applications", "shortname": "All Applications"}, "IHCP" : {"fullname" : "Immunohistochemistry (Formalin/PFA-fixed paraffin-embedded sections)", "shortname":"IHC-P"}, "IHCFr" : {"fullname" : "Immunohistochemistry (Frozen sections)", "shortname":"IHC-Fr"}, "ICCIF" : {"fullname" : "Immunocytochemistry/ Immunofluorescence", "shortname":"ICC/IF"}, "FlowCytIntra" : {"fullname" : "Flow Cytometry (Intracellular)", "shortname":"Flow Cyt (Intra)"}, "WB" : {"fullname" : "Western blot", "shortname":"WB"}, "Dot" : {"fullname" : "Dot Blot", "shortname":"Dot"} }, "product-promise": { "all": "all", "testedAndGuaranteed": "tested", "guaranteed": "expected", "predicted": "predicted", "notRecommended": "not-recommended" } }, "values": { "Human": { "IHCP-species-checked": "notRecommended", "IHCP-species-dilution-info": "", "IHCP-species-notes": "<p></p>", "IHCFr-species-checked": "notRecommended", "IHCFr-species-dilution-info": "", "IHCFr-species-notes": "", "ICCIF-species-checked": "notRecommended", "ICCIF-species-dilution-info": "", "ICCIF-species-notes": "", "FlowCytIntra-species-checked": "notRecommended", "FlowCytIntra-species-dilution-info": "", "FlowCytIntra-species-notes": "", "WB-species-checked": "notRecommended", "WB-species-dilution-info": "", "WB-species-notes": "<p></p>", "Dot-species-checked": "notRecommended", "Dot-species-dilution-info": "", "Dot-species-notes": "" }, "Mouse": { "IHCP-species-checked": "testedAndGuaranteed", "IHCP-species-dilution-info": "1/4000", "IHCP-species-notes": "<p></p> Perform heat-mediated antigen retrieval with Tris/EDTA buffer pH 9.0 before commencing with IHC staining protocol.", "IHCFr-species-checked": "testedAndGuaranteed", "IHCFr-species-dilution-info": "1/500", "IHCFr-species-notes": "<p></p>", "ICCIF-species-checked": "testedAndGuaranteed", "ICCIF-species-dilution-info": "1/1000", "ICCIF-species-notes": "<p></p>", "FlowCytIntra-species-checked": "testedAndGuaranteed", "FlowCytIntra-species-dilution-info": "1/500", "FlowCytIntra-species-notes": "<p></p>", "WB-species-checked": "testedAndGuaranteed", "WB-species-dilution-info": "1/1000", "WB-species-notes": "<p></p>", "Dot-species-checked": "guaranteed", "Dot-species-dilution-info": "", "Dot-species-notes": "" }, "Rat": { "IHCP-species-checked": "notRecommended", "IHCP-species-dilution-info": "", "IHCP-species-notes": "<p></p>", "IHCFr-species-checked": "notRecommended", "IHCFr-species-dilution-info": "", "IHCFr-species-notes": "<p></p>", "ICCIF-species-checked": "notRecommended", "ICCIF-species-dilution-info": "", "ICCIF-species-notes": "<p></p>", "FlowCytIntra-species-checked": "notRecommended", "FlowCytIntra-species-dilution-info": "", "FlowCytIntra-species-notes": "", "WB-species-checked": "notRecommended", "WB-species-dilution-info": "", "WB-species-notes": "<p></p>", "Dot-species-checked": "notRecommended", "Dot-species-dilution-info": "", "Dot-species-notes": "" }, "Transfected cell lysate - Mouse": { "IHCP-species-checked": "notRecommended", "IHCP-species-dilution-info": "", "IHCP-species-notes": "", "IHCFr-species-checked": "notRecommended", "IHCFr-species-dilution-info": "", "IHCFr-species-notes": "", "ICCIF-species-checked": "notRecommended", "ICCIF-species-dilution-info": "", "ICCIF-species-notes": "", "FlowCytIntra-species-checked": "notRecommended", "FlowCytIntra-species-dilution-info": "", "FlowCytIntra-species-notes": "", "WB-species-checked": "notRecommended", "WB-species-dilution-info": "", "WB-species-notes": "", "Dot-species-checked": "testedAndGuaranteed", "Dot-species-dilution-info": "1/1000", "Dot-species-notes": "<p></p>" } } }

Product details

Patented technology
Our RabMAb® technology is a patented hybridoma-based technology for making rabbit monoclonal antibodies. For details on our patents, please refer to RabMAb® patents.

What are the advantages of a recombinant monoclonal antibody?
This product is a recombinant monoclonal antibody, which offers several advantages including:

  • - High batch-to-batch consistency and reproducibility
  • - Improved sensitivity and specificity
  • - Long-term security of supply
  • - Animal-free batch production

For more information, read more on recombinant antibodies.

Properties and storage information

Form
Liquid
Purification technique
Affinity purification Protein A
Storage buffer
pH: 7.2 - 7.4 Preservative: 0.01% Sodium azide Constituents: PBS, 40% Glycerol (glycerin, glycerine), 0.05% BSA
Shipped at conditions
Blue Ice
Appropriate short-term storage duration
1-2 weeks
Appropriate short-term storage conditions
+4°C
Appropriate long-term storage conditions
-20°C
Aliquoting information
Upon delivery aliquot
Storage information
Avoid freeze / thaw cycle

Supplementary information

This supplementary information is collated from multiple sources and compiled automatically.

Nogo A also known as Reticulon 4-A (RTN4-A) and Nogo D are part of the Nogo protein family. Nogo A is a 200 kDa protein while Nogo D is smaller around 37 kDa. These proteins are mainly expressed in the central nervous system particularly in the oligodendrocytes and neurons. Mechanically they are involved in the inhibition of axonal growth and neural regeneration functioning as a myelin-associated protein. The protein structure consists of three main regions: N-terminal central domain and a long C-terminal domain each contributing differently to its inhibitory functions.
Biological function summary

Nogo A and Nogo D are important for maintaining neural network stability. They belong to the larger reticulon protein family which forms part of the endoplasmic reticulum network. Nogo A binds to specific receptors such as Nogo receptor 1 (NgR1) to mediate growth inhibition. This interaction causes a signaling cascade that limits neuronal sprouting and potentially stabilizes synapses. Nogo D’s biological role is less defined but suggests involvement in modulating similar pathways as Nogo A.

Pathways

Nogo A plays a significant role in neural inhibition and recovery processes. It integrates into the RhoA/ROCK signaling pathway which influences cytoskeletal dynamics and axonal growth inhibition. This protein works with others like RhoA GTPase within this pathway to execute its functions. Additionally Nogo A interacts with MAG and OMgp proteins through shared receptors further impacting neuronal growth and recovery after injuries.

Nogo A and Nogo D have prominent roles in conditions such as multiple sclerosis (MS) and spinal cord injuries. Nogo A limits axonal regeneration and remyelination in MS often in interaction with myelin-associated inhibitors like MAG restricting neuronal recovery. In spinal cord injuries the presence of Nogo A is closely associated with limited neural repair connecting it with proteins part of the glial scar formation. These interactions highlight the potential of targeting Nogo proteins for therapeutic purposes in regenerative medicine.

Product protocols

For this product, it's our understanding that no specific protocols are required. You can visit:

Target data

Required to induce the formation and stabilization of endoplasmic reticulum (ER) tubules. They regulate membrane morphogenesis in the ER by promoting tubular ER production. They influence nuclear envelope expansion, nuclear pore complex formation and proper localization of inner nuclear membrane proteins. However each isoform have specific functions mainly depending on their tissue expression specificities.. Isoform A. Developmental neurite growth regulatory factor with a role as a negative regulator of axon-axon adhesion and growth, and as a facilitator of neurite branching. Regulates neurite fasciculation, branching and extension in the developing nervous system (PubMed : 20573699). Involved in down-regulation of growth, stabilization of wiring and restriction of plasticity in the adult CNS (By similarity). Regulates the radial migration of cortical neurons via an RTN4R-LINGO1 containing receptor complex (PubMed : 20573699). Acts as a negative regulator of central nervous system angiogenesis. Inhibits spreading, migration and sprouting of primary brain microvascular endothelial cells (MVECs). Also induces the retraction of MVECs lamellipodia and filopodia in a ROCK pathway-dependent manner (PubMed : 23625008).. Isoform B. Mainly function in endothelial cells and vascular smooth muscle cells, is also involved in immune system regulation (Probable). Modulator of vascular remodeling, promotes the migration of endothelial cells but inhibits the migration of vascular smooth muscle cells (PubMed : 15034570). Regulates endothelial sphingolipid biosynthesis with direct effects on vascular function and blood pressure. Inhibits serine palmitoyltransferase, SPTLC1, the rate-limiting enzyme of the novo sphingolipid biosynthetic pathway, thereby controlling production of endothelial sphingosine-1-phosphate (S1P) (PubMed : 26301690). Required to promote macrophage homing and functions such as cytokine/chemokine gene expression involved in angiogenesis, arteriogenesis and tissue repair (PubMed : 19805174). Mediates ICAM1 induced transendothelial migration of leukocytes such as monocytes and neutrophils and acute inflammation (PubMed : 21183689). Necessary for immune responses triggered by nucleic acid sensing TLRs, such as TLR9, is required for proper TLR9 location to endolysosomes (PubMed : 25917084). Also involved in immune response to LPS (PubMed : 26174362). Plays a role in liver regeneration through the modulation of hepatocytes proliferation (PubMed : 23299899). Reduces the anti-apoptotic activity of Bcl-xl and Bcl-2. This is likely consecutive to their change in subcellular location, from the mitochondria to the endoplasmic reticulum, after binding and sequestration. With isoform C, inhibits BACE1 activity and amyloid precursor protein processing (By similarity).. Isoform C. Regulates cardiomyocyte apoptosis upon hypoxic conditions (PubMed : 27763637). With isoform B, inhibits BACE1 activity and amyloid precursor protein processing (By similarity).
See full target information Rtn4

Additional targets

Rtn4

Product promise

We are committed to supporting your work with high-quality reagents, and we're here for you every step of the way. In the unlikely event that one of our products does not perform as expected, you're protected by our Product Promise.
For full details, please see our Terms & Conditions

Please note: All products are 'FOR RESEARCH USE ONLY. NOT FOR USE IN DIAGNOSTIC OR THERAPEUTIC PROCEDURES'.

For licensing inquiries, please contact partnerships@abcam.com