JavaScript is disabled in your browser. Please enable JavaScript to view this website.
AB230823

Anti-non-muscle Myosin IIB/MYH10 antibody [EPR22564-23]

  • BOND RX™ Validated
  • RabMAb
  • Recombinant
  • Lab Essentials
  • What is this?

5

(1 Review)

|

(18 Publications)

Anti-non-muscle Myosin IIB/MYH10 antibody [EPR22564-23] (ab230823) is a rabbit monoclonal antibody detecting non-muscle Myosin IIB/MYH10 in Western Blot, Flow Cytometry (Intra), IP, IHC-P, ICC/IF. Suitable for Human, Mouse, Rat.

- Biophysical QC for unrivalled batch-batch consistency

View Alternative Names

Myosin-10, Myosin heavy chain 10, Non-muscle myosin heavy chain B, Non-muscle myosin heavy chain IIb, NMMHC-B, NMMHC II-b, NMMHC-IIB, MYH10

12 Images
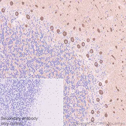
Immunohistochemistry (Formalin/PFA-fixed paraffin-embedded sections) - Anti-non-muscle Myosin IIB/MYH10 antibody [EPR22564-23] (AB230823)
  • IHC-P

Unknown

Immunohistochemistry (Formalin/PFA-fixed paraffin-embedded sections) - Anti-non-muscle Myosin IIB/MYH10 antibody [EPR22564-23] (AB230823)

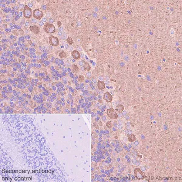
Immunohistochemical analysis of paraffin-embedded human cerebellum tissue labeling non-muscle Myosin IIB/MYH10 with ab230823 at 1/2000 dilution, followed by Rabbit specific IHC polymer detection kit HRP/DAB (ab209101). Strong positive staining on Purkinje cells of human cerebellum (PMID : 29330091) is observed. Counterstained with hematoxylin. Secondary antibody only control : Used PBS instead of primary antibody, secondary antibody is Rabbit specific IHC polymer detection kit HRP/DAB (ab209101).

The section was incubated with ab230823 for 30 mins at RT. The immunostaining was performed on a Leica Biosystems BOND® RX instrument.

Heat mediated antigen retrieval with Tris-EDTA buffer (pH 9.0, epitope retrieval solution 2) for 20mins.

Immunocytochemistry/ Immunofluorescence - Anti-non-muscle Myosin IIB/MYH10 antibody [EPR22564-23] (AB230823)
  • ICC/IF

Unknown

Immunocytochemistry/ Immunofluorescence - Anti-non-muscle Myosin IIB/MYH10 antibody [EPR22564-23] (AB230823)

Immunofluorescent analysis of 4% paraformaldehyde-fixed, 0.1% Triton X-100 permeabilized HeLa (human epithelial cell line from cervix adenocarcinoma) cells labeling non-muscle Myosin IIB/MYH10 with ab230823 at 1/100 dilution, followed by Goat Anti-Rabbit IgG H&L (Alexa Fluor® 488) (ab150077) secondary antibody at 1/1000 dilution (green). Confocal image showing cytoplasmic staining in HeLa cells. The nuclear counterstain is DAPI (blue). Tubulin is detected with Anti-alpha Tubulin antibody [DM1A] - Microtubule Marker (Alexa Fluor® 594) (ab195889) at 1/200 dilution (red).

Secondary antibody only control : Used PBS instead of primary antibody, followed by Goat Anti-Rabbit IgG H&L (Alexa Fluor® 488) (ab150077) secondary antibody at 1/1000 dilution.

Flow Cytometry (Intracellular) - Anti-non-muscle Myosin IIB/MYH10 antibody [EPR22564-23] (AB230823)
  • Flow Cyt (Intra)

Unknown

Flow Cytometry (Intracellular) - Anti-non-muscle Myosin IIB/MYH10 antibody [EPR22564-23] (AB230823)

Intracellular flow cytometric analysis of 4% paraformaldehyde-fixed, 90% methanol-permeabilized HEK-293T (human epithelial cell line from embryonic kidney transformed with large T antigen) cells labeling non-muscle Myosin IIB/MYH10 with ab230823 at 1/600 (red) compared with a Rabbit IgG, monoclonal [EPR25A] - Isotype Control (ab172730) (black) and an unlabeled control (cells without incubation with primary antibody and secondary antibody) (blue). Goat Anti-Rabbit IgG H&L (Alexa Fluor�488) (ab150077), at 1/2000 dilution was used as the secondary antibody.

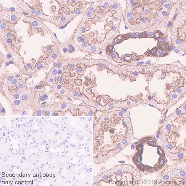
Immunohistochemistry (Formalin/PFA-fixed paraffin-embedded sections) - Anti-non-muscle Myosin IIB/MYH10 antibody [EPR22564-23] (AB230823)
  • IHC-P

Unknown

Immunohistochemistry (Formalin/PFA-fixed paraffin-embedded sections) - Anti-non-muscle Myosin IIB/MYH10 antibody [EPR22564-23] (AB230823)

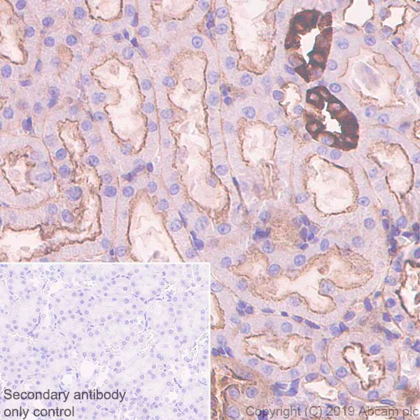
Immunohistochemical analysis of paraffin-embedded human kidney tissue labeling non-muscle Myosin IIB/MYH10 with ab230823 at 1/2000 dilution, followed by Rabbit specific IHC polymer detection kit HRP/DAB (ab209101). Positive staining on human renal tubules (PMID : 29208685) is observed. Counterstained with hematoxylin. Secondary antibody only control : Used PBS instead of primary antibody, secondary antibody is Rabbit specific IHC polymer detection kit HRP/DAB (ab209101).

The section was incubated with ab230823 for 30 mins at RT. The immunostaining was performed on a Leica Biosystems BOND® RX instrument.

Heat mediated antigen retrieval with Tris-EDTA buffer (pH 9.0, epitope retrieval solution 2) for 20mins.

Immunoprecipitation - Anti-non-muscle Myosin IIB/MYH10 antibody [EPR22564-23] (AB230823)
  • IP

Unknown

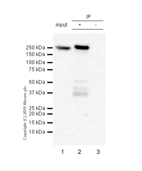
Immunoprecipitation - Anti-non-muscle Myosin IIB/MYH10 antibody [EPR22564-23] (AB230823)

non-muscle Myosin IIB/MYH10 was immunoprecipitated from 0.35 mg of HEK-293T (human epithelial cell line from embryonic kidney transformed with large T antigen) whole cell lysate with ab230823 at 1/30 dilution. Western blot was performed from the immunoprecipitate using ab230823 at 1/1000 dilution. VeriBlot for IP Detection Reagent (HRP) (ab131366), was used as secondary antibody at 1/5000 dilution.

Lane 1 : HEK-293T whole cell lysate 10 μg (Input).
Lane 2 : ab230823 IP in HEK-293T whole cell lysate.
Lane 3 : Rabbit monoclonal IgG (ab172730) instead of ab230823 in HEK-293T whole cell lysate.

Blocking/Dilution buffer : 5% NFDM/TBST.
Exposure time : 3 secs.

All lanes:

Immunoprecipitation - Anti-non-muscle Myosin IIB/MYH10 antibody [EPR22564-23] (ab230823)

Predicted band size: 229 kDa

Observed band size: 230 kDa

false

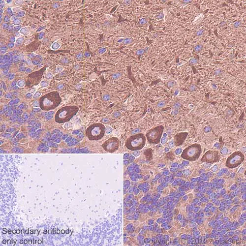
Immunohistochemistry (Formalin/PFA-fixed paraffin-embedded sections) - Anti-non-muscle Myosin IIB/MYH10 antibody [EPR22564-23] (AB230823)
  • IHC-P

Unknown

Immunohistochemistry (Formalin/PFA-fixed paraffin-embedded sections) - Anti-non-muscle Myosin IIB/MYH10 antibody [EPR22564-23] (AB230823)

Immunohistochemical analysis of paraffin-embedded rat cerebellum tissue labeling non-muscle Myosin IIB/MYH10 with ab230823 at 1/2000 dilution, followed by Rabbit specific IHC polymer detection kit HRP/DAB (ab209101). Strong positive staining on Purkinje cells of rat cerebellum (PMID : 29330091) is observed. Counterstained with hematoxylin. Secondary antibody only control : Used PBS instead of primary antibody, secondary antibody is Rabbit specific IHC polymer detection kit HRP/DAB (ab209101).

The section was incubated with ab230823 for 30 mins at RT. The immunostaining was performed on a Leica Biosystems BOND® RX instrument.

Heat mediated antigen retrieval with Tris-EDTA buffer (pH 9.0, epitope retrieval solution 2) for 20mins.

Immunocytochemistry/ Immunofluorescence - Anti-non-muscle Myosin IIB/MYH10 antibody [EPR22564-23] (AB230823)
  • ICC/IF

Unknown

Immunocytochemistry/ Immunofluorescence - Anti-non-muscle Myosin IIB/MYH10 antibody [EPR22564-23] (AB230823)

Immunofluorescent analysis of 4% paraformaldehyde-fixed, 0.1% Triton X-100 permeabilized NIH/3T3 (mouse embryo fibroblast cell line) cells labeling non-muscle Myosin IIB/MYH10 with ab230823 at 1/100 dilution, followed by Goat Anti-Rabbit IgG H&L (Alexa Fluor® 488) (ab150077) secondary antibody at 1/1000 dilution (green). Confocal image showing cytoplasmic staining in NIH/3T3 cells. The nuclear counterstain is DAPI (blue). Tubulin is detected with Anti-alpha Tubulin antibody [DM1A] - Microtubule Marker (Alexa Fluor® 594) (ab195889) at 1/200 dilution (red).

Secondary antibody only control : Used PBS instead of primary antibody, followed by Goat Anti-Rabbit IgG H&L (Alexa Fluor® 488) (ab150077) secondary antibody at 1/1000 dilution.

Immunohistochemistry (Formalin/PFA-fixed paraffin-embedded sections) - Anti-non-muscle Myosin IIB/MYH10 antibody [EPR22564-23] (AB230823)
  • IHC-P

Unknown

Immunohistochemistry (Formalin/PFA-fixed paraffin-embedded sections) - Anti-non-muscle Myosin IIB/MYH10 antibody [EPR22564-23] (AB230823)

Immunohistochemical analysis of paraffin-embedded rat kidney tissue labeling non-muscle Myosin IIB/MYH10 with ab230823 at 1/2000 dilution, followed by Rabbit specific IHC polymer detection kit HRP/DAB (ab209101). Positive staining on rat renal tubules (PMID : 29208685) is observed. Counterstained with hematoxylin. Secondary antibody only control : Used PBS instead of primary antibody, secondary antibody is Rabbit specific IHC polymer detection kit HRP/DAB (ab209101).

The section was incubated with ab230823 for 30 mins at RT. The immunostaining was performed on a Leica Biosystems BOND® RX instrument.

Heat mediated antigen retrieval with Tris-EDTA buffer (pH 9.0, epitope retrieval solution 2) for 20mins.

Flow Cytometry (Intracellular) - Anti-non-muscle Myosin IIB/MYH10 antibody [EPR22564-23] (AB230823)
  • Flow Cyt (Intra)

Unknown

Flow Cytometry (Intracellular) - Anti-non-muscle Myosin IIB/MYH10 antibody [EPR22564-23] (AB230823)

Intracellular flow cytometric analysis of 4% paraformaldehyde-fixed, 90% methanol-permeabilized NIH/3T3 (mouse embryo fibroblast cell line) cells labeling non-muscle Myosin IIB/MYH10 with ab230823 at 1/600 (red) compared with a Rabbit IgG, monoclonal [EPR25A] - Isotype Control (ab172730) (black) and an unlabeled control (cells without incubation with primary antibody and secondary antibody) (blue). Goat Anti-Rabbit IgG H&L (Alexa Fluor� 488) (ab150077), at 1/2000 dilution was used as the secondary antibody.

Immunohistochemistry (Formalin/PFA-fixed paraffin-embedded sections) - Anti-non-muscle Myosin IIB/MYH10 antibody [EPR22564-23] (AB230823)
  • IHC-P

Unknown

Immunohistochemistry (Formalin/PFA-fixed paraffin-embedded sections) - Anti-non-muscle Myosin IIB/MYH10 antibody [EPR22564-23] (AB230823)

Immunohistochemical analysis of paraffin-embedded mouse cerebellum tissue labeling non-muscle Myosin IIB/MYH10 with ab230823 at 1/2000 dilution, followed by Rabbit specific IHC polymer detection kit HRP/DAB (ab209101). Strong positive staining on Purkinje cells of mouse cerebellum (PMID : 29330091) is observed. Counterstained with hematoxylin. Secondary antibody only control : Used PBS instead of primary antibody, secondary antibody is Rabbit specific IHC polymer detection kit HRP/DAB (ab209101).

The section was incubated with ab230823 for 30 mins at RT. The immunostaining was performed on a Leica Biosystems BOND® RX instrument.

Heat mediated antigen retrieval with Tris-EDTA buffer (pH 9.0, epitope retrieval solution 2) for 20mins.

Western blot - Anti-non-muscle Myosin IIB/MYH10 antibody [EPR22564-23] (AB230823)
  • WB

Unknown

Western blot - Anti-non-muscle Myosin IIB/MYH10 antibody [EPR22564-23] (AB230823)

Blocking/Dilution buffer : 5% NFDM/TBST.

Exposure times : Lanes 1-3 : 3.25 secs. Lane 4 : 15 secs. Lanes 5 & 6 : 3 mins.

All lanes:

Western blot - Anti-non-muscle Myosin IIB/MYH10 antibody [EPR22564-23] (ab230823) at 1/2000 dilution

Lane 1:

HEK-293T (human epithelial cell line from embryonic kidney transformed with large T antigen) whole cell lysate at 20 µg

Lane 2:

HeLa (human epithelial cell line from cervix adenocarcinoma) whole cell lysate at 20 µg

Lane 3:

A549 (human lung carcinoma cell line) whole cell lysate at 20 µg

Lane 4:

Human liver tissue lysate at 20 µg

Lane 5:

Rat lung tissue lysate at 20 µg

Lane 6:

Rat liver tissue lysate at 20 µg

Secondary

All lanes:

Western blot - Goat Anti-Rabbit IgG H&L (HRP) (<a href='/en-us/products/secondary-antibodies/goat-rabbit-igg-h-l-hrp-ab97051'>ab97051</a>) at 1/100000 dilution

Predicted band size: 229 kDa

Observed band size: 230 kDa

false

Western blot - Anti-non-muscle Myosin IIB/MYH10 antibody [EPR22564-23] (AB230823)
  • WB

Unknown

Western blot - Anti-non-muscle Myosin IIB/MYH10 antibody [EPR22564-23] (AB230823)

Blocking/Dilution buffer : 5% NFDM/TBST.

Exposure times : Lanes 1 & 2 : 15 secs. Lane 3 : 5.5 secs.

All lanes:

Western blot - Anti-non-muscle Myosin IIB/MYH10 antibody [EPR22564-23] (ab230823) at 1/1000 dilution

Lane 1:

Mouse brain tissue lysate at 20 µg

Lane 2:

Rat brain tissue lysate at 20 µg

Lane 3:

NIH/3T3 (mouse embryo fibroblast cell line) whole cell lysate at 20 µg

Secondary

All lanes:

Western blot - Goat Anti-Rabbit IgG H&L (HRP) (<a href='/en-us/products/secondary-antibodies/goat-rabbit-igg-h-l-hrp-ab97051'>ab97051</a>) at 1/100000 dilution

Predicted band size: 229 kDa

Observed band size: 230 kDa

false

  • Carrier free

    Anti-non-muscle Myosin IIB/MYH10 antibody [EPR22564-23] - BSA and Azide free

Key facts

Host species

Rabbit

Clonality

Monoclonal

Clone number

EPR22564-23

Isotype

IgG

Carrier free

No

Reacts with

Mouse, Rat, Human

Applications

ICC/IF, Flow Cyt (Intra), IHC-P, WB, IP

applications

Immunogen

The exact immunogen used to generate this antibody is proprietary information.

Reactivity data

{ "title": "Reactivity Data", "filters": { "stats": ["", "Species", "Dilution Info", "Notes"], "tabs": { "all-applications": {"fullname" : "All Applications", "shortname": "All Applications"}, "IP" : {"fullname" : "Immunoprecipitation", "shortname":"IP"}, "WB" : {"fullname" : "Western blot", "shortname":"WB"}, "ICCIF" : {"fullname" : "Immunocytochemistry/ Immunofluorescence", "shortname":"ICC/IF"}, "FlowCytIntra" : {"fullname" : "Flow Cytometry (Intracellular)", "shortname":"Flow Cyt (Intra)"}, "IHCP" : {"fullname" : "Immunohistochemistry (Formalin/PFA-fixed paraffin-embedded sections)", "shortname":"IHC-P"} }, "product-promise": { "all": "all", "testedAndGuaranteed": "tested", "guaranteed": "expected", "predicted": "predicted", "notRecommended": "not-recommended" } }, "values": { "Human": { "IP-species-checked": "testedAndGuaranteed", "IP-species-dilution-info": "1/30", "IP-species-notes": "<p></p>", "WB-species-checked": "testedAndGuaranteed", "WB-species-dilution-info": "1/1000", "WB-species-notes": "<p></p>", "ICCIF-species-checked": "testedAndGuaranteed", "ICCIF-species-dilution-info": "1/100", "ICCIF-species-notes": "<p></p>", "FlowCytIntra-species-checked": "testedAndGuaranteed", "FlowCytIntra-species-dilution-info": "1/600", "FlowCytIntra-species-notes": "<p></p>", "IHCP-species-checked": "testedAndGuaranteed", "IHCP-species-dilution-info": "1/2000", "IHCP-species-notes": "<p></p>" }, "Mouse": { "IP-species-checked": "guaranteed", "IP-species-dilution-info": "", "IP-species-notes": "", "WB-species-checked": "testedAndGuaranteed", "WB-species-dilution-info": "1/1000", "WB-species-notes": "<p></p>", "ICCIF-species-checked": "testedAndGuaranteed", "ICCIF-species-dilution-info": "1/100", "ICCIF-species-notes": "<p></p>", "FlowCytIntra-species-checked": "testedAndGuaranteed", "FlowCytIntra-species-dilution-info": "1/600", "FlowCytIntra-species-notes": "<p></p>", "IHCP-species-checked": "testedAndGuaranteed", "IHCP-species-dilution-info": "1/2000", "IHCP-species-notes": "<p></p>" }, "Rat": { "IP-species-checked": "guaranteed", "IP-species-dilution-info": "", "IP-species-notes": "", "WB-species-checked": "testedAndGuaranteed", "WB-species-dilution-info": "1/1000", "WB-species-notes": "<p></p>", "ICCIF-species-checked": "guaranteed", "ICCIF-species-dilution-info": "", "ICCIF-species-notes": "", "FlowCytIntra-species-checked": "guaranteed", "FlowCytIntra-species-dilution-info": "", "FlowCytIntra-species-notes": "", "IHCP-species-checked": "testedAndGuaranteed", "IHCP-species-dilution-info": "1/2000", "IHCP-species-notes": "<p></p>" } } }

Product details

What is this antibody validated in?
Anti-non-muscle Myosin IIB/MYH10 antibody [EPR22564-23] (ab230823) is a rabbit recombinant monoclonal antibody and is validated for use in Western Blot (WB), Flow Cytometry (Intra), Flow Cytometry (Flow Cyt), Immunoprecipitation (IP), Immunohistochemistry (IHC-P), Immunocytochemistry/immunofluorescence (ICC/IF) in Human, Mouse, Rat samples.

What is the molecular weight of non-muscle Myosin IIB/MYH10?
Anti-non-muscle Myosin IIB/MYH10 [EPR22564-23] (ab230823) specifically detects a band for non-muscle Myosin IIB/MYH10 (UniProt: P35580) at a molecular weight of 229kDa.

Trial sizes available!
Test your antibody or perform pre-screening before committing to a larger quantity. Sold in 10µl. Discover our selection of trial-size antibodies.

Other related products
We have a range of other formats of antibody clone [EPR22564-23] also available for your convenience: ab230823, Carrier free - ab254472, ab300647, Carrier free - ab300648, Carrier free - ab300649

Patented technology
Our RabMAb® technology is a patented hybridoma-based technology for making rabbit monoclonal antibodies. For details on our patents, please refer to RabMAb® patents.

What are the advantages of a recombinant monoclonal antibody?
This product is a recombinant monoclonal antibody, which offers several advantages including:

  • - High batch-to-batch consistency and reproducibility
  • - Improved sensitivity and specificity
  • - Long-term security of supply
  • - Animal-free batch production

For more information, read more on recombinant antibodies.

Properties and storage information

Form
Liquid
Purification technique
Affinity purification Protein A
Storage buffer
pH: 7.2 - 7.4 Preservative: 0.01% Sodium azide Constituents: PBS, 40% Glycerol (glycerin, glycerine), 0.05% BSA
Shipped at conditions
Blue Ice
Appropriate short-term storage duration
1-2 weeks
Appropriate short-term storage conditions
+4°C
Appropriate long-term storage conditions
-20°C
Aliquoting information
Upon delivery aliquot
Storage information
Avoid freeze / thaw cycle

Supplementary information

This supplementary information is collated from multiple sources and compiled automatically.

Non-muscle Myosin IIB also known as MYH10 is a motor protein important in cell division and movement. This protein weighs approximately 228 kDa. Myosin IIB shows expression in various tissues including the brain heart and fibroblasts. Unlike other myosins found in muscle cells Myosin IIB functions mainly in non-muscle cells where it plays a role in organizing intracellular structure and shape.
Biological function summary

The non-muscle Myosin IIB contributes to cell motility and cytokinesis important for normal cell proliferation and maintenance. It operates as part of the actomyosin complex that includes actin and other myosin types. This complex facilitates contractile forces within cells enabling movements such as cell migration and tissue development. Myosin IIB works closely with actin filaments converting chemical energy from ATP into mechanical work required for these processes.

Pathways

Cell migration and tissue morphogenesis involve Myosin IIB. Myosin IIB participates in the Rho-ROCK signaling pathway which regulates actomyosin contraction during cellular movement and morphogenesis. It interacts with other myosins like Myosin IIA illustrating its role in shared pathways. These pathways control the balance between cellular adhesion and detachment necessary for proper cellular function.

Non-muscle Myosin IIB associates with neurological disorders and cancer. Changes in Myosin IIB function can disrupt normal cell division leading to cancer progression. In neurological disorders Myosin IIB affects cell signaling and structural integrity of neurons. For instance disruptions in interactions with actin and other related proteins like Myosin IIA and Tropomyosins can lead to these adverse biological effects showing its significance in maintaining healthy cellular operations.

Product protocols

For this product, it's our understanding that no specific protocols are required. You can visit:

Target data

Cellular myosin that appears to play a role in cytokinesis, cell shape, and specialized functions such as secretion and capping. Involved with LARP6 in the stabilization of type I collagen mRNAs for CO1A1 and CO1A2. During cell spreading, plays an important role in cytoskeleton reorganization, focal contacts formation (in the central part but not the margins of spreading cells), and lamellipodial extension; this function is mechanically antagonized by MYH9.. (Microbial infection) Acts as a receptor for herpes simplex virus 1/HHV-1 envelope glycoprotein B.
See full target information MYH10

Publications (18)

Recent publications for all applications. Explore the full list and refine your search

American journal of clinical and experimental immunology 14:86-95 PubMed40401010

2025

BMAL1 deficiency in macrophages exacerbates sepsis-induced inflammatory response and organ damage by regulating PGC-1α.

Applications

Unspecified application

Species

Unspecified reactive species

Xinjian Li,Feng Qi,Bin Yao,Yan Liu,Zhujun Yi

Journal of the Association for Research in Otolaryngology : JARO 26:225-238 PubMed40240732

2025

Influence of Myosin Regulatory Light Chain and Myosin Light Chain Kinase on the Physiological Function of Inner Ear Hair Cells.

Applications

Unspecified application

Species

Unspecified reactive species

Ryohei Oya,Kwang Min Woo,Brian Fabella,R G Alonso,Paloma Bravo,A J Hudspeth

Regenerative therapy 29:254-261 PubMed40230354

2025

Actin mesh in Re-epithelialization during skin regeneration in adult newt ().

Applications

Unspecified application

Species

Unspecified reactive species

Yu Liou,Nobuko Moritoki,Tomoko Shindo,Tatsuyuki Ishii,Kazuo Kishi

Nature communications 16:1365 PubMed39904989

2025

Visible light-responsive hydrogels for cellular dynamics and spatiotemporal viscoelastic regulation.

Applications

Unspecified application

Species

Unspecified reactive species

Yan Lu,Cheng Chen,Hangyu Li,Peng Zhao,Yuanfeng Zhao,Bohan Li,Wei Zhou,Gaofeng Fan,Dongshi Guan,Yijun Zheng

IUBMB life 76:1356-1376 PubMed39264710

2024

Greater TIMP-1 protein levels and neointimal formation represent sex-dependent cellular events limiting aortic vessel expansion in female rats.

Applications

Unspecified application

Species

Unspecified reactive species

Aya Al-Katat,Laurie Boudreau,Emmanuelle Gagnon,Ines Assous,Louis Villeneuve,Charles Alexandre Leblanc,Alexandre Bergeron,Martin Sirois,Ismael El-Hamamsy,Angelino Calderone

Journal of biological engineering 18:42 PubMed39061076

2024

Unraveling pathogenesis, biomarkers and potential therapeutic agents for endometriosis associated with disulfidptosis based on bioinformatics analysis, machine learning and experiment validation.

Applications

Unspecified application

Species

Unspecified reactive species

Xiaoxuan Zhao,Yang Zhao,Yuanyuan Zhang,Qingnan Fan,Huanxiao Ke,Xiaowei Chen,Linxi Jin,Hongying Tang,Yuepeng Jiang,Jing Ma

Journal of personalized medicine 14: PubMed38673008

2024

Alteration of the Expression and Functional Activities of Myosin II Isoforms in Enlarged Hyperplastic Prostates.

Applications

Unspecified application

Species

Unspecified reactive species

Xiao Wang,Weixiang He,Hui Chen,Rui Yang,Hongmei Su,Michael E DiSanto,Xinhua Zhang

Molecular cell 84:522-537.e8 PubMed38151017

2023

hRpn13 shapes the proteome and transcriptome through epigenetic factors HDAC8, PADI4, and transcription factor NF-κB p50.

Applications

Unspecified application

Species

Unspecified reactive species

Vasty Osei-Amponsa,Monika Chandravanshi,Xiuxiu Lu,Valentin Magidson,Sudipto Das,Thorkell Andresson,Marzena Dyba,Venkata R Sabbasani,Rolf E Swenson,Caroline Fromont,Biraj Shrestha,Yongmei Zhao,Michelle E Clapp,Raj Chari,Kylie J Walters

Nature cell biology 25:1033-1046 PubMed37264180

2023

Lipid droplet-associated lncRNA LIPTER preserves cardiac lipid metabolism.

Applications

Unspecified application

Species

Unspecified reactive species

Lei Han,Dayang Huang,Shiyong Wu,Sheng Liu,Cheng Wang,Yi Sheng,Xiongbin Lu,Hal E Broxmeyer,Jun Wan,Lei Yang

Developmental biology 494:60-70 PubMed36509125

2022

Synchronisation of apical constriction and cell cycle progression is a conserved behaviour of pseudostratified neuroepithelia informed by their tissue geometry.

Applications

Unspecified application

Species

Unspecified reactive species

Ioakeim Ampartzidis,Christoforos Efstathiou,Francesco Paonessa,Elliott M Thompson,Tyler Wilson,Conor J McCann,Nicholas DE Greene,Andrew J Copp,Frederick J Livesey,Nicola Elvassore,Giovanni G Giobbe,Paolo De Coppi,Eirini Maniou,Gabriel L Galea
View all publications

Product promise

We are committed to supporting your work with high-quality reagents, and we're here for you every step of the way. In the unlikely event that one of our products does not perform as expected, you're protected by our Product Promise.
For full details, please see our Terms & Conditions

Please note: All products are 'FOR RESEARCH USE ONLY. NOT FOR USE IN DIAGNOSTIC OR THERAPEUTIC PROCEDURES'.

For licensing inquiries, please contact partnerships@abcam.com