JavaScript is disabled in your browser. Please enable JavaScript to view this website.
AB288295

Anti-NOL3 antibody [EPR25182-11]

  • BOND RX™ Validated
  • 20ul selling size
  • RabMAb
  • Recombinant
  • What is this?

Be the first to review this product! Submit a review

|

(0 Publication)

Rabbit Recombinant Monoclonal NOL3 antibody. Suitable for ICC/IF, IP, WB, IHC-P, Flow Cyt (Intra) and reacts with Mouse, Human, Rat samples.

View Alternative Names

ARC, NOP, NOL3, Nucleolar protein 3, Apoptosis repressor with CARD, Muscle-enriched cytoplasmic protein, Nucleolar protein of 30 kDa, Myp, Nop30

12 Images
Flow Cytometry (Intracellular) - Anti-NOL3 antibody [EPR25182-11] (AB288295)
  • Flow Cyt (Intra)

Lab

Flow Cytometry (Intracellular) - Anti-NOL3 antibody [EPR25182-11] (AB288295)

Flow cytometric analysis of 4% paraformaldehyde fixed 90% methanol permeabilized Daudi (Human Burkitt's lymphoma lymphoblast, Left) / MCF7 (Human breast adenocarcinoma epithelial cell, Right) cells labelling NOL3 with ab288295 at 1/5000 dilution (0.01ug)(Red) compared with a Rabbit monoclonal IgG (ab172730) (Black) isotype control and an unlabelled control (cells without incubation with primary antibody and secondary antibody) (Blue). A Goat Anti-Rabbit IgG (Alexa Fluor® 488, ab150081) at 1/2000 dilution was used as the secondary antibody.

Negative control : Daudi (PMID : HPA database).

Immunocytochemistry/ Immunofluorescence - Anti-NOL3 antibody [EPR25182-11] (AB288295)
  • ICC/IF

Lab

Immunocytochemistry/ Immunofluorescence - Anti-NOL3 antibody [EPR25182-11] (AB288295)

Immunofluorescent analysis of 4% Paraformaldehyde-fixed, 0.1% TritonX-100 permeabilized MCF7 cells labelling NOL3 with ab288295 at 1/1000 dilution, followed by ab150081 Goat Anti-Rabbit IgG H&L (Alexa Fluor® 488) preadsorbed antibody at 1/1000 dilution (Green). Confocal image showing nuclear and cytoplasmic staining in MCF7 cell line. Negative control : Daudi. ab195889 Anti-alpha Tubulin mouse monoclonal antibody - Microtubule Marker (Alexa Fluor® 594) was used to counterstain tubulin at 1/200 dilution (Red). The Nuclear counterstain was DAPI (Blue).

Secondary antibody only control : Secondary antibody is ab150081 Goat Anti-Rabbit IgG H&L (Alexa Fluor® 488) preadsorbed at 1/1000 dilution.

Immunohistochemistry (Formalin/PFA-fixed paraffin-embedded sections) - Anti-NOL3 antibody [EPR25182-11] (AB288295)
  • IHC-P

Lab

Immunohistochemistry (Formalin/PFA-fixed paraffin-embedded sections) - Anti-NOL3 antibody [EPR25182-11] (AB288295)

Immunohistochemical analysis of paraffin-embedded Human skeletal muscle tissue labelling NOL3 with ab288295 at 1/5000 (0.108 ug/ml) followed by a ready to use LeicaDS9800 (Bond™, Polymer Refine Detection). Cytoplasmic staining on human skeletal muscle. The section was incubated with ab288295 for 30 mins at room temperature. The immunostaining was performed on a Leica Biosystems BOND® RX instrument. Counterstained with Hematoxylin.

Secondary antibody only control : Secondary antibody is a ready to use LeicaDS9800 (Bond™, Polymer Refine Detection).

Heat mediated antigen retrieval with Tris-EDTA buffer (pH 9.0, epitope retrieval solution2) for 20 mins

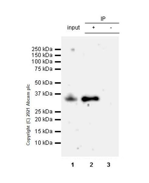
Immunoprecipitation - Anti-NOL3 antibody [EPR25182-11] (AB288295)
  • IP

Lab

Immunoprecipitation - Anti-NOL3 antibody [EPR25182-11] (AB288295)

NOL3 was immunoprecipitated from 0.35 mg MCF7 (human breast adenocarcinoma epithelial cell) whole cell lysate with ab288295 at 1/30 dilution (2ug in 0.35mg lysates). Western blot was performed on the immunoprecipitate using ab288295 at 1/1000 dilution. VeriBlot for IP secondary antibody (HRP) (ab131366) was used at 1/5000 dilution.

Lane 1 : MCF7 (human breast adenocarcinoma epithelial cell) whole cell lysate 10 ug

Lane 2 : ab288295 IP in MCF7 whole cell lysate

Lane 3 : Rabbit monoclonal IgG (ab172730) instead of ab288295 in MCF7 whole cell lysate

Blocking and dilution buffer and concentration : 5% NFDM/TBST.

Exposure time : 32 seconds

All lanes:

Immunoprecipitation - Anti-NOL3 antibody [EPR25182-11] (ab288295) at 1/1000 dilution

Secondary

All lanes:

Immunoprecipitation - VeriBlot for IP Detection Reagent (HRP) (<a href='/en-us/products/reagents/veriblot-for-ip-detection-reagent-hrp-ab131366'>ab131366</a>) at 1/5000 dilution

Predicted band size: 24 kDa

Observed band size: 27 kDa

false

Exposure time: 32s

Immunocytochemistry/ Immunofluorescence - Anti-NOL3 antibody [EPR25182-11] (AB288295)
  • ICC/IF

Lab

Immunocytochemistry/ Immunofluorescence - Anti-NOL3 antibody [EPR25182-11] (AB288295)

Immunofluorescent analysis of 4% Paraformaldehyde-fixed, 0.1% TritonX-100 permeabilized Neuro-2a cells labelling NOL3 with ab288295 at 1/1000 dilution, followed by ab150081 Goat Anti-Rabbit IgG H&L (Alexa Fluor® 488) preadsorbed antibody at 1/1000 dilution (Green). Confocal image showing nuclear and cytoplasmic staining in Neuro-2a cell line. ab195889 Anti-alpha Tubulin mouse monoclonal antibody - Microtubule Marker (Alexa Fluor® 594) was used to counterstain tubulin at 1/200 dilution (Red). The Nuclear counterstain was DAPI (Blue).

Secondary antibody only control : Secondary antibody is ab150081 Goat Anti-Rabbit IgG H&L (Alexa Fluor® 488) preadsorbed at 1/1000 dilution.

Immunohistochemistry (Formalin/PFA-fixed paraffin-embedded sections) - Anti-NOL3 antibody [EPR25182-11] (AB288295)
  • IHC-P

Lab

Immunohistochemistry (Formalin/PFA-fixed paraffin-embedded sections) - Anti-NOL3 antibody [EPR25182-11] (AB288295)

Immunohistochemical analysis of paraffin-embedded Mouse liver tissue labelling NOL3 with ab288295 at 1/5000 (0.108 ug/ml) followed by a ready to use LeicaDS9800 (Bond®, Polymer Refine Detection) was used. Negative control : No staining on mouse liver. The section was incubated with ab288295 for 30 mins at room temperature. The immunostaining was performed on a Leica Biosystems BOND® RX instrument. Counterstained with Hematoxylin.

Secondary antibody only control : Secondary antibody is a ready to use LeicaDS9800 (Bond®, Polymer Refine Detection) was used.

Heat mediated antigen retrieval with Tris-EDTA buffer (pH 9.0, epitope retrieval solution2) for 20 mins

Immunohistochemistry (Formalin/PFA-fixed paraffin-embedded sections) - Anti-NOL3 antibody [EPR25182-11] (AB288295)
  • IHC-P

Lab

Immunohistochemistry (Formalin/PFA-fixed paraffin-embedded sections) - Anti-NOL3 antibody [EPR25182-11] (AB288295)

Immunohistochemical analysis of paraffin-embedded Mouse cardiac muscle tissue labelling NOL3 with ab288295 at 1/5000 (0.108 ug/ml) followed by a ready to use LeicaDS9800 (Bond®, Polymer Refine Detection). Positive staining on mouse cardiac muscle. The section was incubated with ab288295 for 30 mins at room temperature. The immunostaining was performed on a Leica Biosystems BOND® RX instrument. Counterstained with Hematoxylin.

Secondary antibody only control : Secondary antibody is a ready to use LeicaDS9800 (Bond®, Polymer Refine Detection).

Heat mediated antigen retrieval with Tris-EDTA buffer (pH 9.0, epitope retrieval solution2) for 20 mins

Immunohistochemistry (Formalin/PFA-fixed paraffin-embedded sections) - Anti-NOL3 antibody [EPR25182-11] (AB288295)
  • IHC-P

Lab

Immunohistochemistry (Formalin/PFA-fixed paraffin-embedded sections) - Anti-NOL3 antibody [EPR25182-11] (AB288295)

Immunohistochemical analysis of paraffin-embedded Rat cardiac muscle tissue labelling NOL3 with ab288295 at 1/5000 (0.108 ug/ml) followed by a ready to use LeicaDS9800 (Bond®, Polymer Refine Detection). Positive staining on rat cardiac muscle. The section was incubated with ab288295 for 30 mins at room temperature. The immunostaining was performed on a Leica Biosystems BOND® RX instrument. Counterstained with Hematoxylin.

Secondary antibody only control : Secondary antibody is a ready to use LeicaDS9800 (Bond®, Polymer Refine Detection).

Heat mediated antigen retrieval with Tris-EDTA buffer (pH 9.0, epitope retrieval solution2) for 20 mins

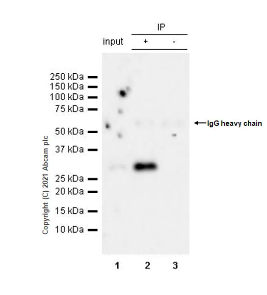
Immunoprecipitation - Anti-NOL3 antibody [EPR25182-11] (AB288295)
  • IP

Lab

Immunoprecipitation - Anti-NOL3 antibody [EPR25182-11] (AB288295)

NOL3 was immunoprecipitated from 0.35 mg Neuro-2a (mouse neuroblastoma neuroblast) whole cell lysate with ab288295 at 1/30 dilution (2ug in 0.35mg lysates). Western blot was performed on the immunoprecipitate using ab288295 at 1/1000 dilution. VeriBlot for IP secondary antibody (HRP) (ab131366) was used at 1/5000 dilution.

Lane 1 : Neuro-2a (mouse neuroblastoma neuroblast) whole cell lysate 10 ug

Lane 2 : ab288295 IP in Neuro-2a whole cell lysate

Lane 3 : Rabbit monoclonal IgG (ab172730) instead of ab288295 in Neuro-2a whole cell lysate

Blocking and dilution buffer and concentration : 5% NFDM/TBST.

Exposure time : 3 minutes

All lanes:

Immunoprecipitation - Anti-NOL3 antibody [EPR25182-11] (ab288295) at 1/1000 dilution

Secondary

All lanes:

Immunoprecipitation - VeriBlot for IP Detection Reagent (HRP) (<a href='/en-us/products/reagents/veriblot-for-ip-detection-reagent-hrp-ab131366'>ab131366</a>) at 1/5000 dilution

Predicted band size: 24 kDa

Observed band size: 27 kDa

false

Exposure time: 3min

Western blot - Anti-NOL3 antibody [EPR25182-11] (AB288295)
  • WB

Lab

Western blot - Anti-NOL3 antibody [EPR25182-11] (AB288295)

Blocking and diluting buffer and concentration : 5% NFDM/TBST.

The observed MW/expression profile is consistent with what has been described in the literature (PMID : 17142452).

Negative control : Daudi (PMID : HPA database)

Exposure time : 3 minutes

All lanes:

Western blot - Anti-NOL3 antibody [EPR25182-11] (ab288295) at 1/1000 dilution

Lane 1:

MCF7 (human breast adenocarcinoma epithelial cell) whole cell lysate at 20 µg

Lane 2:

Daudi (human Burkitts lymphoma lymphoblast) whole cell lysate at 20 µg

Secondary

All lanes:

Goat Anti-Rabbit IgG, (H+L), Peroxidase conjugated (<a href='/en-us/products/secondary-antibodies/goat-rabbit-igg-h-l-hrp-ab97051'>ab97051</a>) at 1/20000 dilution

Predicted band size: 24 kDa

Observed band size: 27 kDa

false

Western blot - Anti-NOL3 antibody [EPR25182-11] (AB288295)
  • WB

Lab

Western blot - Anti-NOL3 antibody [EPR25182-11] (AB288295)

Blocking and diluting buffer and concentration : 5% NFDM/TBST.

The observed MW/expression profile is consistent with what has been described in the literature (PMID : 15848180).

Exposure time : 15 seconds

All lanes:

Western blot - Anti-NOL3 antibody [EPR25182-11] (ab288295) at 1/1000 dilution

Lane 1:

Human heart tissue lysate at 20 µg

Lane 2:

Human skeletal muscle tissue lysate at 20 µg

Secondary

All lanes:

Goat Anti-Rabbit IgG (HRP) with minimal cross-reactivity with human IgG at 1/2000 dilution

Predicted band size: 24 kDa

Observed band size: 27 kDa

false

Western blot - Anti-NOL3 antibody [EPR25182-11] (AB288295)
  • WB

Lab

Western blot - Anti-NOL3 antibody [EPR25182-11] (AB288295)

Blocking and diluting buffer : 5% NFDM/TBST.

The observed MW/expression profile is consistent with what has been described in the literature (PMID : 14645204, 20026055, 10590251).

Low expression : Mouse liver (PMID : 14645204)

Exposure time : 3 minutes

All lanes:

Western blot - Anti-NOL3 antibody [EPR25182-11] (ab288295) at 1/1000 dilution

Lane 1:

Mouse heart tissue lysate at 20 µg

Lane 2:

Mouse liver tissue lysate at 20 µg

Lane 3:

Mouse skeletal muscle tissue lysate at 20 µg

Lane 4:

Rat heart tissue lysate at 20 µg

Lane 5:

Rat skeletal muscle tissue lysate at 20 µg

Secondary

All lanes:

Goat Anti-Rabbit IgG, (H+L), Peroxidase conjugated (<a href='/en-us/products/secondary-antibodies/goat-rabbit-igg-h-l-hrp-ab97051'>ab97051</a>) at 1/100000 dilution

Predicted band size: 24 kDa

Observed band size: 27 kDa

false

  • Carrier free

    Anti-NOL3 antibody [EPR25182-11] - BSA and Azide free

Key facts

Host species

Rabbit

Clonality

Monoclonal

Clone number

EPR25182-11

Isotype

IgG

Carrier free

No

Reacts with

Mouse, Rat, Human

Applications

ICC/IF, Flow Cyt (Intra), WB, IP, IHC-P

applications

Immunogen

The exact immunogen used to generate this antibody is proprietary information.

Reactivity data

{ "title": "Reactivity Data", "filters": { "stats": ["", "Species", "Dilution Info", "Notes"], "tabs": { "all-applications": {"fullname" : "All Applications", "shortname": "All Applications"}, "ICCIF" : {"fullname" : "Immunocytochemistry/ Immunofluorescence", "shortname":"ICC/IF"}, "IP" : {"fullname" : "Immunoprecipitation", "shortname":"IP"}, "WB" : {"fullname" : "Western blot", "shortname":"WB"}, "IHCP" : {"fullname" : "Immunohistochemistry (Formalin/PFA-fixed paraffin-embedded sections)", "shortname":"IHC-P"}, "FlowCytIntra" : {"fullname" : "Flow Cytometry (Intracellular)", "shortname":"Flow Cyt (Intra)"} }, "product-promise": { "all": "all", "testedAndGuaranteed": "tested", "guaranteed": "expected", "predicted": "predicted", "notRecommended": "not-recommended" } }, "values": { "Human": { "ICCIF-species-checked": "testedAndGuaranteed", "ICCIF-species-dilution-info": "1/1000", "ICCIF-species-notes": "<p></p>", "IP-species-checked": "testedAndGuaranteed", "IP-species-dilution-info": "1/30", "IP-species-notes": "<p></p>", "WB-species-checked": "testedAndGuaranteed", "WB-species-dilution-info": "1/1000", "WB-species-notes": "<p></p>", "IHCP-species-checked": "testedAndGuaranteed", "IHCP-species-dilution-info": "1/5000", "IHCP-species-notes": "<p></p>", "FlowCytIntra-species-checked": "testedAndGuaranteed", "FlowCytIntra-species-dilution-info": "1/5000", "FlowCytIntra-species-notes": "<p></p>" }, "Mouse": { "ICCIF-species-checked": "testedAndGuaranteed", "ICCIF-species-dilution-info": "1/1000", "ICCIF-species-notes": "<p></p>", "IP-species-checked": "testedAndGuaranteed", "IP-species-dilution-info": "1/30", "IP-species-notes": "<p></p>", "WB-species-checked": "testedAndGuaranteed", "WB-species-dilution-info": "1/1000", "WB-species-notes": "<p></p>", "IHCP-species-checked": "testedAndGuaranteed", "IHCP-species-dilution-info": "1/5000", "IHCP-species-notes": "<p></p>", "FlowCytIntra-species-checked": "guaranteed", "FlowCytIntra-species-dilution-info": "", "FlowCytIntra-species-notes": "" }, "Rat": { "ICCIF-species-checked": "guaranteed", "ICCIF-species-dilution-info": "", "ICCIF-species-notes": "", "IP-species-checked": "guaranteed", "IP-species-dilution-info": "", "IP-species-notes": "", "WB-species-checked": "testedAndGuaranteed", "WB-species-dilution-info": "1/1000", "WB-species-notes": "<p></p>", "IHCP-species-checked": "testedAndGuaranteed", "IHCP-species-dilution-info": "1/5000", "IHCP-species-notes": "<p></p>", "FlowCytIntra-species-checked": "guaranteed", "FlowCytIntra-species-dilution-info": "", "FlowCytIntra-species-notes": "" } } }

Product details

Patented technology
Our RabMAb® technology is a patented hybridoma-based technology for making rabbit monoclonal antibodies. For details on our patents, please refer to RabMAb® patents.

What are the advantages of a recombinant monoclonal antibody?
This product is a recombinant monoclonal antibody, which offers several advantages including:

  • - High batch-to-batch consistency and reproducibility
  • - Improved sensitivity and specificity
  • - Long-term security of supply
  • - Animal-free batch production

For more information, read more on recombinant antibodies.

Properties and storage information

Form
Liquid
Purification technique
Affinity purification Protein A
Storage buffer
pH: 7.2 - 7.4 Preservative: 0.01% Sodium azide Constituents: PBS, 40% Glycerol (glycerin, glycerine), 0.05% BSA
Shipped at conditions
Blue Ice
Appropriate short-term storage duration
1-2 weeks
Appropriate short-term storage conditions
+4°C
Appropriate long-term storage conditions
-20°C
Aliquoting information
Upon delivery aliquot
Storage information
Avoid freeze / thaw cycle

Supplementary information

This supplementary information is collated from multiple sources and compiled automatically.

Nucleolar protein 3 (NOL3) also known as ARC (apoptosis repressor with caspase recruitment domain) is a multifunctional protein involved in apoptosis regulation and cellular stress responses. It has a molecular mass of approximately 26 kDa. NOL3 is expressed in various tissues but it displays high levels in the heart skeletal muscles and neurons. Its expression suggests a protective role in these tissues where it interacts with various cellular components to prevent apoptosis.
Biological function summary

NOL3 contributes significantly to cell survival and apoptosis inhibition by interacting with pro-apoptotic proteins to block their function. It acts as a safeguard against external stressors that can trigger cell death. As part of its role in apoptosis regulation NOL3 engages in complex formation with other proteins to modulate apoptotic pathways. For instance it binds directly to caspases preventing their activation and further propagation of cell death signals.

Pathways

NOL3 plays a critical role in the apoptosis and stress response pathways. It participates in the intrinsic apoptosis pathway by inhibiting the activation of key apoptotic enzymes while also interacting with proteins such as Bcl-2 and Bax to further regulate cell survival. The involvement of NOL3 in stress response pathways highlights its function in promoting cellular resilience in challenging conditions often functioning together with heat shock proteins that assist in protein folding and stress recovery.

NOL3 has been implicated in neurodegenerative diseases and cardiac dysfunction. In particular its dysregulation is associated with conditions like Alzheimer's disease where it might influence neural cell survival. Furthermore NOL3 interacts with amyloid precursor protein (APP) which has a role in Alzheimer's pathology. In the context of cardiac diseases altered NOL3 expression may influence cardiac hypertrophy and heart failure potentially interacting with proteins such as caspase-8 in these processes.

Product protocols

For this product, it's our understanding that no specific protocols are required. You can visit:

Target data

Isoform 1. May be involved in RNA splicing.. Isoform 2. Functions as an apoptosis repressor that blocks multiple modes of cell death. Inhibits extrinsic apoptotic pathways through two different ways. Firstly by interacting with FAS and FADD upon FAS activation blocking death-inducing signaling complex (DISC) assembly (By similarity). Secondly by interacting with CASP8 in a mitochondria localization- and phosphorylation-dependent manner, limiting the amount of soluble CASP8 available for DISC-mediated activation (By similarity). Inhibits intrinsic apoptotic pathway in response to a wide range of stresses, through its interaction with BAX resulting in BAX inactivation, preventing mitochondrial dysfunction and release of pro-apoptotic factors (PubMed : 15004034). Inhibits calcium-mediated cell death by functioning as a cytosolic calcium buffer, dissociating its interaction with CASP8 and maintaining calcium homeostasis (PubMed : 15509781). Negatively regulates oxidative stress-induced apoptosis by phosphorylation-dependent suppression of the mitochondria-mediated intrinsic pathway, by blocking CASP2 activation and BAX translocation (By similarity). Negatively regulates hypoxia-induced apoptosis in part by inhibiting the release of cytochrome c from mitochondria in a caspase-independent manner (By similarity). Also inhibits TNF-induced necrosis by preventing TNF-signaling pathway through TNFRSF1A interaction abrogating the recruitment of RIPK1 to complex I (By similarity). Finally through its role as apoptosis repressor, promotes vascular remodeling through inhibition of apoptosis and stimulation of proliferation, in response to hypoxia (By similarity). Inhibits too myoblast differentiation through caspase inhibition (By similarity).
See full target information NOL3

Product promise

We are committed to supporting your work with high-quality reagents, and we're here for you every step of the way. In the unlikely event that one of our products does not perform as expected, you're protected by our Product Promise.
For full details, please see our Terms & Conditions

Please note: All products are 'FOR RESEARCH USE ONLY. NOT FOR USE IN DIAGNOSTIC OR THERAPEUTIC PROCEDURES'.

For licensing inquiries, please contact partnerships@abcam.com