JavaScript is disabled in your browser. Please enable JavaScript to view this website.
AB155969

Anti-NOP58 antibody [EPR10721]

5

(3 Reviews)

|

(4 Publications)

Rabbit Recombinant Monoclonal NOP58 antibody. Suitable for IHC-P, WB, ICC/IF and reacts with Human, Mouse, Rat samples. Cited in 4 publications.

View Alternative Names

NOL5, NOP5, HSPC120, NOP58, Nucleolar protein 58, Nucleolar protein 5

3 Images
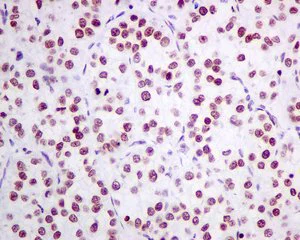
Immunohistochemistry (Formalin/PFA-fixed paraffin-embedded sections) - Anti-NOP58 antibody [EPR10721] (AB155969)
  • IHC-P

Unknown

Immunohistochemistry (Formalin/PFA-fixed paraffin-embedded sections) - Anti-NOP58 antibody [EPR10721] (AB155969)

Immunohistochemical analysis of paraffin-embedded Human hepatocellular carcinoma tissue labeling NOP58 with ab155969 at 1/50 dilution.

Perform heat mediated antigen retrieval before commencing with IHC staining protocol.

Western blot - Anti-NOP58 antibody [EPR10721] (AB155969)
  • WB

Unknown

Western blot - Anti-NOP58 antibody [EPR10721] (AB155969)

All lanes:

Western blot - Anti-NOP58 antibody [EPR10721] (ab155969) at 1/1000 dilution

Lane 1:

HeLa cell lysate at 10 µg

Lane 2:

K562 cell lysate at 10 µg

Lane 3:

MCF7 cell lysate at 10 µg

Lane 4:

NCI-H450 cell lysate at 10 µg

Secondary

All lanes:

Goat anti-rabbit HRP at 1/2000 dilution

Predicted band size: 59 kDa

false

Immunocytochemistry/ Immunofluorescence - Anti-NOP58 antibody [EPR10721] (AB155969)
  • ICC/IF

Unknown

Immunocytochemistry/ Immunofluorescence - Anti-NOP58 antibody [EPR10721] (AB155969)

Immunofluorescence analysis of MCF7 cells, labeling NOP58 with ab155969 at 1/250 dilution.

  • Carrier free

    Anti-NOP58 antibody [EPR10721] - BSA and Azide free

Key facts

Host species

Rabbit

Clonality

Monoclonal

Clone number

EPR10721

Isotype

IgG

Carrier free

No

Reacts with

Human

Applications

IHC-P, ICC/IF, WB

applications

Immunogen

The exact immunogen used to generate this antibody is proprietary information.

Reactivity data

{ "title": "Reactivity Data", "filters": { "stats": ["", "Species", "Dilution Info", "Notes"], "tabs": { "all-applications": {"fullname" : "All Applications", "shortname": "All Applications"}, "IHCP" : {"fullname" : "Immunohistochemistry (Formalin/PFA-fixed paraffin-embedded sections)", "shortname":"IHC-P"}, "IP" : {"fullname" : "Immunoprecipitation", "shortname":"IP"}, "FlowCyt" : {"fullname" : "Flow Cytometry", "shortname":"Flow Cyt"}, "WB" : {"fullname" : "Western blot", "shortname":"WB"}, "ICCIF" : {"fullname" : "Immunocytochemistry/ Immunofluorescence", "shortname":"ICC/IF"} }, "product-promise": { "all": "all", "testedAndGuaranteed": "tested", "guaranteed": "expected", "predicted": "predicted", "notRecommended": "not-recommended" } }, "values": { "Human": { "IHCP-species-checked": "testedAndGuaranteed", "IHCP-species-dilution-info": "1/50 - 1/100", "IHCP-species-notes": "<p></p> Perform heat-mediated antigen retrieval before commencing with IHC staining protocol.", "IP-species-checked": "notRecommended", "IP-species-dilution-info": "", "IP-species-notes": "<p></p>", "FlowCyt-species-checked": "notRecommended", "FlowCyt-species-dilution-info": "", "FlowCyt-species-notes": "<p></p>", "WB-species-checked": "testedAndGuaranteed", "WB-species-dilution-info": "1/1000 - 1/10000", "WB-species-notes": "<p></p>", "ICCIF-species-checked": "testedAndGuaranteed", "ICCIF-species-dilution-info": "1/250 - 1/500", "ICCIF-species-notes": "<p></p>" }, "Mouse": { "IHCP-species-checked": "predicted", "IHCP-species-dilution-info": "", "IHCP-species-notes": "", "IP-species-checked": "notRecommended", "IP-species-dilution-info": "", "IP-species-notes": "", "FlowCyt-species-checked": "notRecommended", "FlowCyt-species-dilution-info": "", "FlowCyt-species-notes": "", "WB-species-checked": "guaranteed", "WB-species-dilution-info": "", "WB-species-notes": "<p></p>", "ICCIF-species-checked": "predicted", "ICCIF-species-dilution-info": "", "ICCIF-species-notes": "" }, "Rat": { "IHCP-species-checked": "predicted", "IHCP-species-dilution-info": "", "IHCP-species-notes": "", "IP-species-checked": "notRecommended", "IP-species-dilution-info": "", "IP-species-notes": "", "FlowCyt-species-checked": "notRecommended", "FlowCyt-species-dilution-info": "", "FlowCyt-species-notes": "", "WB-species-checked": "guaranteed", "WB-species-dilution-info": "", "WB-species-notes": "<p></p>", "ICCIF-species-checked": "predicted", "ICCIF-species-dilution-info": "", "ICCIF-species-notes": "" } } }

Product details

Patented technology
Our RabMAb® technology is a patented hybridoma-based technology for making rabbit monoclonal antibodies. For details on our patents, please refer to RabMAb® patents.

What are the advantages of a recombinant monoclonal antibody?
This product is a recombinant monoclonal antibody, which offers several advantages including:

  • - High batch-to-batch consistency and reproducibility
  • - Improved sensitivity and specificity
  • - Long-term security of supply
  • - Animal-free batch production

For more information, read more on recombinant antibodies.

Properties and storage information

Form
Liquid
Purity
Tissue culture supernatant
Storage buffer
pH: 7.2 - 7.4 Preservative: 0.01% Sodium azide Constituents: 50% Tissue culture supernatant, 40% Glycerol (glycerin, glycerine), 9% PBS, 0.05% BSA
Shipped at conditions
Blue Ice
Appropriate short-term storage conditions
+4°C
Appropriate long-term storage conditions
-20°C

Supplementary information

This supplementary information is collated from multiple sources and compiled automatically.

NOP58 also known as Nop58p is a nucleolar protein involved in the biogenesis of small nucleolar ribonucleoproteins (snoRNPs). This protein weighs approximately 58 kDa. Researchers find NOP58 expressed in the nucleolus of eukaryotic cells. NOP58 is part of the box C/D small nucleolar RNA (snoRNA) complex which plays a critical role in the maturation and modification of pre-rRNA.
Biological function summary

NOP58 contributes to the assembly and function of snoRNPs which guide the chemical modification of rRNA particularly 2'-O-methylation. This modification has significance for proper ribosome assembly and function. NOP58 does not work alone; it forms part of a complex with other proteins such as NOP56 Fibrillarin and SNU13. These proteins come together to accurately target and chemically modify specific rRNA sequences.

Pathways

NOP58 participates in the ribosome biogenesis and rRNA processing pathways. These pathways are essential for producing the ribosomal units required for protein synthesis. NOP58 functions alongside proteins like NOP56 and Fibrillarin in modifying rRNA which is critical within the nucleolus. Proper functioning of these pathways ensures the cell maintains protein synthesis efficiency and accuracy.

Alterations in NOP58 may affect nucleolar function potentially leading to ribosomopathies. Disruptions in NOP58 can potentially associate with conditions such as cancer where nucleolar activity is often altered. Proteins like Fibrillarin associated with snoRNP complexes may also be implicated in these diseases as they share involvement in similar pathways and complex functions with NOP58.

Product protocols

For this product, it's our understanding that no specific protocols are required. You can visit:

Target data

Required for 60S ribosomal subunit biogenesis. Core component of box C/D small nucleolar ribonucleoprotein (snoRNP) particles. Required for the biogenesis of box C/D snoRNAs such as U3, U8 and U14 snoRNAs. Part of the small subunit (SSU) processome, first precursor of the small eukaryotic ribosomal subunit. During the assembly of the SSU processome in the nucleolus, many ribosome biogenesis factors, an RNA chaperone and ribosomal proteins associate with the nascent pre-rRNA and work in concert to generate RNA folding, modifications, rearrangements and cleavage as well as targeted degradation of pre-ribosomal RNA by the RNA exosome (PubMed : 34516797).
See full target information NOP58

Publications (4)

Recent publications for all applications. Explore the full list and refine your search

Clinical and translational medicine 13:e1235 PubMed37186134

2023

Therapeutic targeting of CNBP phase separation inhibits ribosome biogenesis and neuroblastoma progression via modulating SWI/SNF complex activity.

Applications

Unspecified application

Species

Unspecified reactive species

Anpei Hu,Guo Chen,Banghe Bao,Yanhua Guo,Dan Li,Xiaojing Wang,Jianqun Wang,Qilan Li,Yi Zhou,Haiyang Gao,Jiyu Song,Xinyi Du,Liduan Zheng,Qiangsong Tong

Nucleic acid therapeutics : PubMed33534636

2021

Solid-Phase Separation of Toxic Phosphorothioate Antisense Oligonucleotide-Protein Nucleolar Aggregates Is Cytoprotective.

Applications

Unspecified application

Species

Unspecified reactive species

Xue-Hai Liang,Cheryl Li De Hoyos,Wen Shen,Lingdi Zhang,Michael Fazio,Stanley T Crooke

Genes 11: PubMed32585969

2020

Leukocyte Nucleolus and -When Falling Apart Means Falling in Place.

Applications

Unspecified application

Species

Unspecified reactive species

Ivona Mladineo,Jerko Hrabar

Proceedings of the National Academy of Sciences of 114:E6749-E6758 PubMed28760965

2017

Quantitative time-resolved chemoproteomics reveals that stable -GlcNAc regulates box C/D snoRNP biogenesis.

Applications

Unspecified application

Species

Unspecified reactive species

Wei Qin,Pinou Lv,Xinqi Fan,Baiyi Quan,Yuntao Zhu,Ke Qin,Ying Chen,Chu Wang,Xing Chen
View all publications

Product promise

We are committed to supporting your work with high-quality reagents, and we're here for you every step of the way. In the unlikely event that one of our products does not perform as expected, you're protected by our Product Promise.
For full details, please see our Terms & Conditions

Please note: All products are 'FOR RESEARCH USE ONLY. NOT FOR USE IN DIAGNOSTIC OR THERAPEUTIC PROCEDURES'.

For licensing inquiries, please contact partnerships@abcam.com