JavaScript is disabled in your browser. Please enable JavaScript to view this website.
AB238131

Anti-non-muscle Myosin IIA antibody [EPR22933-9]

  • BOND RX™ Validated
  • RabMAb
  • Recombinant
  • 20ul selling size
  • What is this?

5

(1 Review)

|

(9 Publications)

Rabbit Recombinant Monoclonal MYH9 antibody. Suitable for IP, WB, IHC-P and reacts with Mouse, Rat, Human samples. Cited in 9 publications.

View Alternative Names

Myosin-9, Myosin heavy chain 9, Non-muscle myosin heavy chain A, Non-muscle myosin heavy chain IIa, NMMHC-A, NMMHC II-a, NMMHC-IIA, MYH9

4 Images
Immunohistochemistry (Formalin/PFA-fixed paraffin-embedded sections) - Anti-non-muscle Myosin IIA antibody [EPR22933-9] (AB238131)
  • IHC-P

Unknown

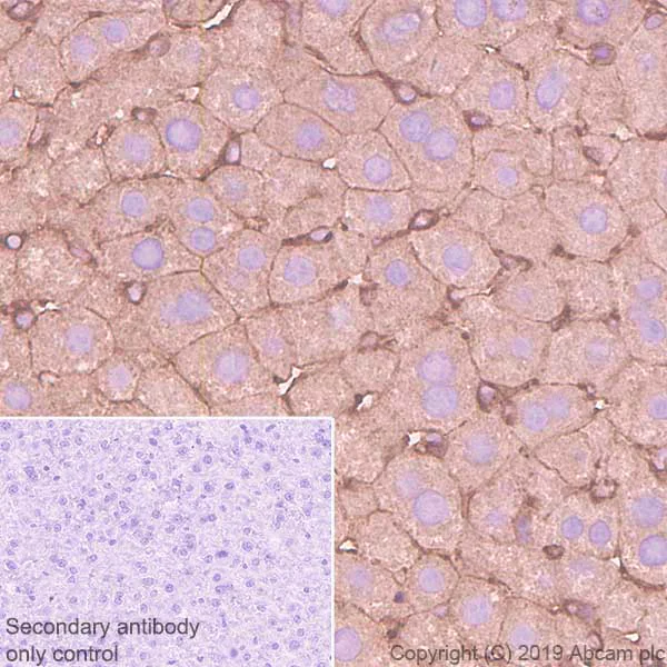
Immunohistochemistry (Formalin/PFA-fixed paraffin-embedded sections) - Anti-non-muscle Myosin IIA antibody [EPR22933-9] (AB238131)

Immunohistochemical analysis of paraffin-embedded Mouse liver tissue labeling non-muscle Myosin IIA with ab238131 at 1/500 dilution (0.854 μg/ml) followed by a ready to use Rabbit specific IHC polymer detection kit HRP/DAB (ab209101). Positive staining on mouse liver (PMID : 11943476, 22558294, 17668046). The section was incubated with ab238131 for 30 mins at RT. The immunostaining staining was performed on a Leica Biosystems BOND® RX instrument. Counterstained with Hematoxylin. Heat mediated antigen retrieval with Tris-EDTA buffer (pH 9.0, epitope retrieval solution 2) for 20 mins.

Secondary antibody only control/ Used PBS instead of primary antibody, secondary antibody is a ready to use Rabbit specific IHC polymer detection kit HRP/DAB (ab209101).

Immunohistochemistry (Formalin/PFA-fixed paraffin-embedded sections) - Anti-non-muscle Myosin IIA antibody [EPR22933-9] (AB238131)
  • IHC-P

Unknown

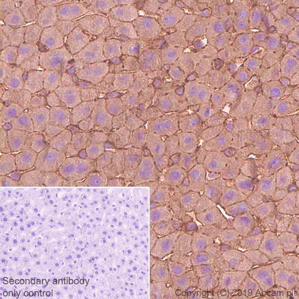
Immunohistochemistry (Formalin/PFA-fixed paraffin-embedded sections) - Anti-non-muscle Myosin IIA antibody [EPR22933-9] (AB238131)

Immunohistochemical analysis of paraffin-embedded Rat liver tissue labeling non-muscle Myosin IIA with ab238131 at 1/500 dilution (0.854 ug/ml) followed by a ready to use Rabbit specific IHC polymer detection kit HRP/DAB (ab209101). Positive staining on rat liver (PMID : 11943476, 22558294, 17668046). The section was incubated with ab238131 for 30 mins at RT. The immunostaining staining was performed on a Leica Biosystems BOND® RX instrument. Counterstained with Hematoxylin. Heat mediated antigen retrieval with Tris-EDTA buffer (pH 9.0, epitope retrieval solution 2) for 20 mins.

Secondary antibody only control : Used PBS instead of primary antibody, secondary antibody is a ready to use Rabbit specific IHC polymer detection kit HRP/DAB (ab209101).

Immunoprecipitation - Anti-non-muscle Myosin IIA antibody [EPR22933-9] (AB238131)
  • IP

Unknown

Immunoprecipitation - Anti-non-muscle Myosin IIA antibody [EPR22933-9] (AB238131)

non-muscle Myosin IIA was immunoprecipitated from 0.35 mg NIH/3T3 (Mouse embryonic fibroblast) whole cell lysate 10ug with ab238131 at 1/30 dilution (2ug in 0.35mg lysates). Western blot was performed on the immunoprecipitate using ab238131. VeriBlot for IP Detection Reagent (HRP) (ab131366) was used at 1/5000 dilution.

Lane 1 : NIH/3T3 (Mouse embryonic fibroblast) whole cell lysate 10ug

Lane 2 : ab238131 IP in NIH/3T3 whole cell lysate

Lane 3 : Rabbit monoclonal IgG (ab172730) instead of ab238131 in NIH/3T3 whole cell lysate.

Blocking and dilution buffer and concentration : 5% NFDM/TBST.

Exposure time : 30 seconds.

All lanes:

Immunoprecipitation - Anti-non-muscle Myosin IIA antibody [EPR22933-9] (ab238131)

Predicted band size: 227 kDa

Observed band size: 226 kDa

false

Western blot - Anti-non-muscle Myosin IIA antibody [EPR22933-9] (AB238131)
  • WB

Lab

Western blot - Anti-non-muscle Myosin IIA antibody [EPR22933-9] (AB238131)

Blocking and dilution buffer : 5% NFDM/TBST.

All lanes:

Western blot - Anti-non-muscle Myosin IIA antibody [EPR22933-9] (ab238131) at 1/1000 dilution

Lane 1:

Human liver tissue lysate 20ug

Lane 2:

Human lung lysate at 20 µg

Lane 3:

Neuro-2a (mouse neuroblastoma neuroblast), whole cell lysate at 20 µg

Lane 4:

HEK-293T (human embryonic kidney epithelial cell), whole cell lysate at 20 µg

Lane 5:

HeLa (human cervix adenocarcinoma epithelial cell), whole cell lysate at 20 µg

Lane 6:

Mouse lung tissue lysate at 20 µg

Lane 7:

Rat spleen tissue lysate at 20 µg

Lane 8:

Rat lung tissue lysate at 20 µg

Secondary

Lanes 1 - 3:

Western blot - VeriBlot for IP Detection Reagent (HRP) (<a href='/en-us/products/reagents/veriblot-for-ip-detection-reagent-hrp-ab131366'>ab131366</a>) at 1/1000 dilution

Lanes 4 - 8:

Western blot - Goat Anti-Rabbit IgG H&L (HRP) (<a href='/en-us/products/secondary-antibodies/goat-rabbit-igg-h-l-hrp-ab97051'>ab97051</a>) at 1/100000 dilution

Predicted band size: 227 kDa

Observed band size: 226 kDa

false

Exposure time: 26s

  • Carrier free

    Anti-non-muscle Myosin IIA antibody [EPR22933-9] - BSA and Azide free

  • 578 PE

    PE Anti-non-muscle Myosin IIA antibody [EPR22933-9]

  • 519 Alexa Fluor® 488

    Alexa Fluor® 488 Anti-non-muscle Myosin IIA antibody [EPR22933-9]

  • 665 Alexa Fluor® 647

    Alexa Fluor® 647 Anti-non-muscle Myosin IIA antibody [EPR22933-9]

  • 617 Alexa Fluor® 594

    Alexa Fluor® 594 Anti-non-muscle Myosin IIA antibody [EPR22933-9]

  • 660 APC

    APC Anti-non-muscle Myosin IIA antibody [EPR22933-9]

  • 565 Alexa Fluor® 555

    Alexa Fluor® 555 Anti-non-muscle Myosin IIA antibody [EPR22933-9]

  • 775 Alexa Fluor® 750

    Alexa Fluor® 750 Anti-non-muscle Myosin IIA antibody [EPR22933-9]

Key facts

Host species

Rabbit

Clonality

Monoclonal

Clone number

EPR22933-9

Isotype

IgG

Carrier free

No

Reacts with

Mouse, Rat, Human

Applications

WB, IHC-P, IP

applications

Immunogen

The exact immunogen used to generate this antibody is proprietary information.

Specificity

IHC is not recommended for human.

Reactivity data

{ "title": "Reactivity Data", "filters": { "stats": ["", "Species", "Dilution Info", "Notes"], "tabs": { "all-applications": {"fullname" : "All Applications", "shortname": "All Applications"}, "IP" : {"fullname" : "Immunoprecipitation", "shortname":"IP"}, "FlowCyt" : {"fullname" : "Flow Cytometry", "shortname":"Flow Cyt"}, "WB" : {"fullname" : "Western blot", "shortname":"WB"}, "ICCIF" : {"fullname" : "Immunocytochemistry/ Immunofluorescence", "shortname":"ICC/IF"}, "IHCP" : {"fullname" : "Immunohistochemistry (Formalin/PFA-fixed paraffin-embedded sections)", "shortname":"IHC-P"} }, "product-promise": { "all": "all", "testedAndGuaranteed": "tested", "guaranteed": "expected", "predicted": "predicted", "notRecommended": "not-recommended" } }, "values": { "Human": { "IP-species-checked": "guaranteed", "IP-species-dilution-info": "", "IP-species-notes": "", "FlowCyt-species-checked": "notRecommended", "FlowCyt-species-dilution-info": "", "FlowCyt-species-notes": "", "WB-species-checked": "testedAndGuaranteed", "WB-species-dilution-info": "1/1000", "WB-species-notes": "<p></p>", "ICCIF-species-checked": "notRecommended", "ICCIF-species-dilution-info": "", "ICCIF-species-notes": "", "IHCP-species-checked": "guaranteed", "IHCP-species-dilution-info": "", "IHCP-species-notes": "" }, "Mouse": { "IP-species-checked": "testedAndGuaranteed", "IP-species-dilution-info": "1/30", "IP-species-notes": "<p></p>", "FlowCyt-species-checked": "notRecommended", "FlowCyt-species-dilution-info": "", "FlowCyt-species-notes": "<p></p>", "WB-species-checked": "testedAndGuaranteed", "WB-species-dilution-info": "1/1000", "WB-species-notes": "<p></p>", "ICCIF-species-checked": "notRecommended", "ICCIF-species-dilution-info": "", "ICCIF-species-notes": "<p></p>", "IHCP-species-checked": "testedAndGuaranteed", "IHCP-species-dilution-info": "1/500", "IHCP-species-notes": "<p>IHC is not recommended for human.</p> Perform heat-mediated antigen retrieval with Tris/EDTA buffer pH 9.0 before commencing with IHC staining protocol." }, "Rat": { "IP-species-checked": "guaranteed", "IP-species-dilution-info": "", "IP-species-notes": "", "FlowCyt-species-checked": "notRecommended", "FlowCyt-species-dilution-info": "", "FlowCyt-species-notes": "", "WB-species-checked": "testedAndGuaranteed", "WB-species-dilution-info": "1/1000", "WB-species-notes": "<p></p>", "ICCIF-species-checked": "notRecommended", "ICCIF-species-dilution-info": "", "ICCIF-species-notes": "", "IHCP-species-checked": "testedAndGuaranteed", "IHCP-species-dilution-info": "1/500", "IHCP-species-notes": "<p>IHC is not recommended for human.</p> Perform heat-mediated antigen retrieval with Tris/EDTA buffer pH 9.0 before commencing with IHC staining protocol." } } }

Product details

Patented technology
Our RabMAb® technology is a patented hybridoma-based technology for making rabbit monoclonal antibodies. For details on our patents, please refer to RabMAb® patents.

What are the advantages of a recombinant monoclonal antibody?
This product is a recombinant monoclonal antibody, which offers several advantages including:

  • - High batch-to-batch consistency and reproducibility
  • - Improved sensitivity and specificity
  • - Long-term security of supply
  • - Animal-free batch production

For more information, read more on recombinant antibodies.

Properties and storage information

Form
Liquid
Purification technique
Affinity purification Protein A
Storage buffer
pH: 7.2 - 7.4 Preservative: 0.01% Sodium azide Constituents: PBS, 40% Glycerol (glycerin, glycerine), 0.05% BSA
Shipped at conditions
Blue Ice
Appropriate short-term storage duration
1-2 weeks
Appropriate short-term storage conditions
+4°C
Appropriate long-term storage conditions
-20°C
Aliquoting information
Upon delivery aliquot
Storage information
Avoid freeze / thaw cycle

Supplementary information

This supplementary information is collated from multiple sources and compiled automatically.

Non-muscle Myosin IIA also known as Myosin Heavy Chain 9 or Myosin-9 is a motor protein that enables cellular mechanical tasks such as actin filament cross-linking and contraction. It has a molecular mass of approximately 226 kDa. Myosin IIA is expressed in a variety of cell types including epithelial cells fibroblasts and leukocytes where it contributes to various cellular activities. Myosin staining often reveals its localization at the leading edge of migrating cells revealing its involvement in cell movement.
Biological function summary

Non-muscle Myosin IIA plays an essential role in maintaining cell shape and promoting cell division. It combines with other myosin proteins into a complex often in conjunction with actin filaments. This myosin protein group further facilitates processes like cytokinesis and cellular migration. Myosin IIA's complex interactions allow cells to adapt to different mechanical stresses ensuring that cells can move and divide properly within the tissue architecture.

Pathways

Non-muscle Myosin IIA participates in both the RhoA/ROCK pathway and the actin cytoskeleton regulation pathway. Through these pathways Myosin IIA interacts with other key proteins such as Rho-associated protein kinase to mediate several cellular functions like cell shape changes and motility. These interactions allow Myosin IIA to efficiently transmit mechanical signals and respond to extracellular stimuli.

Research links non-muscle Myosin IIA with specific conditions like cancer invasion and cardiovascular disorders. Abnormal function or expression of Myosin IIA can contribute to altered cell motility resulting in cancer metastasis. Additionally mutations or disruptions in Myosin IIA can associate with conditions such as thrombocytopenia. Proteins like integrins interact with Myosin IIA in these disease states highlighting their critical roles in pathological settings.

Product protocols

For this product, it's our understanding that no specific protocols are required. You can visit:

Target data

Cellular myosin that appears to play a role in cytokinesis, cell shape, and specialized functions such as secretion and capping. Required for cortical actin clearance prior to oocyte exocytosis (By similarity). Promotes cell motility in conjunction with S100A4 (PubMed : 16707441). During cell spreading, plays an important role in cytoskeleton reorganization, focal contact formation (in the margins but not the central part of spreading cells), and lamellipodial retraction; this function is mechanically antagonized by MYH10 (PubMed : 20052411).. (Microbial infection) Acts as a receptor for herpes simplex virus 1/HHV-1 envelope glycoprotein B.
See full target information Myosin-9

Publications (9)

Recent publications for all applications. Explore the full list and refine your search

Cell biology and toxicology 41:110 PubMed40591004

2025

TEAD4-mediated upregulation of LPAR3 augments hepatic stellate cell activation in portal hypertension.

Applications

Unspecified application

Species

Unspecified reactive species

Ruizhao Qi,Zhengyao Chang,Wenlei Zhao,Yuxuan Qiu,Weihua Chang,Ying Zhang,Xinglong Hu,Zhiwei Li

Brain and behavior 15:e70607 PubMed40452376

2025

GABAergic Signaling Underlying REM Sleep Deprivation-Induced Spatial Working Memory Deficits.

Applications

Unspecified application

Species

Unspecified reactive species

Peeraporn Varinthra,Shu-Ching Shih,Ingrid Y Liu

Journal of the Association for Research in Otolaryngology : JARO 26:225-238 PubMed40240732

2025

Influence of Myosin Regulatory Light Chain and Myosin Light Chain Kinase on the Physiological Function of Inner Ear Hair Cells.

Applications

Unspecified application

Species

Unspecified reactive species

Ryohei Oya,Kwang Min Woo,Brian Fabella,R G Alonso,Paloma Bravo,A J Hudspeth

PloS one 18:e0285251 PubMed37200287

2023

HER2 inhibition increases non-muscle myosin IIA to promote tumorigenesis in HER2+ breast cancers.

Applications

Unspecified application

Species

Unspecified reactive species

Samar M Alanazi,Wasim Feroz,Rosalin Mishra,Mary Kate Kilroy,Hima Patel,Long Yuan,Sarah J Storr,Joan T Garrett

Frontiers in immunology 14:1098056 PubMed36911682

2023

Characteristic gene expression in the liver monocyte-macrophage-DC system is associated with the progression of fibrosis in NASH.

Applications

Unspecified application

Species

Unspecified reactive species

Xiaoxiao Wang,Zilong Wang,Baiyi Liu,Rui Jin,Yuyun Song,Ran Fei,Xu Cong,Rui Huang,Xiaohe Li,Jia Yang,Lai Wei,Huiying Rao,Feng Liu

Advanced science (Weinheim, Baden-Wurttemberg, Germany) 10:e2203573 PubMed36757050

2023

SAMD9 Promotes Postoperative Recurrence of Esophageal Squamous Cell Carcinoma by Stimulating MYH9-Mediated GSK3β/β-Catenin Signaling.

Applications

Unspecified application

Species

Unspecified reactive species

Qing Li,Hao Luo,Fu-Qiang Dai,Ren-Tao Wang,Xiao-Qing Fan,Yuan-Yuan Luo,Meng-Sheng Deng,Yulun Wang,Tan Long,Wei Guo,Bo Xu,Cheng-Xiong Xu,Hua Jin

Advanced science (Weinheim, Baden-Wurttemberg, Germany) 9:e2201541 PubMed36031401

2022

Amphiphilic Aminated Derivatives of [60]Fullerene as Potent Inhibitors of Tumor Growth and Metastasis.

Applications

Unspecified application

Species

Unspecified reactive species

Jiawei Huo,Jie Li,Yang Liu,Libin Yang,Xinran Cao,Chong Zhao,Yicheng Lu,Wei Zhou,Shumu Li,Jianan Liu,Jiao Li,Xing Li,Jing Wan,Rui Wen,Mingming Zhen,Chunru Wang,Chunli Bai

Journal of nanobiotechnology 19:194 PubMed34193158

2021

Mesenchymal stem cell-derived extracellular vesicles prevent the development of osteoarthritis via the circHIPK3/miR-124-3p/MYH9 axis.

Applications

Unspecified application

Species

Unspecified reactive species

Shenglong Li,Jie Liu,Siyu Liu,Weijie Jiao,Xiaohong Wang

Frontiers in pharmacology 12:698275 PubMed34135765

2021

Matrix Stiffness Induces Pericyte-Fibroblast Transition Through YAP Activation.

Applications

Unspecified application

Species

Unspecified reactive species

Feng Feng,Xueyan Feng,Di Zhang,Qilong Li,Li Yao
View all publications

Product promise

We are committed to supporting your work with high-quality reagents, and we're here for you every step of the way. In the unlikely event that one of our products does not perform as expected, you're protected by our Product Promise.
For full details, please see our Terms & Conditions

Please note: All products are 'FOR RESEARCH USE ONLY. NOT FOR USE IN DIAGNOSTIC OR THERAPEUTIC PROCEDURES'.

For licensing inquiries, please contact partnerships@abcam.com