JavaScript is disabled in your browser. Please enable JavaScript to view this website.
AB254472

Anti-non-muscle Myosin IIB/MYH10 antibody [EPR22564-23] - BSA and Azide free

4

(1 Review)

|

(2 Publications)

Rabbit Recombinant Monoclonal MYH10 antibody. Carrier free. Suitable for IP, WB, ICC/IF, Flow Cyt (Intra), IHC-P and reacts with Human, Mouse, Rat samples. Cited in 2 publications.

View Alternative Names

Myosin-10, Myosin heavy chain 10, Non-muscle myosin heavy chain B, Non-muscle myosin heavy chain IIb, NMMHC-B, NMMHC II-b, NMMHC-IIB, MYH10

10 Images
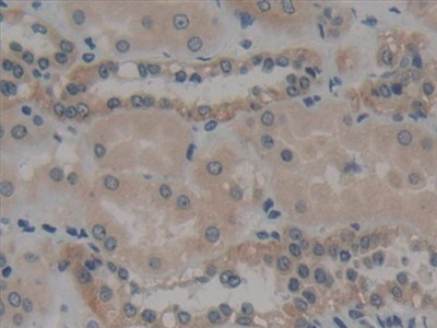
Immunohistochemistry (Formalin/PFA-fixed paraffin-embedded sections) - Anti-non-muscle Myosin IIB/MYH10 antibody [EPR22564-23] - BSA and Azide free (AB254472)
  • IHC-P

Unknown

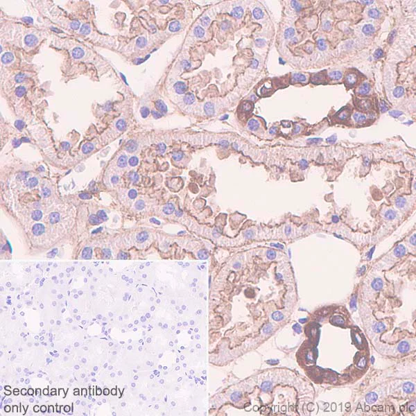
Immunohistochemistry (Formalin/PFA-fixed paraffin-embedded sections) - Anti-non-muscle Myosin IIB/MYH10 antibody [EPR22564-23] - BSA and Azide free (AB254472)

Immunohistochemical analysis of paraffin-embedded human kidney tissue labeling non-muscle Myosin IIB/MYH10 with ab230823 at 1/2000 dilution, followed by Rabbit specific IHC polymer detection kit HRP/DAB (ab209101). Positive staining on human renal tubules (PMID : 29208685) is observed. Counterstained with hematoxylin. Secondary antibody only control : Used PBS instead of primary antibody, secondary antibody is Rabbit specific IHC polymer detection kit HRP/DAB (ab209101). The section was incubated with ab230823 for 30 mins at RT. The immunostaining was performed on a Leica Biosystems BOND® RX instrument. Heat mediated antigen retrieval with Tris-EDTA buffer (pH 9.0, epitope retrieval solution 2) for 20mins.

This data was developed using the same antibody clone in a different buffer formulation containing PBS, BSA, glycerol, and sodium azide (ab230823).

Immunocytochemistry/ Immunofluorescence - Anti-non-muscle Myosin IIB/MYH10 antibody [EPR22564-23] - BSA and Azide free (AB254472)
  • ICC/IF

Unknown

Immunocytochemistry/ Immunofluorescence - Anti-non-muscle Myosin IIB/MYH10 antibody [EPR22564-23] - BSA and Azide free (AB254472)

Immunofluorescent analysis of 4% paraformaldehyde-fixed, 0.1% Triton X-100 permeabilized HeLa (human epithelial cell line from cervix adenocarcinoma) cells labeling non-muscle Myosin IIB/MYH10 with ab230823 at 1/100 dilution, followed by Goat Anti-Rabbit IgG H&L (Alexa Fluor® 488) (ab150077) secondary antibody at 1/1000 dilution (green). Confocal image showing cytoplasmic staining in HeLa cells. The nuclear counterstain is DAPI (blue). Tubulin is detected with Anti-alpha Tubulin antibody [DM1A] - Microtubule Marker (Alexa Fluor® 594) (ab195889) at 1/200 dilution (red). Secondary antibody only control : Used PBS instead of primary antibody, followed by Goat Anti-Rabbit IgG H&L (Alexa Fluor® 488) (ab150077) secondary antibody at 1/1000 dilution.

This data was developed using the same antibody clone in a different buffer formulation containing PBS, BSA, glycerol, and sodium azide (ab230823).

Immunohistochemistry (Formalin/PFA-fixed paraffin-embedded sections) - Anti-non-muscle Myosin IIB/MYH10 antibody [EPR22564-23] - BSA and Azide free (AB254472)
  • IHC-P

Unknown

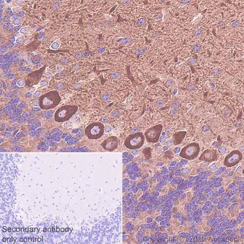
Immunohistochemistry (Formalin/PFA-fixed paraffin-embedded sections) - Anti-non-muscle Myosin IIB/MYH10 antibody [EPR22564-23] - BSA and Azide free (AB254472)

Immunohistochemical analysis of paraffin-embedded human cerebellum tissue labeling non-muscle Myosin IIB/MYH10 with ab230823 at 1/2000 dilution, followed by Rabbit specific IHC polymer detection kit HRP/DAB (ab209101). Strong positive staining on Purkinje cells of human cerebellum (PMID : 29330091) is observed. Counterstained with hematoxylin. Secondary antibody only control : Used PBS instead of primary antibody, secondary antibody is Rabbit specific IHC polymer detection kit HRP/DAB (ab209101). The section was incubated with ab230823 for 30 mins at RT. The immunostaining was performed on a Leica Biosystems BOND® RX instrument. Heat mediated antigen retrieval with Tris-EDTA buffer (pH 9.0, epitope retrieval solution 2) for 20mins.

This data was developed using the same antibody clone in a different buffer formulation containing PBS, BSA, glycerol, and sodium azide (ab230823).

Flow Cytometry (Intracellular) - Anti-non-muscle Myosin IIB/MYH10 antibody [EPR22564-23] - BSA and Azide free (AB254472)
  • Flow Cyt (Intra)

Unknown

Flow Cytometry (Intracellular) - Anti-non-muscle Myosin IIB/MYH10 antibody [EPR22564-23] - BSA and Azide free (AB254472)

Intracellular flow cytometric analysis of 4% paraformaldehyde-fixed, 90% methanol-permeabilized HEK-293T (human epithelial cell line from embryonic kidney transformed with large T antigen) cells labeling non-muscle Myosin IIB/MYH10 with ab230823 at 1/600 (red) compared with a Rabbit IgG, monoclonal [EPR25A] - Isotype Control (ab172730) (black) and an unlabeled control (cells without incubation with primary antibody and secondary antibody) (blue). Goat Anti-Rabbit IgG H&L (Alexa Fluor®488) (ab150077), at 1/2000 dilution was used as the secondary antibody.

This data was developed using the same antibody clone in a different buffer formulation containing PBS, BSA, glycerol, and sodium azide (ab230823).

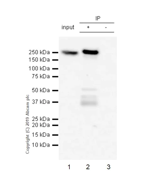
Immunoprecipitation - Anti-non-muscle Myosin IIB/MYH10 antibody [EPR22564-23] - BSA and Azide free (AB254472)
  • IP

Unknown

Immunoprecipitation - Anti-non-muscle Myosin IIB/MYH10 antibody [EPR22564-23] - BSA and Azide free (AB254472)

non-muscle Myosin IIB/MYH10 was immunoprecipitated from 0.35 mg of HEK-293T (human epithelial cell line from embryonic kidney transformed with large T antigen) whole cell lysate with ab230823 at 1/30 dilution. Western blot was performed from the immunoprecipitate using ab230823 at 1/1000 dilution. VeriBlot for IP Detection Reagent (HRP) (ab131366), was used as secondary antibody at 1/5000 dilution.

Lane 1 : HEK-293T whole cell lysate 10 μg (Input).
Lane 2 : ab230823 IP in HEK-293T whole cell lysate.
Lane 3 : Rabbit monoclonal IgG (ab172730) instead of ab230823 in HEK-293T whole cell lysate.

Blocking/Dilution buffer : 5% NFDM/TBST.
Exposure time : 3 secs.

This data was developed using the same antibody clone in a different buffer formulation containing PBS, BSA, glycerol, and sodium azide (ab230823).

All lanes:

Immunoprecipitation - Anti-non-muscle Myosin IIB/MYH10 antibody [EPR22564-23] (<a href='/en-us/products/primary-antibodies/non-muscle-myosin-iib-myh10-antibody-epr22564-23-ab230823'>ab230823</a>)

Predicted band size: 229 kDa

Observed band size: 230 kDa

false

Immunohistochemistry (Formalin/PFA-fixed paraffin-embedded sections) - Anti-non-muscle Myosin IIB/MYH10 antibody [EPR22564-23] - BSA and Azide free (AB254472)
  • IHC-P

Unknown

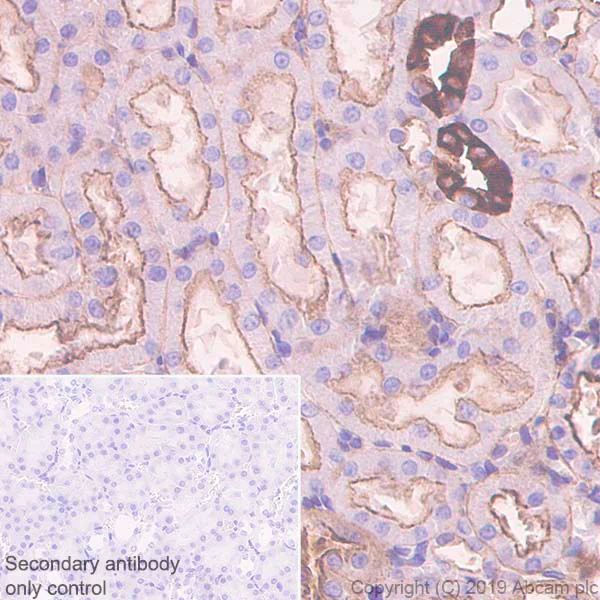
Immunohistochemistry (Formalin/PFA-fixed paraffin-embedded sections) - Anti-non-muscle Myosin IIB/MYH10 antibody [EPR22564-23] - BSA and Azide free (AB254472)

Immunohistochemical analysis of paraffin-embedded rat kidney tissue labeling non-muscle Myosin IIB/MYH10 with ab230823 at 1/2000 dilution, followed by Rabbit specific IHC polymer detection kit HRP/DAB (ab209101). Positive staining on rat renal tubules (PMID : 29208685) is observed. Counterstained with hematoxylin. Secondary antibody only control : Used PBS instead of primary antibody, secondary antibody is Rabbit specific IHC polymer detection kit HRP/DAB (ab209101). The section was incubated with ab230823 for 30 mins at RT. The immunostaining was performed on a Leica Biosystems BOND® RX instrument.

Heat mediated antigen retrieval with Tris-EDTA buffer (pH 9.0, epitope retrieval solution 2) for 20mins.

This data was developed using the same antibody clone in a different buffer formulation containing PBS, BSA, glycerol, and sodium azide (ab230823).

Flow Cytometry (Intracellular) - Anti-non-muscle Myosin IIB/MYH10 antibody [EPR22564-23] - BSA and Azide free (AB254472)
  • Flow Cyt (Intra)

Unknown

Flow Cytometry (Intracellular) - Anti-non-muscle Myosin IIB/MYH10 antibody [EPR22564-23] - BSA and Azide free (AB254472)

Intracellular flow cytometric analysis of 4% paraformaldehyde-fixed, 90% methanol-permeabilized NIH/3T3 (mouse embryo fibroblast cell line) cells labeling non-muscle Myosin IIB/MYH10 with ab230823 at 1/600 (red) compared with a Rabbit IgG, monoclonal [EPR25A] - Isotype Control (ab172730) (black) and an unlabeled control (cells without incubation with primary antibody and secondary antibody) (blue). Goat Anti-Rabbit IgG H&L (Alexa Fluor® 488) (ab150077), at 1/2000 dilution was used as the secondary antibody.

This data was developed using the same antibody clone in a different buffer formulation containing PBS, BSA, glycerol, and sodium azide (ab230823).

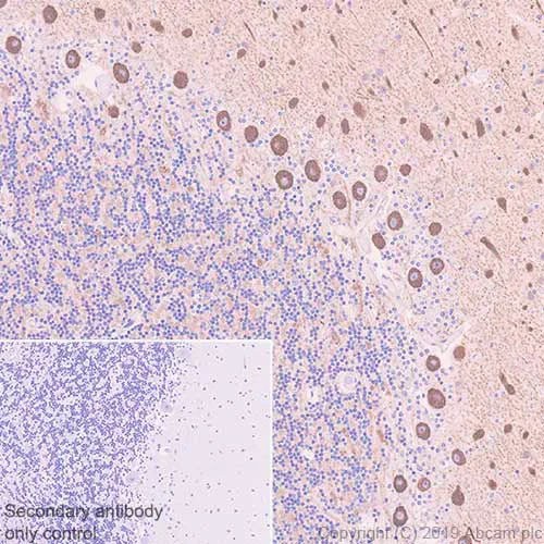
Immunohistochemistry (Formalin/PFA-fixed paraffin-embedded sections) - Anti-non-muscle Myosin IIB/MYH10 antibody [EPR22564-23] - BSA and Azide free (AB254472)
  • IHC-P

Unknown

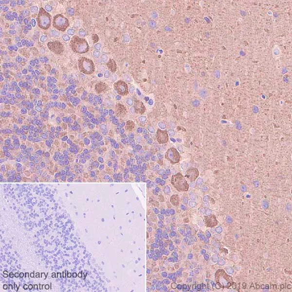
Immunohistochemistry (Formalin/PFA-fixed paraffin-embedded sections) - Anti-non-muscle Myosin IIB/MYH10 antibody [EPR22564-23] - BSA and Azide free (AB254472)

Immunohistochemical analysis of paraffin-embedded rat cerebellum tissue labeling non-muscle Myosin IIB/MYH10 with ab230823 at 1/2000 dilution, followed by Rabbit specific IHC polymer detection kit HRP/DAB (ab209101). Strong positive staining on Purkinje cells of rat cerebellum (PMID : 29330091) is observed. Counterstained with hematoxylin. Secondary antibody only control : Used PBS instead of primary antibody, secondary antibody is Rabbit specific IHC polymer detection kit HRP/DAB (ab209101). The section was incubated with ab230823 for 30 mins at RT. The immunostaining was performed on a Leica Biosystems BOND® RX instrument.

Heat mediated antigen retrieval with Tris-EDTA buffer (pH 9.0, epitope retrieval solution 2) for 20mins.

This data was developed using the same antibody clone in a different buffer formulation containing PBS, BSA, glycerol, and sodium azide (ab230823).

Immunocytochemistry/ Immunofluorescence - Anti-non-muscle Myosin IIB/MYH10 antibody [EPR22564-23] - BSA and Azide free (AB254472)
  • ICC/IF

Unknown

Immunocytochemistry/ Immunofluorescence - Anti-non-muscle Myosin IIB/MYH10 antibody [EPR22564-23] - BSA and Azide free (AB254472)

Immunofluorescent analysis of 4% paraformaldehyde-fixed, 0.1% Triton X-100 permeabilized NIH/3T3 (mouse embryo fibroblast cell line) cells labeling non-muscle Myosin IIB/MYH10 with ab230823 at 1/100 dilution, followed by Goat Anti-Rabbit IgG H&L (Alexa Fluor® 488) (ab150077) secondary antibody at 1/1000 dilution (green). Confocal image showing cytoplasmic staining in NIH/3T3 cells. The nuclear counterstain is DAPI (blue). Tubulin is detected with Anti-alpha Tubulin antibody [DM1A] - Microtubule Marker (Alexa Fluor® 594) (ab195889) at 1/200 dilution (red). Secondary antibody only control : Used PBS instead of primary antibody, followed by Goat Anti-Rabbit IgG H&L (Alexa Fluor® 488) (ab150077) secondary antibody at 1/1000 dilution.

This data was developed using the same antibody clone in a different buffer formulation containing PBS, BSA, glycerol, and sodium azide (ab230823).

Immunohistochemistry (Formalin/PFA-fixed paraffin-embedded sections) - Anti-non-muscle Myosin IIB/MYH10 antibody [EPR22564-23] - BSA and Azide free (AB254472)
  • IHC-P

Unknown

Immunohistochemistry (Formalin/PFA-fixed paraffin-embedded sections) - Anti-non-muscle Myosin IIB/MYH10 antibody [EPR22564-23] - BSA and Azide free (AB254472)

Immunohistochemical analysis of paraffin-embedded mouse cerebellum tissue labeling non-muscle Myosin IIB/MYH10 with ab230823 at 1/2000 dilution, followed by Rabbit specific IHC polymer detection kit HRP/DAB (ab209101). Strong positive staining on Purkinje cells of mouse cerebellum (PMID : 29330091) is observed. Counterstained with hematoxylin. Secondary antibody only control : Used PBS instead of primary antibody, secondary antibody is Rabbit specific IHC polymer detection kit HRP/DAB (ab209101). The section was incubated with ab230823 for 30 mins at RT. The immunostaining was performed on a Leica Biosystems BOND® RX instrument. Heat mediated antigen retrieval with Tris-EDTA buffer (pH 9.0, epitope retrieval solution 2) for 20mins.

This data was developed using the same antibody clone in a different buffer formulation containing PBS, BSA, glycerol, and sodium azide (ab230823).

This data was developed using the same antibody clone in a different buffer formulation containing PBS, BSA, glycerol, and sodium azide (ab230823).

  • Unconjugated

    Anti-non-muscle Myosin IIB/MYH10 antibody [EPR22564-23]

Key facts

Host species

Rabbit

Clonality

Monoclonal

Clone number

EPR22564-23

Isotype

IgG

Carrier free

Yes

Reacts with

Mouse, Rat, Human

Applications

IP, IHC-P, ICC/IF, WB, Flow Cyt (Intra)

applications

Immunogen

The exact immunogen used to generate this antibody is proprietary information.

Reactivity data

{ "title": "Reactivity Data", "filters": { "stats": ["", "Species", "Dilution Info", "Notes"], "tabs": { "all-applications": {"fullname" : "All Applications", "shortname": "All Applications"}, "IP" : {"fullname" : "Immunoprecipitation", "shortname":"IP"}, "WB" : {"fullname" : "Western blot", "shortname":"WB"}, "ICCIF" : {"fullname" : "Immunocytochemistry/ Immunofluorescence", "shortname":"ICC/IF"}, "FlowCytIntra" : {"fullname" : "Flow Cytometry (Intracellular)", "shortname":"Flow Cyt (Intra)"}, "IHCP" : {"fullname" : "Immunohistochemistry (Formalin/PFA-fixed paraffin-embedded sections)", "shortname":"IHC-P"} }, "product-promise": { "all": "all", "testedAndGuaranteed": "tested", "guaranteed": "expected", "predicted": "predicted", "notRecommended": "not-recommended" } }, "values": { "Human": { "IP-species-checked": "testedAndGuaranteed", "IP-species-dilution-info": "", "IP-species-notes": "<p></p>", "WB-species-checked": "guaranteed", "WB-species-dilution-info": "", "WB-species-notes": "<p></p>", "ICCIF-species-checked": "guaranteed", "ICCIF-species-dilution-info": "", "ICCIF-species-notes": "", "FlowCytIntra-species-checked": "testedAndGuaranteed", "FlowCytIntra-species-dilution-info": "", "FlowCytIntra-species-notes": "<p></p>", "IHCP-species-checked": "testedAndGuaranteed", "IHCP-species-dilution-info": "", "IHCP-species-notes": "<p></p>" }, "Mouse": { "IP-species-checked": "guaranteed", "IP-species-dilution-info": "", "IP-species-notes": "", "WB-species-checked": "guaranteed", "WB-species-dilution-info": "", "WB-species-notes": "<p></p>", "ICCIF-species-checked": "testedAndGuaranteed", "ICCIF-species-dilution-info": "", "ICCIF-species-notes": "<p></p>", "FlowCytIntra-species-checked": "guaranteed", "FlowCytIntra-species-dilution-info": "", "FlowCytIntra-species-notes": "", "IHCP-species-checked": "guaranteed", "IHCP-species-dilution-info": "", "IHCP-species-notes": "" }, "Rat": { "IP-species-checked": "predicted", "IP-species-dilution-info": "", "IP-species-notes": "", "WB-species-checked": "guaranteed", "WB-species-dilution-info": "", "WB-species-notes": "<p></p>", "ICCIF-species-checked": "predicted", "ICCIF-species-dilution-info": "", "ICCIF-species-notes": "", "FlowCytIntra-species-checked": "predicted", "FlowCytIntra-species-dilution-info": "", "FlowCytIntra-species-notes": "", "IHCP-species-checked": "predicted", "IHCP-species-dilution-info": "", "IHCP-species-notes": "" } } }

Product details

ab254472 is the carrier-free version of ab230823.

Patented technology
Our RabMAb® technology is a patented hybridoma-based technology for making rabbit monoclonal antibodies. For details on our patents, please refer to RabMAb® patents.

What are the advantages of a recombinant monoclonal antibody?
This product is a recombinant monoclonal antibody, which offers several advantages including:

  • - High batch-to-batch consistency and reproducibility
  • - Improved sensitivity and specificity
  • - Long-term security of supply
  • - Animal-free batch production

For more information, read more on recombinant antibodies.

Conjugation ready
Our carrier-free antibodies are typically supplied in a PBS-only formulation, purified and free of BSA, sodium azide and glycerol. This conjugation-ready format is designed for use with fluorochromes, metal isotopes, oligonucleotides, and enzymes, which makes them ideal for antibody labelling, functional and cell-based assays, flow-based assays (e.g. mass cytometry) and Multiplex Imaging applications.

Use our conjugation kits for antibody conjugates that are ready-to-use in as little as 20 minutes with 1 minute hands-on-time and 100% antibody recovery: available for fluorescent dyes, HRP, biotin and gold.

Compatibility
This product is compatible with the Maxpar® Antibody Labeling Kit from Fluidigm, without the need for antibody preparation. Maxpar® is a trademark of Fluidigm Canada Inc.

Properties and storage information

Form
Liquid
Purification technique
Affinity purification Protein A
Storage buffer
pH: 7.2 - 7.4 Constituents: PBS
Shipped at conditions
Blue Ice
Appropriate short-term storage conditions
+4°C
Appropriate long-term storage conditions
+4°C
Storage information
Do Not Freeze

Supplementary information

This supplementary information is collated from multiple sources and compiled automatically.

Non-muscle Myosin IIB also known as MYH10 is a motor protein important in cell division and movement. This protein weighs approximately 228 kDa. Myosin IIB shows expression in various tissues including the brain heart and fibroblasts. Unlike other myosins found in muscle cells Myosin IIB functions mainly in non-muscle cells where it plays a role in organizing intracellular structure and shape.
Biological function summary

The non-muscle Myosin IIB contributes to cell motility and cytokinesis important for normal cell proliferation and maintenance. It operates as part of the actomyosin complex that includes actin and other myosin types. This complex facilitates contractile forces within cells enabling movements such as cell migration and tissue development. Myosin IIB works closely with actin filaments converting chemical energy from ATP into mechanical work required for these processes.

Pathways

Cell migration and tissue morphogenesis involve Myosin IIB. Myosin IIB participates in the Rho-ROCK signaling pathway which regulates actomyosin contraction during cellular movement and morphogenesis. It interacts with other myosins like Myosin IIA illustrating its role in shared pathways. These pathways control the balance between cellular adhesion and detachment necessary for proper cellular function.

Non-muscle Myosin IIB associates with neurological disorders and cancer. Changes in Myosin IIB function can disrupt normal cell division leading to cancer progression. In neurological disorders Myosin IIB affects cell signaling and structural integrity of neurons. For instance disruptions in interactions with actin and other related proteins like Myosin IIA and Tropomyosins can lead to these adverse biological effects showing its significance in maintaining healthy cellular operations.

Product protocols

For this product, it's our understanding that no specific protocols are required. You can visit:

Target data

Cellular myosin that appears to play a role in cytokinesis, cell shape, and specialized functions such as secretion and capping. Involved with LARP6 in the stabilization of type I collagen mRNAs for CO1A1 and CO1A2. During cell spreading, plays an important role in cytoskeleton reorganization, focal contacts formation (in the central part but not the margins of spreading cells), and lamellipodial extension; this function is mechanically antagonized by MYH9.. (Microbial infection) Acts as a receptor for herpes simplex virus 1/HHV-1 envelope glycoprotein B.
See full target information MYH10

Publications (2)

Recent publications for all applications. Explore the full list and refine your search

Nature immunology 26:1182-1197 PubMed40588561

2025

Chemosensor receptors are lipid-detecting regulators of macrophage function in cancer.

Applications

Unspecified application

Species

Unspecified reactive species

Giulia Marelli,Nicolò Morina,Simone Puccio,Marta Iovino,Marta Pandini,Federica Portale,Mattia Carvetta,Divya Mishra,Elisabetta Diana,Greta Meregalli,Elvezia Paraboschi,Javier Cibella,Clelia Peano,Gianluca Basso,Gabriele De Simone,Chiara Camisaschi,Elena Magrini,Giulio Sartori,Elham Karimi,Piergiuseppe Colombo,Massimo Lazzeri,Paolo Casale,Lavinia Morosi,Giuseppe Martano,Rosanna Asselta,Eduardo Bonavita,Hiro Matsunami,Francesco Bertoni,Logan Walsh,Enrico Lugli,Diletta Di Mitri

Cellular and molecular life sciences : CMLS 80:213 PubMed37464072

2023

DUSP1 interacts with and dephosphorylates VCP to improve mitochondrial quality control against endotoxemia-induced myocardial dysfunction.

Applications

Unspecified application

Species

Unspecified reactive species

Hang Zhu,Jin Wang,Ting Xin,Shanshan Chen,Ruiying Hu,Yukun Li,Mingming Zhang,Hao Zhou
View all publications

Product promise

We are committed to supporting your work with high-quality reagents, and we're here for you every step of the way. In the unlikely event that one of our products does not perform as expected, you're protected by our Product Promise.
For full details, please see our Terms & Conditions

Please note: All products are 'FOR RESEARCH USE ONLY. NOT FOR USE IN DIAGNOSTIC OR THERAPEUTIC PROCEDURES'.

For licensing inquiries, please contact partnerships@abcam.com