JavaScript is disabled in your browser. Please enable JavaScript to view this website.
AB184550

Anti-NOLC1 antibody [EPR14896]

Be the first to review this product! Submit a review

|

(7 Publications)

Rabbit Recombinant Monoclonal NOLC1 antibody. Suitable for WB, IHC-P, ICC/IF, Flow Cyt (Intra) and reacts with Human samples. Cited in 7 publications.

View Alternative Names

KIAA0035, NS5ATP13, NOLC1, Nucleolar and coiled-body phosphoprotein 1, 140 kDa nucleolar phosphoprotein, Hepatitis C virus NS5A-transactivated protein 13, Nucleolar 130 kDa protein, Nucleolar phosphoprotein p130, Nopp140, HCV NS5A-transactivated protein 13

4 Images
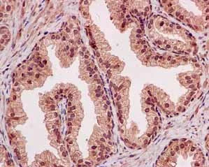
Immunohistochemistry (Formalin/PFA-fixed paraffin-embedded sections) - Anti-NOLC1 antibody [EPR14896] (AB184550)
  • IHC-P

Supplier Data

Immunohistochemistry (Formalin/PFA-fixed paraffin-embedded sections) - Anti-NOLC1 antibody [EPR14896] (AB184550)

Immunohistochemical analysis of paraffin-embedded Human prostate tissue labeling NOLC1 at a 1/100 dilution, counterstained with Hematoxylin.

Immunocytochemistry/ Immunofluorescence - Anti-NOLC1 antibody [EPR14896] (AB184550)
  • ICC/IF

Supplier Data

Immunocytochemistry/ Immunofluorescence - Anti-NOLC1 antibody [EPR14896] (AB184550)

Immunofluorescence staining of -20℃ Acetone fixed K562 cells labeling NOLC1 using ab184550 at a 1/500 dilution (Red). Goat anti rabbit IgG (Alexa Fluor® 555) secondary at a 1/200 dilution. Counterstained with Dapi (blue).

Flow Cytometry (Intracellular) - Anti-NOLC1 antibody [EPR14896] (AB184550)
  • Flow Cyt (Intra)

Supplier Data

Flow Cytometry (Intracellular) - Anti-NOLC1 antibody [EPR14896] (AB184550)

Intracellular flow cytometric analysis of 2% paraformaldehyde fixed HeLa cells labeling NOLC1 with ab184550 at a 1/300 dilution (red) or a rabbit IgG isotype control (green), followed by secondary Goat anti rabbit IgG (FITC) at 1/150 dilution.

Western blot - Anti-NOLC1 antibody [EPR14896] (AB184550)
  • WB

Supplier Data

Western blot - Anti-NOLC1 antibody [EPR14896] (AB184550)

All lanes:

Western blot - Anti-NOLC1 antibody [EPR14896] (ab184550) at 1/50000 dilution

Lane 1:

K562 cell lysate at 20 µg

Lane 2:

HeLa cell lysate at 20 µg

Secondary

All lanes:

Goat Anti-Rabbit IgG, (H+L), Peroxidase conjugated at 1/1000 dilution

Predicted band size: 74 kDa

false

  • Carrier free

    Anti-NOLC1 antibody [EPR14896] - BSA and Azide free

Key facts

Host species

Rabbit

Clonality

Monoclonal

Clone number

EPR14896

Isotype

IgG

Carrier free

No

Reacts with

Human

Applications

Flow Cyt (Intra), IHC-P, WB, ICC/IF

applications

Immunogen

The exact immunogen used to generate this antibody is proprietary information.

Reactivity data

{ "title": "Reactivity Data", "filters": { "stats": ["", "Species", "Dilution Info", "Notes"], "tabs": { "all-applications": {"fullname" : "All Applications", "shortname": "All Applications"}, "WB" : {"fullname" : "Western blot", "shortname":"WB"}, "IHCP" : {"fullname" : "Immunohistochemistry (Formalin/PFA-fixed paraffin-embedded sections)", "shortname":"IHC-P"}, "ICCIF" : {"fullname" : "Immunocytochemistry/ Immunofluorescence", "shortname":"ICC/IF"}, "FlowCytIntra" : {"fullname" : "Flow Cytometry (Intracellular)", "shortname":"Flow Cyt (Intra)"} }, "product-promise": { "all": "all", "testedAndGuaranteed": "tested", "guaranteed": "expected", "predicted": "predicted", "notRecommended": "not-recommended" } }, "values": { "Human": { "WB-species-checked": "testedAndGuaranteed", "WB-species-dilution-info": "1/10000 - 1/50000", "WB-species-notes": "<p></p>", "IHCP-species-checked": "testedAndGuaranteed", "IHCP-species-dilution-info": "1/50 - 1/100", "IHCP-species-notes": "<p></p>", "ICCIF-species-checked": "testedAndGuaranteed", "ICCIF-species-dilution-info": "1/500", "ICCIF-species-notes": "<p></p>", "FlowCytIntra-species-checked": "testedAndGuaranteed", "FlowCytIntra-species-dilution-info": "1/300", "FlowCytIntra-species-notes": "<p><a href='/en-us/products/primary-antibodies/rabbit-igg-monoclonal-epr25a-isotype-control-ab172730'>ab172730</a> - Rabbit monoclonal IgG, is suitable for use as an isotype control with this antibody.</p>" }, "Mouse": { "WB-species-checked": "predicted", "WB-species-dilution-info": "", "WB-species-notes": "", "IHCP-species-checked": "predicted", "IHCP-species-dilution-info": "", "IHCP-species-notes": "", "ICCIF-species-checked": "predicted", "ICCIF-species-dilution-info": "", "ICCIF-species-notes": "", "FlowCytIntra-species-checked": "predicted", "FlowCytIntra-species-dilution-info": "", "FlowCytIntra-species-notes": "" } } }

Product details

Patented technology
Our RabMAb® technology is a patented hybridoma-based technology for making rabbit monoclonal antibodies. For details on our patents, please refer to RabMAb® patents.

What are the advantages of a recombinant monoclonal antibody?
This product is a recombinant monoclonal antibody, which offers several advantages including:

  • - High batch-to-batch consistency and reproducibility
  • - Improved sensitivity and specificity
  • - Long-term security of supply
  • - Animal-free batch production

For more information, read more on recombinant antibodies.

Properties and storage information

Form
Liquid
Purification technique
Affinity purification Protein A
Storage buffer
pH: 7.2 Preservative: 0.01% Sodium azide Constituents: 59% PBS, 40% Glycerol (glycerin, glycerine), 0.05% BSA
Shipped at conditions
Blue Ice
Appropriate short-term storage duration
1-2 weeks
Appropriate short-term storage conditions
+4°C
Appropriate long-term storage conditions
-20°C
Aliquoting information
Upon delivery aliquot
Storage information
Avoid freeze / thaw cycle

Supplementary information

This supplementary information is collated from multiple sources and compiled automatically.

NOLC1 which also goes by the alternative name nucleolar and coiled-body phosphoprotein 1 has an important role in cellular mechanics. This protein weighs around 76 kDa. NOLC1 localizes in the nucleolus which means it has a strong connection to ribosome biogenesis in the cell. You will often find NOLC1 expressed in various human tissues particularly those with high proliferative capacity.
Biological function summary

Nucleolus assembly and maintenance depend notably on pathways involving NOLC1. It acts as part of an essential multiprotein complex. NOLC1 interacts with other nucleolar proteins to maintain nucleolar structure and facilitate ribosomal RNA (rRNA) synthesis. Its activities support the structural and functional integrity needed for efficient ribosome production.

Pathways

Ribosome biogenesis forms the critical framework where NOLC1 operates. This protein interacts closely within the RNA polymerase I transcription machinery and rRNA processing pathways working alongside proteins like fibrillarin and UBF1. NOLC1's presence within these pathways helps in coordinating the transcriptional and structural elements necessary for ribosome assembly.

Aberrant NOLC1 function links to cancer and neurodegenerative diseases. Elevated NOLC1 levels sometimes correlate with increased tumor growth connecting it to malignant processes. Its interactions with proteins such as tumor protein p53 highlight its importance in regulating cell cycle and stress responses. Additionally disruptions in its nucleolar roles have potential associations with neurodegenerative disorders indicating its critical role beyond normal cellular functions.

Product protocols

For this product, it's our understanding that no specific protocols are required. You can visit:

Target data

Nucleolar protein that acts as a regulator of RNA polymerase I by connecting RNA polymerase I with enzymes responsible for ribosomal processing and modification (PubMed : 10567578, PubMed : 26399832). Required for neural crest specification : following monoubiquitination by the BCR(KBTBD8) complex, associates with TCOF1 and acts as a platform to connect RNA polymerase I with enzymes responsible for ribosomal processing and modification, leading to remodel the translational program of differentiating cells in favor of neural crest specification (PubMed : 26399832). Involved in nucleologenesis, possibly by playing a role in the maintenance of the fundamental structure of the fibrillar center and dense fibrillar component in the nucleolus (PubMed : 9016786). It has intrinsic GTPase and ATPase activities (PubMed : 9016786).
See full target information NOLC1

Publications (7)

Recent publications for all applications. Explore the full list and refine your search

The Journal of cell biology 224: PubMed39602297

2024

Identification of coilin interactors reveals coordinated control of Cajal body number and structure.

Applications

Unspecified application

Species

Unspecified reactive species

Dahyana Arias Escayola,Chuyue Zhang,Emily Nischwitz,Leonard Schärfen,Kerstin Dörner,Korinna Straube,Ulrike Kutay,Falk Butter,Karla M Neugebauer

Nature machine intelligence 6:1021-1033 PubMed39309215

2024

A deep learning method that identifies cellular heterogeneity using nanoscale nuclear features.

Applications

Unspecified application

Species

Unspecified reactive species

Davide Carnevali,Limei Zhong,Esther González-Almela,Carlotta Viana,Mikhail Rotkevich,Aiping Wang,Daniel Franco-Barranco,Aitor Gonzalez-Marfil,Maria Victoria Neguembor,Alvaro Castells-Garcia,Ignacio Arganda-Carreras,Maria Pia Cosma

Frontiers in oncology 12:731528 PubMed35174077

2022

Nucleolar and Coiled-Body Phosphoprotein 1 Is Associated With Stemness and Represents a Potential Therapeutic Target in Triple-Negative Breast Cancer.

Applications

Unspecified application

Species

Unspecified reactive species

Sisi Chen,Ying Li,Muyao Wu,Lian Xue,Jianyu Zhu,Mi Wu,Qiuting Zhang,Guangchun He,Guifei Li,Shujun Fu,Chanjuan Zheng,Xiyun Deng

Cell death & disease 12:319 PubMed33767130

2021

A Zic2/Runx2/NOLC1 signaling axis mediates tumor growth and metastasis in clear cell renal cell carcinoma.

Applications

Unspecified application

Species

Unspecified reactive species

Chen-Yan Wu,Lei Li,Shi-Lu Chen,Xia Yang,Chris Zhiyi Zhang,Yun Cao

Nature communications 11:5156 PubMed33056990

2020

Pan-cancer analysis reveals TAp63-regulated oncogenic lncRNAs that promote cancer progression through AKT activation.

Applications

Unspecified application

Species

Unspecified reactive species

Marco Napoli,Xiaobo Li,Hayley D Ackerman,Avani A Deshpande,Ivan Barannikov,Marlese A Pisegna,Isabelle Bedrosian,Jürgen Mitsch,Philip Quinlan,Alastair Thompson,Kimal Rajapakshe,Cristian Coarfa,Preethi H Gunaratne,Douglas C Marchion,Anthony M Magliocco,Kenneth Y Tsai,Elsa R Flores

Cell death & disease 9:518 PubMed29725012

2018

Nucleolar TRF2 attenuated nucleolus stress-induced HCC cell-cycle arrest by altering rRNA synthesis.

Applications

Unspecified application

Species

Unspecified reactive species

Fuwen Yuan,Chenzhong Xu,Guodong Li,Tanjun Tong

Cell death discovery 3:17043 PubMed28875039

2017

Nucleolar and coiled-body phosphoprotein 1 (NOLC1) regulates the nucleolar retention of TRF2.

Applications

Unspecified application

Species

Unspecified reactive species

Fuwen Yuan,Guodong Li,Tanjun Tong
View all publications

Product promise

We are committed to supporting your work with high-quality reagents, and we're here for you every step of the way. In the unlikely event that one of our products does not perform as expected, you're protected by our Product Promise.
For full details, please see our Terms & Conditions

Please note: All products are 'FOR RESEARCH USE ONLY. NOT FOR USE IN DIAGNOSTIC OR THERAPEUTIC PROCEDURES'.

For licensing inquiries, please contact partnerships@abcam.com