JavaScript is disabled in your browser. Please enable JavaScript to view this website.
AB248630

Anti-NOP10 antibody [EPR8856] - BSA and Azide free

Be the first to review this product! Submit a review

|

(0 Publication)

Rabbit Recombinant Monoclonal NOP10 antibody. Carrier free. Suitable for IHC-P, WB and reacts with Human samples.

View Alternative Names

NOLA3, NOP10, H/ACA ribonucleoprotein complex subunit 3, Nucleolar protein 10, Nucleolar protein family A member 3, snoRNP protein NOP10

4 Images
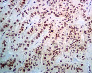
Immunohistochemistry (Formalin/PFA-fixed paraffin-embedded sections) - Anti-NOP10 antibody [EPR8856] - BSA and Azide free (AB248630)
  • IHC-P

Unknown

Immunohistochemistry (Formalin/PFA-fixed paraffin-embedded sections) - Anti-NOP10 antibody [EPR8856] - BSA and Azide free (AB248630)

This data was developed using ab133726, the same antibody clone in a different buffer formulation.

Immunohistochemical analysis of paraffin-embedded Human papillary adenocarcinoma tissue staining NOP10 using ab133726 at a 1/250 dilution.

Perform heat mediated antigen retrieval before commencing with IHC staining protocol.

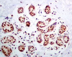
Immunohistochemistry (Formalin/PFA-fixed paraffin-embedded sections) - Anti-NOP10 antibody [EPR8856] - BSA and Azide free (AB248630)
  • IHC-P

Unknown

Immunohistochemistry (Formalin/PFA-fixed paraffin-embedded sections) - Anti-NOP10 antibody [EPR8856] - BSA and Azide free (AB248630)

This data was developed using ab133726, the same antibody clone in a different buffer formulation.

Immunohistochemical analysis of paraffin-embedded Human breast tissue staining NOP10 using ab133726 at a 1/250 dilution.

Perform heat mediated antigen retrieval before commencing with IHC staining protocol.

Western blot - Anti-NOP10 antibody [EPR8856] - BSA and Azide free (AB248630)
  • WB

Unknown

Western blot - Anti-NOP10 antibody [EPR8856] - BSA and Azide free (AB248630)

This data was developed using ab133726, the same antibody clone in a different buffer formulation.

All lanes:

Western blot - Anti-NOP10 antibody [EPR8856] (<a href='/en-us/products/primary-antibodies/nop10-antibody-epr8856-ab133726'>ab133726</a>) at 1/1000 dilution

Lane 1:

Jurkat cell lysate at 10 µg

Lane 2:

MOLT4 cell lysate at 10 µg

Lane 3:

Raji cell lysate at 10 µg

Lane 4:

HeLa cell lysate at 10 µg

Secondary

All lanes:

HRP labelled Goat anti-Rabbit IgG at 1/2000 dilution

Predicted band size: 7 kDa

false

OI-RD Scanning - Anti-NOP10 antibody [EPR8856] - BSA and Azide free (AB248630)
  • OI-RD Scanning

Unknown

OI-RD Scanning - Anti-NOP10 antibody [EPR8856] - BSA and Azide free (AB248630)

We have systematically measured KD (the equilibrium dissociation constant between the antibody and its antigen), of more than 840 recombinant antibodies to assess not only their individual KD values but also to see the average affinity of antibody. Based on the comparison with published literature values for mouse monoclonal antibodies, Recombinant antibodies appear to be on average 1-2 order of magnitude higher affinity.

Key facts

Host species

Rabbit

Clonality

Monoclonal

Clone number

EPR8856

Isotype

IgG

Carrier free

Yes

Reacts with

Human

Applications

WB, IHC-P

applications

Immunogen

The exact immunogen used to generate this antibody is proprietary information.

Reactivity data

{ "title": "Reactivity Data", "filters": { "stats": ["", "Species", "Dilution Info", "Notes"], "tabs": { "all-applications": {"fullname" : "All Applications", "shortname": "All Applications"}, "IHCP" : {"fullname" : "Immunohistochemistry (Formalin/PFA-fixed paraffin-embedded sections)", "shortname":"IHC-P"}, "IP" : {"fullname" : "Immunoprecipitation", "shortname":"IP"}, "FlowCyt" : {"fullname" : "Flow Cytometry", "shortname":"Flow Cyt"}, "WB" : {"fullname" : "Western blot", "shortname":"WB"}, "ICCIF" : {"fullname" : "Immunocytochemistry/ Immunofluorescence", "shortname":"ICC/IF"} }, "product-promise": { "all": "all", "testedAndGuaranteed": "tested", "guaranteed": "expected", "predicted": "predicted", "notRecommended": "not-recommended" } }, "values": { "Human": { "IHCP-species-checked": "testedAndGuaranteed", "IHCP-species-dilution-info": "", "IHCP-species-notes": "<p>For antigen retrieval, heat up to 98 degree C, below boiling, and then let cool for 10-20 minutes.</p>", "IP-species-checked": "notRecommended", "IP-species-dilution-info": "", "IP-species-notes": "<p></p>", "FlowCyt-species-checked": "notRecommended", "FlowCyt-species-dilution-info": "", "FlowCyt-species-notes": "<p></p>", "WB-species-checked": "testedAndGuaranteed", "WB-species-dilution-info": "", "WB-species-notes": "<p></p>", "ICCIF-species-checked": "notRecommended", "ICCIF-species-dilution-info": "", "ICCIF-species-notes": "<p></p>" }, "Mouse": { "IHCP-species-checked": "predicted", "IHCP-species-dilution-info": "", "IHCP-species-notes": "", "IP-species-checked": "notRecommended", "IP-species-dilution-info": "", "IP-species-notes": "", "FlowCyt-species-checked": "notRecommended", "FlowCyt-species-dilution-info": "", "FlowCyt-species-notes": "", "WB-species-checked": "predicted", "WB-species-dilution-info": "", "WB-species-notes": "", "ICCIF-species-checked": "notRecommended", "ICCIF-species-dilution-info": "", "ICCIF-species-notes": "" }, "Rat": { "IHCP-species-checked": "predicted", "IHCP-species-dilution-info": "", "IHCP-species-notes": "", "IP-species-checked": "notRecommended", "IP-species-dilution-info": "", "IP-species-notes": "", "FlowCyt-species-checked": "notRecommended", "FlowCyt-species-dilution-info": "", "FlowCyt-species-notes": "", "WB-species-checked": "predicted", "WB-species-dilution-info": "", "WB-species-notes": "", "ICCIF-species-checked": "notRecommended", "ICCIF-species-dilution-info": "", "ICCIF-species-notes": "" } } }

Product details

ab248630 is the carrier-free version of ab133726.

Patented technology
Our RabMAb® technology is a patented hybridoma-based technology for making rabbit monoclonal antibodies. For details on our patents, please refer to RabMAb® patents.

What are the advantages of a recombinant monoclonal antibody?
This product is a recombinant monoclonal antibody, which offers several advantages including:

  • - High batch-to-batch consistency and reproducibility
  • - Improved sensitivity and specificity
  • - Long-term security of supply
  • - Animal-free batch production

For more information, read more on recombinant antibodies.

Conjugation ready
Our carrier-free antibodies are typically supplied in a PBS-only formulation, purified and free of BSA, sodium azide and glycerol. This conjugation-ready format is designed for use with fluorochromes, metal isotopes, oligonucleotides, and enzymes, which makes them ideal for antibody labelling, functional and cell-based assays, flow-based assays (e.g. mass cytometry) and Multiplex Imaging applications.

Use our conjugation kits for antibody conjugates that are ready-to-use in as little as 20 minutes with 1 minute hands-on-time and 100% antibody recovery: available for fluorescent dyes, HRP, biotin and gold.

Compatibility
This product is compatible with the Maxpar® Antibody Labeling Kit from Fluidigm, without the need for antibody preparation. Maxpar® is a trademark of Fluidigm Canada Inc.

Properties and storage information

Form
Liquid
Purification technique
Affinity purification Protein A
Storage buffer
pH: 7.2 - 7.4 Constituents: PBS
Shipped at conditions
Blue Ice
Appropriate short-term storage conditions
+4°C
Appropriate long-term storage conditions
+4°C
Storage information
Do Not Freeze

Supplementary information

This supplementary information is collated from multiple sources and compiled automatically.

NOP10 also known as Nucleolar Protein 10 is a small protein component with a molecular weight of approximately 7 kDa. It is an essential part of the H/ACA ribonucleoprotein complexes responsible for guiding the isomerization of uridine to pseudouridine in ribosomal RNA (rRNA). NOP10 is expressed in the nucleolus where it interacts closely with other core proteins such as NHP2 NOP58 and the catalytic subunit dyskerin also known as DKC1.
Biological function summary

NOP10 plays a critical role in ribosome biogenesis by taking part in H/ACA snoRNP complexes that facilitate the processing and modification of rRNA which is necessary for proper ribosome function. The protein forms a complex with the other core proteins and small nucleolar RNAs (snoRNAs) essential for the chemical alteration and folding of rRNA. By supporting the formation and stability of these complexes NOP10 ensures the fidelity of ribosomal assembly and cellular protein synthesis.

Pathways

The protein contributes significantly to the ribosome biogenesis and RNA modification pathways. It directly influences the ribosome biogenesis process which determines the production of ribosomes essential for protein translation in cells. In this pathway NOP10 interacts with proteins such as GAR1 and dyskerin which assist in assembling the complete ribosomal subunits. These interactions help sustain the delicate balance of rRNA modifications required for functional ribosome activity during protein synthesis.

NOP10 is associated with conditions like dyskeratosis congenita and some forms of cancer. Dyskeratosis congenita a genetic disorder characterized by bone marrow failure and skin abnormalities is linked to mutations in components of the H/ACA snoRNP complex including NOP10. In cancer altered expression or functionality of NOP10 can influence the process of ribosome biogenesis leading to increased cellular proliferation. Dyskerin another key member of the complex is also implicated in these conditions highlighting the intertwined role of these proteins in maintaining cellular homeostasis and their potential disruption in disease states.

Product protocols

For this product, it's our understanding that no specific protocols are required. You can visit:

Target data

Required for ribosome biogenesis and telomere maintenance. Part of the H/ACA small nucleolar ribonucleoprotein (H/ACA snoRNP) complex, which catalyzes pseudouridylation of rRNA (PubMed : 32554502). This involves the isomerization of uridine such that the ribose is subsequently attached to C5, instead of the normal N1. Each rRNA can contain up to 100 pseudouridine ('psi') residues, which may serve to stabilize the conformation of rRNAs. May also be required for correct processing or intranuclear trafficking of TERC, the RNA component of the telomerase reverse transcriptase (TERT) holoenzyme.
See full target information NOP10

Product promise

We are committed to supporting your work with high-quality reagents, and we're here for you every step of the way. In the unlikely event that one of our products does not perform as expected, you're protected by our Product Promise.
For full details, please see our Terms & Conditions

Please note: All products are 'FOR RESEARCH USE ONLY. NOT FOR USE IN DIAGNOSTIC OR THERAPEUTIC PROCEDURES'.

For licensing inquiries, please contact partnerships@abcam.com