JavaScript is disabled in your browser. Please enable JavaScript to view this website.
AB23426

Anti-NOTCH3 antibody

4

(22 Reviews)

|

(153 Publications)

Anti-NOTCH3 antibody (ab23426) is a rabbit polyclonal antibody detecting NOTCH3 in Western Blot, IHC-P, ICC/IF. Suitable for Human, Mouse.

- Over 120 publications
- Trusted since 2006

View Alternative Names

Neurogenic locus notch homolog protein 3, Notch 3, NOTCH3

8 Images
Western blot - Anti-NOTCH3 antibody (AB23426)
  • WB

Ap

Western blot - Anti-NOTCH3 antibody (AB23426)

This blot was produced using a 3-8% Tris Acetate gel under the TA buffer system. The gel was run at 150V for 60 minutes before being transferred onto a Nitrocellulose membrane at 30V for 70 minutes. The membrane was then blocked for an hour using 5% Bovine Serum Albumin before being incubated with ab23426 overnight at 4°C. Antibody binding was detected using an anti-rabbit antibody conjugated to HRP, and visualised using ECL development solution.

The band observed at 97 kDa is thought to correspond to the notch-derived peptide containing the intracellular domain (NICD) of NOTCH3 as described in the literature (PMID : 10712431).

All lanes:

Western blot - Anti-NOTCH3 antibody (ab23426) at 1 µg/mL

Lane 1:

K-562 whole cell lysate (<a href='/en-us/products/unavailable/k-562-whole-cell-lysate-ab29306'>ab29306</a>) at 10 µg

Lane 2:

Caco-2 whole cell lysate (<a href='/en-us/products/unavailable/caco-2-whole-cell-lysate-ab3950'>ab3950</a>) at 10 µg

Lane 3:

HeLa (Human epithelial carcinoma cell line) Whole Cell Lysate at 10 µg

Secondary

All lanes:

Goat polyclonal to Rabbit IgG - H&L (HRP) at 1/50000 dilution

Predicted band size: 244 kDa

Observed band size: 105 kDa,280 kDa,30 kDa,97 kDa

true

Exposure time: 30s

Immunocytochemistry/ Immunofluorescence - Anti-NOTCH3 antibody (AB23426)
  • ICC/IF

Lab

Immunocytochemistry/ Immunofluorescence - Anti-NOTCH3 antibody (AB23426)

ICC/IF image of ab23426 stained MCF7 cells. The cells were 100% methanol fixed (5 min) and then incubated in 1%BSA / 10% normal goat serum / 0.3M glycine in 0.1% PBS-Tween for 1h to permeabilise the cells and block non-specific protein-protein interactions. The cells were then incubated with the antibody (ab23426, 5μg/ml) overnight at +4°C. The secondary antibody (green) was ab96899, DyLight® 488 goat anti-rabbit IgG (H+L) used at a 1/250 dilution for 1h. Alexa Fluor® 594 WGA was used to label plasma membranes (red) at a 1/200 dilution for 1h. DAPI was used to stain the cell nuclei (blue) at a concentration of 1.43μM.

Immunohistochemistry (Formalin/PFA-fixed paraffin-embedded sections) - Anti-NOTCH3 antibody (AB23426)
  • IHC-P

AbReview12463****

Immunohistochemistry (Formalin/PFA-fixed paraffin-embedded sections) - Anti-NOTCH3 antibody (AB23426)

ab23426 staining NOTCH3 in human breast cancer tissue sections by immunohistochemistry (Formalin/PFA-fixed paraffin embedded sections). Tissue underwent fixation in paraformaldehyde, heat-mediated antigen retrieval in citrate buffer pH6.0 and blocking for 15 minutes at 20°C (5 minutes for peroxidase blocking and 10 minutes for protein blocks). The primary antibody was diluted 1/250 and incubated with sample for 45 minutes at 20°C. A HRP-conjugated goat polyclonal to rabbit IgG was used undiluted as secondary.

This image is courtesy of an Abreview submitted by Antibody Solutions Ltd.

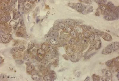
Immunohistochemistry (Formalin/PFA-fixed paraffin-embedded sections) - Anti-NOTCH3 antibody (AB23426)
  • IHC-P

Unknown

Immunohistochemistry (Formalin/PFA-fixed paraffin-embedded sections) - Anti-NOTCH3 antibody (AB23426)

IHC image of NOTCH3 staining in human breast carcinoma formalin fixed paraffin embedded tissue section, performed on a Leica BondTM system using the standard protocol F. The section was pre-treated using heat mediated antigen retrieval with sodium citrate buffer (pH6, epitope retrieval solution 1) for 20 mins. The section was then incubated with ab23426, 5µg/ml, for 15 mins at room temperature and detected using an HRP conjugated compact polymer system. DAB was used as the chromogen. The section was then counterstained with haematoxylin and mounted with DPX.

Immunohistochemistry (Formalin/PFA-fixed paraffin-embedded sections) - Anti-NOTCH3 antibody (AB23426)
  • IHC-P

AbReview80633****

Immunohistochemistry (Formalin/PFA-fixed paraffin-embedded sections) - Anti-NOTCH3 antibody (AB23426)

Immunohistochemistry (Formalin/PFA-fixed paraffin-embedded sections) analysis of paraformaldehyde fixed human tonsil permeabilized with 0.3% Triton X-100, staining with ab279690 at 2µg/ml. Secondary antibody used was ab 150075 at 1/500 dilution. Blocking was done using Donkey Serum 10% + 3% BSA for 24 hours at 4°C. The sample was incubated with the primary antibody for 1 hour at 20°C. Validated on GE Cell DIVE. Antigen retrieval method was heat mediated Citrate pH 6 & TRIS pH 9

This image is courtesy of an Abreview submitted by Dylan Windell

Immunocytochemistry/ Immunofluorescence - Anti-NOTCH3 antibody (AB23426)
  • ICC/IF

Lab

Immunocytochemistry/ Immunofluorescence - Anti-NOTCH3 antibody (AB23426)

ab23426 staining NOTCH3 in mES cells. The cells were fixed with 4% paraformaldehyde (10 min), permeabilized with 0.1% PBS-Tween for 5 minutes and then blocked with 1% BSA/10% normal goat serum/0.3M glycine in 0.1% PBS-Tween for 1h. The cells were then incubated overnight at 4°C with ab23426 at 1µg/ml and ab7291, Mouse monoclonal [DM1A] to alpha Tubulin - Loading Control. Cells were then incubated with ab150081, Goat polyclonal Secondary Antibody to Rabbit IgG - H&L (Alexa Fluor® 488), pre-adsorbed at 1/1000 dilution (shown in green) and ab150120, Goat polyclonal Secondary Antibody to Mouse IgG - H&L (Alexa Fluor® 594), pre-adsorbed at 1/1000 dilution (shown in pseudocolour red). Nuclear DNA was labelled with DAPI (shown in blue).

Image was acquired with a confocal microscope (Leica-Microsystems TCS SP8) and a single confocal section is shown.

Immunocytochemistry/ Immunofluorescence - Anti-NOTCH3 antibody (AB23426)
  • ICC/IF

AbReview34530****

Immunocytochemistry/ Immunofluorescence - Anti-NOTCH3 antibody (AB23426)

ab23426 staining NOTCH3 in the COS1 fibroblast cell line from Monkey Kidney by ICC/IF (Immunocytochemistry/immunofluorescence). Cells were fixed with paraformaldehyde, permeabilized with Triton X-100 0.1% in PBS and blocked with 1% BSA for 30 minutes at 25°C. Samples were incubated with primary antibody (1/200) for 16 hour at 4°C. An Alexa Fluor® 488-conjugated Goat anti-rabbit polyclonal (1/500) was used as the secondary antibody.

This image is courtesy of an anonymous Abreview

Immunohistochemistry - Anti-NOTCH3 antibody (AB23426)
  • IHC

CiteAb

Immunohistochemistry - Anti-NOTCH3 antibody (AB23426)

Immunohistochemistry using Anti-NOTCH3 antibody, ab23426. Publication image from Malik, N. et al., 2019, Nat Commun, 31061501. Legend direct from paper.

The transcriptional function of CBFB is critical for breast tumor suppression. a A Venn diagram showing genes (identified by RNAseq) co-regulated by CBFB and RUNX1. b Kaplan-Meier curve showing 10-gene signature upregulated by CBFB and RUNX1 predicts disease-free survival of breast cancer patients. c IB showing the upregulation of Notch intracellular domain (NICD) of NOTCH3 in CBFB_KO and RUNX1_KO cells. d ChIPseq of RUNX1 showing the binding of RUNX1 on the NOTCH3 locus. e Anchorage independent growth assays of double knockout (DKO) of CBFB (C) and NOTCH3 (N) or DKO of RUNX1(R) and NOTCH3(N). n = 3 (biological); two asterisks, p value < 0.01 (single KO vs. double KO comparisons, two-tailed t test). f Representative IHC images showing the protein levels of CBFB, RUNX1, and NOTCH3 in human breast tumors and normal tissues. g IB showing the effect of exogenous expression of CBFB on RUNX1 and NOTCH3 expression in MCF7 and BT474 cells. h Weight and (i) volume of orthotopically transplanted tumors from MCF7 cells that were transduced with an empty vector (EV) or a lentiviral vector expressing CBFB (CBFB). Tumor incidence is shown on the top

Key facts

Host species

Rabbit

Clonality

Polyclonal

Isotype

IgG

Carrier free

No

Reacts with

Human, Mouse

Applications

ICC/IF, WB, IHC-P

applications

Immunogen

The exact immunogen used to generate this antibody is proprietary information.

Specificity

From Jan 2024, QC testing of replenishment batches of this polyclonal changed. All tested and expected application and reactive species combinations are still covered by our Abcam product promise. However, we no longer test all applications. For more information on a specific batch, please contact our Scientific Support who will be happy to help.

Reactivity data

{ "title": "Reactivity Data", "filters": { "stats": ["", "Species", "Dilution Info", "Notes"], "tabs": { "all-applications": {"fullname" : "All Applications", "shortname": "All Applications"}, "WB" : {"fullname" : "Western blot", "shortname":"WB"}, "IHCP" : {"fullname" : "Immunohistochemistry (Formalin/PFA-fixed paraffin-embedded sections)", "shortname":"IHC-P"}, "ICCIF" : {"fullname" : "Immunocytochemistry/ Immunofluorescence", "shortname":"ICC/IF"} }, "product-promise": { "all": "all", "testedAndGuaranteed": "tested", "guaranteed": "expected", "predicted": "predicted", "notRecommended": "not-recommended" } }, "values": { "Human": { "WB-species-checked": "testedAndGuaranteed", "WB-species-dilution-info": "1 µg/mL", "WB-species-notes": "<p></p>", "IHCP-species-checked": "guaranteed", "IHCP-species-dilution-info": "", "IHCP-species-notes": "<p></p>", "ICCIF-species-checked": "guaranteed", "ICCIF-species-dilution-info": "1-5 µg/mL", "ICCIF-species-notes": "<p></p>" }, "Mouse": { "WB-species-checked": "guaranteed", "WB-species-dilution-info": "", "WB-species-notes": "", "IHCP-species-checked": "guaranteed", "IHCP-species-dilution-info": "", "IHCP-species-notes": "<p></p>", "ICCIF-species-checked": "testedAndGuaranteed", "ICCIF-species-dilution-info": "1-5 µg/mL", "ICCIF-species-notes": "<p></p>" }, "Rat": { "WB-species-checked": "predicted", "WB-species-dilution-info": "", "WB-species-notes": "", "IHCP-species-checked": "predicted", "IHCP-species-dilution-info": "", "IHCP-species-notes": "", "ICCIF-species-checked": "predicted", "ICCIF-species-dilution-info": "", "ICCIF-species-notes": "" } } }

Product details

What is this antibody validated in?
Anti-NOTCH3 antibody (ab23426) is a rabbit polyclonal antibody and is validated for use in Western Blot (WB), Immunohistochemistry (IHC-P), Immunocytochemistry/immunofluorescence (ICC/IF) in Human, Mouse samples.

What is the molecular weight of NOTCH3?
Anti-NOTCH3 (ab23426) specifically detects a band for NOTCH3 (UniProt: Q9UM47) at a molecular weight of 244kDa.

Trusted by the scientific community
Anti-NOTCH3 (ab23426) was first used in a scientific publication in 2006 and has been cited over 120 times in peer-reviewed journals.

Reviewed by scientists
Anti-NOTCH3 (ab23426) has over 20 independent reviews from customers.

Properties and storage information

Form
Liquid
Purification technique
Affinity purification Immunogen
Storage buffer
pH: 7.4 Preservative: 0.02% Sodium azide Constituents: PBS, 1% BSA
Shipped at conditions
Blue Ice
Appropriate short-term storage duration
1-2 weeks
Appropriate short-term storage conditions
+4°C
Appropriate long-term storage conditions
-20°C
Aliquoting information
Upon delivery aliquot
Storage information
Avoid freeze / thaw cycle

Supplementary information

This supplementary information is collated from multiple sources and compiled automatically.

The NOTCH3 protein a significant player in the NOTCH signaling pathway is a transmembrane receptor involved in cell differentiation. Sometimes referred to as 'Notch3' this protein has a molecular weight of approximately 244 kDa. NOTCH3 is widely expressed in vascular smooth muscle cells and tissues such as arteries and lungs. The protein also plays an important role in the communication between adjacent cells because of its location on the cell surface.
Biological function summary

NOTCH3 influences various cellular processes including proliferation apoptosis and differentiation. NOTCH3 does not function alone it is part of a regulatory complex that mediates cellular context and fate decisions. The receptor is cleaved upon ligand binding to facilitate intracellular signaling. This signaling is critical in the development and maintenance of vascular integrity which highlights the protein's importance in both physiological and pathological contexts.

Pathways

NOTCH3 plays a role in the NOTCH signaling pathway essential for cell fate determination and the smooth muscle cell differentiation pathway. Ligands such as Jagged and Delta-like proteins trigger NOTCH3 activation. Upon activation the NOTCH3 intracellular domain translocates to the nucleus where it interacts with transcriptional regulators like RBPJ. This interaction modulates the expression of target genes influencing cell differentiation and proliferation.

NOTCH3 is implicated in Cerebral Autosomal Dominant Arteriopathy with Subcortical Infarcts and Leukoencephalopathy (CADASIL) a genetic vascular disorder. Mutations in the NOTCH3 gene result in the accumulation of the NOTCH3 protein within arterial walls leading to the characteristic symptoms of CADASIL. Additionally the protein has been linked to pulmonary arterial hypertension through shared pathways with proteins such as BMP2 and SMADs indicating its broader impact on vascular pathophysiology.

Product protocols

For this product, it's our understanding that no specific protocols are required. You can visit:

Target data

Functions as a receptor for membrane-bound ligands Jagged1, Jagged2 and Delta1 to regulate cell-fate determination (PubMed : 15350543, PubMed : 14714274). Upon ligand activation through the released notch intracellular domain (NICD), it forms a transcriptional activator complex with RBPJ/RBPSUH and activates genes of the enhancer of split locus. Affects the implementation of differentiation, proliferation and apoptotic programs (By similarity).
See full target information NOTC3_HUMAN

Publications (153)

Recent publications for all applications. Explore the full list and refine your search

Scientific reports 15:33782 PubMed41027955

2025

Role of Notch gene receptors as prognostic biomarkers in colorectal cancer.

Applications

Unspecified application

Species

Unspecified reactive species

Abhay Kumar Sharma,Nimisha Nimisha,Arun Kumar,Apurva Apurva,Abhishek Kumar,Ejaj Ahmad,Asgar Ali,Birendra Prasad,Sundeep Singh Saluja

Translational lung cancer research 14:2771-2787 PubMed40799432

2025

Overexpression of promotes cell metabolism and activates the NOTCH signaling pathway in lung adenocarcinoma.

Applications

Unspecified application

Species

Unspecified reactive species

Guangmin Xi,Caibo Zhang,Cong Yu,Yiya Wang,Jinfeng Fu,Haining Qi,Kenichi Suda,Guoying Wu

Acta neuropathologica communications 13:171 PubMed40796891

2025

Cerebrovascular p16 expression induces cerebral small vessel disease-related phenotypes.

Applications

Unspecified application

Species

Unspecified reactive species

Keiji Kawatani,Tomonori Aikawa,Zeynab Tabrizi,Yining Pan,Yingxue Ren,Ni Wang,Aishe Kurti,Toshihiko Nambara,Clark C Ikezu,Francis Shue,Michael Bamkole,Yasuteru Inoue,Tammee M Parsons,Guojun Bu,Qianqian Song,Oliver Bracko,Takahisa Kanekiyo

Regenerative therapy 30:136-143 PubMed40535723

2025

Tangeretin suppresses RANKL-induced osteoclastogenesis and alleviates postmenopausal osteoporosis by inhibiting Notch signaling.

Applications

Unspecified application

Species

Unspecified reactive species

Tengfei Wu,Fang Wang,Changqing Ai,Li Li,Fan Wu

Journal of Cancer 16:1768-1781 PubMed40092688

2025

System Analysis Identifies MYBL2 As a Novel Oncogene Target for Metastatic Prostate Cancer.

Applications

Unspecified application

Species

Unspecified reactive species

Renlun Huang,Jing Li,Jiawei Zhu,Wei Deng,Zhichao Wang,Songtao Xiang

Acta neuropathologica 149:10 PubMed39841284

2025

Traumatic brain injury causes early aggregation of beta-amyloid peptides and NOTCH3 reduction in vascular smooth muscle cells of leptomeningeal arteries.

Applications

Unspecified application

Species

Unspecified reactive species

Ilknur Özen,Sami Abu Hamdeh,Karsten Ruscher,Niklas Marklund

Cellular and molecular gastroenterology and hepatology 19:101414 PubMed39349250

2024

Androgen Effects on Alcohol-induced Liver Fibrosis Are Controlled by a Notch-dependent Epigenetic Switch.

Applications

Unspecified application

Species

Unspecified reactive species

Kruti Nataraj,Michael Schonfeld,Adriana Rodriguez,Madhulika Sharma,Steven Weinman,Irina Tikhanovich

Oncogenesis 13:35 PubMed39333079

2024

NRF2 signaling plays an essential role in cancer progression through the NRF2-GPX2-NOTCH3 axis in head and neck squamous cell carcinoma.

Applications

Unspecified application

Species

Unspecified reactive species

Xiaoye Jin,Xiayuan Lou,Haoxiang Qi,Chao Zheng,Bo Li,Xuerong Siwu,Ren Liu,Qiaoli Lv,An Zhao,Jian Ruan,Ming Jiang

Cellular and molecular life sciences : CMLS 81:225 PubMed38769116

2024

Endothelial PDGF-D contributes to neurovascular protection after ischemic stroke by rescuing pericyte functions.

Applications

Unspecified application

Species

Unspecified reactive species

Maxime Bernard,Romain Menet,Sarah Lecordier,Ayman ElAli

Cell 187:3120-3140.e29 PubMed38714197

2024

Mapping the cellular biogeography of human bone marrow niches using single-cell transcriptomics and proteomic imaging.

Applications

Unspecified application

Species

Unspecified reactive species

Shovik Bandyopadhyay,Michael P Duffy,Kyung Jin Ahn,Jonathan H Sussman,Minxing Pang,David Smith,Gwendolyn Duncan,Iris Zhang,Jeffrey Huang,Yulieh Lin,Barbara Xiong,Tamjid Imtiaz,Chia-Hui Chen,Anusha Thadi,Changya Chen,Jason Xu,Melissa Reichart,Zachary Martinez,Caroline Diorio,Chider Chen,Vinodh Pillai,Oraine Snaith,Derek Oldridge,Siddharth Bhattacharyya,Ivan Maillard,Martin Carroll,Charles Nelson,Ling Qin,Kai Tan
View all publications

Product promise

We are committed to supporting your work with high-quality reagents, and we're here for you every step of the way. In the unlikely event that one of our products does not perform as expected, you're protected by our Product Promise.
For full details, please see our Terms & Conditions

Please note: All products are 'FOR RESEARCH USE ONLY. NOT FOR USE IN DIAGNOSTIC OR THERAPEUTIC PROCEDURES'.

For licensing inquiries, please contact partnerships@abcam.com