JavaScript is disabled in your browser. Please enable JavaScript to view this website.
AB271075

Anti-NOP2 antibody [EPR24888-92]

  • BOND RX™ Validated
  • 20ul selling size
  • RabMAb
  • Recombinant
  • What is this?

Be the first to review this product! Submit a review

|

(5 Publications)

Rabbit Recombinant Monoclonal NOP2 antibody. Suitable for ICC/IF, IP, Flow Cyt (Intra), WB, IHC-P and reacts with Human, Mouse, Rat samples. Cited in 5 publications.

View Alternative Names

Nol1, Nop2, 28S rRNA (cytosine-C(5))-methyltransferase, Nucleolar protein 1, Nucleolar protein 2 homolog, Proliferating-cell nucleolar antigen p120, Proliferation-associated nucleolar protein p120

9 Images
Immunohistochemistry (Formalin/PFA-fixed paraffin-embedded sections) - Anti-NOP2 antibody [EPR24888-92] (AB271075)
  • IHC-P

Supplier Data

Immunohistochemistry (Formalin/PFA-fixed paraffin-embedded sections) - Anti-NOP2 antibody [EPR24888-92] (AB271075)

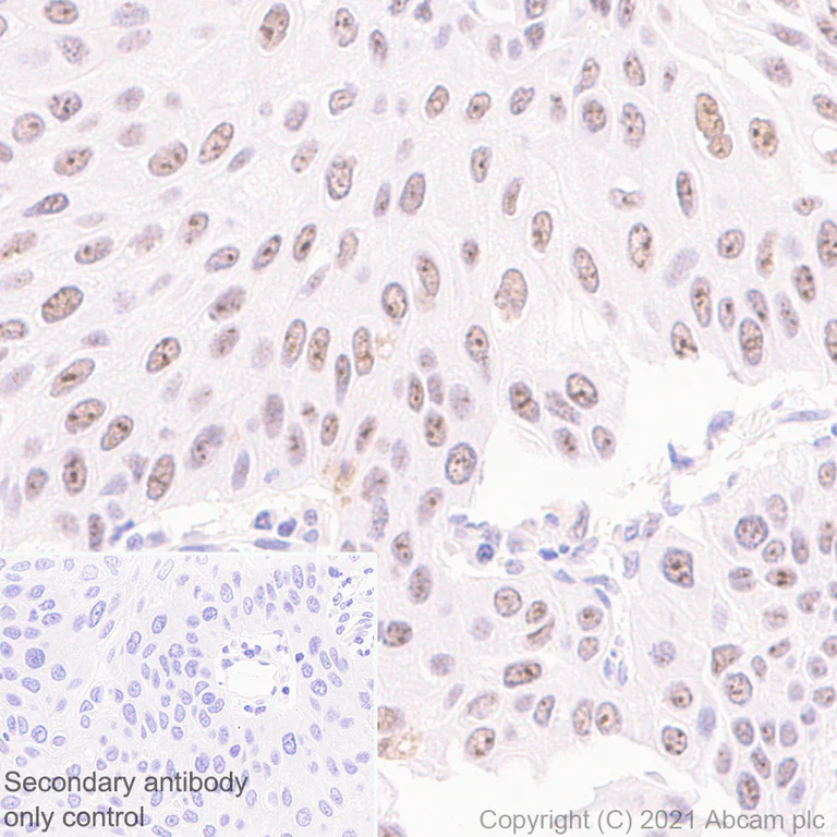
Immunohistochemical analysis of paraffin-embedded human lung adenocarcinoma tissue labelling NOP2 with ab271075 at 1/200 dilution (2.835 μg/ml) followed by a ready to use LeicaDS9800 (Bond™ Polymer Refine Detection) was used. Nuclear staining on human lung adenocarcinoma (PMID : 3422591). The section was incubated with ab271075 for 30 mins at room temperature. The immunostaining was performed on a Leica Biosystems BOND® RX instrument. Counterstained with Hematoxylin.

Secondary antibody only control : Secondary antibody is a ready to use LeicaDS9800 (Bond™ Polymer Refine Detection) was used.

Heat mediated antigen retrieval with Tris-EDTA buffer (pH 9.0, epitope retrieval solution2) for 20 mins

Immunohistochemistry (Formalin/PFA-fixed paraffin-embedded sections) - Anti-NOP2 antibody [EPR24888-92] (AB271075)
  • IHC-P

Supplier Data

Immunohistochemistry (Formalin/PFA-fixed paraffin-embedded sections) - Anti-NOP2 antibody [EPR24888-92] (AB271075)

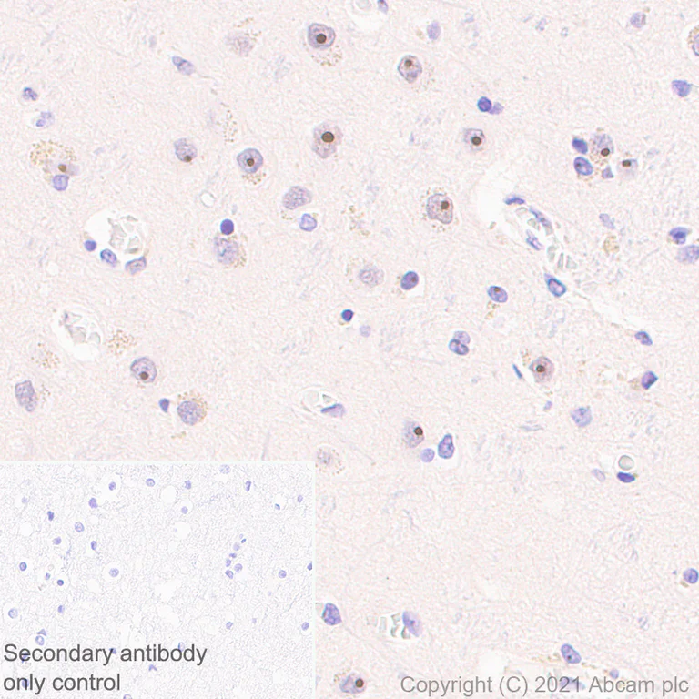
Immunohistochemical analysis of paraffin-embedded human cerebrum tissue labelling NOP2 with ab271075 at 1/200 dilution (2.835 μg/ml) followed by a ready to use LeicaDS9800 (Bond™ Polymer Refine Detection) was used. Nucleolar staining on human cerebrum (PMID : 25481415). The section was incubated with ab271075 for 30 mins at room temperature. The immunostaining was performed on a Leica Biosystems BOND® RX instrument. Counterstained with Hematoxylin.

Secondary antibody only control : Secondary antibody is a ready to use LeicaDS9800 (Bond™ Polymer Refine Detection) was used.

Heat mediated antigen retrieval with Tris-EDTA buffer (pH 9.0, epitope retrieval solution2) for 20 mins

Immunocytochemistry/ Immunofluorescence - Anti-NOP2 antibody [EPR24888-92] (AB271075)
  • ICC/IF

Supplier Data

Immunocytochemistry/ Immunofluorescence - Anti-NOP2 antibody [EPR24888-92] (AB271075)

Immunofluorescent analysis of 100% methanol-fixed, 0.1% TritonX-100 permeabilized HCT 116 (human colorectal carcinoma cell line) cells labelling NOP2 with ab271075 at 1/500 dilution (1.134 μg/ml), followed by ab150081 Goat Anti-Rabbit IgG H&L (Alexa Fluor® 488) preadsorbed antibody at 1/1000 dilution (2 μg/ml / Green). Confocal image showing nucleolar staining in HCT 116 cell line is observed. ab195889 Anti-alpha Tubulin mouse monoclonal antibody - Microtubule Marker (Alexa Fluor® 594) was used to counterstain tubulin at 1/200 dilution (2.5 μg/ml / Red). Nuclear counterstain was DAPI (Blue).

Secondary antibody only control : Secondary antibody is ab150081 Goat Anti-Rabbit IgG H&L (Alexa Fluor® 488) preadsorbed at 1/1000 (2 μg/ml) dilution.

Flow Cytometry (Intracellular) - Anti-NOP2 antibody [EPR24888-92] (AB271075)
  • Flow Cyt (Intra)

Supplier Data

Flow Cytometry (Intracellular) - Anti-NOP2 antibody [EPR24888-92] (AB271075)

Flow cytometric analysis of 4% paraformaldehyde fixed 90% methanol permeabilized HCT 116 (human colorectal carcinoma epithelial cell) cells labelling NOP2 with ab271075 at 1/50 dilution (1μg / Red) compared with a Rabbit monoclonal IgG (ab172730 / Black) isotype control and an unlabelled control (cells without incubation with primary antibody and secondary antibody / Blue). A Goat anti rabbit IgG (Alexa Fluor® 488, ab150077) at 1/2000 dilution was used as the secondary antibody.

Immunoprecipitation - Anti-NOP2 antibody [EPR24888-92] (AB271075)
  • IP

Supplier Data

Immunoprecipitation - Anti-NOP2 antibody [EPR24888-92] (AB271075)

NOP2 was immunoprecipitated from 0.35 mg 293T (human embryonic kidney epithelial cell) whole cell lysate with ab271075 at 1/30 dilution (2μg in 0.35mg lysates). Western blot was performed on the immunoprecipitate using ab271075 at 1/1000 dilution. VeriBlot for IP secondary antibody(HRP)(ab131366) was used at 1/5000 dilution.

Lane 1 : 293T (human embryonic kidney epithelial cell) whole cell lysate 10 μg

Lane 2 : ab271075 IP in 293T whole cell lysate

Lane 3 : Rabbit monoclonal IgG (ab172730) instead of ab271075 in 293T whole cell lysate

Blocking and dilution buffer and concentration : 5% NFDM/TBST.

Exposure time : 24 seconds

All lanes:

Immunoprecipitation - Anti-NOP2 antibody [EPR24888-92] (ab271075)

Predicted band size: 89 kDa

Observed band size: 110 kDa,90 kDa

false

Immunocytochemistry/ Immunofluorescence - Anti-NOP2 antibody [EPR24888-92] (AB271075)
  • ICC/IF

Supplier Data

Immunocytochemistry/ Immunofluorescence - Anti-NOP2 antibody [EPR24888-92] (AB271075)

Immunofluorescent analysis of 100% methanol-fixed, 0.1% TritonX-100 permeabilized Neuro-2a (Mouse neuroblastoma cell line) cells labelling NOP2 with ab271075 at 1/500 dilution (1.134 μg/ml), followed by ab150081 Goat Anti-Rabbit IgG H&L (Alexa Fluor® 488) preadsorbed antibody at 1/1000 dilution (2 μg/ml / Green). Confocal image showing nucleolar staining in Neuro-2a cell line is observed. ab195889 Anti-alpha Tubulin mouse monoclonal antibody - Microtubule Marker (Alexa Fluor® 594) was used to counterstain tubulin at 1/200 dilution (2.5 μg/ml / Red). Nuclear counterstain was DAPI (Blue).

Secondary antibody only control : Secondary antibody is ab150081 Goat Anti-Rabbit IgG H&L (Alexa Fluor® 488) preadsorbed at 1/1000 dilution (2 μg/ml).

Immunohistochemistry (Formalin/PFA-fixed paraffin-embedded sections) - Anti-NOP2 antibody [EPR24888-92] (AB271075)
  • IHC-P

Supplier Data

Immunohistochemistry (Formalin/PFA-fixed paraffin-embedded sections) - Anti-NOP2 antibody [EPR24888-92] (AB271075)

Immunohistochemical analysis of paraffin-embedded mouse cerebrum tissue labelling NOP2 with ab271075 at 1/500 dilution (1.134 μg/ml) followed by a ready to use LeicaDS9800 (Bond™ Polymer Refine Detection) was used. Nucleolar staining on mouse cerebrum. The section was incubated with ab271075 for 30 mins at room temperature. The immunostaining was performed on a Leica Biosystems BOND® RX instrument. Counterstained with Hematoxylin.

Secondary antibody only control : Secondary antibody is a ready to use LeicaDS9800 (Bond™ Polymer Refine Detection) was used.

Heat mediated antigen retrieval with Tris-EDTA buffer (pH 9.0, epitope retrieval solution2) for 20 mins

Immunohistochemistry (Formalin/PFA-fixed paraffin-embedded sections) - Anti-NOP2 antibody [EPR24888-92] (AB271075)
  • IHC-P

Supplier Data

Immunohistochemistry (Formalin/PFA-fixed paraffin-embedded sections) - Anti-NOP2 antibody [EPR24888-92] (AB271075)

Immunohistochemical analysis of paraffin-embedded rat cerebrum tissue labelling NOP2 with ab271075 at 1/500 dilution (1.134 μg/ml) followed by a ready to use LeicaDS9800 (Bond™ Polymer Refine Detection) was used. Nucleolar staining on rat cerebrum. The section was incubated with ab271075 for 30 mins at room temperature. The immunostaining was performed on a Leica Biosystems BOND® RX instrument. Counterstained with Hematoxylin.

Secondary antibody only control : Secondary antibody is a ready to use LeicaDS9800 (Bond™ Polymer Refine Detection) was used.

Heat mediated antigen retrieval with Tris-EDTA buffer (pH 9.0, epitope retrieval solution2) for 20 mins

Western blot - Anti-NOP2 antibody [EPR24888-92] (AB271075)
  • WB

Lab

Western blot - Anti-NOP2 antibody [EPR24888-92] (AB271075)

Blocking and diluting buffer and concentration : 5% NFDM/TBST.

Lysates were made freshly and used in WB test immediately to minimize protein degradation.

The expression profile/ molecular weight observed is consistent with what has been described in the literature (PMID : 25043274).

The multiple reactive bands would represent different NOP2 isoforms.

Exposure time : 48 seconds

All lanes:

Western blot - Anti-NOP2 antibody [EPR24888-92] (ab271075) at 1/1000 dilution

Lane 1:

HeLa (human cervix adenocarcinoma epithelial cell) whole cell lysate at 20 µg

Lane 2:

293T (human embryonic kidney epithelial cell) whole cell lysate at 20 µg

Lane 3:

NIH/3T3 (mouse embryonic fibroblast) whole cell lysate at 20 µg

Lane 4:

PC-12 (rat adrenal gland pheochromocytoma) whole cell lysate at 20 µg

Secondary

All lanes:

Western blot - Goat Anti-Rabbit IgG H&L (HRP) (<a href='/en-us/products/secondary-antibodies/goat-rabbit-igg-h-l-hrp-ab97051'>ab97051</a>) at 1/50000 dilution

Predicted band size: 89 kDa

Observed band size: 110 kDa,90 kDa

false

  • Carrier free

    Anti-NOP2 antibody [EPR24888-92] - BSA and Azide free

Key facts

Host species

Rabbit

Clonality

Monoclonal

Clone number

EPR24888-92

Isotype

IgG

Carrier free

No

Reacts with

Rat, Mouse, Human

Applications

WB, IHC-P, IP, Flow Cyt (Intra), ICC/IF

applications

Immunogen

The exact immunogen used to generate this antibody is proprietary information.

Reactivity data

{ "title": "Reactivity Data", "filters": { "stats": ["", "Species", "Dilution Info", "Notes"], "tabs": { "all-applications": {"fullname" : "All Applications", "shortname": "All Applications"}, "ICCIF" : {"fullname" : "Immunocytochemistry/ Immunofluorescence", "shortname":"ICC/IF"}, "IP" : {"fullname" : "Immunoprecipitation", "shortname":"IP"}, "FlowCytIntra" : {"fullname" : "Flow Cytometry (Intracellular)", "shortname":"Flow Cyt (Intra)"}, "WB" : {"fullname" : "Western blot", "shortname":"WB"}, "IHCP" : {"fullname" : "Immunohistochemistry (Formalin/PFA-fixed paraffin-embedded sections)", "shortname":"IHC-P"} }, "product-promise": { "all": "all", "testedAndGuaranteed": "tested", "guaranteed": "expected", "predicted": "predicted", "notRecommended": "not-recommended" } }, "values": { "Human": { "ICCIF-species-checked": "testedAndGuaranteed", "ICCIF-species-dilution-info": "1/500", "ICCIF-species-notes": "<p></p>", "IP-species-checked": "testedAndGuaranteed", "IP-species-dilution-info": "1/30", "IP-species-notes": "<p></p>", "FlowCytIntra-species-checked": "testedAndGuaranteed", "FlowCytIntra-species-dilution-info": "1/50", "FlowCytIntra-species-notes": "<p></p>", "WB-species-checked": "testedAndGuaranteed", "WB-species-dilution-info": "1/1000", "WB-species-notes": "<p></p>", "IHCP-species-checked": "testedAndGuaranteed", "IHCP-species-dilution-info": "1/200", "IHCP-species-notes": "<p></p>" }, "Mouse": { "ICCIF-species-checked": "guaranteed", "ICCIF-species-dilution-info": "", "ICCIF-species-notes": "", "IP-species-checked": "guaranteed", "IP-species-dilution-info": "", "IP-species-notes": "", "FlowCytIntra-species-checked": "guaranteed", "FlowCytIntra-species-dilution-info": "", "FlowCytIntra-species-notes": "", "WB-species-checked": "testedAndGuaranteed", "WB-species-dilution-info": "1/1000", "WB-species-notes": "<p></p>", "IHCP-species-checked": "testedAndGuaranteed", "IHCP-species-dilution-info": "1/200", "IHCP-species-notes": "<p></p>" }, "Rat": { "ICCIF-species-checked": "guaranteed", "ICCIF-species-dilution-info": "", "ICCIF-species-notes": "", "IP-species-checked": "guaranteed", "IP-species-dilution-info": "", "IP-species-notes": "", "FlowCytIntra-species-checked": "guaranteed", "FlowCytIntra-species-dilution-info": "", "FlowCytIntra-species-notes": "", "WB-species-checked": "testedAndGuaranteed", "WB-species-dilution-info": "1/1000", "WB-species-notes": "<p></p>", "IHCP-species-checked": "testedAndGuaranteed", "IHCP-species-dilution-info": "1/200", "IHCP-species-notes": "<p></p>" } } }

Product details

Patented technology
Our RabMAb® technology is a patented hybridoma-based technology for making rabbit monoclonal antibodies. For details on our patents, please refer to RabMAb® patents.

What are the advantages of a recombinant monoclonal antibody?
This product is a recombinant monoclonal antibody, which offers several advantages including:

  • - High batch-to-batch consistency and reproducibility
  • - Improved sensitivity and specificity
  • - Long-term security of supply
  • - Animal-free batch production

For more information, read more on recombinant antibodies.

Properties and storage information

Form
Liquid
Purification technique
Affinity purification Protein A
Storage buffer
pH: 7.2 - 7.4 Preservative: 0.01% Sodium azide Constituents: PBS, 40% Glycerol (glycerin, glycerine), 0.05% BSA
Shipped at conditions
Blue Ice
Appropriate short-term storage duration
1-2 weeks
Appropriate short-term storage conditions
+4°C
Appropriate long-term storage conditions
-20°C
Aliquoting information
Upon delivery aliquot
Storage information
Avoid freeze / thaw cycle

Supplementary information

This supplementary information is collated from multiple sources and compiled automatically.

NOP2 also known as NOP2 nucleolar protein is a methyltransferase enzyme involved in ribosomal RNA (rRNA) processing. It weighs approximately 82 kDa. NOP2 is widely expressed in various cell types particularly in rapidly dividing cells where ribosome biogenesis is active. The protein resides predominantly in the nucleolus where it assists in rRNA modification and proper ribosome assembly.
Biological function summary

NOP2 plays an important role in the maturation of 28S rRNA during the biogenesis of the 60S ribosomal subunit. It functions as part of the larger ribosome assembly complex. By modifying rRNA NOP2 ensures correct rRNA folding and stabilization essential for the production of functional ribosomes. This enzymatic activity aligns with its critical role in the proliferation of cells impacting processes such as protein synthesis and cell growth.

Pathways

NOP2 is intimately involved in the ribosome biogenesis and assembly pathway. It interacts with other ribosomal proteins and ribosome assembly factors such as NOP58 during ribosome maturation. NOP2's role extends into the mitotic cell cycle pathway where it influences cellular proliferation. Understanding its connection with these pathways supports insights into cellular growth regulation and transformation.

NOP2 associates strongly with cancer pathogenesis. Overexpression of NOP2 frequently occurs in various cancers suggesting a potential role in oncogenesis. Dysregulated ribosome biogenesis facilitated by NOP2 can lead to tumor progression and metastasis. The protein's interactions with oncoproteins such as c-Myc further emphasize its importance in understanding cancer mechanisms and therapeutic targets.

Product protocols

For this product, it's our understanding that no specific protocols are required. You can visit:

Target data

S-adenosyl-L-methionine-dependent methyltransferase that specifically methylates the C(5) position of cytosine 4447 in 28S rRNA. Required for efficient rRNA processing and 60S ribosomal subunit biogenesis. Regulates pre-rRNA processing through non-catalytic complex formation with box C/D snoRNAs and facilitates the recruitment of U3 and U8 snoRNAs to pre-90S ribosomal particles and their stable assembly into snoRNP complexes. May play a role in the regulation of the cell cycle and the increased nucleolar activity that is associated with the cell proliferation.
See full target information Nop2

Publications (5)

Recent publications for all applications. Explore the full list and refine your search

Cancer medicine 14:e70992 PubMed40485623

2025

Integrated Analysis of Single-Cell and Bulk RNA-Sequencing Defines N7-Methylguanosine (m7G)-Mediated Modifications' Role in Prognosis and the Tumor Immune Microenvironment in Hepatocellular Carcinoma.

Applications

Unspecified application

Species

Unspecified reactive species

Jiahua Liang,Mingjian Ma,Borui Xu,Cheng Zhong,Guangyan Zeng,Huijiao Lu,Jiaming Lai,Jiancong Chen

International journal of biological sciences 20:4853-4871 PubMed39309431

2024

NOP2-mediated 5-methylcytosine modification of APOL1 messenger RNA activates PI3K-Akt and facilitates clear cell renal cell carcinoma progression.

Applications

Unspecified application

Species

Unspecified reactive species

Junjie Tian,Jianguo Gao,Cheng Cheng,Zhijie Xu,Xiaoyi Chen,Yunfei Wu,Guanghou Fu,Baiye Jin

American journal of cancer research 14:1768-1783 PubMed38726285

2024

Roles of RNA mC modification patterns in prognosis and tumor microenvironment infiltration of diffuse large B-cell lymphoma.

Applications

Unspecified application

Species

Unspecified reactive species

Wenting Cui,Cancan Luo,Lili Zhou,Tiantian Yu,Yongsheng Meng,Qianqian Yu,Zhixiang Lei,Ya Wang,Lijuan Peng,Qingqing Luo,Duozhuang Tang,Ruifang Sun,Li Yu

Cancer biology & therapy 24:2263921 PubMed37800580

2023

Function of mC RNA methyltransferase NOP2 in high-grade serous ovarian cancer.

Applications

Unspecified application

Species

Unspecified reactive species

Shimin Yang,Dongmei Zhou,Chunxiao Zhang,Jiangdong Xiang,Xiaowei Xi

Neoplasma 70:340-349 PubMed37498063

2023

NOP2-mediated m5C methylation of XPD is associated with hepatocellular carcinoma progression.

Applications

Unspecified application

Species

Unspecified reactive species

Guo-Fang Sun,Hao Ding
View all publications

Product promise

We are committed to supporting your work with high-quality reagents, and we're here for you every step of the way. In the unlikely event that one of our products does not perform as expected, you're protected by our Product Promise.
For full details, please see our Terms & Conditions

Please note: All products are 'FOR RESEARCH USE ONLY. NOT FOR USE IN DIAGNOSTIC OR THERAPEUTIC PROCEDURES'.

For licensing inquiries, please contact partnerships@abcam.com