JavaScript is disabled in your browser. Please enable JavaScript to view this website.
AB250250

Anti-Nogo antibody [EPR12265] - BSA and Azide free

Be the first to review this product! Submit a review

|

(1 Publication)

Rabbit Recombinant Monoclonal RTN4 antibody. Carrier free. Suitable for IHC-P, ICC/IF, IP, WB, Flow Cyt (Intra) and reacts with Human samples. Cited in 1 publication.

View Alternative Names

KIAA0886, NOGO, My043, SP1507, RTN4, Reticulon-4, Foocen, Neurite outgrowth inhibitor, Neuroendocrine-specific protein, Neuroendocrine-specific protein C homolog, RTN-x, Reticulon-5, Nogo protein, NSP

6 Images
Flow Cytometry (Intracellular) - Anti-Nogo antibody [EPR12265] - BSA and Azide free (AB250250)
  • Flow Cyt (Intra)

Supplier Data

Flow Cytometry (Intracellular) - Anti-Nogo antibody [EPR12265] - BSA and Azide free (AB250250)

This data was developed using ab180847, the same antibody clone in a different buffer formulation.

Intracellular Flow Cytometry analysis of permeabilized HeLa cells labeling Nogo (red) with ab180847 at a 1/10 dilution, or negative control rabbit IgG (green)

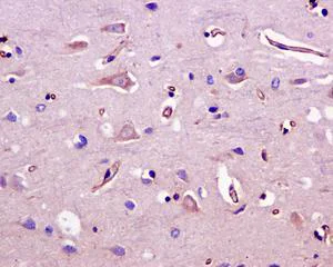
Immunohistochemistry (Formalin/PFA-fixed paraffin-embedded sections) - Anti-Nogo antibody [EPR12265] - BSA and Azide free (AB250250)
  • IHC-P

Supplier Data

Immunohistochemistry (Formalin/PFA-fixed paraffin-embedded sections) - Anti-Nogo antibody [EPR12265] - BSA and Azide free (AB250250)

This data was developed using ab180847, the same antibody clone in a different buffer formulation.

Immunohistochemical analysis of formalin-fixed, paraffin-embedded, Human brain tissue labeling Nogo with ab180847 at a 1/50 dilution.

Perform heat mediated antigen retrieval with citrate buffer pH 6 before commencing with IHC staining protocol.

Immunocytochemistry/ Immunofluorescence - Anti-Nogo antibody [EPR12265] - BSA and Azide free (AB250250)
  • ICC/IF

Supplier Data

Immunocytochemistry/ Immunofluorescence - Anti-Nogo antibody [EPR12265] - BSA and Azide free (AB250250)

This data was developed using ab180847, the same antibody clone in a different buffer formulation.

Immunofluorescence analysis of U87-MG cells labeling Nogo with ab180847 at a 1/100 dilution.

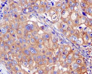
Immunohistochemistry (Formalin/PFA-fixed paraffin-embedded sections) - Anti-Nogo antibody [EPR12265] - BSA and Azide free (AB250250)
  • IHC-P

Supplier Data

Immunohistochemistry (Formalin/PFA-fixed paraffin-embedded sections) - Anti-Nogo antibody [EPR12265] - BSA and Azide free (AB250250)

This data was developed using ab180847, the same antibody clone in a different buffer formulation.

Immunohistochemical analysis of formalin-fixed, paraffin-embedded, Human breast carcinoma tissue labeling Nogo with ab180847 at a 1/50 dilution.

Perform heat mediated antigen retrieval with citrate buffer pH 6 before commencing with IHC staining protocol.

Western blot - Anti-Nogo antibody [EPR12265] - BSA and Azide free (AB250250)
  • WB

Supplier Data

Western blot - Anti-Nogo antibody [EPR12265] - BSA and Azide free (AB250250)

This data was developed using ab180847, the same antibody clone in a different buffer formulation.

All lanes:

Western blot - Anti-Nogo antibody [EPR12265] (<a href='/en-us/products/primary-antibodies/nogo-antibody-epr12265-ab180847'>ab180847</a>) at 1/1000 dilution

Lane 1:

U87-MG cell lysate at 10 µg

Lane 2:

SH-SY5Y cell lysate at 10 µg

Lane 3:

HeLa cell lysate at 10 µg

Secondary

All lanes:

Goat anti-rabbit HRP at 1/2000 dilution

Predicted band size: 129 kDa

Observed band size: 40-55 kDa

true

Immunoprecipitation - Anti-Nogo antibody [EPR12265] - BSA and Azide free (AB250250)
  • IP

Supplier Data

Immunoprecipitation - Anti-Nogo antibody [EPR12265] - BSA and Azide free (AB250250)

This data was developed using ab180847, the same antibody clone in a different buffer formulation.

Western blot analysis on Immunoprecipitation pellet from either 1) HeLa cell lysate, or 2) 1xPBS (negative control); showing Nogo, using ab180847 at 1/10 dilution and HRP-conjugated anti-rabbit IgG preferentially detecting the non-reduced form of rabbit IgG.

All lanes:

Immunoprecipitation - Anti-Nogo antibody [EPR12265] (<a href='/en-us/products/primary-antibodies/nogo-antibody-epr12265-ab180847'>ab180847</a>)

Predicted band size: 129 kDa

true

Key facts

Host species

Rabbit

Clonality

Monoclonal

Clone number

EPR12265

Isotype

IgG

Carrier free

Yes

Reacts with

Human

Applications

Flow Cyt (Intra), IP, ICC/IF, WB, IHC-P

applications

Immunogen

The exact immunogen used to generate this antibody is proprietary information.

Reactivity data

{ "title": "Reactivity Data", "filters": { "stats": ["", "Species", "Dilution Info", "Notes"], "tabs": { "all-applications": {"fullname" : "All Applications", "shortname": "All Applications"}, "IHCP" : {"fullname" : "Immunohistochemistry (Formalin/PFA-fixed paraffin-embedded sections)", "shortname":"IHC-P"}, "ICCIF" : {"fullname" : "Immunocytochemistry/ Immunofluorescence", "shortname":"ICC/IF"}, "IP" : {"fullname" : "Immunoprecipitation", "shortname":"IP"}, "WB" : {"fullname" : "Western blot", "shortname":"WB"}, "FlowCytIntra" : {"fullname" : "Flow Cytometry (Intracellular)", "shortname":"Flow Cyt (Intra)"} }, "product-promise": { "all": "all", "testedAndGuaranteed": "tested", "guaranteed": "expected", "predicted": "predicted", "notRecommended": "not-recommended" } }, "values": { "Human": { "IHCP-species-checked": "testedAndGuaranteed", "IHCP-species-dilution-info": "", "IHCP-species-notes": "<p>Use of a HRP/AP polymerized secondary antibody is recommended.</p>", "ICCIF-species-checked": "testedAndGuaranteed", "ICCIF-species-dilution-info": "", "ICCIF-species-notes": "<p></p>", "IP-species-checked": "testedAndGuaranteed", "IP-species-dilution-info": "", "IP-species-notes": "<p></p>", "WB-species-checked": "testedAndGuaranteed", "WB-species-dilution-info": "", "WB-species-notes": "<p></p>", "FlowCytIntra-species-checked": "testedAndGuaranteed", "FlowCytIntra-species-dilution-info": "", "FlowCytIntra-species-notes": "<p></p>" }, "Mouse": { "IHCP-species-checked": "notRecommended", "IHCP-species-dilution-info": "", "IHCP-species-notes": "", "ICCIF-species-checked": "notRecommended", "ICCIF-species-dilution-info": "", "ICCIF-species-notes": "", "IP-species-checked": "notRecommended", "IP-species-dilution-info": "", "IP-species-notes": "", "WB-species-checked": "notRecommended", "WB-species-dilution-info": "", "WB-species-notes": "<p></p>", "FlowCytIntra-species-checked": "notRecommended", "FlowCytIntra-species-dilution-info": "", "FlowCytIntra-species-notes": "" }, "Rat": { "IHCP-species-checked": "notRecommended", "IHCP-species-dilution-info": "", "IHCP-species-notes": "", "ICCIF-species-checked": "notRecommended", "ICCIF-species-dilution-info": "", "ICCIF-species-notes": "", "IP-species-checked": "notRecommended", "IP-species-dilution-info": "", "IP-species-notes": "", "WB-species-checked": "notRecommended", "WB-species-dilution-info": "", "WB-species-notes": "<p></p>", "FlowCytIntra-species-checked": "notRecommended", "FlowCytIntra-species-dilution-info": "", "FlowCytIntra-species-notes": "" } } }

Product details

ab250250 is the carrier-free version of ab180847.

Species reactivity
Mouse, Rat: We have preliminary internal testing data to indicate this antibody may not react with these species.
Please contact us for more information.

Patented technology
Our RabMAb® technology is a patented hybridoma-based technology for making rabbit monoclonal antibodies. For details on our patents, please refer to RabMAb® patents.

What are the advantages of a recombinant monoclonal antibody?
This product is a recombinant monoclonal antibody, which offers several advantages including:

  • - High batch-to-batch consistency and reproducibility
  • - Improved sensitivity and specificity
  • - Long-term security of supply
  • - Animal-free batch production

For more information, read more on recombinant antibodies.

Conjugation ready
Our carrier-free antibodies are typically supplied in a PBS-only formulation, purified and free of BSA, sodium azide and glycerol. This conjugation-ready format is designed for use with fluorochromes, metal isotopes, oligonucleotides, and enzymes, which makes them ideal for antibody labelling, functional and cell-based assays, flow-based assays (e.g. mass cytometry) and Multiplex Imaging applications.

Use our conjugation kits for antibody conjugates that are ready-to-use in as little as 20 minutes with 1 minute hands-on-time and 100% antibody recovery: available for fluorescent dyes, HRP, biotin and gold.

Compatibility
This product is compatible with the Maxpar® Antibody Labeling Kit from Fluidigm, without the need for antibody preparation. Maxpar® is a trademark of Fluidigm Canada Inc.

Properties and storage information

Form
Liquid
Purification technique
Affinity purification Protein A
Storage buffer
pH: 7.2 - 7.4 Constituents: PBS
Shipped at conditions
Blue Ice
Appropriate short-term storage conditions
+4°C
Appropriate long-term storage conditions
+4°C
Storage information
Do Not Freeze

Supplementary information

This supplementary information is collated from multiple sources and compiled automatically.

The Nogo protein also known as RTN4 or Nogo-A is a member of the reticulon family with an approximate mass of 200 kDa. It is known for its inhibitory role in axonal regeneration acting as a potent neurite outgrowth inhibitor. The Nogo protein is widely expressed in the central nervous system especially in oligodendrocytes and the endoplasmic reticulum of neurons. It is an important target in neurobiology due to its involvement in regulating axonal growth.
Biological function summary

Nogo protein plays a critical role in the central nervous system by maintaining the stability of neuronal circuits and preventing excessive or aberrant plasticity. It achieves this through its association with membrane-bound complexes. The Nogo-A variant in particular interacts with the Nogo receptor (NgR1) complex to mediate its effects on axon outgrowth inhibition. This interaction is important for maintaining neural structural integrity under normal physiological conditions.

Pathways

The Nogo protein is integrated into neurite outgrowth-inhibitory pathways influencing neural connectivity. It participates mainly in the RhoA-ROCK signaling pathway a pathway known for its role in modulating the cytoskeleton and neuronal morphology. Through this pathway Nogo interacts with several proteins including the p75 neurotrophin receptor (p75^NTR) mediating downstream effects on cell shape and motility. The regulation of this pathway is significant for understanding axonal regeneration and growth inhibition.

The Nogo protein is relevant in conditions such as spinal cord injury and multiple sclerosis. In spinal cord injuries upregulated Nogo-A expression contributes to the inhibition of axonal regeneration and functional recovery. Similarly in multiple sclerosis Nogo protein's interaction with the myelin-associated inhibitors may exacerbate damage or delay in repair linked with impaired oligodendrocyte function. This connection highlights the potential therapeutic importance of targeting Nogo interactions to promote neurological recovery and repair.

Product protocols

For this product, it's our understanding that no specific protocols are required. You can visit:

Target data

Required to induce the formation and stabilization of endoplasmic reticulum (ER) tubules (PubMed : 24262037, PubMed : 25612671, PubMed : 27619977). They regulate membrane morphogenesis in the ER by promoting tubular ER production (PubMed : 24262037, PubMed : 25612671, PubMed : 27619977, PubMed : 27786289). They influence nuclear envelope expansion, nuclear pore complex formation and proper localization of inner nuclear membrane proteins (PubMed : 26906412). However each isoform have specific functions mainly depending on their tissue expression specificities (Probable).. Isoform A. Developmental neurite growth regulatory factor with a role as a negative regulator of axon-axon adhesion and growth, and as a facilitator of neurite branching. Regulates neurite fasciculation, branching and extension in the developing nervous system. Involved in down-regulation of growth, stabilization of wiring and restriction of plasticity in the adult CNS (PubMed : 10667797, PubMed : 11201742). Regulates the radial migration of cortical neurons via an RTN4R-LINGO1 containing receptor complex (By similarity). Acts as a negative regulator of central nervous system angiogenesis. Inhibits spreading, migration and sprouting of primary brain microvascular endothelial cells (MVECs). Also induces the retraction of MVECs lamellipodia and filopodia in a ROCK pathway-dependent manner (By similarity).. Isoform B. Mainly function in endothelial cells and vascular smooth muscle cells, is also involved in immune system regulation (Probable). Modulator of vascular remodeling, promotes the migration of endothelial cells but inhibits the migration of vascular smooth muscle cells. Regulates endothelial sphingolipid biosynthesis with direct effects on vascular function and blood pressure. Inhibits serine palmitoyltransferase, SPTLC1, the rate-limiting enzyme of the novo sphingolipid biosynthetic pathway, thereby controlling production of endothelial sphingosine-1-phosphate (S1P). Required to promote macrophage homing and functions such as cytokine/chemokine gene expression involved in angiogenesis, arteriogenesis and tissue repair. Mediates ICAM1 induced transendothelial migration of leukocytes such as monocytes and neutrophils and acute inflammation. Necessary for immune responses triggered by nucleic acid sensing TLRs, such as TLR9, is required for proper TLR9 location to endolysosomes. Also involved in immune response to LPS. Plays a role in liver regeneration through the modulation of hepatocytes proliferation (By similarity). Reduces the anti-apoptotic activity of Bcl-xl and Bcl-2. This is likely consecutive to their change in subcellular location, from the mitochondria to the endoplasmic reticulum, after binding and sequestration (PubMed : 11126360). With isoform C, inhibits BACE1 activity and amyloid precursor protein processing (PubMed : 16965550).. Isoform C. Regulates cardiomyocyte apoptosis upon hypoxic conditions (By similarity). With isoform B, inhibits BACE1 activity and amyloid precursor protein processing (PubMed : 16965550).
See full target information RTN4

Publications (1)

Recent publications for all applications. Explore the full list and refine your search

OncoTargets and therapy 13:13315-13327 PubMed33408482

2020

Circ_0001175 Promotes Hepatocellular Carcinoma Cell Proliferation and Metastasis by Regulating miR-130a-5p.

Applications

Unspecified application

Species

Unspecified reactive species

Liheng Li,Ke He,Siliang Chen,Wenjiang Wei,Zuofu Tian,Yinghong Tang,Chengjiang Xiao,Guoan Xiang
View all publications

Product promise

We are committed to supporting your work with high-quality reagents, and we're here for you every step of the way. In the unlikely event that one of our products does not perform as expected, you're protected by our Product Promise.
For full details, please see our Terms & Conditions

Please note: All products are 'FOR RESEARCH USE ONLY. NOT FOR USE IN DIAGNOSTIC OR THERAPEUTIC PROCEDURES'.

For licensing inquiries, please contact partnerships@abcam.com